相关产品推荐更多 >

MEFV Rabbit pAb, APC conjugated(bs-18750R-APC)-100ul
¥2980
HDAC3 Rabbit pAb, BF555 conjugated(bs-10024R-BF555)-100ul
¥2980
phospho-BRAF (Thr598) Rabbit pAb, HRP conjugated(bs-12557R-HRP)-100ul
¥2980
HIF-2 alpha Recombinant Rabbit mAb(bsm-54278R)-50ul/100ul
¥1400
SOSSC Rabbit pAb, HRP conjugated(bs-9491R-HRP)-100ul
¥2980
万千商家帮你免费找货
0 人在求购买到急需产品
- 详细信息
- 文献和实验
- 技术资料
- 应用范围:
产品信息以Bioss网站为准
- 规格:
50ul/100ul/200ul
| 规格: | 50ul | 产品价格: | ¥1180.0 |
|---|---|---|---|
| 规格: | 100ul | 产品价格: | ¥1980.0 |
| 规格: | 200ul | 产品价格: | ¥2800.0 |
| 产品编号 | bs-3783R |
| 英文名称 | Histone H2B (Acetyl K20) Rabbit pAb |
| 中文名称 | 乙酰化组蛋白H2B抗体 |
| 英文别名 | Acetyl-Histone H2B(Lys20); Histone H2B(Acetyl-Lys20); Histone H2B(Acetyl Lys20); Histone H2B(Acetyl-K20); H2B.1; H2B.1 B; H2B.b; H2B.c; H2B.d; H2B.e; H2B.f; H2B.j; H2B.q; H2BFB; H2BFC; H2BFD; H2BFE; H2BFF; H2BFJ; H2BFO; H2BFQ; H2BFS; HIRIP2; HIST1H2BB; HIST1H2BD; HIST1H2BH; HIST1H2BL; HIST1H2BM; HIST1H2BN; HIST2H2BE; Histone H2B; Histone H2B type 1 B; Histone H2B type 1 D; Histone H2B type 1 H; Histone H2B type 1 L; Histone H2B type 1 M; Histone H2B type 1 N; Histone H2B type 2 E; Histone protein; H2B GL105; H2B histone family member O; H2B histone family member S; H2B1B_HUMAN. |
| 产品应用 | IHC-P=1:100-500, IHC-F=1:100-500, IF=1:100-500 Not yet tested in other applications. |
| 交叉反应 | Rat (Human, Mouse, Dog, Cow, Rabbit) |
| 抗体来源 | Rabbit |
| 免疫原 | KLH conjugated Synthesised acetylpeptide derived from human Histone H2B around the acetylation site of Lys20 |
| 亚型 | IgG |
| 性状 | Liquid |
| 纯化方法 | affinity purified by Protein A |
| 克隆类型 | Polyclonal |
| 理论分子量 | 14 kDa |
| 浓度 | 1mg/ml |
| 储存液 | 0.01M TBS (pH7.4) with 1% BSA, 0.02% Proclin300 and 50% Glycerol. |
| 研究领域 | Epigenetics and Nuclear Signaling > ChIP assays > ChIP antibodies |
| 亚基 | The nucleosome is a histone octamer containing two molecules each of H2A, H2B, H3 and H4 assembled in one H3-H4 heterotetramer and two H2A-H2B heterodimers. The octamer wraps approximately 147 bp of DNA. |
| 亚细胞定位 | Nucleus. Chromosome. |
| 翻译后修饰 | Monoubiquitination of Lys-121 by the RNF20/40 complex gives a specific tag for epigenetic transcriptional activation and is also prerequisite for histone H3 'Lys-4' and 'Lys-79' methylation. It also functions cooperatively with the FACT dimer to stimulate elongation by RNA polymerase II. [PTM] Phosphorylation at Ser-37 (H2BS36ph) by AMPK in response to stress promotes transcription (By similarity). Phosphorylated on Ser-15 (H2BS14ph) by STK4/MST1 during apoptosis; which facilitates apoptotic chromatin condensation. Also phosphorylated on Ser-15 in response to DNA double strand breaks (DSBs), and in correlation with somatic hypermutation and immunoglobulin class-switch recombination.
