相关产品推荐更多 >

Hyaluronidase3 Rabbit pAb, BF555 conjugated(bs-5889R-BF555)-100ul
¥2980
LY6G5C/C6orf20 Rabbit pAb(bs-18454R)-50ul/100ul/200ul
¥1180
Aldolase A Rabbit pAb, BF555 conjugated(bs-2406R-BF555)-100ul
¥2980
PIM1 Rabbit pAb, APC conjugated(bs-3540R-APC)-100ul
¥2980
KAP3.3 Rabbit pAb(bs-16851R)-50ul/100ul/200ul
¥1180
万千商家帮你免费找货
0 人在求购买到急需产品
- 详细信息
- 文献和实验
- 技术资料
- 应用范围:
产品信息以Bioss网站为准
- 规格:
50ul/100ul/200ul
| 规格: | 50ul | 产品价格: | ¥1180.0 |
|---|---|---|---|
| 规格: | 100ul | 产品价格: | ¥1980.0 |
| 规格: | 200ul | 产品价格: | ¥2800.0 |
| 产品编号 | bs-3395R |
| 英文名称 | phospho-SGK1 (Ser78) Rabbit pAb |
| 中文名称 | 磷酸化糖皮质激素调节激酶1抗体 |
| 英文别名 | SGK1(phospho S78); p-SGK1(phospho S78); Serine/threonine protein kinase SGK; Serine/threonine protein kinase Sgk1; Serine/threonine-protein kinase Sgk1; Serum and glucocorticoid regulated kinase; Serum/glucocorticoid regulated kinase 1; Serum/glucocorticoid regulated kinase; Serum/glucocorticoid-regulated kinase 1; SGK 1; SGK; SGK1; SGK1_HUMAN. |
| 产品应用 | WB=1:500-2000, IHC-P=1:100-500, IHC-F=1:100-500, IF=1:100-500 Not yet tested in other applications. |
| 交叉反应 | Human, Mouse, Rat (Dog, Pig, Cow, Horse) |
| 抗体来源 | Rabbit |
| 免疫原 | KLH conjugated Synthesised phosphopeptide derived from human SGK1 around the phosphorylation site of Ser78 |
| 亚型 | IgG |
| 性状 | Liquid |
| 纯化方法 | affinity purified by Protein A |
| 克隆类型 | Polyclonal |
| 理论分子量 | 49 kDa |
| 浓度 | 1mg/ml |
| 储存液 | 0.01M TBS (pH7.4) with 1% BSA, 0.02% Proclin300 and 50% Glycerol. |
| 研究领域 | Developmental Biology > Embryogenesis > Embryonic stem cells > Surface molecules Signal Transduction > Protein Phosphorylation > Ser / Thr Kinases > Other Kinases Stem Cells > Embryonic Stem Cells > Intracellular |
| 亚基 | Interacts with NEDD4 and NEDD4L. |
| 亚细胞定位 | Isoform 2: Cell membrane. Cytoplasm. Nucleus. Endoplasmic reticulum. Note=Nuclear, upon phosphorylation. |
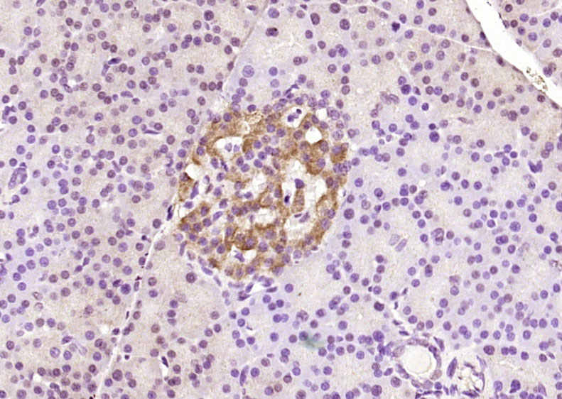
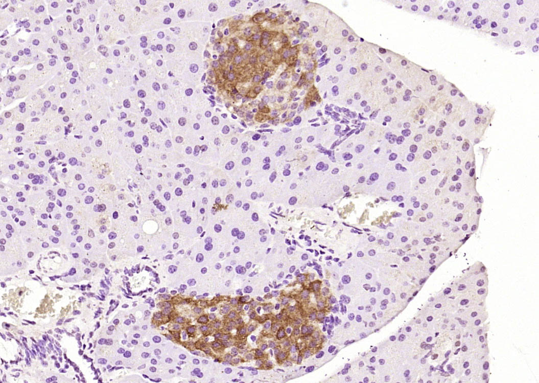
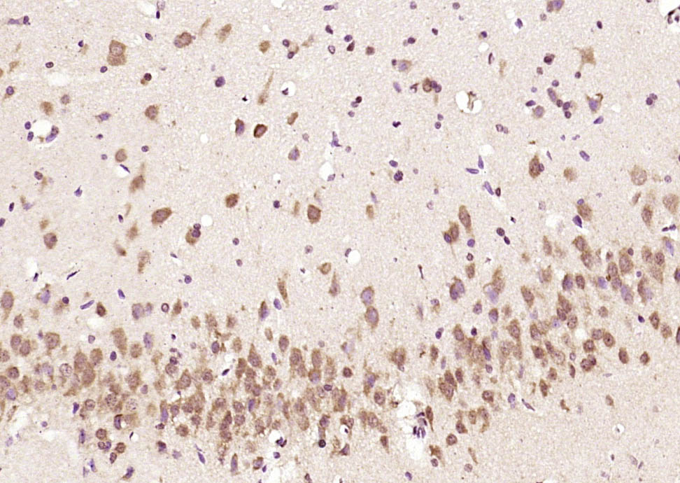
| 组织特异性 | Expressed in most tissues with highest levels in the pancreas, followed by placenta, kidney and lung. Isoform 2 is strongly expressed in brain and pancreas, weaker in heart, placenta, lung, liver and skeletal muscle. |
| 翻译后修饰 | Regulated by phosphorylation. Phosphoinositide 3-kinase (PI3-kinase) pathway promotes phosphorylation at Ser-422 which in turn increases the phosphorylation of Thr-256 by PDPK1. Ubiquitinated by NEDD4L; which promotes proteasomal degradation. Ubiquitinated by SYVN1 at the endoplasmic reticulum; which promotes rapid proteasomal degradation and maintains a high turnover rate in resting cells. Isoform 2 shows enhanced stability. Isoform 2 resistance to proteasomal degradation is mediated by the sequences within the first 120-amino acid. |
| 相似性 | Belongs to the protein kinase superfamily. AGC Ser/Thr protein kinase family. Contains 1 AGC-kinase C-terminal domain. Contains 1 protein kinase domain. |
| 功能 | Protein kinase that plays an important role in cellular stress response. Activates certain potassium, sodium, and chloride channels, suggesting an involvement in the regulation of processes such as cell survival, neuronal excitability and renal sodium excretion. Sustained high levels and activity may contribute to conditions such as hypertension and diabetic nephropathy. Mediates cell survival signals, phosphorylates and negatively regulates pro-apoptotic FOXO3A. Phosphorylates NEDD4L, which leads to its inactivation and to the subsequent activation of various channels and transporters such as ENaC, KCNA3/Kv1.3 or EAAT1. Isoform 2 exhibited a greater effect on cell plasma membrane expression of ENaC and Na(+) transport than isoform 1. |
| 保存条件 | Shipped at 4℃. Store at -20℃ for one year. Avoid repeated freeze/thaw cycles. |
| 注意事项 | This product as supplied is intended for research use only, not for use in human, therapeutic or diagnostic applications. |
| 背景资料 | SGK1 is a protein kinase that plays an important role in cellular stress response. SGK1 activates certain potassium, sodium, and chloride channels, suggesting an involvement in the regulation of processes such as cell survival, neuronal excitability, and renal sodium excretion. Sustained high levels of SGK1 and activity may contribute to conditions such as hypertension and diabetic nephropathy. This protein also mediates cell survival signals, as it has been shown to phosphorylate and negatively regulate the pro apoptotic FOXO3A protein. Ser 422 is a critical site on the protein and may be involved in its activation. |
| 应用 | 推荐稀释比例 |
| {WB} | {1:500-2000} |
| {IHC-P} | {1:100-500} |
| {IHC-F} | {1:100-500} |
| {IF} | {1:100-500} |

