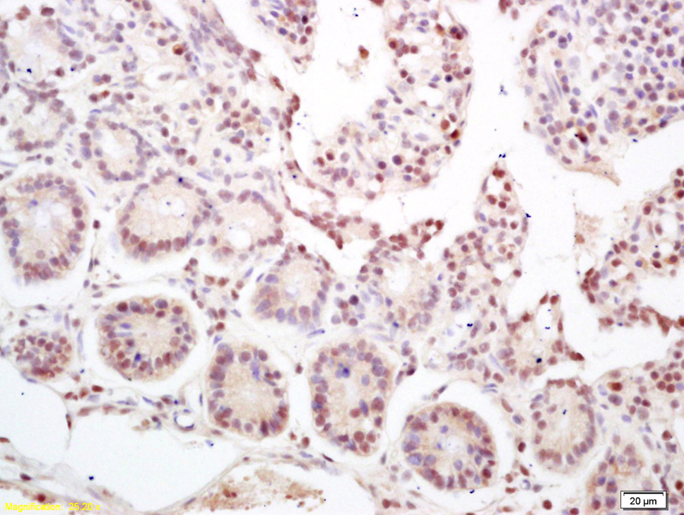
Tissue/cell: mouse intestine tissue; 4% Paraformaldehyde-fixed and paraffin-embedded;
Antigen retrieval: citrate buffer ( 0.01M, pH 6.0 ), Boiling bathing for 15min; Block endogenous peroxidase by 3% Hydrogen peroxide for 30min; Blocking buffer (normal goat serum,C-0005) at 37℃ for 20 min;
Incubation: Anti-NKAP Polyclonal Antibody, Unconjugated(bs-12400R) 1:200, overnight at 4°C, followed by conjugation to the secondary antibody(SP-0023) and DAB(C-0010) staining
相关产品推荐更多 >

LOC103437570 Rabbit pAb(bs-4518R)-50ul/100ul/200ul
¥1180
Histone H4 Rabbit pAb, Cy7 conjugated(bs-23810R-Cy7)-100ul
¥2980
TNFSF13B Rabbit pAb, BF405 conjugated(bs-2431R-BF405)-100ul
¥2980
QPRT/QAPRTase Rabbit pAb(bs-20316R)-50ul/100ul/200ul
¥1180
phospho-STAT5a (Tyr694) Rabbit pAb(bs-1659R)-50ul/100ul/200ul
¥1180
万千商家帮你免费找货
0 人在求购买到急需产品
- 详细信息
- 技术资料
- 应用范围:
产品信息以Bioss网站为准
- 规格:
50ul/100ul/200ul
| 规格: | 50ul | 产品价格: | ¥1180.0 |
|---|---|---|---|
| 规格: | 100ul | 产品价格: | ¥1980.0 |
| 规格: | 200ul | 产品价格: | ¥2800.0 |
| 产品编号 | bs-12400R |
| 英文名称 | NKAP Rabbit pAb |
| 中文名称 | NFKB激活蛋白抗体 |
| 英文别名 | NF-kappa-B-activating protein; Nkap; NKAP_HUMAN; Nuclear NF kappaB activating protein; Nuclear NF kappa B activating protein; NFkB activating protein. |
| 产品应用 | IHC-P=1:100-500, IHC-F=1:100-500, IF=1:100-500 Not yet tested in other applications. |
| 交叉反应 | Mouse (Human, Rat, Dog, Horse, Rabbit, Sheep) |
| 抗体来源 | Rabbit |
| 免疫原 | KLH conjugated synthetic peptide derived from human NKAP |
| 亚型 | IgG |
| 性状 | Liquid |
| 纯化方法 | affinity purified by Protein A |
| 克隆类型 | Polyclonal |
| 理论分子量 | 47 kDa |
| 浓度 | 1mg/ml |
| 储存液 | 0.01M TBS (pH7.4) with 1% BSA, 0.02% Proclin300 and 50% Glycerol. |
| 研究领域 | Epigenetics and Nuclear Signaling > Nuclear Signaling Pathways > NFkB pathway Epigenetics and Nuclear Signaling > Transcription > Other factors Immunology > Adaptive Immunity > T Cells > Non-CD Signal Transduction > Signaling Pathway > Nuclear Signaling > NFkB Pathway Stem Cells > Signaling Pathways > Notch > Nuclear |
| 亚基 | Component of the Notch corepressor complex. Interacts with CIR1 and HDAC3. |
| 亚细胞定位 | Nucleus. |
| 翻译后修饰 | Phosphorylated upon DNA damage, probably by ATM or ATR. |
| 相似性 | Belongs to the UPF0396 family. |
| 功能 | Acts as a transcriptional repressor. Plays a role as a transcriptional corepressor of the Notch-mediated signaling required for T cell development. Also involved in the TNF and IL-1 induced NF-kappa-B activation. Associates with chromatin at the Notch-regulated SKP2 promoter. |
| 保存条件 | Shipped at 4℃. Store at -20℃ for one year. Avoid repeated freeze/thaw cycles. |
| 注意事项 | This product as supplied is intended for research use only, not for use in human, therapeutic or diagnostic applications. |
| 背景资料 | NFκB, a pleiotropic transcription factor, is present in almost all cell types and is involved in many biological processes including inflammation, immunity, differentiation, cell growth, tumorigenesis and apoptosis. NFκB is a homo- or heterodimeric complex formed by the Rel-like domain-containing proteins RELA/p65, RELB, NFκB1/p105, NFκB1/p50, REL and NFκB2/p52. This complex is controlled by various mechanisms of post-translational modification and subcellular compartmentalization as well as by interactions with other cofactors or corepressors. NKAP (NF-κ-B-activating protein) is a 415 amino acid nuclear protein that regulates TNF and IL1-induced NFκB activation. As component of a DNA-binding complex, NKAP also functions as a transcriptional repressor that acts on NOTCH target genes. Loss of NKAP blocks the development of αβT- cells, suggesting that it is required for their maturation through repression of NOTCH genes. |
| 应用 | 推荐稀释比例 |
| {IHC-P} | {1:100-500} |
| {IHC-F} | {1:100-500} |
| {IF} | {1:100-500} |

风险提示:丁香通仅作为第三方平台,为商家信息发布提供平台空间。用户咨询产品时请注意保护个人信息及财产安全,合理判断,谨慎选购商品,商家和用户对交易行为负责。对于医疗器械类产品,请先查证核实企业经营资质和医疗器械产品注册证情况。
技术资料暂无技术资料 索取技术资料
NKAP Rabbit pAb(bs-12400R)-50ul/100ul/200ul
¥1180 - 2800





