相关产品推荐更多 >
万千商家帮你免费找货
0 人在求购买到急需产品
- 详细信息
- 文献和实验
- 技术资料
- 应用范围:
产品信息以Bioss网站为准
- 规格:
50ul/100ul/200ul
| 规格: | 50ul | 产品价格: | ¥1180.0 |
|---|---|---|---|
| 规格: | 100ul | 产品价格: | ¥1980.0 |
| 规格: | 200ul | 产品价格: | ¥2800.0 |
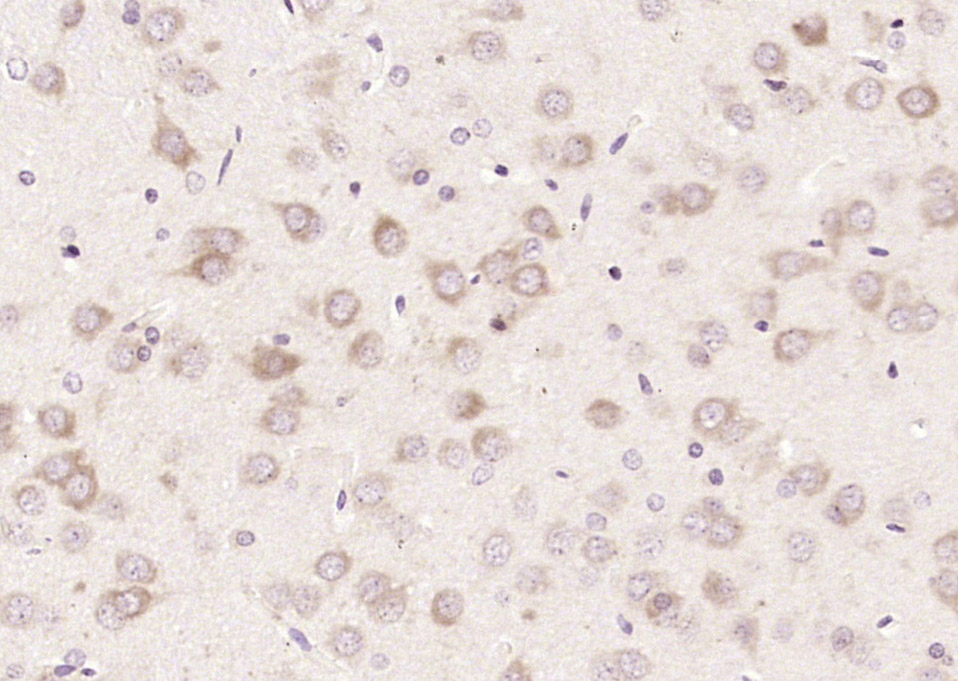
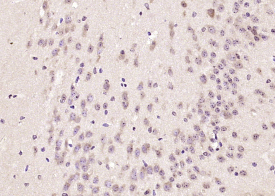
| 产品编号 | bs-11759R |
| 英文名称 | SPG3A Rabbit pAb |
| 中文名称 | G蛋白结合蛋白3抗体 |
| 英文别名 | Atlastin; AD FSP; atl1; ATLA1_HUMAN; Atlastin GTPase 1; Atlastin-1; Atlastin1; Brain specific GTP binding protein; Brain-specific GTP-binding protein; FSP1; GBP-3; GBP3; GTP-binding protein 3; Guanine nucleotide-binding protein 3; Guanylate binding protein 3; hGBP3; HSN1D; Spastic paraplegia 3 protein A; SPG 3A; SPG3; SPG3A. |
| 产品应用 | IHC-P=1:100-500, IHC-F=1:100-500, IF=1:100-500 Not yet tested in other applications. |
| 交叉反应 | Mouse, Rat (Human, Rabbit) |
| 抗体来源 | Rabbit |
| 免疫原 | KLH conjugated synthetic peptide derived from human SPG3A/Atlastin |
| 亚型 | IgG |
| 性状 | Liquid |
| 纯化方法 | affinity purified by Protein A |
| 克隆类型 | Polyclonal |
| 理论分子量 | 64 kDa |
| 浓度 | 1mg/ml |
| 储存液 | 0.01M TBS (pH7.4) with 1% BSA, 0.02% Proclin300 and 50% Glycerol. |
| 研究领域 | Neuroscience > Neurology process > Neurodegenerative disease |
| 亚基 | Homooligomer. Interacts (via N-terminal region) withMAP4K4 (via CNH regulatory domain). Interacts with REEP5, RTN3 andRTN4 (via the transmembrane region). Interacts with SPAST;interaction is direct. May interact with TMED2. Interacts withREEP1. |
| 亚细胞定位 | Endoplasmic reticulum membrane. Golgi apparatus membrane. Cell projection > axon. |
| 组织特异性 | Expressed predominantly in the adult and fetal central nervous system. Measurable expression in all tissues examined, although expression in adult brain is at least 50-fold higher than in other tissues. Detected predominantly in pyramidal neurons in the cerebral cortex and the hippocampus of the brain. Expressed in upper and lower motor neurons (at protein level). |
| 相似性 | Belongs to the GBP family. Atlastin subfamily. |
| 功能 | GTPase tethering membranes through formation of trans-homooligomer and mediating homotypic fusion of endoplasmic reticulum membranes. Functions in endoplasmic reticulum tubular network biogenesis. May also regulate Golgi biogenesis. May regulate axonal development. |
