相关产品推荐更多 >

AXL Rabbit pAb, BF488 conjugated(bs-5180R-BF488)-100ul
¥2980
Anti-C5 & Serum Albumin Reference Antibody (Gefurulimab Biosimilar)(BIO0978SM)-100ug/1mg/5mg
¥2160
HDAC10 Rabbit pAb(bs-2893R)-50ul/100ul/200ul
¥1180
eIF4E Rabbit pAb(bs-4979R)-50ul/100ul/200ul
¥1180
FOXO1 Rabbit pAb, PE-Cy5 conjugated(bs-23175R-PE-Cy5)-100ul
¥2980
万千商家帮你免费找货
0 人在求购买到急需产品
- 详细信息
- 文献和实验
- 技术资料
- 应用范围:
产品信息以Bioss网站为准
- 规格:
50ul/100ul/200ul
| 规格: | 50ul | 产品价格: | ¥1180.0 |
|---|---|---|---|
| 规格: | 100ul | 产品价格: | ¥1980.0 |
| 规格: | 200ul | 产品价格: | ¥2800.0 |
| 产品编号 | bs-3136R |
| 英文名称 | phospho-FLG (Tyr766) Rabbit pAb |
| 中文名称 | 磷酸化碱性成纤维细胞生长因子受体1(CD331)抗体 |
| 英文别名 | FGFR1(phospho Y766); p-FGFR1(phospho Y766); phospho-FGFR1(Tyr766); P-FLG(Tyr766); FLG(phospho-Tyr766); FGF Receptor 1; bFGF R; BFGFR; C FGR; CD 331; CD331; CD331 antigen; CEK; FGFBR; FGFR 1; FGFR1; Fibroblast growth factor receptor 1; FLG; FLG protein; FLJ14326; FLT 2; FLT2; Fms like tyrosine kinase 2; Fms related tyrosine kinase 2; Fms related tyrosine kinase 2 Pfeiffer syndrome; H2; H3; H4; H5; HBGFR; Heparin binding growth factor receptor; Hydroxyaryl protein kinase; KAL 2; KAL2; MFR; N SAM; N sam tyrosine kinase; Protein tyrosine kinase; Tyrosylprotein kinase; Basic fibroblast growth factor receptor 1. |
| 产品应用 | WB=1:500-2000, IHC-P=1:100-500, IHC-F=1:100-500, IF=1:100-500 Not yet tested in other applications. |
| 交叉反应 | Human, Mouse, Rat (Chicken, Dog, Pig, Cow, Horse) |
| 抗体来源 | Rabbit |
| 免疫原 | KLH conjugated Synthesised phosphopeptide derived from human FGFR1 around the phosphorylation site of Tyr766 |
| 亚型 | IgG |
| 性状 | Liquid |
| 纯化方法 | affinity purified by Protein A |
| 克隆类型 | Polyclonal |
| 理论分子量 | 88 kDa |
| 浓度 | 1mg/ml |
| 储存液 | 0.01M TBS (pH7.4) with 1% BSA, 0.02% Proclin300 and 50% Glycerol. |
| 研究领域 | Cancer > Growth factors > FGF Cardiovascular > Angiogenesis > Growth Factors > FGF > FGF Receptors Microbiology > Organism > Virus > RNA Virus > ssRNA positive strand virus > SARS Coronavirus Neuroscience > Neurology process > Neurogenesis Signal Transduction > Growth Factors/Hormones > FGF Signal Transduction > Protein Phosphorylation > Tyrosine Kinases > Receptor Tyrosine Kinases |
| 亚基 | Homodimer. Interacts with KLB. Interacts with KL and FGF23. Interacts with SHB and GRB10. Interacts with PLCG1 (via SH2 domains). Interacts with KAL1; this interaction does not interfere with FGF2-binding to FGFR1, but prevents binding of heparin-bound FGF2. Interacts with SOX2 and SOX3. |
| 亚细胞定位 | Cell membrane; Single-pass type I membrane protein. Nucleus. Cytoplasm, cytosol. Cytoplasmic vesicle. |
| 组织特异性 | Detected in astrocytoma, neuroblastoma and adrenal cortex cell lines. Some isoforms are detected in foreskin fibroblast cell lines, however isoform 17, isoform 18 and isoform 19 are not detected in these cells. |
| 翻译后修饰 | Binding of FGF1 and heparin promotes autophosphorylation on tyrosine residues and activation of the receptor. |
| 相似性 | Belongs to the protein kinase superfamily. Tyr protein kinase family. Fibroblast growth factor receptor subfamily. Contains 3 Ig-like C2-type (immunoglobulin-like) domains. Contains 1 protein kinase domain. |
| 功能 | Receptor for fibroblast growth factors FGF2 and FGF1. Receptor for FGF23 in the presence of KL (By similarity). Promotes mitogenesis in response to fibroblast growth factors. Activates PLCG1. |
| 保存条件 | Shipped at 4℃. Store at -20℃ for one year. Avoid repeated freeze/thaw cycles. |
| 注意事项 | This product as supplied is intended for research use only, not for use in human, therapeutic or diagnostic applications. |
| 背景资料 | Fibroblast growth factors (FGFs) produce mitogenic and angiogenic effects in target cells by signaling through the cellular surface tyrosine kinase receptors. There are four members of the FGF receptor family: FGFR-1 (flg), FGFR-2 (bek, KGFR), FGFR-3 and FGFR-4. Each receptor contains an extracellular ligand binding domain, a transmembrane region and a cytoplasmic kinase domain (1). Following ligand binding and dimerization, the receptors are phosphorylated at specific tyrosine residues (2). Seven tyrosine residues in the cytoplasmic tail of FGFR-1 can be phosphorylated: Tyr463, Tyr583, Tyr585, Tyr653, Tyr654, Tyr730 and Tyr766. Tyrosine 653 and 654 are important for catalytic activity of the activated FGFR and are essential for signaling (3). The other phosphorylated tyrosine residues may provide docking sites for downstream signaling components such as Crk and PLCgamma. |
| 应用 | 推荐稀释比例 |
| {WB} | {1:500-2000} |
| {IHC-P} | {1:100-500} |
| {IHC-F} | {1:100-500} |
| {IF} | {1:100-500} |

