Blank control (Black line):Molt4 (Black).
Primary Antibody (green line): Rabbit Anti-Exonuclease 1 antibody (bs-13119R)
Dilution: 1μg /10^6 cells;
Isotype Control Antibody (orange line): Rabbit IgG .
Secondary Antibody (white blue line): Goat anti-rabbit IgG-AF647
Dilution: 1μg /test.
Protocol
The cells were fixed with 4% PFA (10min at room temperature)and then permeabilized with 90% ice-cold methanol for 20 min at room temperature. The cells were then incubated in 5%BSA to block non-specific protein-protein interactions for 30 min at room temperature .Cells stained with Primary Antibody for 30 min at room temperature. The secondary antibody used for 40 min at room temperature. Acquisition of 20,000 events was performed.
相关产品推荐更多 >

phospho-Brk (Tyr447) Rabbit pAb, PE conjugated(bs-12890R-PE)-100ul
¥2980
phospho-IKK alpha (Ser176) Rabbit pAb, RBITC conjugated(bs-18127R-RBITC)-100ul
¥2980
Anti-human IL-21 (Avizakimab Biosimilar)(BIO0655SM)-1mg/5mg/20mg
¥3200
NF-L Rabbit pAb, PerCP-Cy7 conjugated(bs-0707R-PerCP-Cy7)-100ul
¥2980
CD24 Rabbit pAb, Biotin conjugated(bs-23867R-Bio)-100ul
¥2980
万千商家帮你免费找货
0 人在求购买到急需产品
- 详细信息
- 文献和实验
- 技术资料
- 应用范围:
产品信息以Bioss网站为准
- 规格:
50ul/100ul/200ul
| 规格: | 50ul | 产品价格: | ¥1180.0 |
|---|---|---|---|
| 规格: | 100ul | 产品价格: | ¥1980.0 |
| 规格: | 200ul | 产品价格: | ¥2800.0 |
| 产品编号 | bs-13119R |
| 英文名称 | Exonuclease 1 Rabbit pAb |
| 中文名称 | 核酸外切酶1抗体 |
| 英文别名 | exo1; EXO1_HUMAN; ExoI; Exonuclease 1; Exonuclease I; Exonuclease1; HEX1; hExo I; hExo1; hExoI; Rad2 nuclease family member homolog of S. cerevisiae exonuclease 1. |
| 产品应用 | WB=1:500-2000, IHC-P=1:100-500, IHC-F=1:100-500, IF=1:100-500, Flow-Cyt=1ug/Test Not yet tested in other applications. |
| 交叉反应 | Human, Mouse (Rat, Chimpanzee, Macaque Monkey, Gorilla, Chinese Hamster, Orangu) |
| 抗体来源 | Rabbit |
| 免疫原 | KLH conjugated synthetic peptide derived from human Exonuclease 1 |
| 亚型 | IgG |
| 性状 | Liquid |
| 纯化方法 | affinity purified by Protein A |
| 克隆类型 | Polyclonal |
| 理论分子量 | 94 kDa |
| 浓度 | 1mg/ml |
| 储存液 | 0.01M TBS (pH7.4) with 1% BSA, 0.02% Proclin300 and 50% Glycerol. |
| 亚基 | Interacts with the MLH1-PMS2 heterodimer via MLH1. Interacts with MSH3. Interacts with the MSH2-MSH6 heterodimer via MSH2, and this interaction may increase the processivity of the 5'->3' exonuclease activity. Interacts with PCNA, and this interaction may both stimulate the cryptic 3'->5' exonuclease activity and suppress the 5'->3' exonuclease activity. Interacts with WRN, and this interaction stimulates both the 5'->3' exonuclease activity and cleavage of 5'-overhanging flap structures. Interacts with RECQL/RECQ1, and this interaction stimulates cleavage of 5'-overhanging flap structures. |
| 亚细胞定位 | Nucleus. Colocalizes with PCNA to discrete nuclear foci in S-phase. |
| 组织特异性 | Highly expressed in bone marrow, testis and thymus. Expressed at lower levels in colon, lymph nodes, ovary, placenta, prostate, small intestine, spleen and stomach. |