| 保存条件 | Shipped at 4℃. Store at -20℃ for one year. Avoid repeated freeze/thaw cycles. |
| 注意事项 | This product as supplied is intended for research use only, not for use in human, therapeutic or diagnostic applications. |
| 背景资料 | Atlastins are Golgi-localized, integral membrane proteins that function as GTPases. The Atlastin proteins, also designated SPG3A and guanylate-binding protein 3, comprise a Dynamin superfamily that plays a role in axonal maintenance. Hereditary spastic paraplegia (HSP) is an inherited neurodegenerative disorder that is characterized by retrograde axonal degeneration. HSP primarily affects long corticospinal neurons and causes spastic lower extremity weakness. Spastin, a microtubule (MT)-severing AAA ATPase, is a binding partner of Atlastin that is involved in membrane dynamics. This Spastin/Atlastin binding may be involved in the biochemical pathway that leads to HSP development. Mutations in the Atlastin gene (SPG3A) account for approximately 10% of all autosomal dominant HSPs, while mutations in the Spastin gene (SPG4) account for almost 40%. |
| 应用 | 推荐稀释比例 |
| {IHC-P} | {1:100-500} |
| {IHC-F} | {1:100-500} |
| {IF} | {1:100-500} |


风险提示:丁香通仅作为第三方平台,为商家信息发布提供平台空间。用户咨询产品时请注意保护个人信息及财产安全,合理判断,谨慎选购商品,商家和用户对交易行为负责。对于医疗器械类产品,请先查证核实企业经营资质和医疗器械产品注册证情况。
文献和实验= NAL), appears to form upon oxidative cyclization of the nonfluorescent 2:1 lysine-HNE Michael adduct-Schiff base cross-link (Scheme 1). Polyclonal antibody (PAb) to the NAL-HNE fluorophore was raised in rabbit and found to be highly specific
GE Healthcare Benzamidine Sepharose™ 6B is p-aminobenzamidine covalently attached to Sepharose 6B by the epoxy coupling method. p-Aminobenzamidine (PAB), is a synthetic inhibitor of trypsin-like serine protease. Trypsin and trypsin
Nucleic Acid Programmable Protein Arrays: Versatile Tools for Array‐Based Functional Protein Studies
.g., Sigma) 50 mg/ml bis‐sulfosuccinimdylsuberate (BS3 ;Pierce, cat. no. PI 21580) in dimethylsulfoxide (DMSO) 5 mg/ml
技术资料暂无技术资料 索取技术资料










