相关产品推荐更多 >

phospho-Smad3 (Thr179) Rabbit pAb, BF594 conjugated(bs-19452R-BF594)-100ul
¥2980
HIV1 p55 + p17 Rabbit pAb(bs-9841R)-50ul/100ul/200ul
¥1180
Ubiquitin Rabbit pAb, BF488 conjugated(bs-7944R-BF488)-100ul
¥2980
DTD1/HARS2 Rabbit pAb(bs-14434R)-50ul/100ul/200ul
¥1180
Contactin 1 Rabbit pAb, APC conjugated(bs-13973R-APC)-100ul
¥2980
万千商家帮你免费找货
0 人在求购买到急需产品
- 详细信息
- 文献和实验
- 技术资料
- 应用范围:
产品信息以Bioss网站为准
- 规格:
50ul/100ul/200ul
| 规格: | 50ul | 产品价格: | ¥1180.0 |
|---|---|---|---|
| 规格: | 100ul | 产品价格: | ¥1980.0 |
| 规格: | 200ul | 产品价格: | ¥2800.0 |
| 产品编号 | bs-3337R |
| 英文名称 | phospho-PKR (Thr446 + Thr451) Rabbit pAb |
| 中文名称 | 磷酸化干扰素诱导的双链RNA活化蛋白激酶抗体 |
| 英文别名 | double-stranded RNA-dependent Protein Kinase; interferon-induced, double-stranded RNA-activated protein kinase isoform a; protein kinase, interferon-inducible double stranded RNA dependent; interferon-inducible elF2alpha kinase; double stranded RNA activated protein kinase; p68 kinase; eIF-2A protein kinase 2; P1/eIF-2A protein kinase; protein kinase RNA-activated; interferon-inducible RNA-dependent protein kinase; EIF2AK2; EIF2AK1; MGC126524; PKR; PRKR; E2AK2_HUMAN. |
| 产品应用 | WB=1:500-2000, IHC-P=1:100-500, IHC-F=1:100-500, ICC/IF=1:100-500, IF=1:100-500, Flow-Cyt=2ug/Test Not yet tested in other applications. |
| 交叉反应 | Human, Mouse, Rat |
| 抗体来源 | Rabbit |
| 免疫原 | KLH conjugated synthesised phosphopeptide derived from human PKR around the phosphorylation site of Thr446/451 |
| 亚型 | IgG |
| 性状 | Liquid |
| 纯化方法 | affinity purified by Protein A |
| 克隆类型 | Polyclonal |
| 理论分子量 | 62 kDa |
| 浓度 | 1mg/ml |
| 储存液 | 0.01M TBS (pH7.4) with 1% BSA, 0.02% Proclin300 and 50% Glycerol. |
| 研究领域 | Signal Transduction > Protein Phosphorylation > Ser / Thr Kinases > Other Kinases |
| 亚基 | Homodimer. Interacts with STRBP. Interacts with DNAJC3. Inhibited by direct interaction with viral proteins such as HCV E2, HCV NS5A and influenza A NS1. Activated by the interaction with HIV-1 Tat. Forms a complex with FANCA, FANCC, FANCG and HSP70. |
| 翻译后修饰 | Autophosphorylated on several Ser and Thr residues. Autophosphorylation of Thr-451 is dependent on Thr-446 and is stimulated by dsRNA binding and dimerization. Autophosphorylation apparently leads to the activation of the kinase. |
| 相似性 | Belongs to the protein kinase superfamily. Ser/Thr protein kinase family. GCN2 subfamily. Contains 2 DRBM (double-stranded RNA-binding) domains. Contains 1 protein kinase domain. |
| 功能 | Following activation by double-stranded RNA in the presence of ATP, the kinase becomes autophosphorylated and can catalyze the phosphorylation of the translation initiation factor EIF2S1, which leads to an inhibition of the initiation of protein synthesis. Double-stranded RNA is generated during the course of a viral infection. |
| 保存条件 | Shipped at 4℃. Store at -20℃ for one year. Avoid repeated freeze/thaw cycles. |
| 注意事项 | This product as supplied is intended for research use only, not for use in human, therapeutic or diagnostic applications. |
| 背景资料 | PKR is an interferon-inducible serine/threonine specific protein kinase. It is widely expressed in eukaryotic organisms and activated by double stranded RNA. Activation of PKR by dsRNAs leads to autophosphorylation at multiple sites. Phosphorylation of Thr446 and Thr451 in the PKR activation loop is required in vivo and in vitro for high level kinase activity. PKR phosphorylates its natural substrate, the alpha subunit of eukaryotic protein synthesis initiation factor 2 (EIF2 alpha), leading to the inhibition of protein synthesis. PKR is also involved in TLR signaling and mediates apoptosis in fibroblasts in response to viral infection and inflammatory cytokines, and also activates IKK and NFKB, thereby suppressing apoptosis. Recently, it has been reported that PKR also phosphorylates human p53 on serine 392. PKR might play a role in ER stress-induced apoptosis and in Alzheimer's disease. Alzheimer cases show prominent PKR activation in association with neuritic plaques and pyramidal neurons in the hippocampus and neocortex. |
| 应用 | 推荐稀释比例 |
| {WB} | {1:500-2000} |
| {IHC-P} | {1:100-500} |
| {IHC-F} | {1:100-500} |
| {ICC/IF} | {1:100-500} |
| {IF} | {1:100-500} |
| {Flow-Cyt} | {2ug/Test} |