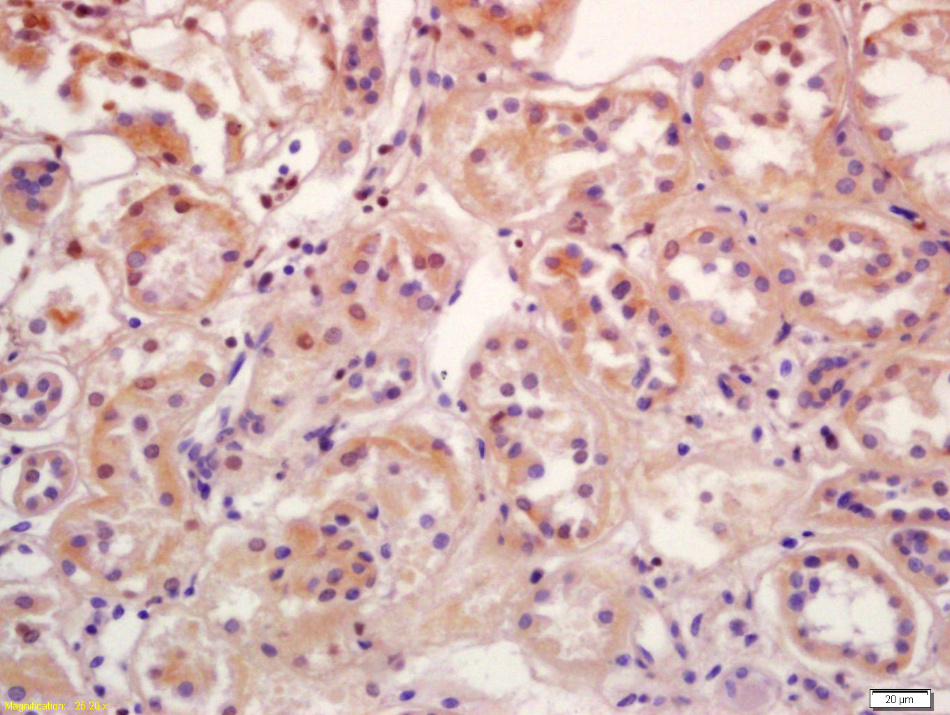
Antigen retrieval: citrate buffer ( 0.01M, pH 6.0 ), Boiling bathing for 15min; Block endogenous peroxidase by 3% Hydrogen peroxide for 30min; Blocking buffer (normal goat serum,C-0005) at 37℃ for 20 min;
Incubation: Anti-Phospho-SGK1(Ser78) Polyclonal Antibody, Unconjugated(bs-3395R) 1:200, overnight at 4°C, followed by conjugation to the secondary antibody(SP-0023) and DAB(C-0010) staining

