Sample:
Ovary (Mouse) Lysate at 40 ug
Primary: Anti- phospho-APC1 (Ser355) (bs-5173R) at 1/1000 dilution
Secondary: IRDye800CW Goat Anti-Rabbit IgG at 1/20000 dilution
Predicted band size: 212 kD
Observed band size: 212 kD
相关产品推荐更多 >

phospho-Mcl1 (Ser159 + Thr163) Rabbit pAb, AP conjugated(bs-3265R-AP)-100ul
¥2980
CD24 Rabbit pAb, AP conjugated(bs-23867R-AP)-100ul
¥2980
EDA2R Rabbit pAb(bs-7111R)-50ul/100ul/200ul
¥1180
TGF beta Receptor I Rabbit pAb(bs-23445R)-50ul/100ul/200ul
¥1180
Complement C2 Rabbit pAb(bs-8613R)-50ul/100ul/200ul
¥1180
万千商家帮你免费找货
0 人在求购买到急需产品
- 详细信息
- 技术资料
- 应用范围:
产品信息以Bioss网站为准
- 规格:
50ul/100ul/200ul
| 规格: | 50ul | 产品价格: | ¥1180.0 |
|---|---|---|---|
| 规格: | 100ul | 产品价格: | ¥1980.0 |
| 规格: | 200ul | 产品价格: | ¥2800.0 |
| 产品编号 | bs-5173R |
| 英文名称 | phospho-APC1 (Ser355) Rabbit pAb |
| 中文名称 | 磷酸化细胞周期末期促进复合蛋白APC1抗体 |
| 英文别名 | Apc1(phospho S355); phospho-ANAPC1(Ser355); ANAPC 1; ANAPC1; Anaphase promoting complex subunit 1; anaphase-promoting complex 1(meiotic checkpoint regulator); Anaphase-promoting complex subunit 1; Apc 1; APC1; APC1_HUMAN; Cyclosome subunit 1; MCPR; Meiotic checkpoint regulator; Mitotic checkpoint regulator; Protein Tsg 24; Protein Tsg24; Testis-specific gene 24 protein; TSG 24; TSG24. |
| 产品应用 | WB=1:500-2000, IHC-P=1:100-500, IHC-F=1:100-500, IF=1:100-500 Not yet tested in other applications. |
| 交叉反应 | Mouse, Rat (Human, Dog, Pig, Cow, Horse, Rabbit, Sheep) |
| 抗体来源 | Rabbit |
| 免疫原 | KLH conjugated Synthesised phosphopeptide derived from human ANAPC1 around the phosphorylation site of Ser355 |
| 亚型 | IgG |
| 性状 | Liquid |
| 纯化方法 | affinity purified by Protein A |
| 克隆类型 | Polyclonal |
| 理论分子量 | 212 kDa |
| 浓度 | 1mg/ml |
| 储存液 | 0.01M TBS (pH7.4) with 1% BSA, 0.02% Proclin300 and 50% Glycerol. |
| 研究领域 | Cell Biology > Proteolysis / Ubiquitin > Proteasome / Ubiquitin > APC/C |
| 亚基 | The APC/C is composed of at least 12 subunits. |
| 翻译后修饰 | Phosphorylated. Phosphorylation on Ser-355 occurs specifically during mitosis. |
| 相似性 | Belongs to the APC1 family. Contains 4 PC repeats. |
| 功能 | Component of the anaphase promoting complex/cyclosome (APC/C), a cell cycle-regulated E3 ubiquitin ligase that controls progression through mitosis and the G1 phase of the cell cycle. The APC/C complex acts by mediating ubiquitination and subsequent degradation of target proteins: it mainly mediates the formation of 'Lys-11'-linked polyubiquitin chains and, to a lower extent, the formation of 'Lys-48'- and 'Lys-63'-linked polyubiquitin chains. |
| 保存条件 | Shipped at 4℃. Store at -20℃ for one year. Avoid repeated freeze/thaw cycles. |
| 注意事项 | This product as supplied is intended for research use only, not for use in human, therapeutic or diagnostic applications. |
| 背景资料 | This gene encodes a subunit of the anaphase-promoting complex. This complex is an E3 ubiquitin ligase that regulates progression through the metaphase to anaphase portion of the cell cycle by ubiquitinating proteins which targets them for degradation. [provided by RefSeq, Dec 2011]. |
| 应用 | 推荐稀释比例 |
| {WB} | {1:500-2000} |
| {IHC-P} | {1:100-500} |
| {IHC-F} | {1:100-500} |
| {IF} | {1:100-500} |


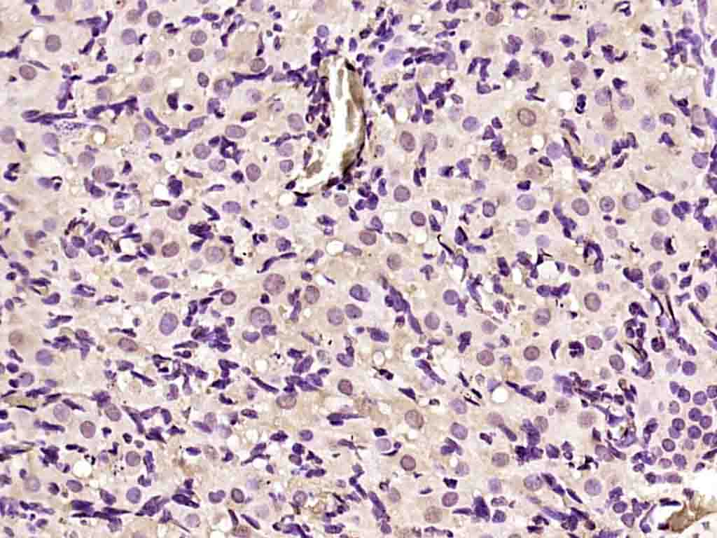
Paraformaldehyde-fixed, paraffin embedded (rat ovary); Antigen retrieval by boiling in sodium citrate buffer (pH6.0) for 15min; Block endogenous peroxidase by 3% hydrogen peroxide for 20 minutes; Blocking buffer (normal goat serum) at 37°C for 30min; Antibody incubation with (phospho-APC1 (Ser355)) Polyclonal Antibody, Unconjugated (bs-5173R) at 1:200 overnight at 4°C, followed by operating according to SP Kit(Rabbit) (sp-0023) instructionsand DAB staining.
风险提示:丁香通仅作为第三方平台,为商家信息发布提供平台空间。用户咨询产品时请注意保护个人信息及财产安全,合理判断,谨慎选购商品,商家和用户对交易行为负责。对于医疗器械类产品,请先查证核实企业经营资质和医疗器械产品注册证情况。
技术资料暂无技术资料 索取技术资料
phospho-APC1 (Ser355) Rabbit pAb(bs-5173R)-50ul/100ul/200ul
¥1180 - 2800





