相关产品推荐更多 >

phospho-ATM (Ser794) Rabbit pAb, AP conjugated(bs-12545R-AP)-100ul
¥2980
SRD5A1 Rabbit pAb, Biotin conjugated(bs-21887R-Bio)-100ul
¥2980
phospho-HSP70 (Tyr41) Rabbit pAb(bs-10451R)-50ul/100ul/200ul
¥1180
ETV2 Rabbit pAb, BF594 conjugated(bs-12341R-BF594)-100ul
¥2980
Anti-human IL-4Ra / CD124 (Dupilumab Biosimilar)(BIO0210SM)-1mg/5mg/20mg
¥1550
万千商家帮你免费找货
0 人在求购买到急需产品
- 详细信息
- 文献和实验
- 技术资料
- 应用范围:
产品信息以Bioss网站为准
- 规格:
50ul/100ul/200ul
| 规格: | 50ul | 产品价格: | ¥1180.0 |
|---|---|---|---|
| 规格: | 100ul | 产品价格: | ¥1980.0 |
| 规格: | 200ul | 产品价格: | ¥2800.0 |
| 产品编号 | bs-13896R |
| 英文名称 | CHD8 Rabbit pAb |
| 中文名称 | ATP依赖的解旋酶CHD8抗体 |
| 英文别名 | ATP dependent helicase CHD8; ATP-dependent helicase CHD8; Axis duplication inhibitor; beta catenin binding protein like; CHD 8; CHD-8; chd8; CHD8_HUMAN; Chromodomain helicase DNA binding protein 8; Chromodomain-helicase-DNA-binding protein 8; DKFZp686N17164; Duplin; Helicase with SNF2 domain 1; HELSNF1; KIAA1564. |
| 产品应用 | IHC-P=1:100-500, IHC-F=1:100-500, IF=1:100-500 Not yet tested in other applications. |
| 交叉反应 | Human (Mouse, Rat, Dog, Pig, Cow, Horse, Sheep) |
| 抗体来源 | Rabbit |
| 免疫原 | KLH conjugated synthetic peptide derived from human CHD8 |
| 亚型 | IgG |
| 性状 | Liquid |
| 纯化方法 | affinity purified by Protein A |
| 克隆类型 | Polyclonal |
| 理论分子量 | 290 kDa |
| 浓度 | 1mg/ml |
| 储存液 | 0.01M TBS (pH7.4) with 1% BSA, 0.02% Proclin300 and 50% Glycerol. |
| 研究领域 | Epigenetics and Nuclear Signaling > Chromatin Binding Proteins > DNA / RNA binding |
| 亚细胞定位 | Nucleus. Localizes to the promoter regions of several CTNNB1-responsive genes. Also present at known CTCF target sites. |
| 翻译后修饰 | Sumoylated. |
| 相似性 | Belongs to the SNF2/RAD54 helicase family. CHD8 subfamily. Contains 2 chromo domains. Contains 1 helicase ATP-binding domain. Contains 1 helicase C-terminal domain. |
| 功能 | DNA helicase that acts as a chromatin remodeling factor and regulates transcription. Acts as a transcription repressor by remodeling chromatin structure and recruiting histone H1 to target genes. Suppresses p53/TP53-mediated apoptosis by recruiting histone H1 and preventing p53/TP53 transactivation activity. Acts as a negative regulator of Wnt signaling pathway by regulating beta-catenin (CTNNB1) activity. Negatively regulates CTNNB1-targeted gene expression by being recruited specifically to the promoter regions of several CTNNB1 responsive