相关产品推荐更多 >

Histone H3 (Di Methyl K36) Rabbit pAb, PE conjugated(bs-3769R-PE)-100ul
¥2980
GADD45A Rabbit pAb, PE-Cy5.5 conjugated(bs-1360R-PE-Cy5.5)-100ul
¥2980
UBE2J1 Rabbit pAb(bs-8374R)-50ul/100ul/200ul
¥1180
phospho-c-Kit (Tyr568 + Tyr570) Rabbit pAb, BF405 conjugated(bs-12916R-BF405)-100ul
¥2980
IQCK Rabbit pAb(bs-9023R)-50ul/100ul/200ul
¥1180
万千商家帮你免费找货
0 人在求购买到急需产品
- 详细信息
- 技术资料
- 应用范围:
产品信息以Bioss网站为准
- 规格:
50ul/100ul/200ul
| 规格: | 50ul | 产品价格: | ¥1180.0 |
|---|---|---|---|
| 规格: | 100ul | 产品价格: | ¥1980.0 |
| 规格: | 200ul | 产品价格: | ¥2800.0 |
| 产品编号 | bs-6716R |
| 英文名称 | Uricase Rabbit pAb |
| 中文名称 | 尿酸酶抗体 |
| 英文别名 | Urate oxidase; Uox; UOX-2; Uri; Uri2; URIC_MOUSE. |
| 产品应用 | WB=1:500-2000, IHC-P=1:100-500, IHC-F=1:100-500, IF=1:100-500 Not yet tested in other applications. |
| 交叉反应 | Mouse (Rat, Dog, Pig, Cow, Rabbit) |
| 抗体来源 | Rabbit |
| 免疫原 | KLH conjugated synthetic peptide derived from mouse Uricase |
| 亚型 | IgG |
| 性状 | Liquid |
| 纯化方法 | affinity purified by Protein A |
| 克隆类型 | Polyclonal |
| 理论分子量 | 17 kDa |
| 浓度 | 1mg/ml |
| 储存液 | 0.01M TBS (pH7.4) with 1% BSA, 0.02% Proclin300 and 50% Glycerol. |
| 亚细胞定位 | Peroxisome. |
| 翻译后修饰 | Acetylation of Lys-118, Lys-164 and Lys-290 is observed in liver mitochondria from fasted mice but not from fed mice. |
| 相似性 | Belongs to the uricase family. |
| 功能 | Catalyzes the oxidation of uric acid to 5-hydroxyisourate, which is further processed to form (S)-allantoin. |
| 保存条件 | Shipped at 4℃. Store at -20℃ for one year. Avoid repeated freeze/thaw cycles. |
| 注意事项 | This product as supplied is intended for research use only, not for use in human, therapeutic or diagnostic applications. |
| 背景资料 | Uricase catalyzes the oxidation of uric acid to 5 hydroxyisourate which spontaneously decomposes to form allantoin. |
| 应用 | 推荐稀释比例 |
| {WB} | {1:500-2000} |
| {IHC-P} | {1:100-500} |
| {IHC-F} | {1:100-500} |
| {IF} | {1:100-500} |

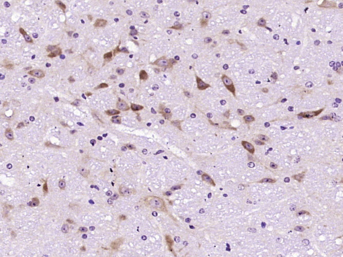
Paraformaldehyde-fixed, paraffin embedded (mouse brain tissue); Antigen retrieval by boiling in sodium citrate buffer (pH6.0) for 15min; Block endogenous peroxidase by 3% hydrogen peroxide for 20 minutes; Blocking buffer (normal goat serum) at 37°C for 30min; Antibody incubation with (Uricase) Polyclonal Antibody, Unconjugated (bs-6716R) at 1:400 overnight at 4°C, followed by operating according to SP Kit(Rabbit) (sp-0023) instructionsand DAB staining.

Sample:
Lane 1: Urinary bladder (Mouse) Lysate at 40 ug
Primary: Anti-Uricase (bs-6716R) at 1/1000 dilution
Secondary: IRDye800CW Goat Anti-Rabbit IgG at 1/20000 dilution
Predicted band size: 35 kD
Observed band size: 35 kD
Lane 1: Urinary bladder (Mouse) Lysate at 40 ug
Primary: Anti-Uricase (bs-6716R) at 1/1000 dilution
Secondary: IRDye800CW Goat Anti-Rabbit IgG at 1/20000 dilution
Predicted band size: 35 kD
Observed band size: 35 kD
风险提示:丁香通仅作为第三方平台,为商家信息发布提供平台空间。用户咨询产品时请注意保护个人信息及财产安全,合理判断,谨慎选购商品,商家和用户对交易行为负责。对于医疗器械类产品,请先查证核实企业经营资质和医疗器械产品注册证情况。
技术资料暂无技术资料 索取技术资料
Uricase Rabbit pAb(bs-6716R)-50ul/100ul/200ul
¥1180 - 2800