Spleen (Mouse) Lysate at 40 ug
Primary: Anti- p-PKR (Thr446 + Thr451) (bs-3337R)at 1/300 dilution
Secondary: IRDye800CW Goat Anti-Rabbit IgG at 1/20000 dilution
Predicted band size: 62 kD
Observed band size: 62 kD

Liver (Mouse) Lysate at 40 ug
Primary: Anti- p-PKR (Thr446 + Thr451) (bs-3337R) at 1/300 dilution
Secondary: IRDye800CW Goat Anti-Rabbit IgG at 1/20000 dilution
Predicted band size: 62 kD
Observed band size: 62 kD

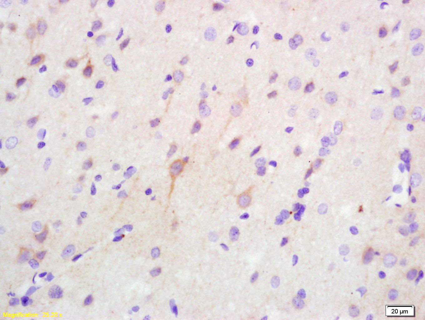
Antigen retrieval: citrate buffer ( 0.01M, pH 6.0 ), Boiling bathing for 15min; Block endogenous peroxidase by 3% Hydrogen peroxide for 30min; Blocking buffer (normal goat serum,C-0005) at 37℃ for 20 min;
Incubation: Anti-Phospho-PKR(Thr446+Thr451) Polyclonal Antibody, Unconjugated(bs-3337R) 1:200, overnight at 4°C, followed by conjugation to the secondary antibody(SP-0023) and DAB(C-0010) staining


Lane 1: Human HeLa cell lysates
Lane 2: Human K562 cell lysates
Lane 3: Human 293T cell lysates
Lane 4: Human A431 cell lysates
Primary: Anti-Phospho-PKR (Thr446 + Thr451) (bs-3337R) at 1/1000 dilution
Secondary: IRDye800CW Goat Anti-Rabbit IgG at 1/20000 dilution
Predicted band size: 62 kDa
Observed band size: 60 kDa

Primary Antibody (green line): Rabbit Anti-Phospho-PKR (Thr446 + Thr451) antibody (bs-3337R)
Dilution:2ug/Test;
Secondary Antibody(white blue line): Goat anti-rabbit IgG-AF488
Dilution: 0.5ug/Test.
Isotype control(orange line): Normal Rabbit IgG
Protocol
The cells were fixed with 4% PFA (10min at room temperature)and then permeabilized with 90% ice-cold methanol for 20 min at -20℃, The cells were then incubated in 5%BSA to block non-specific protein-protein interactions for 30 min at room temperature .Cells stained with Primary Antibody for 30 min at room temperature. The secondary antibody used for 40 min at room temperature. Acquisition of 20,000 events was performed.
风险提示:丁香通仅作为第三方平台,为商家信息发布提供平台空间。用户咨询产品时请注意保护个人信息及财产安全,合理判断,谨慎选购商品,商家和用户对交易行为负责。对于医疗器械类产品,请先查证核实企业经营资质和医疗器械产品注册证情况。
文献和实验[IF={{ 16.6 }}] {Xue Yonger. et al. LNP-RNA-engineered adipose stem cells for accelerated diabetic wound healing. NAT COMMUN. 2024 Jan;15(1):1-13} {FCM} {Mouse}
(Ser473)(193H12)Rabbit mAb,1:300,稀释,二抗是驴抗兔,1:2000,我是实验室的新手,刚呆俩月,受 此挫折,一头雾水,请过来人或者有经验的同学帮忙解答怎样解决,非常感谢! 碧峤 pAkt有两个位点,Ser473和Thr308,其中Ser473相对容易显色。如果显色失败,可能的原因:1 上样量过少,我们一般都是30μg;2 一抗孵育时间过短,我们一般24h~48h;3 一抗是否工作有待排除 米宝
antibody dilution buffer: TBS-T supplemented with2% (w/v) BSA. 6. Antibodies: Phospho-b-catenin Ser33/Ser37/Thr41, phospho-glycogen synthase Ser641, and glycogen synthase (CellSignaling Technologies, Beverly, MA); b-catenin and GSK-3b(BD PharMingen, San
v468. chapter 4 WNT 细胞通路 检测细胞GSK3活性与表达水平
4 ). 2. Other antibodies used were b-catenin (phospho-Thr41/Ser37/Ser33) (#9561; Cell Signaling Technology), b-catenin (#9562;Cell Signaling Technology), CRMP2 (pT514/509) (#PB-043; Kinasource, Dundee, Scotland) and CRMP2 (#AB-042;Kinasource). 3. Blocking buffer
技术资料暂无技术资料 索取技术资料






