相关产品推荐更多 >

Histone H4 (Acetyl K16) Rabbit pAb, APC-Cy7 conjugated(bs-4707R-APC-Cy7)-100ul
¥2980
KCNS2 Rabbit pAb(bs-16917R)-50ul/100ul/200ul
¥1180
phospho-HSD17B13 (Ser33) Rabbit pAb, BF594 conjugated(bs-22308R-BF594)-100ul
¥2980
eIF3A Rabbit pAb(bs-3840R)-50ul/100ul/200ul
¥1180
MMP-2 Rabbit pAb(bs-4599R)-50ul/100ul/200ul
¥1180
万千商家帮你免费找货
0 人在求购买到急需产品
- 详细信息
- 文献和实验
- 技术资料
- 应用范围:
产品信息以Bioss网站为准
- 规格:
50ul/100ul/200ul
| 规格: | 50ul | 产品价格: | ¥1180.0 |
|---|---|---|---|
| 规格: | 100ul | 产品价格: | ¥1980.0 |
| 规格: | 200ul | 产品价格: | ¥2800.0 |
| 产品编号 | bs-2769R |
| 英文名称 | GRB10 Rabbit pAb |
| 中文名称 | 生长因子受体结合蛋白10抗体 |
| 英文别名 | GRB IR; grb-10; GRB10 adaptor protein; GRBIR; Growth factor receptor bound protein 10; Insulin receptor binding protein; Insulin receptor binding protein GRB IR; IRBP; MEG1; RSS. |
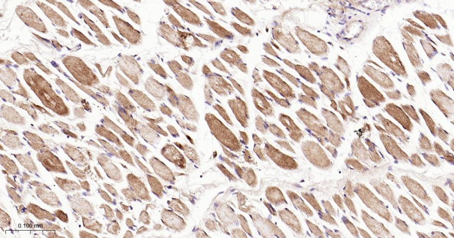
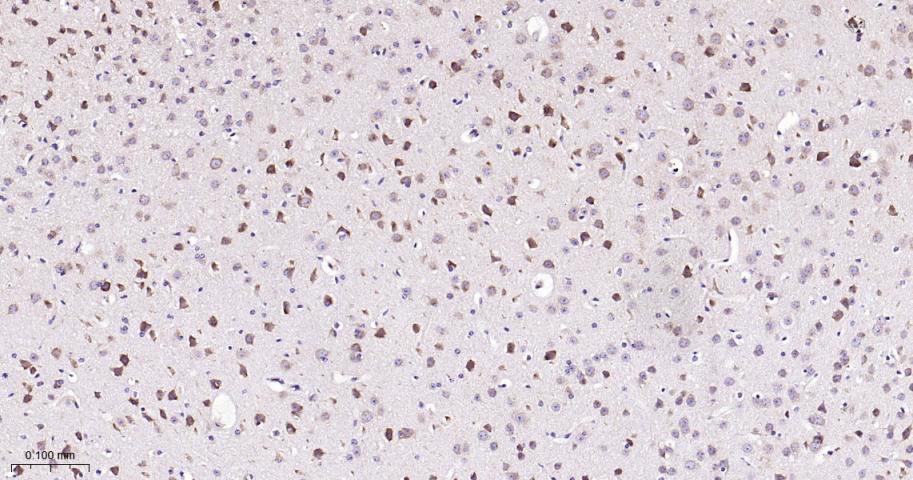
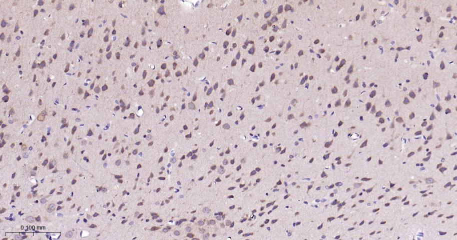
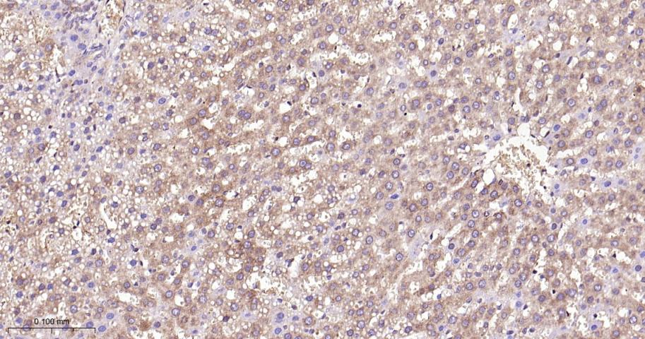
| 产品应用 | IHC-P=1:100-500, IHC-F=1:100-500, IF=1:100-500 Not yet tested in other applications. |
| 交叉反应 | Human, Mouse, Rat (Dog, Pig, Cow, Horse, Rabbit) |
| 抗体来源 | Rabbit |
| 免疫原 | KLH conjugated synthetic peptide derived from human GRB10 |
| 亚型 | IgG |
| 性状 | Liquid |
| 纯化方法 | affinity purified by Protein A |
| 克隆类型 | Polyclonal |
| 理论分子量 | 65 kDa |
| 浓度 | 1mg/ml |
| 储存液 | 0.01M TBS (pH7.4) with 1% BSA, 0.02% Proclin300 and 50% Glycerol. |
| 研究领域 | Signal Transduction > Adapters > Cytoplasmic Signal Transduction > Growth Factors/Hormones > Insulin / Insulin-like |
| 亚基 | Interacts with ligand-activated tyrosine kinase receptors, including FGFR1, INSR, IGF1R, MET and PDGFRB in a phosphotyrosine-dependent manner through the SH2 domain. Poorly binds to the EGFR. Directly interacts with MAP3K14/NIK and is recruited to the EGFR-ERBB2 complex. Interacts with GIGYF1/PERQ1 and GIGYF2/TNRC15. When unphosphorylated, interacts with AKT1 and when phosphorylated with YWHAE/14-3-3 epsilon. Interacts with NEDD4. Interacts with LRP6, thus interfering with the binding of AXIN1 to LRP6. Binds to activated NRAS. |
| 亚细胞定位 | Cytoplasm. When complexed with NEDD4 and IGF1R, follows IGF1R internalization, remaining associated with early endosomes. Uncouples from IGF1R-containing endosomes before the sorting of the receptor to the lysosomal compartment. |
| 组织特异性 | Widely expressed in fetal and adult tissues, including fetal and postnatal liver, lung, kidney, skeletal muscle, heart, spleen, skin and brain. |
| 翻译后修饰 | phosphorylated on serine residues upon EGF, FGF and PDGF stimulation. |
| 相似性 | Belongs to the GRB7/10/14 family. Contains 1 PH domain. Contains 1 Ras-associating domain. Contains 1 SH2 domain. |
