相关产品推荐更多 >

phospho-ATM (Ser794) Rabbit pAb, PerCP-Cy5.5 conjugated(bs-12545R-PerCP-Cy5.5)-100ul
¥2980
Anti-human IL-20 (Cheng Kung U. patent Anti-IL-20 Biosimilar)(BIO0654SM)-1mg/5mg/20mg
¥3200
E cadherin Rabbit pAb, APC conjugated(bs-1519R-APC)-100ul
¥2980
phospho-ATG1 (Ser556) Rabbit pAb, BF555 conjugated(bs-3464R-BF555)-100ul
¥2980
BMP9 Rabbit pAb, HRP conjugated(bs-6909R-HRP)-100ul
¥2980
万千商家帮你免费找货
0 人在求购买到急需产品
- 详细信息
- 文献和实验
- 技术资料
- 应用范围:
产品信息以Bioss网站为准
- 规格:
50ul/100ul/200ul
| 规格: | 50ul | 产品价格: | ¥1180.0 |
|---|---|---|---|
| 规格: | 100ul | 产品价格: | ¥1980.0 |
| 规格: | 200ul | 产品价格: | ¥2800.0 |
| 产品编号 | bs-1372R |
| 英文名称 | PSMD9 Rabbit pAb |
| 中文名称 | 蛋白酶调解因子9抗体 |
| 英文别名 | Bridge-1; MGC8644; 26S proteasome non ATPase regulatory subunit 9; 26S proteasome regulatory subunit p27; Homolog of rat Bridge 1; p27; Proteasome(prosome macropain) 26S subunit non ATPase 9; Proteasome 26S non ATPase regulatory subunit 9; Proteasome 26S subunit non ATPase 9; PSMD 9; Rpn4; PSMD9_HUMAN. |
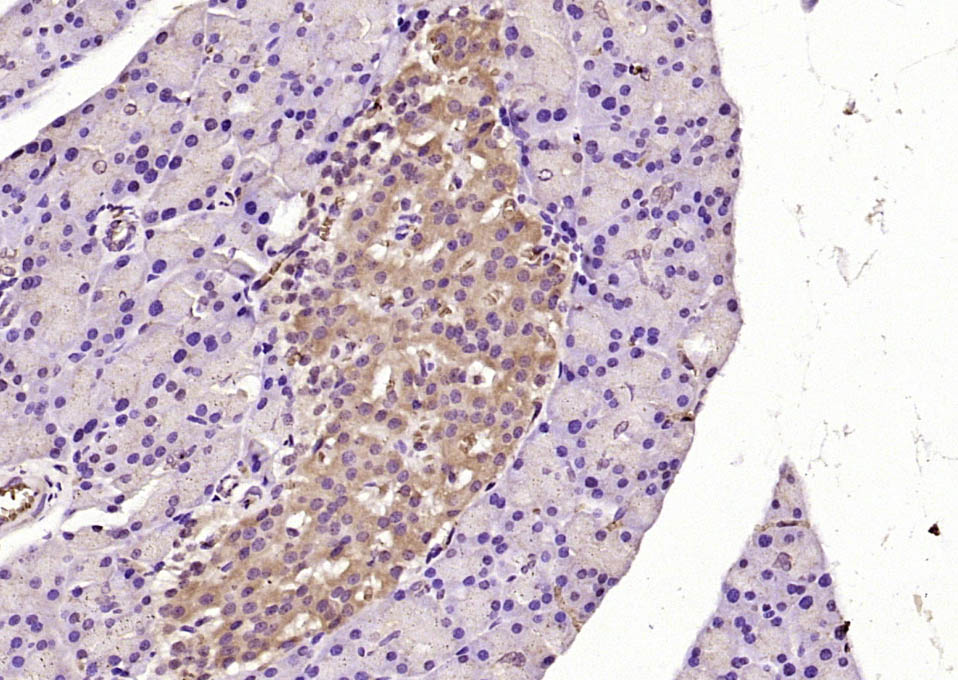
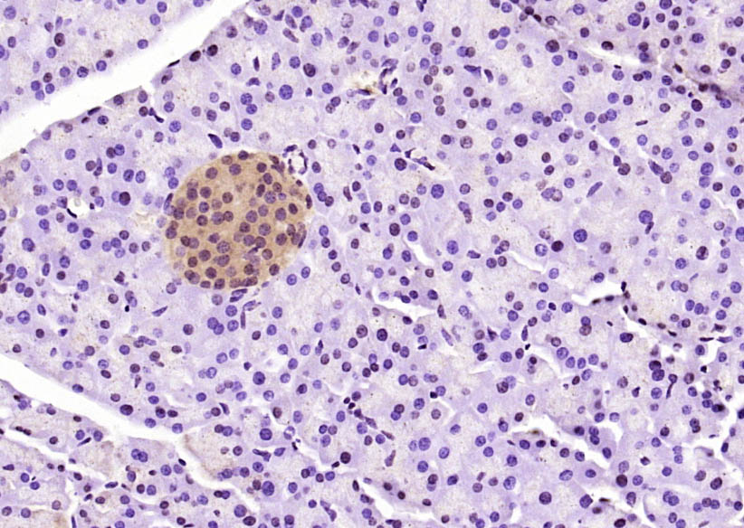
| 产品应用 | IHC-P=1:100-500, IHC-F=1:100-500, IF=1:100-500 Not yet tested in other applications. |
| 交叉反应 | Mouse, Rat (Human, Chicken, Dog, Pig, Cow, Horse, Rabbit, GuineaPig) |
| 抗体来源 | Rabbit |
| 免疫原 | KLH conjugated synthetic peptide derived from human PSMD9 |
| 亚型 | IgG |
| 性状 | Liquid |
| 纯化方法 | affinity purified by Protein A |
| 克隆类型 | Polyclonal |
| 理论分子量 | 25 kDa |
| 浓度 | 1mg/ml |
| 储存液 | 0.01M TBS (pH7.4) with 1% BSA, 0.02% Proclin300 and 50% Glycerol. |
| 研究领域 | Cell Biology > Proteolysis / Ubiquitin > Proteasome / Ubiquitin > Proteasome |
| 亚基 | Interacts with PSMC3. Part of a transient complex (modulator) containing PSMD9, PSMC6 and PSMC3 formed during the assembly of the 26S proteasome. |
| 组织特异性 | Expressed in all tissues tested, highly expressed in liver and kidney. |
| 相似性 | Belongs to the proteasome subunit p27 family. Contains 1 PDZ (DHR) domain. |
| 功能 | Acts as a chaperone during the assembly of the 26S proteasome, specifically of the base subcomplex of the PA700/19S regulatory complex (RC). During the base subcomplex assembly is part of an intermediate PSMD9:PSMC6:PSMC3 module, also known as modulator trimer complex; PSMD9 is released during the further base assembly process. |
