相关产品推荐更多 >

DOK5 Rabbit pAb, BF647 conjugated(bs-8587R-BF647)-100ul
¥2980
phospho-CDKN1B (Ser10) Rabbit pAb, BF680 conjugated(bs-20074R-BF680)-100ul
¥2980
IL-22 Rabbit pAb(bs-43572R)-50ul/100ul/200ul
¥1180
IRF1 Rabbit pAb, PerCP-Cy5.5 conjugated(bs-1404R-PerCP-Cy5.5)-100ul
¥2980
CORO2B Rabbit pAb, Cy5.5 conjugated(bs-13997R-Cy5.5)-100ul
¥2980
万千商家帮你免费找货
0 人在求购买到急需产品
- 详细信息
- 文献和实验
- 技术资料
- 应用范围:
产品信息以Bioss网站为准
- 规格:
50ul/100ul/200ul
| 规格: | 50ul | 产品价格: | ¥1180.0 |
|---|---|---|---|
| 规格: | 100ul | 产品价格: | ¥1980.0 |
| 规格: | 200ul | 产品价格: | ¥2800.0 |
| 产品编号 | bs-3952R |
| 英文名称 | MT-ND5 Rabbit pAb |
| 中文名称 | NADH复合体5抗体 |
| 英文别名 | Complex I, subunit ND5; Mitochondrially encoded NADH dehydrogenase 5; MT ND5; MTND 5; MTND5; NAD5; NADH dehydrogenase subunit 5(complex I); NADH dehydrogenase subunit 5; NADH ubiquinone oxidoreductase, subunit ND5; NADH ubiquinone oxidoreductase chain 5; NADH5; ND5; EC 1.6.5.3.NU5M_HUMAN |
| 产品应用 | WB=1:500-2000, IHC-P=1:100-500, IHC-F=1:100-500, IF=1:100-500 Not yet tested in other applications. |
| 交叉反应 | Human, Rat |
| 抗体来源 | Rabbit |
| 免疫原 | KLH conjugated synthetic peptide derived from human MT-ND5 |
| 亚型 | IgG |
| 性状 | Liquid |
| 纯化方法 | affinity purified by Protein A |
| 克隆类型 | Polyclonal |
| 理论分子量 | 67 kDa |
| 浓度 | 1mg/ml |
| 储存液 | 0.01M TBS (pH7.4) with 1% BSA, 0.02% Proclin300 and 50% Glycerol. |
| 研究领域 | Cancer > Cancer Metabolism > Metabolic signaling pathway > Integration of energy metabolism Metabolism > Pathways and Processes > Metabolic signaling pathways > Energy transfer pathways > Integration of energy Metabolism > Pathways and Processes > Mitochondrial Metabolism > Mitochondrial markers Signal Transduction > Metabolism > Mitochondrial |
| 亚细胞定位 | Mitochondrion inner membrane; Multi-pass membrane protein. |
| 相似性 | Belongs to the complex I subunit 5 family. |
| 功能 | Core subunit of the mitochondrial membrane respiratory chain NADH dehydrogenase (Complex I) that is believed to belong to the minimal assembly required for catalysis. Complex I functions in the transfer of electrons from NADH to the respiratory chain. The immediate electron acceptor for the enzyme is believed to be ubiquinone (By similarity). |
| 保存条件 | Shipped at 4℃. Store at -20℃ for one year. Avoid repeated freeze/thaw cycles. |
| 注意事项 | This product as supplied is intended for research use only, not for use in human, therapeutic or diagnostic applications. |
| 背景资料 | MT-ND5 is the core subunit of the mitochondrial membrane respiratory chain NADH dehydrogenase (Complex I) that is believed to belong to the minimal assembly required for catalysis. Complex I functions in the transfer of electrons from NADH to the respiratory chain. The immediate electron acceptor for the enzyme is believed to be ubiquinone. |
| 应用 | 推荐稀释比例 |
| {WB} | {1:500-2000} |
| {IHC-P} | {1:100-500} |
| {IHC-F} | {1:100-500} |
| {IF} | {1:100-500} |

Cerebrum (Rat) Lysate at 40 ug
Primary: Anti-MT-ND5 (bs-3952R) at 1/500 dilution
Secondary: IRDye800CW Goat Anti-Rabbit IgG at 1/20000 dilution
Predicted band size: 67 kD
Observed band size: 67 kD

