相关产品推荐更多 >
万千商家帮你免费找货
0 人在求购买到急需产品
- 详细信息
- 文献和实验
- 技术资料
- 应用范围:
产品信息以Bioss网站为准
- 规格:
50ul/100ul/200ul
| 规格: | 50ul | 产品价格: | ¥1180.0 |
|---|---|---|---|
| 规格: | 100ul | 产品价格: | ¥1980.0 |
| 规格: | 200ul | 产品价格: | ¥2800.0 |
| 产品编号 | bs-8077R |
| 英文名称 | ARRDC3 Rabbit pAb |
| 中文名称 | 抑制蛋白结构域蛋白3抗体 |
| 英文别名 | ARRDC 3; Arrestin domain containing protein 3; KIAA1376; Thioredoxin binding protein 2 like inducible membrane; TLIMP; ARRD3_HUMAN. |
| 产品应用 | IHC-P=1:100-500, IHC-F=1:100-500, IF=1:100-500 Not yet tested in other applications. |
| 交叉反应 | Mouse (Human, Rat, Chicken, Dog, Pig, Cow, Horse, Rabbit) |
| 抗体来源 | Rabbit |
| 免疫原 | KLH conjugated synthetic peptide derived from human ARRDC3 |
| 亚型 | IgG |
| 性状 | Liquid |
| 纯化方法 | affinity purified by Protein A |
| 克隆类型 | Polyclonal |
| 理论分子量 | 46 kDa |
| 浓度 | 1mg/ml |
| 储存液 | 0.01M TBS (pH7.4) with 1% BSA, 0.02% Proclin300 and 50% Glycerol. |
| 研究领域 | Cell Biology > Other Antibodies > Other Antibodies |
| 亚基 | Does not bind TXN (thioredoxin). |
| 亚细胞定位 | Cytoplasm. |
| 组织特异性 | Highly expressed in skeletal muscle, placenta, kidney, adrenal gland, lymph node, mammary gland, thyroid, and trachea. Very low levels in colon, thymus, spleen, small intestine, bladder and bone marrow. Strong expression in differentiated adipocytes compared to preadipocytes. |
| 相似性 | Belongs to the arrestin family. |
| 保存条件 | Shipped at 4℃. Store at -20℃ for one year. Avoid repeated freeze/thaw cycles. |
| 注意事项 | This product as supplied is intended for research use only, not for use in human, therapeutic or diagnostic applications. |
| 背景资料 | The arrestins are a family of proteins that are important for regulating signal transduction within cells. Arrestins are part of a conserved two step mechanism for regulating the activity of G-protein coupled receptors (GPCRs). In response to a stimulus, GPCRs activate a heterotrimeric G protein. In order to turn off this response, or adapt to a constant stimulus, activated receptors need to be silenced. The first step is phosphorylation by a class of serine/threonine kinases called G protein coupled receptor kinases (GRKs). This phosphorylation specifically marks the activated receptor for arrestin binding. Once arrestin is bound to the receptor it is unable to signal further. Recent research continues to expand the known actions of arrestins, which can bind to other classes of receptors and can directly activate signaling pathways on their own. Different arrestins (visual arrestin (or Arrestin 1), beta-arrestin 1 (or Arrestin 2) and beta-arrestin 2 (or Arrestin 3) can reduce the activity of their target GPCRs in several different ways. |
| 应用 | 推荐稀释比例 |
| {IHC-P} | {1:100-500} |
| {IHC-F} | {1:100-500} |
| {IF} | {1:100-500} |

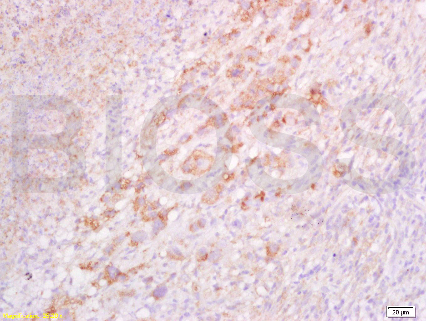
Antigen retrieval: citrate buffer ( 0.01M, pH 6.0 ), Boiling bathing for 15min; Block endogenous peroxidase by 3% Hydrogen peroxide for 30min; Blocking buffer (normal goat serum,C-0005) at 37℃ for 20 min;
Incubation: Anti-ARRDC3 Polyclonal Antibody, Unconjugated(bs-8077R) 1:200, overnight at 4°C, followed by conjugation to the secondary antibody(SP-0023) and DAB(C-0010) staining
风险提示:丁香通仅作为第三方平台,为商家信息发布提供平台空间。用户咨询产品时请注意保护个人信息及财产安全,合理判断,谨慎选购商品,商家和用户对交易行为负责。对于医疗器械类产品,请先查证核实企业经营资质和医疗器械产品注册证情况。
文献和实验= NAL), appears to form upon oxidative cyclization of the nonfluorescent 2:1 lysine-HNE Michael adduct-Schiff base cross-link (Scheme 1). Polyclonal antibody (PAb) to the NAL-HNE fluorophore was raised in rabbit and found to be highly specific
GE Healthcare Benzamidine Sepharose™ 6B is p-aminobenzamidine covalently attached to Sepharose 6B by the epoxy coupling method. p-Aminobenzamidine (PAB), is a synthetic inhibitor of trypsin-like serine protease. Trypsin and trypsin
Nucleic Acid Programmable Protein Arrays: Versatile Tools for Array‐Based Functional Protein Studies
.g., Sigma) 50 mg/ml bis‐sulfosuccinimdylsuberate (BS3 ;Pierce, cat. no. PI 21580) in dimethylsulfoxide (DMSO) 5 mg/ml
技术资料暂无技术资料 索取技术资料










