Sample:
Brain (Mouse) Lysate at 40 ug
Primary: Anti-DISC1 (NT) (bs-0428R) at 1/300 dilution
Secondary: IRDye800CW Goat Anti-Rabbit IgG at 1/20000 dilution
Predicted band size: 92 kD
Observed band size: 92 kD
相关产品推荐更多 >

FCN3 Rabbit pAb, Biotin conjugated(bs-16062R-Bio)-100ul
¥2980
Anillin Rabbit pAb(bs-7738R)-50ul/100ul/200ul
¥1180
14-3-3 Rabbit pAb, APC-Cy5.5 conjugated(bs-9654R-APC-Cy5.5)-100ul
¥2980
MRP2/ABCC2 Rabbit pAb, RBITC conjugated(bs-1092R-RBITC)-100ul
¥2980
phospho-Stat4 (Tyr693) Rabbit pAb, Biotin conjugated(bs-3430R-Bio)-100ul
¥2980
万千商家帮你免费找货
0 人在求购买到急需产品
- 详细信息
- 技术资料
- 应用范围:
产品信息以Bioss网站为准
- 规格:
50ul/100ul/200ul
| 规格: | 50ul | 产品价格: | ¥1180.0 |
|---|---|---|---|
| 规格: | 100ul | 产品价格: | ¥1980.0 |
| 规格: | 200ul | 产品价格: | ¥2800.0 |
| 产品编号 | bs-0428R |
| 英文名称 | DISC1 (NT) Rabbit pAb |
| 中文名称 | DISC1 N端抗体 |
| 英文别名 | disrupted in schizophrenia1; C1orf136; KIAA0457; RP4-730B13.1; SCZD9; DISC1; DISC1_HUMAN. |
| 产品应用 | WB=1:500-2000, IHC-P=1:100-500, IHC-F=1:100-500, IF=1:100-500 Not yet tested in other applications. |
| 交叉反应 | Mouse (Human) |
| 抗体来源 | Rabbit |
| 免疫原 | KLH conjugated synthetic peptide derived from human DISC1 |
| 亚型 | IgG |
| 性状 | Liquid |
| 纯化方法 | affinity purified by Protein A |
| 克隆类型 | Polyclonal |
| 理论分子量 | 92 kDa |
| 浓度 | 1mg/ml |
| 储存液 | 0.01M TBS (pH7.4) with 1% BSA, 0.02% Proclin300 and 50% Glycerol. |
| 研究领域 | Neuroscience > Neurology process > Neurodegenerative disease > Alzheimer's disease Neuroscience > Neurology process > Neurogenesis |
| 亚基 | Interacts with NDEL1. Interacts with CCDC88A (via C-terminus); the interaction is direct. Interacts with GSK3B. Interacts with tubulin alpha, ACTN2, ANKHD1, ATF4, ATF5, CEP63, EIF3S3, MAP1A, NDEL1, PAFAH1B1, RANBP9, SPTBN4, SYNE1 and TRAF3IP1. Interaction with microtubules may be mediated in part by TRAF3IP1. Interacts (via C-terminal) with PCNT. Interacts with CHCHD6. |
| 亚细胞定位 | Cytoplasm. Cytoplasm > cytoskeleton. Cytoplasm > cytoskeleton > centrosome. Cell junction > synapse > postsynaptic cell membrane > postsynaptic density. Colocalizes with NDEL1 in the perinuclear region and the centrosome (By similarity). Localizes to punctate cytoplasmic foci which overlap in part with mitochondria. Colocalizes with PCNT at the centrosome. |