GlcNAcylation at Ser-113 promotes monoubiquitination of Lys-121. It fluctuates in response to extracellular glucose, and associates with transcribed genes (By similarity). Crotonylation (Kcr) is specifically present in male germ cells and marks testis-specific genes in post-meiotic cells, including X-linked genes that escape sex chromosome inactivation in haploid cells. Crotonylation marks active promoters and enhancers and confers resistance to transcriptional repressors. It is also associated with post-meiotically activated genes on autosomes. |
| 相似性 | Belongs to the histone H2B family. |
| 功能 | Core component of nucleosome. Nucleosomes wrap and compact DNA into chromatin, limiting DNA accessibility to the cellular machineries which require DNA as a template. Histones thereby play a central role in transcription regulation, DNA repair, DNA replication and chromosomal stability. DNA accessibility is regulated via a complex set of post-translational modifications of histones, also called histone code, and nucleosome remodeling. |
| 保存条件 | Shipped at 4℃. Store at -20℃ for one year. Avoid repeated freeze/thaw cycles. |
| 注意事项 | This product as supplied is intended for research use only, not for use in human, therapeutic or diagnostic applications. |
| 背景资料 | Histones are basic nuclear proteins that are responsible for the nucleosome structure of the chromosomal fiber in eukaryotes. Nucleosomes consist of approximately 146 bp of DNA wrapped around a histone octamer composed of pairs of each of the four core histones (H2A, H2B, H3, and H4). The chromatin fiber is further compacted through the interaction of a linker histone, H1, with the DNA between the nucleosomes to form higher order chromatin structures. This gene is intronless and encodes a member of the histone H2B family. Transcripts from this gene lack polyA tails; instead, they contain a palindromic termination element. This gene is found in the large histone gene cluster on chromosome 6p22-p21.3. [provided by RefSeq, Jul 2008]. |
| 应用 | 推荐稀释比例 |
| {IHC-P} | {1:100-500} |
| {IHC-F} | {1:100-500} |
| {IF} | {1:100-500} |

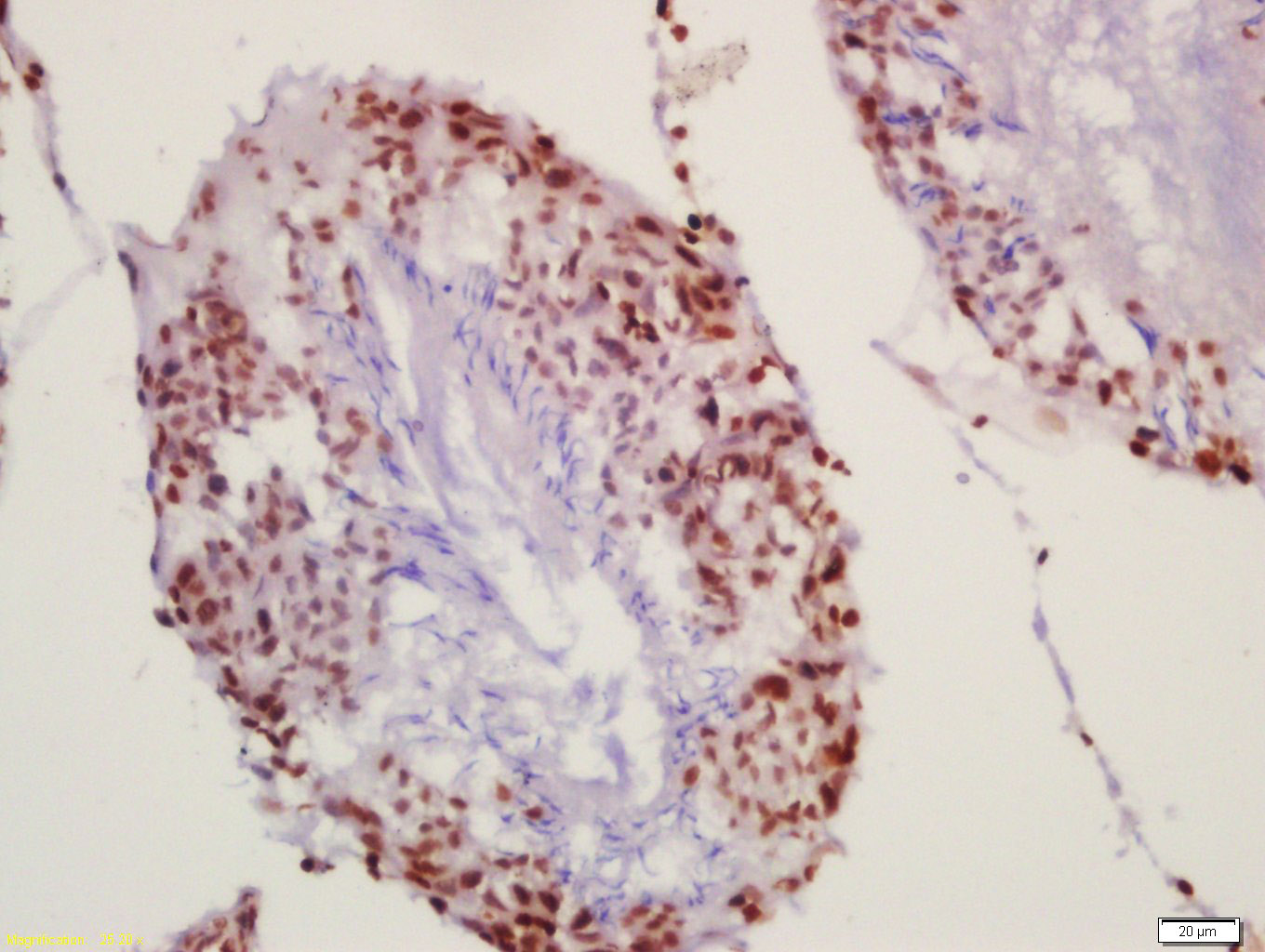
