相关产品推荐更多 >

HBsAg Goat pAb, HRP conjugated(bs-1557G-HRP)-100ul
¥2980
Rat CD8a Mouse mAb, PE conjugated(bsm-30297M-PE)-100T/25T/50T
¥680
PCDHA10/CNRN8 Rabbit pAb(bs-11123R)-50ul/100ul/200ul
¥1180
Glutamine synthetase Rabbit pAb, PE conjugated(bs-4143R-PE)-100ul
¥2980
ox-LDL Rabbit pAb, APC-Cy7 conjugated(bs-1698R-APC-Cy7)-100ul
¥2980
万千商家帮你免费找货
0 人在求购买到急需产品
- 详细信息
- 文献和实验
- 技术资料
- 应用范围:
产品信息以Bioss网站为准
- 规格:
50ul/100ul/200ul
| 规格: | 50ul | 产品价格: | ¥1180.0 |
|---|---|---|---|
| 规格: | 100ul | 产品价格: | ¥1980.0 |
| 规格: | 200ul | 产品价格: | ¥2800.0 |
| 产品编号 | bs-9852R |
| 英文名称 | TFCP2C Rabbit pAb |
| 中文名称 | 转录因子CP2抗体 |
| 英文别名 | alpha globin transcription factor CP2; CP2; LBP 1C; LBP1C; LSF; SAA3 enhancer factor; SEF; TFCP2; TFCP2C; Transcription factor CP2; Transcription factor LSF; TFCP2_HUMAN. |
| 产品应用 | IHC-P=1:100-500, IHC-F=1:100-500, IF=1:100-500 Not yet tested in other applications. |
| 交叉反应 | Rat (Human, Mouse, Chicken, Dog, Cow, Horse, Sheep) |
| 抗体来源 | Rabbit |
| 免疫原 | KLH conjugated synthetic peptide derived from human TFCP2C |
| 亚型 | IgG |
| 性状 | Liquid |
| 纯化方法 | affinity purified by Protein A |
| 克隆类型 | Polyclonal |
| 理论分子量 | 57 kDa |
| 浓度 | 1mg/ml |
| 储存液 | 0.01M TBS (pH7.4) with 1% BSA, 0.02% Proclin300 and 50% Glycerol. |
| 研究领域 | Cardiovascular > Blood Epigenetics and Nuclear Signaling > Transcription > Other factors Epigenetics and Nuclear Signaling > Transcription > Transcription Factors |
| 亚基 | Binds to DNA as a dimer, isoform 3 does not bind to DNA or affect the binding of isoform 1 to DNA. Interacts with UBP1 and PIAS1, and is probably part of a complex containing TFCP2, UBP1 and PIAS1. Component of the SSP (stage selector protein) complex, which appears to be a heteromer of TFCP2 and 2 copies of NFE4. |
| 亚细胞定位 | Nuclear. |
| 组织特异性 | Ubiquitous. Expressed in brain, ovary, kidney, thymus, spleen, liver, adrenal, heart and lung (at protein level). |
| 相似性 | Belongs to the grh/CP2 family. CP2 subfamily. |
| 功能 | Binds a variety of cellular and viral promoters including fibrinogen, alpha-globin, SV40 and HIV-1 promoters. Activation of the alpha-globin promoter in erythroid cells is via synergistic interaction with UBP1. Functions as part of the SSP (stage selector protein) complex. Facilitates the interaction of the gamma-globin genes with enhancer elements contained in the locus control region in fetal erythroid cells. Interacts by binding to the stage selector element (SSE) in the proximal gamma-globin promoter. |