| 组织特异性 | Ubiquitous. Highly expressed in the dentate gyrus of the hippocampus. Also expressed in the temporal and parahippocampal cortices and cells of the white matter. |
| 功能 | Involved in the regulation of multiple aspects of embryonic and adult neurogenesis. Required for neural progenitor proliferation in the ventrical/subventrical zone during embryonic brain development and in the adult dentate gyrus of the hippocampus. Participates in the Wnt-mediated neural progenitor proliferation as a positive regulator by modulating GSK3B activity and CTNNB1 abundance. Plays a role as a modulator of the AKT-mTOR signaling pathway controlling the tempo of the process of newborn neurons integration during adult neurogenesis, including neuron positioning, dendritic development and synapse formation. Inhibits the activation of AKT-mTOR signaling upon interaction with CCDC88A. Regulates the migration of early-born granule cell precursors toward the dentate gyrus during the hippocampal development. Plays a role, together with PCNT, in the microtubule network formation. |
| 保存条件 | Shipped at 4℃. Store at -20℃ for one year. Avoid repeated freeze/thaw cycles. |
| 注意事项 | This product as supplied is intended for research use only, not for use in human, therapeutic or diagnostic applications. |
| 应用 | 推荐稀释比例 |
| {WB} | {1:500-2000} |
| {IHC-P} | {1:100-500} |
| {IHC-F} | {1:100-500} |
| {IF} | {1:100-500} |


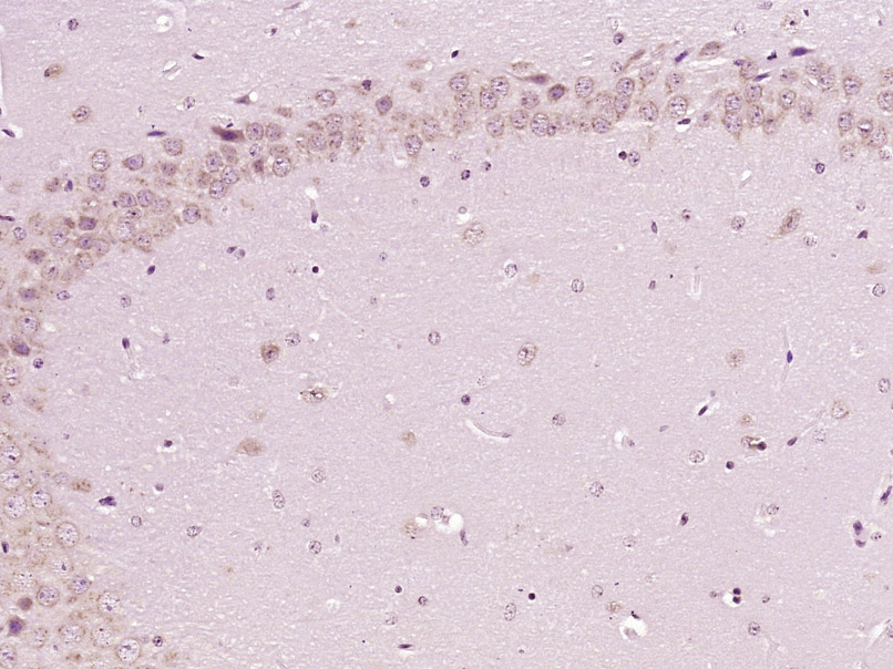
Paraformaldehyde-fixed, paraffin embedded (Mouse brain); Antigen retrieval by boiling in sodium citrate buffer (pH6.0) for 15min; Block endogenous peroxidase by 3% hydrogen peroxide for 20 minutes; Blocking buffer (normal goat serum) at 37°C for 30min; Antibody incubation with (DISC1 (NT)) Polyclonal Antibody, Unconjugated (bs-0428R) at 1:400 overnight at 4°C, followed by operating according to SP Kit(Rabbit) (sp-0023) instructionsand DAB staining.
风险提示:丁香通仅作为第三方平台,为商家信息发布提供平台空间。用户咨询产品时请注意保护个人信息及财产安全,合理判断,谨慎选购商品,商家和用户对交易行为负责。对于医疗器械类产品,请先查证核实企业经营资质和医疗器械产品注册证情况。
技术资料暂无技术资料 索取技术资料
DISC1 (NT) Rabbit pAb(bs-0428R)-50ul/100ul/200ul
¥1180 - 2800






