相关产品推荐更多 >

Nurr1 Rabbit pAb, FITC conjugated(bs-20745R-FITC)-100ul
¥2980
phospho-MEK1 (Thr286) Rabbit pAb, AP conjugated(bs-3269R-AP)-100ul
¥2980
ALOX5 Rabbit pAb, BF680 conjugated(bs-0526R-BF680)-100ul
¥2980
HLA-C Mouse mAb, BF405 conjugated(bsm-43093M-BF405)-100ul
¥2980
Di-Methyl-Histone H3 (Lys37) Rabbit pAb(bs-60153R)-50ul/100ul
¥1580
万千商家帮你免费找货
0 人在求购买到急需产品
- 详细信息
- 技术资料
- 应用范围:
产品信息以Bioss网站为准
- 规格:
50ul/100ul/200ul
| 规格: | 50ul | 产品价格: | ¥1180.0 |
|---|---|---|---|
| 规格: | 100ul | 产品价格: | ¥1980.0 |
| 规格: | 200ul | 产品价格: | ¥2800.0 |
| 产品编号 | bs-0055R |
| 英文名称 | Artemin Rabbit pAb |
| 中文名称 | Artemin抗体 |
| 英文别名 | ARTN_HUMAN; ARTN; Enovin; EVN; Neublastin; ART; NBN; |
| 产品应用 | IHC-P=1:100-500, IHC-F=1:100-500, IF=1:100-500 Not yet tested in other applications. |
| 交叉反应 | Human (Mouse, Rat) |
| 抗体来源 | Rabbit |
| 免疫原 | KLH conjugated synthetic peptide derived from mouse Artemin |
| 亚型 | IgG |
| 性状 | Liquid |
| 纯化方法 | affinity purified by Protein A |
| 克隆类型 | Polyclonal |
| 理论分子量 | 12/19 kDa |
| 浓度 | 1mg/ml |
| 储存液 | 0.01M TBS (pH7.4) with 1% BSA, 0.02% Proclin300 and 50% Glycerol. |
| 研究领域 | Neuroscience > Neurology process > Growth and Development > Neurotrophins |
| 亚基 | Homodimer; disulfide-linked. Binds to RET. |
| 亚细胞定位 | Secreted. |
| 组织特异性 | Cochlea. Expressed at higher level in sesorineural epithelium than in the modiolus region or substantia nigra. |
| 相似性 | Belongs to the TGF-beta family. GDNF subfamily. |
| 功能 | Ligand for the GFR-alpha-3-RET receptor complex but can also activate the GFR-alpha-1-RET receptor complex. Supports the survival of sensory and sympathetic peripheral neurons in culture and also supports the survival of dopaminergic neurons of the ventral mid-brain. Strong attractant of gut hematopoietic cells thus promoting the formation Peyer's patch-like structures, a major component of the gut-associated lymphoid tissue (By similarity). |
