相关产品推荐更多 >

Enfuvirtide Rabbit pAb, HRP conjugated(bs-37015R-HRP)-100ul
¥2980
SATB2 Rabbit pAb, PE-Cy5 conjugated(bs-11949R-PE-Cy5)-100ul
¥2980
KDM1/LSD1 Rabbit pAb, APC conjugated(bs-10166R-APC)-100ul
¥2980
CD45 Mouse mAb, BF680 conjugated(bsm-33052M-BF680)-100ul
¥2980
phospho-PKM2 (Tyr148) Rabbit pAb, APC conjugated(bs-20036R-APC)-100ul
¥2980
万千商家帮你免费找货
0 人在求购买到急需产品
- 详细信息
- 询价记录
- 文献和实验
- 技术资料
- 应用范围:
产品信息以Bioss网站为准
- 规格:
50ul/100ul/200ul
| 规格: | 50ul | 产品价格: | ¥1180.0 |
|---|---|---|---|
| 规格: | 100ul | 产品价格: | ¥1980.0 |
| 规格: | 200ul | 产品价格: | ¥2800.0 |
| 产品编号 | bs-9446R |
| 英文名称 | PRKAG2 Rabbit pAb |
| 中文名称 | 腺苷单磷酸活化蛋白激酶γ2抗体 |
| 英文别名 | 5''-AMP-activated protein kinase subunit gamma-2; AAKG; AAKG2; AAKG2_HUMAN; AMPK gamma2; AMPKgamma2; AMPK subunit gamma 2; AMPK subunit gamma-2; CMH6; H91620p; Prkag2; Protein kinase AMP activated gamma 2 non catalytic subunit; WPWS. |
| 中文别名 | AMPKγ2; AMPK γ2; AMPK γ 2; AMPK-γ2; AMPKγ-2; AMPK-γ-2; |
| 产品应用 | IHC-P=1:100-500, IHC-F=1:100-500, IF=1:100-500 Not yet tested in other applications. |
| 交叉反应 | Rat (Human, Mouse, Chicken, Dog, Pig, Cow, Horse) |
| 抗体来源 | Rabbit |
| 免疫原 | KLH conjugated synthetic peptide derived from human PRKAG2 |
| 亚型 | IgG |
| 性状 | Liquid |
| 纯化方法 | affinity purified by Protein A |
| 克隆类型 | Polyclonal |
| 理论分子量 | 63 kDa |
| 浓度 | 1mg/ml |
| 储存液 | 0.01M TBS (pH7.4) with 1% BSA, 0.02% Proclin300 and 50% Glycerol. |
| 亚基 | AMPK is a heterotrimer of an alpha catalytic subunit (PRKAA1 or PRKAA2), a beta (PRKAB1 or PRKAB2) and a gamma non-catalytic subunits (PRKAG1, PRKAG2 or PRKAG3). Interacts with FNIP1 and FNIP2. |
| 亚细胞定位 | Cytoplasmic and Nuclear |
| 组织特异性 | Isoform B is ubiquitously expressed except in liver and thymus. The highest level is detected in heart with abundant expression in placenta and testis. |
| 翻译后修饰 | Phosphorylated by ULK1; leading to negatively regulate AMPK activity and suggesting the existence of a regulatory feedback loop between ULK1 and AMPK. Phosphorylated upon DNA damage, probably by ATM or ATR. |
