相关产品推荐更多 >

Syndecan 4 Rabbit pAb, HRP conjugated(bs-21328R-HRP)-100ul
¥2980
APOH Rabbit pAb, Biotin conjugated(bs-1570R-Bio)-100ul
¥2980
IFNB1 Rabbit pAb, Biotin conjugated(bs-23732R-Bio)-100ul
¥2980
VEGFR3 Rabbit pAb, PerCP-Cy7 conjugated(bs-2202R-PerCP-Cy7)-100ul
¥2980
TBX1 Rabbit pAb, HRP conjugated(bs-8257R-HRP)-100ul
¥2980
万千商家帮你免费找货
0 人在求购买到急需产品
- 详细信息
- 文献和实验
- 技术资料
- 应用范围:
产品信息以Bioss网站为准
- 规格:
50ul/100ul/200ul
| 规格: | 50ul | 产品价格: | ¥1180.0 |
|---|---|---|---|
| 规格: | 100ul | 产品价格: | ¥1980.0 |
| 规格: | 200ul | 产品价格: | ¥2800.0 |
| 产品编号 | bs-7450R |
| 英文名称 | FKBP1A Rabbit pAb |
| 中文名称 | FKBP1A抗体 |
| 英文别名 | FKBP12; FKB1A_HUMAN; 12 kDa FK506-binding protein; 12 kDa FKBP; FK506 binding protein 1; FK506 binding protein 12; FK506 binding protein 1A 12kDa; FK506 binding protein 1A; FK506 binding protein T cell 12 kD; FK506-binding protein 1A; FKBP 12; FKBP 1A; FKBP-12; FKBP-1A; FKBP1; FKBP12 Exip3; FKBP12C; Immunophilin FKBP12; Peptidyl prolyl cis trans isomerase; Peptidyl-prolyl cis-trans isomerase; Peptidyl-prolyl cis-trans isomerase FKBP1A; PKC12; PKCI2; PPIase; PPIase FKBP1A; Protein kinase C inhibitor 2; Rotamase. |
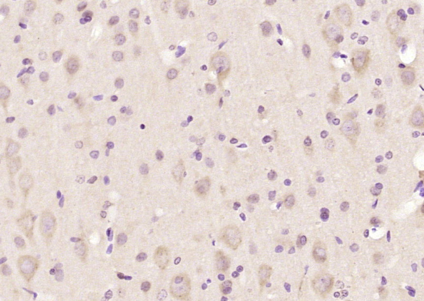
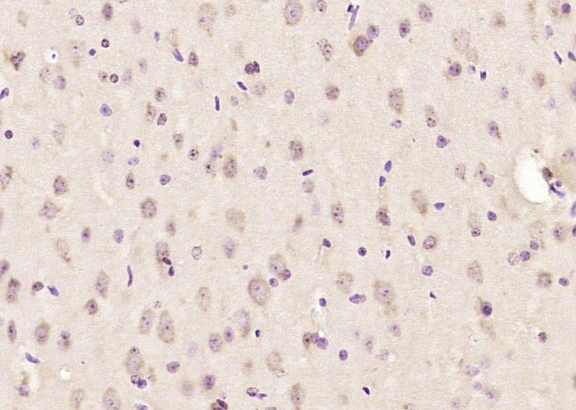
| 产品应用 | WB=1:500-2000, IHC-P=1:100-500, IHC-F=1:100-500, IF=1:100-500 Not yet tested in other applications. |
| 交叉反应 | Mouse, Rat (Human, Chicken, Dog, Pig, Cow, Sheep) |
| 抗体来源 | Rabbit |
| 免疫原 | KLH conjugated synthetic peptide derived from human FKBP-1A |
| 亚型 | IgG |
| 性状 | Liquid |
| 纯化方法 | affinity purified by Protein A |
| 克隆类型 | Polyclonal |
| 理论分子量 | 12 kDa |
| 浓度 | 1mg/ml |
| 储存液 | 0.01M TBS (pH7.4) with 1% BSA, 0.02% Proclin300 and 50% Glycerol. |
| 亚细胞定位 | Cytoplasm. |
| 相似性 | Belongs to the FKBP-type PPIase family. FKBP1 subfamily. Contains 1 PPIase FKBP-type domain. |
| 功能 | May play a role in modulation of ryanodine receptor isoform-1 (RYR-1), a component of the calcium release channel of skeletal muscle sarcoplasmic reticulum. There are four molecules of FKBP12 per skeletal muscle RYR. PPIases accelerate the folding of proteins. It catalyzes the cis-trans isomerization of proline imidic peptide bonds in oligopeptides. |
| 保存条件 | Shipped at 4℃. Store at -20℃ for one year. Avoid repeated freeze/thaw cycles. |
| 注意事项 | This product as supplied is intended for research use only, not for use in human, therapeutic or diagnostic applications. |
| 背景资料 | The protein encoded by this gene is a member of the immunophilin protein family, which play a role in immunoregulation and basic cellular processes involving protein folding and trafficking. The protein is a cis-trans prolyl isomerase that binds the immunosuppressants FK506 and rapamycin. It interacts with several intracellular signal transduction proteins including type I TGF-beta receptor. It also interacts with multiple intracellular calcium release channels, and coordinates multi-protein complex formation of the tetrameric skeletal muscle ryanodine receptor. In mouse, deletion of this homologous gene causes congenital heart disorder known as noncompaction of left ventricular myocardium. Multiple alternatively spliced variants, encoding the same protein, have been identified. The human genome contains five pseudogenes related to this gene, at least one of which is transcribed. [provided by RefSeq, Sep 2008] |
| 应用 | 推荐稀释比例 |
| {WB} | {1:500-2000} |
| {IHC-P} | {1:100-500} |
| {IHC-F} | {1:100-500} |
| {IF} | {1:100-500} |

brain (Mouse) Lysate at 40 ug
Primary: Anti-FKBP-1A'FKBP12 (bs-7450R) at 1/300 dilution
Secondary: IRDye800CW Goat Anti-Rabbit IgG at 1/20000 dilution
Predicted band size: 12 kD
Observed band size: 12 kD


风险提示:丁香通仅作为第三方平台,为商家信息发布提供平台空间。用户咨询产品时请注意保护个人信息及财产安全,合理判断,谨慎选购商品,商家和用户对交易行为负责。对于医疗器械类产品,请先查证核实企业经营资质和医疗器械产品注册证情况。
文献和实验= NAL), appears to form upon oxidative cyclization of the nonfluorescent 2:1 lysine-HNE Michael adduct-Schiff base cross-link (Scheme 1). Polyclonal antibody (PAb) to the NAL-HNE fluorophore was raised in rabbit and found to be highly specific
GE Healthcare Benzamidine Sepharose™ 6B is p-aminobenzamidine covalently attached to Sepharose 6B by the epoxy coupling method. p-Aminobenzamidine (PAB), is a synthetic inhibitor of trypsin-like serine protease. Trypsin and trypsin
Nucleic Acid Programmable Protein Arrays: Versatile Tools for Array‐Based Functional Protein Studies
.g., Sigma) 50 mg/ml bis‐sulfosuccinimdylsuberate (BS3 ;Pierce, cat. no. PI 21580) in dimethylsulfoxide (DMSO) 5 mg/ml
技术资料暂无技术资料 索取技术资料






