相关产品推荐更多 >

HCN4 Rabbit pAb, Biotin conjugated(bs-1691R-Bio)-100ul
¥2980
MRPS21 Rabbit pAb, Biotin conjugated(bs-17819R-Bio)-100ul
¥2980
phospho-TIRAP (Tyr86) Rabbit pAb, Cy5 conjugated(bs-7562R-Cy5)-100ul
¥2980
ILF2 Rabbit pAb(bs-16603R)-50ul/100ul/200ul
¥1180
Synaptotagmin XII Rabbit pAb, BF555 conjugated(bs-11398R-BF555)-100ul
¥2980
万千商家帮你免费找货
0 人在求购买到急需产品
- 详细信息
- 文献和实验
- 技术资料
- 应用范围:
产品信息以Bioss网站为准
- 规格:
50ul/100ul
| 规格: | 50ul | 产品价格: | ¥1180.0 |
|---|---|---|---|
| 规格: | 100ul | 产品价格: | ¥1980.0 |
| 产品编号 | bs-3670R |
| 英文名称 | BMP8b Rabbit pAb |
| 中文名称 | 骨形态发生蛋白8抗体 |
| 英文别名 | BMP8B_HUMAN; Bone morphogenetic protein 8B; BMP-8B; BMP-8; Osteogenic protein 2(OP-2); Osteogenic protein-2; OP2; OP 2; BMP8; |
| 产品应用 | WB=1:500-2000, IHC-P=1:100-500, IHC-F=1:100-500, IF=1:100-500, ELISA=1:5000-10000 Not yet tested in other applications. |
| 交叉反应 | Human, Mouse, Rat |
| 抗体来源 | Rabbit |
| 免疫原 | KLH conjugated synthetic peptide derived from human BMP8B |
| 亚型 | IgG |
| 性状 | Liquid |
| 纯化方法 | affinity purified by Protein A |
| 克隆类型 | Polyclonal |
| 理论分子量 | 45 kDa |
| 浓度 | 1mg/ml |
| 储存液 | 0.01M TBS (pH7.4) with 1% BSA, 0.02% Proclin300 and 50% Glycerol. |
| 亚基 | Homodimer; disulfide-linked. |
| 亚细胞定位 | Secreted. |
| 相似性 | Belongs to the TGF-beta family. |
| 功能 | Induces cartilage and bone formation. May be the osteoinductive factor responsible for the phenomenon of epithelial osteogenesis. Plays a role in calcium regulation and bone homeostasis. |
| 保存条件 | Shipped at 4℃. Store at -20℃ for one year. Avoid repeated freeze/thaw cycles. |
| 注意事项 | This product as supplied is intended for research use only, not for use in human, therapeutic or diagnostic applications. |
| 背景资料 | This gene encodes a secreted ligand of the TGF-beta (transforming growth factor-beta) superfamily of proteins. Ligands of this family bind various TGF-beta receptors leading to recruitment and activation of SMAD family transcription factors that regulate gene expression. The encoded preproprotein is proteolytically processed to generate each subunit of the disulfide-linked homodimer. The encoded protein stimulates thermogenesis in brown adipose tissue. Expression of this gene may be downregulated in pancreatic cancer. This gene may have arose from a gene duplication event and its gene duplicate is also present on chromosome 1. [provided by RefSeq, Jul 2016] |
| 应用 | 推荐稀释比例 |
| {WB} | {1:500-2000} |
| {IHC-P} | {1:100-500} |
| {IHC-F} | {1:100-500} |
| {IF} | {1:100-500} |
| {ELISA} | {1:5000-10000} |

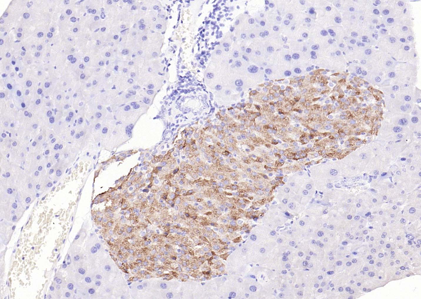
Paraformaldehyde-fixed, paraffin embedded (mouse pancreas); Antigen retrieval by boiling in sodium citrate buffer (pH6.0) for 15min; Block endogenous peroxidase by 3% hydrogen peroxide for 20 minutes; Blocking buffer (normal goat serum) at 37°C for 30min; Antibody incubation with (BMP8b) Polyclonal Antibody, Unconjugated (bs-3670R) at 1:200 overnight at 4°C, followed by operating according to SP Kit(Rabbit) (sp-0023) instructionsand DAB staining.

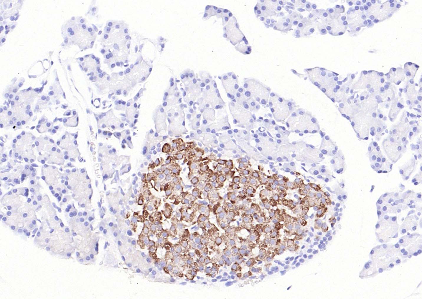
Paraformaldehyde-fixed, paraffin embedded (rat pancreas); Antigen retrieval by boiling in sodium citrate buffer (pH6.0) for 15min; Block endogenous peroxidase by 3% hydrogen peroxide for 20 minutes; Blocking buffer (normal goat serum) at 37°C for 30min; Antibody incubation with (BMP8b) Polyclonal Antibody, Unconjugated (bs-3670R) at 1:200 overnight at 4°C, followed by operating according to SP Kit(Rabbit) (sp-0023) instructionsand DAB staining.

Sample:
Lane 1: Human A549 cell lysates
Lane 2: Human THP-1cell lysates
Primary: Anti-BMP8b (bs-3670R) at 1/1000 dilution
Secondary: IRDye800CW Goat Anti-Rabbit IgG at 1/20000 dilution
Predicted band size: 45 kDa
Observed band size: 45 kDa
Lane 1: Human A549 cell lysates
Lane 2: Human THP-1cell lysates
Primary: Anti-BMP8b (bs-3670R) at 1/1000 dilution
Secondary: IRDye800CW Goat Anti-Rabbit IgG at 1/20000 dilution
Predicted band size: 45 kDa
Observed band size: 45 kDa
风险提示:丁香通仅作为第三方平台,为商家信息发布提供平台空间。用户咨询产品时请注意保护个人信息及财产安全,合理判断,谨慎选购商品,商家和用户对交易行为负责。对于医疗器械类产品,请先查证核实企业经营资质和医疗器械产品注册证情况。
文献和实验该产品被引用文献
[IF={{ 4.491 }}] {Dong Liu. et al. Comprehensive landscape of TGFβ-related signature in osteosarcoma for predicting prognosis, immune characteristics, and therapeutic response. J BONE ONCOL. 2023 May;:100484} {WB} {Human}
技术资料暂无技术资料 索取技术资料
文献支持
BMP8b Rabbit pAb(bs-3670R)-50ul/100ul
¥1180 - 1980





