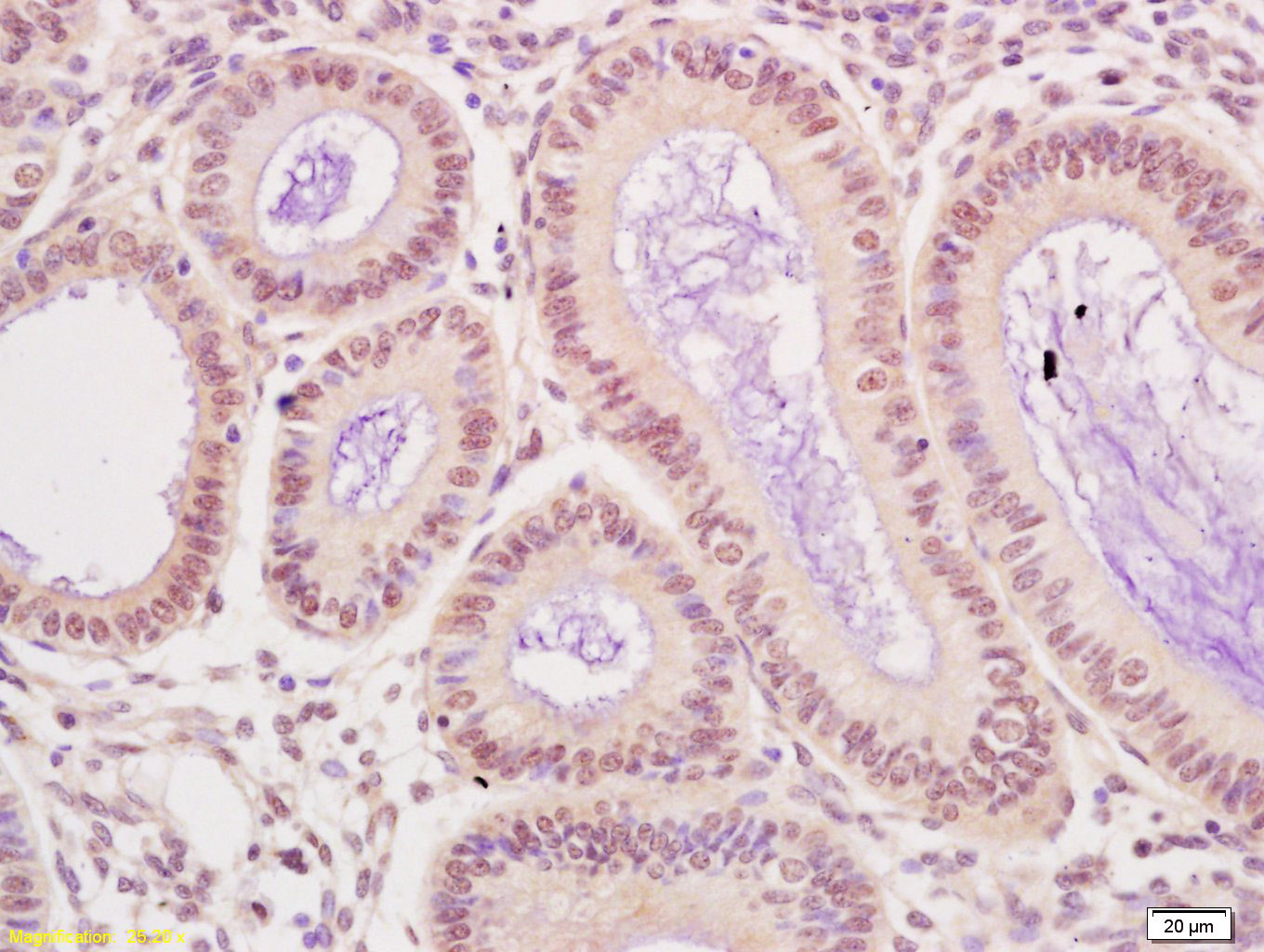
Tissue/cell: human breast carcinoma; 4% Paraformaldehyde-fixed and paraffin-embedded;
Antigen retrieval: citrate buffer ( 0.01M, pH 6.0 ), Boiling bathing for 15min; Block endogenous peroxidase by 3% Hydrogen peroxide for 30min; Blocking buffer (normal goat serum,C-0005) at 37℃ for 20 min;
Incubation: Anti-UBE3A Polyclonal Antibody, Unconjugated(bs-11776R) 1:200, overnight at 4°C, followed by conjugation to the secondary antibody(SP-0023) and DAB(C-0010) staining
相关产品推荐更多 >
万千商家帮你免费找货
0 人在求购买到急需产品
- 详细信息
- 技术资料
- 应用范围:
产品信息以Bioss网站为准
- 规格:
50ul/100ul/200ul
| 规格: | 50ul | 产品价格: | ¥1180.0 |
|---|---|---|---|
| 规格: | 100ul | 产品价格: | ¥1980.0 |
| 规格: | 200ul | 产品价格: | ¥2800.0 |
| 产品编号 | bs-11776R |
| 英文名称 | UBE3A Rabbit pAb |
| 中文名称 | 人乳头状瘤病毒E6相关蛋白抗体 |
| 英文别名 | ANCR; Angelman syndrome; AS; CTCL tumor antigen se37 2; E6 AP; E6-AP; E6AP antibody E6AP ubiquitin protein ligase; E6AP ubiquitin protein ligase; E6AP ubiquitin-protein ligase; EPVE6AP; HPVE6A; Human papilloma virus E6 associated protein Angelman syndrome; Human papilloma virus E6 associated protein; Human papillomavirus E6-associated protein; NY REN 54 antigen; NY REN 54 antigen; Oncogenic protein associated protein E6 AP; Oncogenic protein associated protein E6AP; Oncogenic protein-associated protein E6-AP; Renal carcinoma antigen NY REN 54; Renal carcinoma antigen NY-REN-54; UBE 3A; Ube3a; UBE3A protein; UBE3A_HUMAN; Ubiquitin protein ligase E3A; Ubiquitin-protein ligase E3A. |
| 产品应用 | IHC-P=1:100-500, IHC-F=1:100-500, IF=1:100-500 Not yet tested in other applications. |
| 交叉反应 | Human (Mouse, Rat, Dog, Pig, Cow, Horse, Rabbit, Sheep) |
| 抗体来源 | Rabbit |
| 免疫原 | KLH conjugated synthetic peptide derived from human UBE3A/E6-AP |
| 亚型 | IgG |
| 性状 | Liquid |
| 纯化方法 | affinity purified by Protein A |
| 克隆类型 | Polyclonal |
| 理论分子量 | 105 kDa |
| 浓度 | 1mg/ml |
| 储存液 | 0.01M TBS (pH7.4) with 1% BSA, 0.02% Proclin300 and 50% Glycerol. |
| 研究领域 | Cell Biology > Proteolysis / Ubiquitin > Proteasome / Ubiquitin > Ubiquitin E3 Enzymes > Hect E3 Ligase Epigenetics and Nuclear Signaling > Chromatin Modifying Enzymes > Ubiquitylation Epigenetics and Nuclear Signaling > Nuclear Signaling Pathways > Nuclear Receptors > Co-activators/co-repressors Neuroscience > Neurology process > Neurodegenerative disease |