| 保存条件 | Shipped at 4℃. Store at -20℃ for one year. Avoid repeated freeze/thaw cycles. |
| 注意事项 | This product as supplied is intended for research use only, not for use in human, therapeutic or diagnostic applications. |
| 背景资料 | CP2 family gene products are reported to be involved in a-globin gene expression. Mouse CP2c (also known as a-CP2/CP2/LSF/UBP-1) is a homologue of human LBP-1c with 96% amino acid sequence identity. CP2c was initially identified as an activator of the mouse a-globin gene, which binds to the consensus DNA-binding sequence CNRG-N6-CNR(G/C) within a promoter element overlapping the CCAAT box. The transcriptional activity of CP2c was increased during induced differentiation of MEL cells and associated globin gene transcription. CP2c is also likely to be involved in regulation of non-globin erythroid-specific genes. It was reported that congenital erythropoietic porphyria was caused by the mutations in GATA-1 and CP2c binding sites within the promoter of the uroporphyrinogen III synthase gene, the fourth enzyme in the heme biosynthetic pathway. |
| 应用 | 推荐稀释比例 |
| {IHC-P} | {1:100-500} |
| {IHC-F} | {1:100-500} |
| {IF} | {1:100-500} |

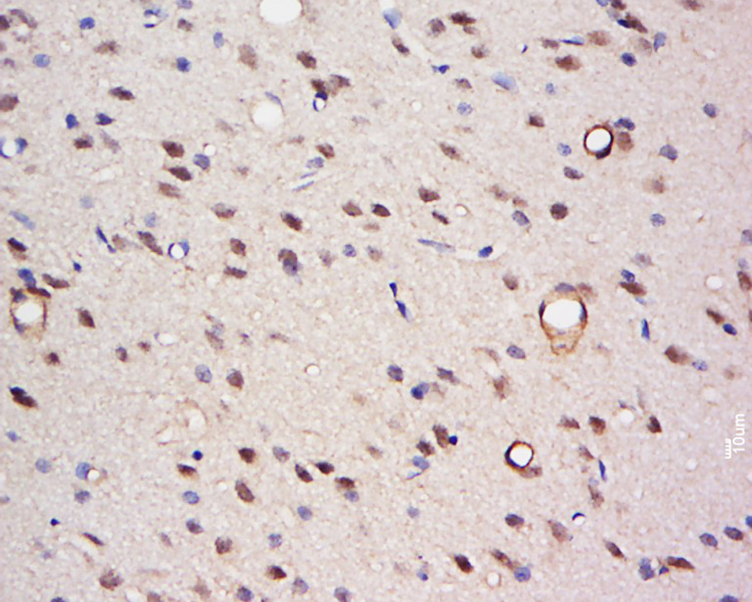
Antigen retrieval: citrate buffer ( 0.01M, pH 6.0 ), Boiling bathing for 15min; Block endogenous peroxidase by 3% Hydrogen peroxide for 30min; Blocking buffer (normal goat serum,C-0005) at 37℃ for 20 min;
Incubation: Anti-TFCP2C Polyclonal Antibody, Unconjugated(bs-9852R) 1:500, overnight at 4°C, followed by conjugation to the secondary antibody(SP-0023) and DAB(C-0010) staining
风险提示:丁香通仅作为第三方平台,为商家信息发布提供平台空间。用户咨询产品时请注意保护个人信息及财产安全,合理判断,谨慎选购商品,商家和用户对交易行为负责。对于医疗器械类产品,请先查证核实企业经营资质和医疗器械产品注册证情况。
文献和实验Although the rabbit is used extensively in developmental toxicity testing, relatively little is known about the fundamental developmental biology of this species let alone mechanisms underlying developmental toxicity. This paucity
Testing Rabbit Bleeds By Elisa
as a solid if soluble. Mix, adding glutaraldehyde last. Peptide and BSA turn a little yellow even before adding glutaraldehyde. Incubate 90'' at 37 deg C. Add 0.1 volumes of 0.1 M NaBH4 in 0.1 M NaHCO3. There will be some bubbling. Add
Immunofluorescence: Rabbit Anti-Murine RELMα
for 25 minutes. 3. Incubate the tissue section with blocking buffer for 20 minutes. 4. Incubate the tissue section overnight at 4?C with Rabbit Anti-Murine RELMα at 4.0 ng/mL in 1X PBS with 0.01% Triton-X and 0.5% BSA. Wash the slide
技术资料暂无技术资料 索取技术资料