| 相似性 | Belongs to the 5'-AMP-activated protein kinase gamma subunit family. Contains 4 CBS domains. |
| 功能 | AMP/ATP-binding subunit of AMP-activated protein kinase (AMPK), an energy sensor protein kinase that plays a key role in regulating cellular energy metabolism. In response to reduction of intracellular ATP levels, AMPK activates energy-producing pathways and inhibits energy-consuming processes: inhibits protein, carbohydrate and lipid biosynthesis, as well as cell growth and proliferation. AMPK acts via direct phosphorylation of metabolic enzymes, and by longer-term effects via phosphorylation of transcription regulators. Also acts as a regulator of cellular polarity by remodeling the actin cytoskeleton; probably by indirectly activating myosin. Gamma non-catalytic subunit mediates binding to AMP, ADP and ATP, leading to activate or inhibit AMPK: AMP-binding results in allosteric activation of alpha catalytic subunit (PRKAA1 or PRKAA2) both by inducing phosphorylation and preventing dephosphorylation of catalytic subunits. ADP also stimulates phosphorylation, without stimulating already phosphorylated catalytic subunit. ATP promotes dephosphorylation of catalytic subunit, rendering the AMPK enzyme inactive. |
| 保存条件 | Shipped at 4℃. Store at -20℃ for one year. Avoid repeated freeze/thaw cycles. |
| 注意事项 | This product as supplied is intended for research use only, not for use in human, therapeutic or diagnostic applications. |
| 背景资料 | AMPK is a heterotrimeric complex comprising a catalytic a subunit and regulatory b and g subunits. It protects cells from stresses that cause ATP depletion by switching off ATP-consuming biosynthetic pathways. AMPK is activated by high AMP and low ATP through a mechanism involving allosteric regulation, promotion of phosphorylation by an upstream protein kinase known as AMPK kinase and inhibition of dephosphorylation. Activated AMPK can phosphorylate and regulate in vivo hydroxy-methylglutaryl-CoA