| 功能 | Adapter protein which modulates coupling of a number of cell surface receptor kinases with specific signaling pathways. Binds to, and suppress signals from, activated receptors tyrosine kinases, including the insulin (INSR) and insulin-like growth factor (IGF1R) receptors. The inhibitory effect can be achieved by 2 mechanisms: interference with the signaling pathway and increased receptor degradation. Delays and reduces AKT1 phosphorylation in response to insulin stimulation. Blocks association between INSR and IRS1 and IRS2 and prevents insulin-stimulated IRS1 and IRS2 tyrosine phosphorylation. Recruits NEDD4 to IGF1R, leading to IGF1R ubiquitination, increased internalization and degradation by both the proteasomal and lysosomal pathways. May play a role in mediating insulin-stimulated ubiquitination of INSR, leading to proteasomal degradation. Negatively regulates Wnt signaling by interacting with LRP6 intracellular portion and interfering with the binding of AXIN1 to LRP6. Positive regulator of the KDR/VEGFR-2 signaling pathway. May inhibit NEDD4-mediated degradation of KDR/VEGFR-2. |
| 保存条件 | Shipped at 4℃. Store at -20℃ for one year. Avoid repeated freeze/thaw cycles. |
| 注意事项 | This product as supplied is intended for research use only, not for use in human, therapeutic or diagnostic applications. |
| 背景资料 | GRB 10 belongs to a small family of adapter proteins that interact with receptor tyrosine kinases and signaling molecules. In particular, GRB 10 interacts with insulin receptors and insulin-like growth-factor receptors. Alternatively spliced transcript variants encoding different isoforms have been identified: overexpression of some of them inhibits tyrosine kinase activity and results in growth suppression. This gene is imprinted in a highly isoform- and tissue-specific manner. |
| 应用 | 推荐稀释比例 |
| {IHC-P} | {1:100-500} |
| {IHC-F} | {1:100-500} |
| {IF} | {1:100-500} |







风险提示:丁香通仅作为第三方平台,为商家信息发布提供平台空间。用户咨询产品时请注意保护个人信息及财产安全,合理判断,谨慎选购商品,商家和用户对交易行为负责。对于医疗器械类产品,请先查证核实企业经营资质和医疗器械产品注册证情况。
文献和实验= NAL), appears to form upon oxidative cyclization of the nonfluorescent 2:1 lysine-HNE Michael adduct-Schiff base cross-link (Scheme 1). Polyclonal antibody (PAb) to the NAL-HNE fluorophore was raised in rabbit and found to be highly specific
GE Healthcare Benzamidine Sepharose™ 6B is p-aminobenzamidine covalently attached to Sepharose 6B by the epoxy coupling method. p-Aminobenzamidine (PAB), is a synthetic inhibitor of trypsin-like serine protease. Trypsin and trypsin
Nucleic Acid Programmable Protein Arrays: Versatile Tools for Array‐Based Functional Protein Studies
.g., Sigma) 50 mg/ml bis‐sulfosuccinimdylsuberate (BS3 ;Pierce, cat. no. PI 21580) in dimethylsulfoxide (DMSO) 5 mg/ml
技术资料暂无技术资料 索取技术资料