genes. Involved in both enhancer blocking and epigenetic remodeling at chromatin boundary via its interaction with CTCF. Acts as a suppressor of STAT3 activity by suppressing the LIF-induced STAT3 transcriptional activity. Also acts as a transcription activator via its interaction with ZNF143 by participating to efficient U6 RNA polymerase III transcription. |
| 保存条件 | Shipped at 4℃. Store at -20℃ for one year. Avoid repeated freeze/thaw cycles. |
| 注意事项 | This product as supplied is intended for research use only, not for use in human, therapeutic or diagnostic applications. |
| 背景资料 | This gene encodes a DNA helicase that functions as a transcription repressor by remodeling chromatin structure. It binds beta-catenin and negatively regulates Wnt signaling pathway, which plays a pivotal role in vertebrate early development and morphogenesis. Mice lacking this gene exhibit early embryonic death. Alternatively spliced transcript variants encoding different isoforms have been found for this gene. [provided by RefSeq, May 2010] |
| 应用 | 推荐稀释比例 |
| {IHC-P} | {1:100-500} |
| {IHC-F} | {1:100-500} |
| {IF} | {1:100-500} |

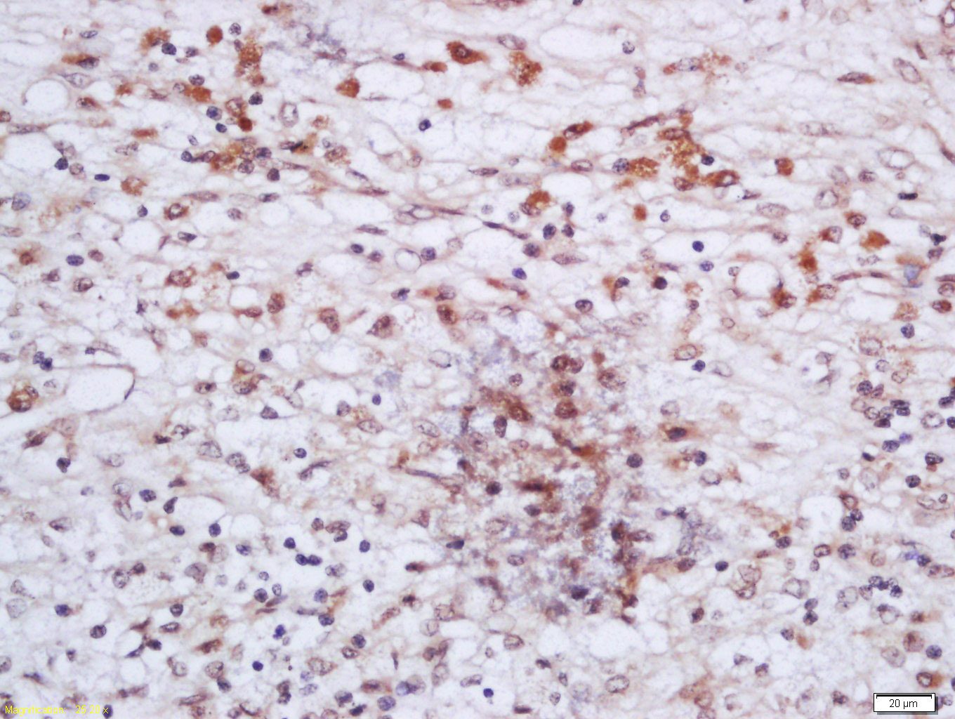
Antigen retrieval: citrate buffer ( 0.01M, pH 6.0 ), Boiling bathing for 15min; Block endogenous peroxidase by 3% Hydrogen peroxide for 30min; Blocking buffer (normal goat serum,C-0005) at 37℃ for 20 min;
Incubation: Anti-CHD8 Polyclonal Antibody, Unconjugated(bs-13896R) 1:200, overnight at 4°C, followed by conjugation to the secondary antibody(SP-0023) and DAB(C-0010) staining
风险提示:丁香通仅作为第三方平台,为商家信息发布提供平台空间。用户咨询产品时请注意保护个人信息及财产安全,合理判断,谨慎选购商品,商家和用户对交易行为负责。对于医疗器械类产品,请先查证核实企业经营资质和医疗器械产品注册证情况。
文献和实验= NAL), appears to form upon oxidative cyclization of the nonfluorescent 2:1 lysine-HNE Michael adduct-Schiff base cross-link (Scheme 1). Polyclonal antibody (PAb) to the NAL-HNE fluorophore was raised in rabbit and found to be highly specific
GE Healthcare Benzamidine Sepharose™ 6B is p-aminobenzamidine covalently attached to Sepharose 6B by the epoxy coupling method. p-Aminobenzamidine (PAB), is a synthetic inhibitor of trypsin-like serine protease. Trypsin and trypsin
Nucleic Acid Programmable Protein Arrays: Versatile Tools for Array‐Based Functional Protein Studies
.g., Sigma) 50 mg/ml bis‐sulfosuccinimdylsuberate (BS3 ;Pierce, cat. no. PI 21580) in dimethylsulfoxide (DMSO) 5 mg/ml
技术资料暂无技术资料 索取技术资料