| 保存条件 | Shipped at 4℃. Store at -20℃ for one year. Avoid repeated freeze/thaw cycles. |
| 注意事项 | This product as supplied is intended for research use only, not for use in human, therapeutic or diagnostic applications. |
| 背景资料 | This gene encodes a secreted ligand of the glial cell line-derived neurotrophic factor (GDNF) subfamily and TGF-beta (transforming growth factor-beta) superfamily of proteins. Ligands of this family bind various TGF-beta receptors leading to recruitment and activation of SMAD family transcription factors that regulate gene expression. The encoded preproprotein is proteolytically processed to generate each subunit of the disulfide-linked homodimer. This protein signals through the RET receptor and GFR alpha 3 coreceptor, and supports the survival of a number of peripheral neuron populations and at least one population of dopaminergic CNS neurons. This protein has also been shown to promote tumor growth, metastasis, and drug resistance in mammary carcinoma. [provided by RefSeq, Aug 2016] |
| 应用 | 推荐稀释比例 |
| {IHC-P} | {1:100-500} |
| {IHC-F} | {1:100-500} |
| {IF} | {1:100-500} |

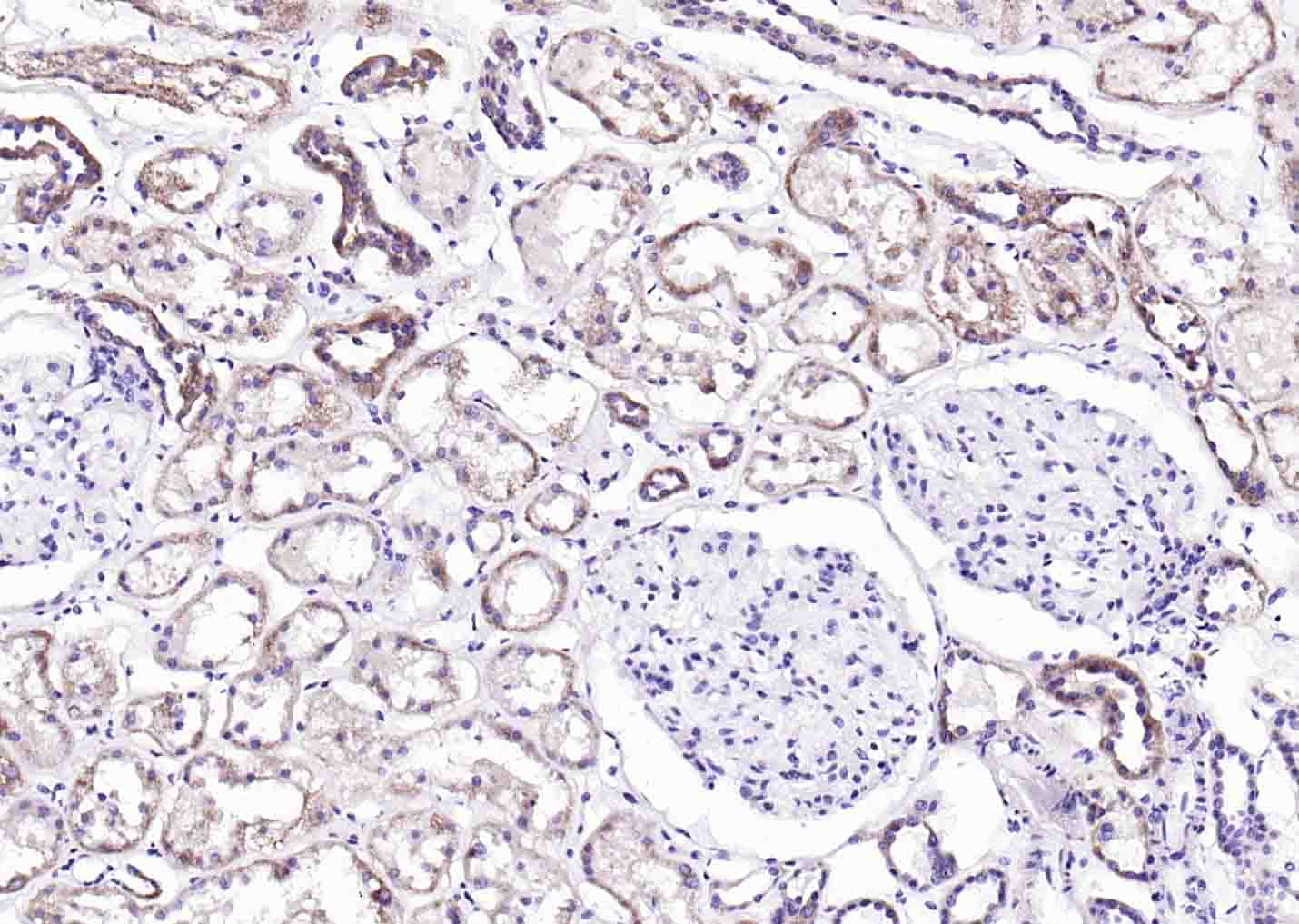
Paraformaldehyde-fixed, paraffin embedded (Human kidney); Antigen retrieval by boiling in sodium citrate buffer (pH6.0) for 15min; Block endogenous peroxidase by 3% hydrogen peroxide for 20 minutes; Blocking buffer (normal goat serum) at 37°C for 30min; Antibody incubation with (Artemin) Polyclonal Antibody, Unconjugated (bs-0055R) at 1:200 overnight at 4°C, followed by operating according to SP Kit(Rabbit) (sp-0023) instructionsand DAB staining.
风险提示:丁香通仅作为第三方平台,为商家信息发布提供平台空间。用户咨询产品时请注意保护个人信息及财产安全,合理判断,谨慎选购商品,商家和用户对交易行为负责。对于医疗器械类产品,请先查证核实企业经营资质和医疗器械产品注册证情况。
技术资料暂无技术资料 索取技术资料
Artemin Rabbit pAb(bs-0055R)-50ul/100ul/200ul
¥1180 - 2800