Antigen retrieval: citrate buffer ( 0.01M, pH 6.0 ), Boiling bathing for 15min; Block endogenous peroxidase by 3% Hydrogen peroxide for 30min; Blocking buffer (normal goat serum,C-0005) at 37℃ for 20 min;
Incubation: Anti-Histone H2B Polyclonal Antibody, Unconjugated(bs-3783R) 1:200, overnight at 4°C, followed by conjugation to the secondary antibody(SP-0023) and DAB(C-0010) staining

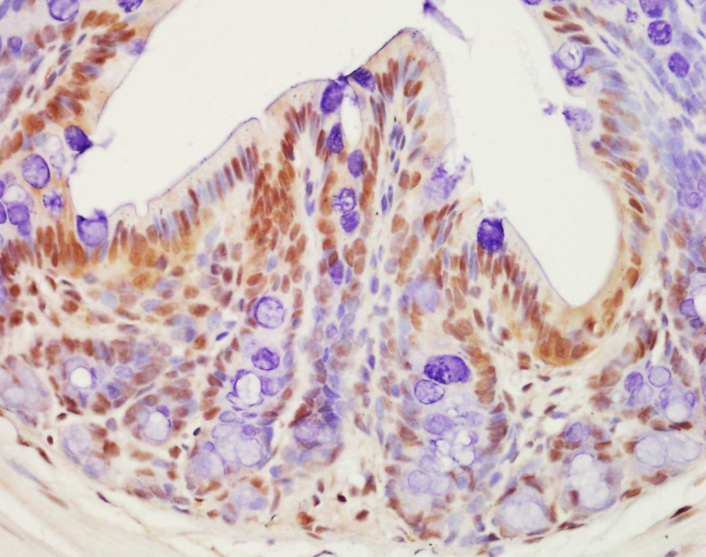
Antigen retrieval: citrate buffer ( 0.01M, pH 6.0 ), Boiling bathing for 15min; Block endogenous peroxidase by 3% Hydrogen peroxide for 30min; Blocking buffer (normal goat serum,C-0005) at 37℃ for 20 min;
Incubation: Anti-Histone H2B (Acetyl K20) Polyclonal Antibody, Unconjugated(bs-3783R) 1:200, overnight at 4°C, followed by conjugation to the secondary antibody(SP-0023) and DAB(C-0010) staining

Antigen retrieval: citrate buffer ( 0.01M, pH 6.0 ), Boiling bathing for 15min; Block endogenous peroxidase by 3% Hydrogen peroxide for 30min; Blocking buffer (normal goat serum,C-0005) at 37℃ for 20 min;
Incubation: Anti-Histone H2B (Acetyl K20) Polyclonal Antibody, Unconjugated(bs-3783R) 1:200, overnight at 4°C, followed by conjugation to the secondary antibody(SP-0023) and DAB(C-0010) staining
风险提示:丁香通仅作为第三方平台,为商家信息发布提供平台空间。用户咨询产品时请注意保护个人信息及财产安全,合理判断,谨慎选购商品,商家和用户对交易行为负责。对于医疗器械类产品,请先查证核实企业经营资质和医疗器械产品注册证情况。
文献和实验Histone Acetylation/Deacetylation As a Regulator of Cell Cycle Gene Expression
-diphosphate (ADP)-ribosylation, methylation, ubiquitination, and acetylation (1 ,2 ). Histone acetylation involves the transfer of an acetyl group from acetyl-coenzyme A (CoA) to the ε-amino group of lysine side chains within the substrate by histone acetyl
IHC IC2575Acetyl-Histone H2B (Lys12) AntibodyRabbitW IHC IC2571Acetyl-Histone H2B (Lys20) AntibodyRabbitW IP IHC IC2574Acetyl-Histone H2B (Lys5) AntibodyRabbitW IP IHC IC9675Acetyl-Histone H3 (Lys18) AntibodyRabbitW IHC IC9674Acetyl-Histone H3 (Lys23
结果分析的重要步骤和Trouble shooting的依据,因为非特异性的免疫沉淀难以避免。 一般的设置方法 1 未经免疫 沉淀的超声处理后样本( INPUT)。 2 加特异抗体来源动物的正常血清或无关抗体(MOCK)。 3 阳性对照引物的应用。 4 选择不与目的蛋白质结合的基因组 区域作对照。 如 阳性对照抗体 (Anti-acetyl-Histone H3) * 阴性对照抗体 (Normal Rabbit
技术资料暂无技术资料 索取技术资料