| 亚细胞定位 | Nucleus. |
| 翻译后修饰 | Phosphorylated upon DNA damage, probably by ATM or ATR. |
| 相似性 | Contains 1 HECT (E6AP-type E3 ubiquitin-protein ligase) domain. |
| 功能 | E3 ubiquitin-protein ligase which accepts ubiquitin from an E2 ubiquitin-conjugating enzyme in the form of a thioester and transfers it to its substrates. Several substrates have been identified including the RAD23A and RAD23B, MCM7 (which is involved in DNA replication), annexin A1, the PML tumor suppressor, and the cell cycle regulator CDKN1B. Additionally, may function as a cellular quality control ubiquitin ligase by helping the degradation of the cytoplasmic misfolded proteins. Finally, UBE3A also promotes its own degradation in vivo. |
| 保存条件 | Shipped at 4℃. Store at -20℃ for one year. Avoid repeated freeze/thaw cycles. |
| 注意事项 | This product as supplied is intended for research use only, not for use in human, therapeutic or diagnostic applications. |
| 背景资料 | E6-associating protein is a component of the ubiquitin-mediated proteolytic pathway, which selectively targets proteins for degradation by the 26S proteasome. Ubiquitin (Ub) is directly conjugated to protein substrates by the transfer of Ub from an E2 ubiquitin conjugating enzyme to the target protein. This conjugation is facilitated by the enzymatic activity of E3 ubiquitin ligase family members such as E6-AP. Several substrates of E6-AP have been identified and include the tumor suppressor protein p53 and the mammalian homolog of Rad23, HHR23A. Previous studies have indicated that E6-AP associates with the human papillomavirus E6 oncogene, which complexes with p53 and thereby potentiates E6-AP mediated ubiquitination of p53. Genetic mutations that impair E6-AP activity result in the accumulation of p53 in the cytoplasm, and, in many instances, these mutations are associated with the development of the rare neurodevelopmental disorder Angelman syndrome (AS), which is characterized by severe motor dysfunction and mental retardation. |
| 应用 | 推荐稀释比例 |
| {IHC-P} | {1:100-500} |
| {IHC-F} | {1:100-500} |
| {IF} | {1:100-500} |

风险提示:丁香通仅作为第三方平台,为商家信息发布提供平台空间。用户咨询产品时请注意保护个人信息及财产安全,合理判断,谨慎选购商品,商家和用户对交易行为负责。对于医疗器械类产品,请先查证核实企业经营资质和医疗器械产品注册证情况。
技术资料暂无技术资料 索取技术资料
UBE3A Rabbit pAb(bs-11776R)-50ul/100ul/200ul
¥1180 - 2800