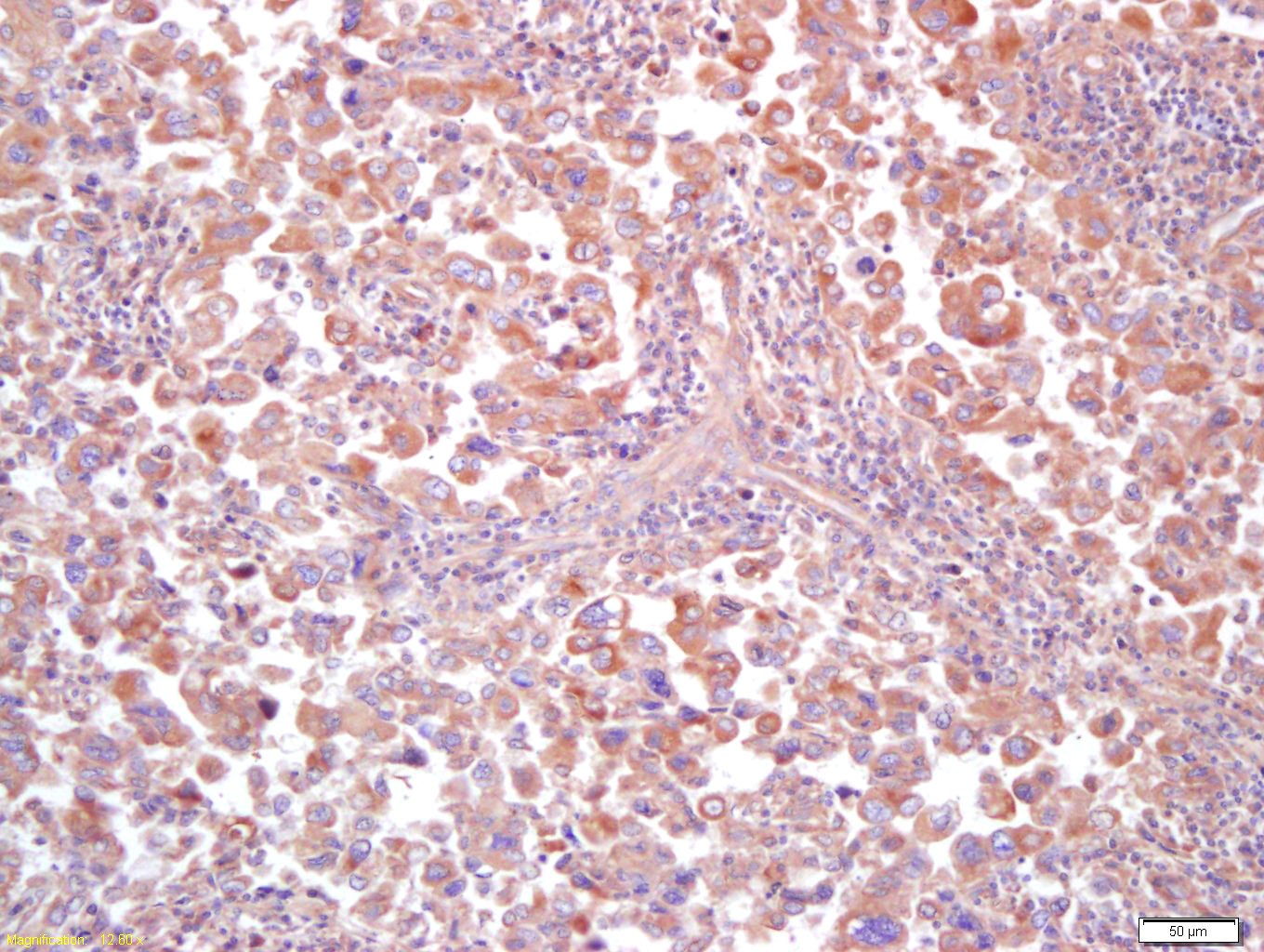
Antigen retrieval: citrate buffer ( 0.01M, pH 6.0 ), Boiling bathing for 15min; Block endogenous peroxidase by 3% Hydrogen peroxide for 30min; Blocking buffer (normal goat serum,C-0005) at 37℃ for 20 min;
Incubation: Anti-MT-ND5 Polyclonal Antibody, Unconjugated(bs-3952R) 1:200, overnight at 4°C, followed by conjugation to the secondary antibody(SP-0023) and DAB(C-0010) staining