| 翻译后修饰 | Phosphorylated upon DNA damage and in response to agents stalling DNA replication, probably by ATM or ATR. Phosphorylation at Ser-454, Thr-621 and Ser-714 is induced upon DNA-damage caused by treatment with hydroxyurea (HU) but not upon IR treatment. The HU-induced EXO1 triple phosphorylation facilitates destabilisation/degradation of the protein. |
| 相似性 | Belongs to the XPG/RAD2 endonuclease family. EXO1 subfamily. |
| 功能 | 5'->3' double-stranded DNA exonuclease which may also possess a cryptic 3'->5' double-stranded DNA exonuclease activity. Functions in DNA mismatch repair (MMR) to excise mismatch-containing DNA tracts directed by strand breaks located either 5' or 3' to the mismatch. Also exhibits endonuclease activity against 5'-overhanging flap structures similar to those generated by displacement synthesis when DNA polymerase encounters the 5'-end of a downstream Okazaki fragment. Required for somatic hypermutation (SHM) and class switch recombination (CSR) of immunoglobulin genes. Essential for male and female meiosis. |
| 保存条件 | Shipped at 4℃. Store at -20℃ for one year. Avoid repeated freeze/thaw cycles. |
| 注意事项 | This product as supplied is intended for research use only, not for use in human, therapeutic or diagnostic applications. |
| 背景资料 | Comparative evaluation of the expression patterns of the human and mouse genes, combined with previous biochemical and yeast genetic studies, indicate that the Exo1 (Exonuclease I) proteins are important contributors to chromosome processing during mammalian DNA repair and recombination. In mice, the Exo1 gene maps to distal chromosome 1, consistent with the recent mapping of the orthologous human HEX1/EXO1 gene to chromosome 1q43. Exo1 is expressed prominently in testis, an area of active homologous recombination, and spleen, a prominent lymphoid tissue. In both mammalian and yeast systems, Exo1 is a 5'-3' double stranded DNA exonuclease that has previously been implicated in DNA mismatch repair (MMR). The MMR system ensures genome integrity by removing mispaired and unpaired bases that originate during replication. In humans, Exo1 interacts with MSH2 and MLH1 and has been proposed to be a redundant exonuclease in MMR. In both mammalian and yeast systems, Exo1 plays a structural role in MMR and stabilizes multiprotein complexes containing a number of MMR proteins. |
| 应用 | 推荐稀释比例 |
| {WB} | {1:500-2000} |
| {IHC-P} | {1:100-500} |
| {IHC-F} | {1:100-500} |
| {IF} | {1:100-500} |
| {Flow-Cyt} | {1ug/Test} |


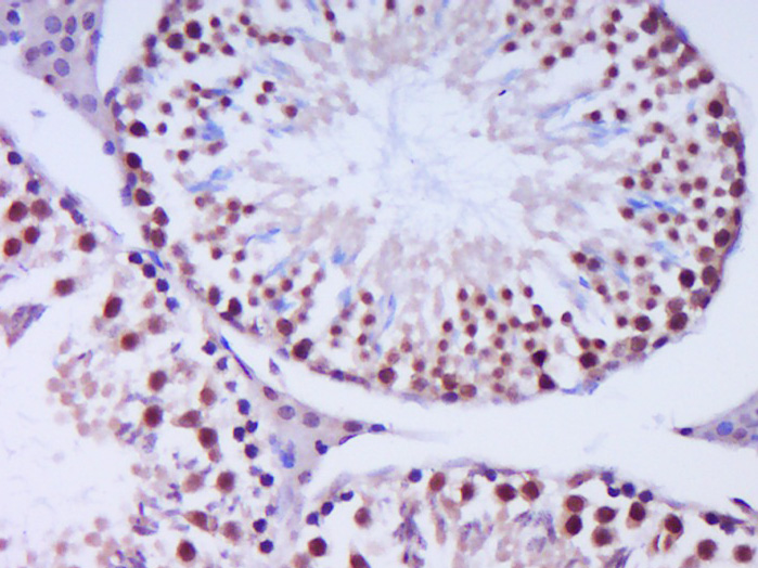
Paraformaldehyde-fixed, paraffin embedded (Mouse testis); Antigen retrieval by boiling in sodium citrate buffer (pH6.0) for 15min; Block endogenous peroxidase by 3% hydrogen peroxide for 20 minutes; Blocking buffer (normal goat serum) at 37°C for 30min; Antibody incubation with (Exonuclease 1) Polyclonal Antibody, Unconjugated (bs-13119R) at 1:400 overnight at 4°C, followed by operating according to SP Kit(Rabbit) (sp-0023) instructionsand DAB staining.