| 保存条件 | Shipped at 4℃. Store at -20℃ for one year. Avoid repeated freeze/thaw cycles. |
| 注意事项 | This product as supplied is intended for research use only, not for use in human, therapeutic or diagnostic applications. |
| 背景资料 | The 26S proteasome is a multicatalytic proteinase complex with a highly ordered structure composed of 2 complexes, a 20S core and a 19S regulator. The 20S core is composed of 4 rings of 28 non-identical subunits; 2 rings are composed of 7 alpha subunits and 2 rings are composed of 7 beta subunits. The 19S regulator is composed of a base, which contains 6 ATPase subunits and 2 non-ATPase subunits, and a lid, which contains up to 10 non-ATPase subunits. Proteasomes are distributed throughout eukaryotic cells at a high concentration and cleave peptides in an ATP/ubiquitin-dependent process in a non-lysosomal pathway. An essential function of a modified proteasome, the immunoproteasome, is the processing of class I MHC peptides. This gene encodes a non-ATPase subunit of the 19S regulator. Three transcript variants encoding two different isoforms have been found for this gene. [provided by RefSeq, May 2012] |
| 应用 | 推荐稀释比例 |
| {IHC-P} | {1:100-500} |
| {IHC-F} | {1:100-500} |
| {IF} | {1:100-500} |


风险提示:丁香通仅作为第三方平台,为商家信息发布提供平台空间。用户咨询产品时请注意保护个人信息及财产安全,合理判断,谨慎选购商品,商家和用户对交易行为负责。对于医疗器械类产品,请先查证核实企业经营资质和医疗器械产品注册证情况。
文献和实验= NAL), appears to form upon oxidative cyclization of the nonfluorescent 2:1 lysine-HNE Michael adduct-Schiff base cross-link (Scheme 1). Polyclonal antibody (PAb) to the NAL-HNE fluorophore was raised in rabbit and found to be highly specific
GE Healthcare Benzamidine Sepharose™ 6B is p-aminobenzamidine covalently attached to Sepharose 6B by the epoxy coupling method. p-Aminobenzamidine (PAB), is a synthetic inhibitor of trypsin-like serine protease. Trypsin and trypsin
Nucleic Acid Programmable Protein Arrays: Versatile Tools for Array‐Based Functional Protein Studies
.g., Sigma) 50 mg/ml bis‐sulfosuccinimdylsuberate (BS3 ;Pierce, cat. no. PI 21580) in dimethylsulfoxide (DMSO) 5 mg/ml
技术资料暂无技术资料 索取技术资料