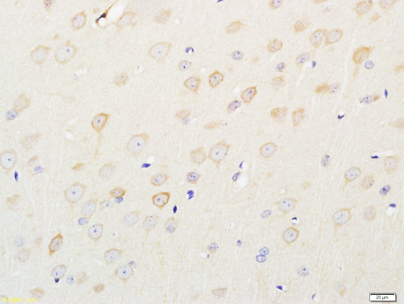
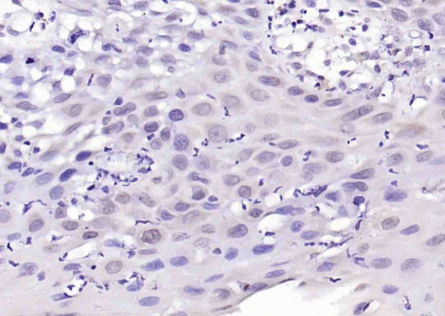
Antigen retrieval: citrate buffer ( 0.01M, pH 6.0 ), Boiling bathing for 15min; Block endogenous peroxidase by 3% Hydrogen peroxide for 30min; Blocking buffer (normal goat serum,C-0005) at 37∩ for 20 min;
Incubation: Anti-Phospho-FLG (Tyr766) Polyclonal Antibody, Unconjugated(bs-3136R) 1:400, overnight at 4∑C, followed by conjugation to the secondary antibody(SP-0023) and DAB(C-0010) staining

Antigen retrieval: citrate buffer ( 0.01M, pH 6.0 ), Boiling bathing for 15min; Blocking buffer (normal goat serum,C-0005) at 37∩ for 20 min;
Incubation: Anti- p-FGFR1 Polyclonal Antibody, Unconjugated(bs-3136R) 1:200, overnight at 4∑C; The secondary antibody was Goat Anti-Rabbit IgG, Cy3 conjugated(bs-0295G-Cy3)used at 1:200 dilution for 40 minutes at 37∑C. DAPI(5ug/ml,blue,C-0033) was used to stain the cell nuclei

Cerebrum (Mouse) Lysate at 40 ug
Primary: Anti-Phospho-FLG (Tyr766) (bs-3136R) at 1/300 dilution
Secondary: IRDye800CW Goat Anti-Rabbit IgG at 1/20000 dilution
Predicted band size: 88 kD
Observed band size: 72 kD


风险提示:丁香通仅作为第三方平台,为商家信息发布提供平台空间。用户咨询产品时请注意保护个人信息及财产安全,合理判断,谨慎选购商品,商家和用户对交易行为负责。对于医疗器械类产品,请先查证核实企业经营资质和医疗器械产品注册证情况。
文献和实验。所以,我们建议使用微波炉或高压锅加热煮沸以达到最佳抗原修复效果。抗体:Phospho–Stat3 (Tyr705)(D3A7) XP. Rabbit mAb #9145样本:石蜡包埋人类肺部肿瘤样本煮沸设备:浴锅 (左),微波炉 (中),高压锅 (右)免疫染色—封闭在 IHC–P 中,我们建议在室温下在含有 Tween20 的 TBST 缓冲液和 5% 正常山羊血清 (NGS) 中封闭样品,时长 1 小时,以防止非特异性背景染色。在进行 IHC–F 时,在含有 0.3% Triton. X–100 的 1X
used in accordance withmanufacturer recommendationsSignalStain?DAB Substrate Kit #8059:IHC analysis of paraffin-embedded human breastcarcinoma using Phospho-Stat3 (Tyr705) (D3A7) XP? Rabbit mAb #9145. Chromogenicdetection was performed using #8059 (left
v468. chapter 4 WNT 细胞通路 检测细胞GSK3活性与表达水平
. Immunoblot using antibodies to phospho-Tyr279/216 can assess alterations in activity independent ofthe N-terminal phosphorylation, although phosphorylation atthis site is most likely to be constitutive (14) . 3. Immunoblot using antibodies to known
技术资料暂无技术资料 索取技术资料