Primary: Rabbit Anti-Phospho-SGK1 (bs-3395R) at 1:300
Secondary:IRDye800CW Goat Anti-Rabbit IgG at 1/20000 dilution
Predicted band size:49 kD
Observed band size:49 kD




Pancreas (Mouse) Lysate at 40 ug
Primary: Anti-Phospho-SGK1 (Ser78) (bs-3395R) at 1/1000 dilution
Secondary: IRDye800CW Goat Anti-Rabbit IgG at 1/20000 dilution
Predicted band size: 49 kD
Observed band size: 50 kD

Lane 1: Mouse Cerebrum tissue lysates
Lane 2: Rat Cerebrum tissue lysates
Primary: Anti-Phospho-SGK1 (Ser78) (bs-3395R) at 1/1000 dilution
Secondary: IRDye800CW Goat Anti-Rabbit IgG at 1/20000 dilution
Predicted band size: 49 kDa
Observed band size: 49 kDa
风险提示:丁香通仅作为第三方平台,为商家信息发布提供平台空间。用户咨询产品时请注意保护个人信息及财产安全,合理判断,谨慎选购商品,商家和用户对交易行为负责。对于医疗器械类产品,请先查证核实企业经营资质和医疗器械产品注册证情况。
文献和实验[IF={{ 1.7 }}] {Kumiko Taguchi. et al. Esaxerenone Improves Vascular Endothelial Dysfunction by Reducing Serum and Glucocorticoid-Regulated Kinase 1 Activity and Enhancing the Akt Pathway in Type 2 Diabetic Mice. BIOL PHARM BULL. 2025 Apr;48(4):422-431} {WB} {Mouse}
:使用 Anti-phospho-Akt (Ser473) Rabbit mAb 对石蜡包埋的人乳腺癌组织进行免疫组织化学分析。(图 A)使用免疫组化试剂盒M&R HRP/DAB Detection IHC Kit,抗体 1:100 稀释;(图 B) 采用普通免疫组化试剂盒,抗体 1:25 稀释。 图 6 免疫组化实验检测 Erk1/2 表达 注:使用 Anti-Erk1/2 Mouse mAb与p44/42 MAPK (Erk1/2)Rabbit mAb 对正常小鼠心脏组织进行免疫
at 10, 25, and 50 μM). At 24 h post-treatment, celllysates were obtained; SDS-PAGE and Western blotting were performed as described in Section 3, Methods. AR-A014418dose-dependent decreases of phospho-β-catenin (Ser33/37) and phospho-glycogen synthase
(Ser473)(193H12)Rabbit mAb,1:300,稀释,二抗是驴抗兔,1:2000,我是实验室的新手,刚呆俩月,受 此挫折,一头雾水,请过来人或者有经验的同学帮忙解答怎样解决,非常感谢! 碧峤 pAkt有两个位点,Ser473和Thr308,其中Ser473相对容易显色。如果显色失败,可能的原因:1 上样量过少,我们一般都是30μg;2 一抗孵育时间过短,我们一般24h~48h;3 一抗是否工作有待排除 米宝
技术资料暂无技术资料 索取技术资料