reductase and acetyl-CoA carboxylase, which are key regulatory enzymes of sterol synthesis and fatty acid synthesis, respectively. The human AMPKa1 and AMPKa2 genes encode 548 amino acid and 552 amino acid proteins, respectively. Human AMPKb1 encodes a 271 amino acid protein and human AMPKb2 encodes a 272 amino acid protein. The human AMPKg1 gene encodes a 331 amino acid protein. Human AMPKg2 and AMPKg3, which are 569 and 492 amino acid proteins, respectively, contain unique N-terminal domains and may participate directly in the binding of AMP within the AMPK complex. |
| 应用 | 推荐稀释比例 |
| {IHC-P} | {1:100-500} |
| {IHC-F} | {1:100-500} |
| {IF} | {1:100-500} |

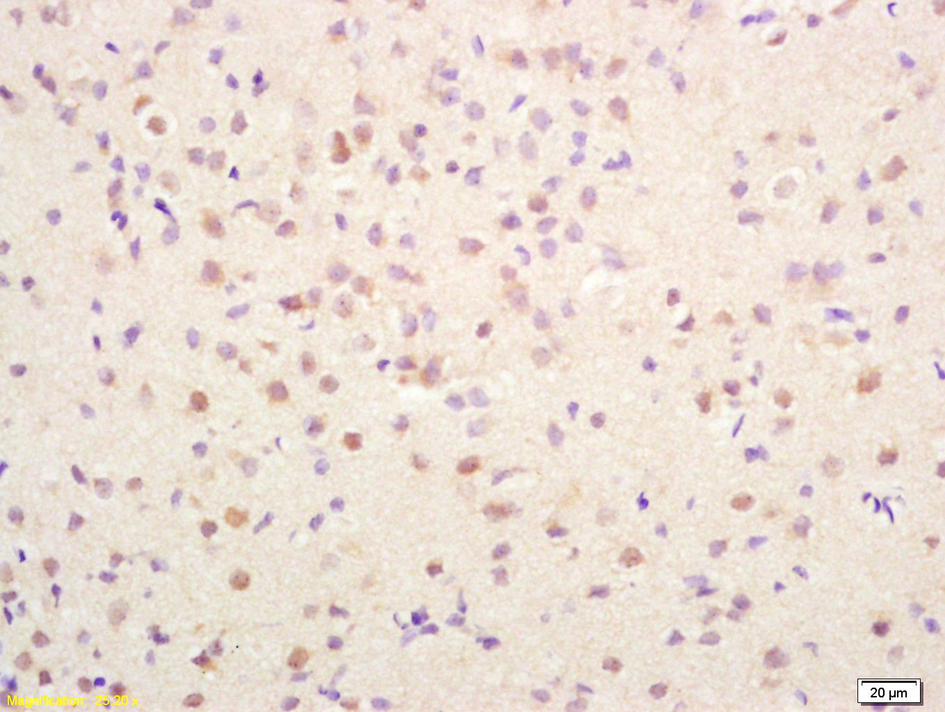
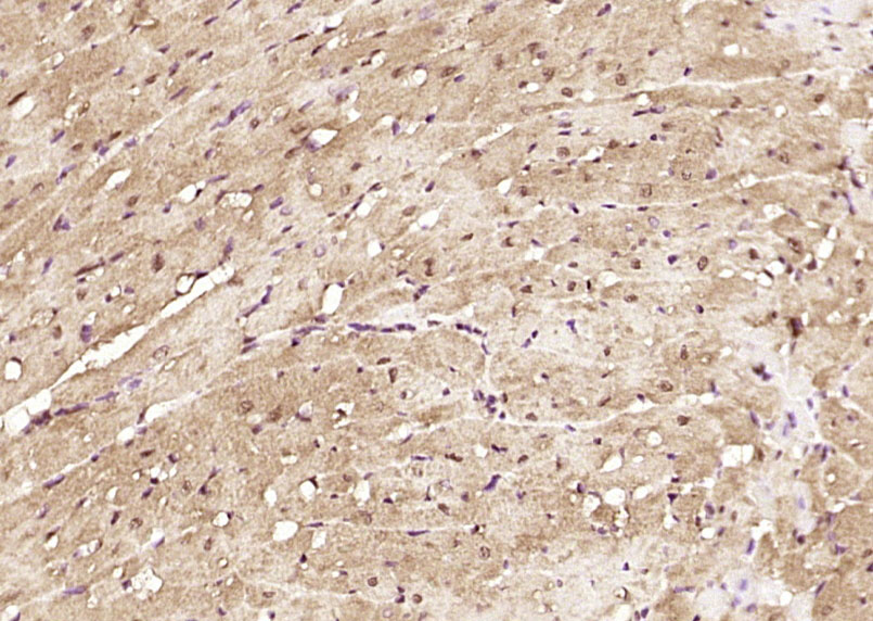
Antigen retrieval: citrate buffer ( 0.01M, pH 6.0 ), Boiling bathing for 15min; Block endogenous peroxidase by 3% Hydrogen peroxide for 30min; Blocking buffer (normal goat serum,C-0005) at 37℃ for 20 min;
Incubation: Anti-PRKAG2/AMPKγ2 Polyclonal Antibody, Unconjugated(bs-9446R) 1:200, overnight at 4°C, followed by conjugation to the secondary antibody(SP-0023) and DAB(C-0010) staining

风险提示:丁香通仅作为第三方平台,为商家信息发布提供平台空间。用户咨询产品时请注意保护个人信息及财产安全,合理判断,谨慎选购商品,商家和用户对交易行为负责。对于医疗器械类产品,请先查证核实企业经营资质和医疗器械产品注册证情况。
- 作者
- 内容
- 询问日期
文献和实验= NAL), appears to form upon oxidative cyclization of the nonfluorescent 2:1 lysine-HNE Michael adduct-Schiff base cross-link (Scheme 1). Polyclonal antibody (PAb) to the NAL-HNE fluorophore was raised in rabbit and found to be highly specific
GE Healthcare Benzamidine Sepharose™ 6B is p-aminobenzamidine covalently attached to Sepharose 6B by the epoxy coupling method. p-Aminobenzamidine (PAB), is a synthetic inhibitor of trypsin-like serine protease. Trypsin and trypsin
Nucleic Acid Programmable Protein Arrays: Versatile Tools for Array‐Based Functional Protein Studies
.g., Sigma) 50 mg/ml bis‐sulfosuccinimdylsuberate (BS3 ;Pierce, cat. no. PI 21580) in dimethylsulfoxide (DMSO) 5 mg/ml
技术资料暂无技术资料 索取技术资料