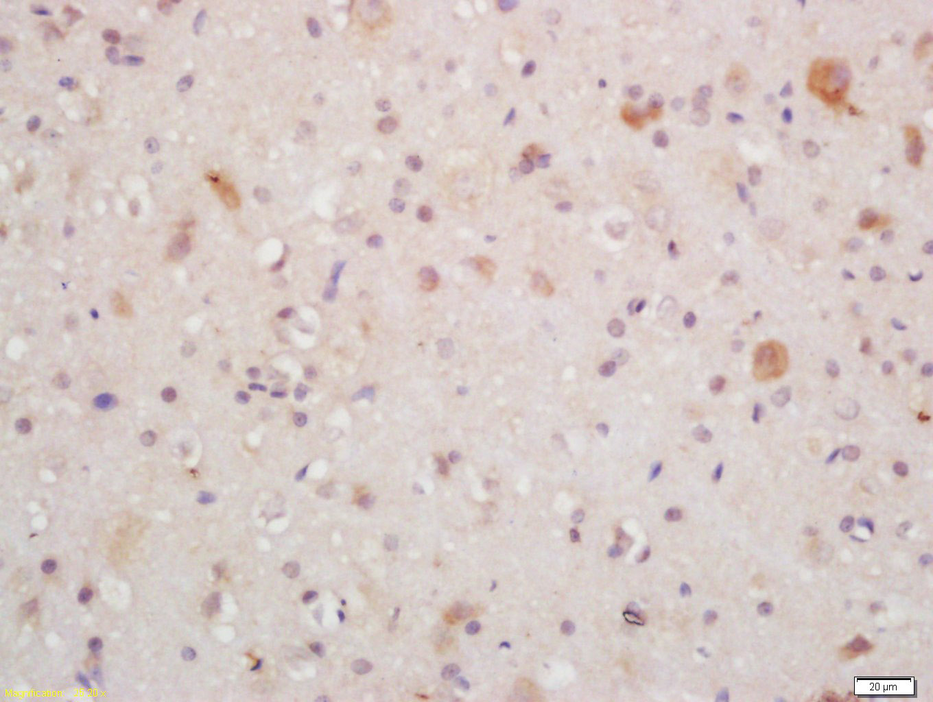
Antigen retrieval: citrate buffer ( 0.01M, pH 6.0 ), Boiling bathing for 15min; Block endogenous peroxidase by 3% Hydrogen peroxide for 30min; Blocking buffer (normal goat serum,C-0005) at 37℃ for 20 min;
Incubation: Anti-MT-ND5 Polyclonal Antibody, Unconjugated(bs-3952R) 1:200, overnight at 4°C, followed by conjugation to the secondary antibody(SP-0023) and DAB(C-0010) staining

风险提示:丁香通仅作为第三方平台,为商家信息发布提供平台空间。用户咨询产品时请注意保护个人信息及财产安全,合理判断,谨慎选购商品,商家和用户对交易行为负责。对于医疗器械类产品,请先查证核实企业经营资质和医疗器械产品注册证情况。
文献和实验[IF={{ 7.7 }}] {Yu Yang. et al. Deficiency of SLC26A3 promotes jejunal barrier damage in metabolic disease-susceptible transgenic pigs. INT J BIOL MACROMOL. 2024 Oct;:136245} {WB} {Pig}
[IF={{ 5.2 }}] {Wu, Ji-hong, et al. "Cumulative mtDNA damage and mutations contribute to the progressive loss of RGCs in a rat model of glaucoma." Neurobiology of Disease (2014).} {WB} {="Rat"}
= NAL), appears to form upon oxidative cyclization of the nonfluorescent 2:1 lysine-HNE Michael adduct-Schiff base cross-link (Scheme 1). Polyclonal antibody (PAb) to the NAL-HNE fluorophore was raised in rabbit and found to be highly specific
GE Healthcare Benzamidine Sepharose™ 6B is p-aminobenzamidine covalently attached to Sepharose 6B by the epoxy coupling method. p-Aminobenzamidine (PAB), is a synthetic inhibitor of trypsin-like serine protease. Trypsin and trypsin
Nucleic Acid Programmable Protein Arrays: Versatile Tools for Array‐Based Functional Protein Studies
.g., Sigma) 50 mg/ml bis‐sulfosuccinimdylsuberate (BS3 ;Pierce, cat. no. PI 21580) in dimethylsulfoxide (DMSO) 5 mg/ml
技术资料暂无技术资料 索取技术资料