Sample:
Testis (Mouse) Lysate at 40 ug
Thymus (Mouse) Lysate at 40 ug
Primary: Anti-Exonuclease 1 (bs-13119R) at 1/1000 dilution
Secondary: IRDye800CW Goat Anti-Rabbit IgG at 1/20000 dilution
Predicted band size: 94 kD
Observed band size: 90 kD
Testis (Mouse) Lysate at 40 ug
Thymus (Mouse) Lysate at 40 ug
Primary: Anti-Exonuclease 1 (bs-13119R) at 1/1000 dilution
Secondary: IRDye800CW Goat Anti-Rabbit IgG at 1/20000 dilution
Predicted band size: 94 kD
Observed band size: 90 kD

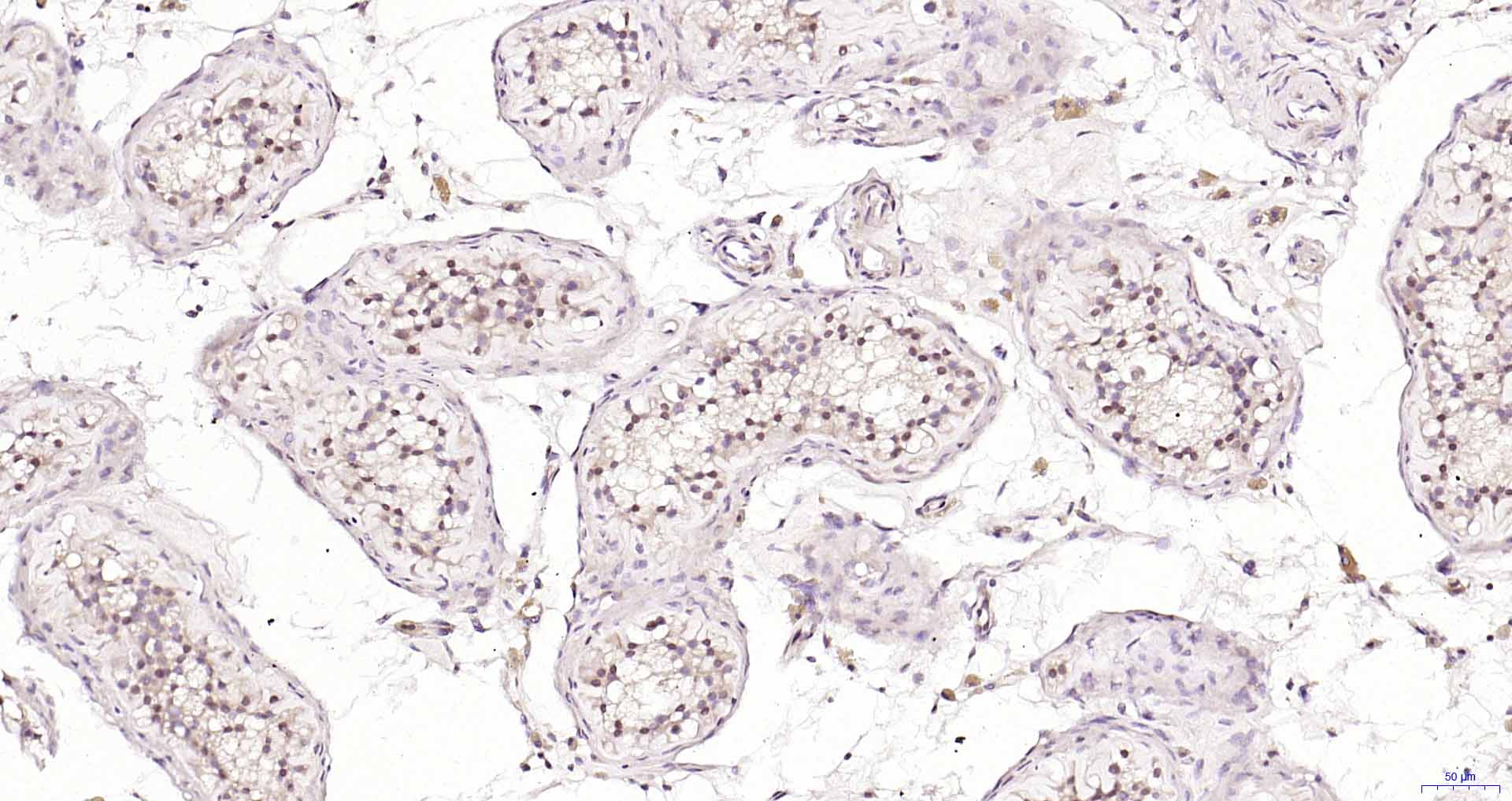
Paraformaldehyde-fixed, paraffin embedded Human Testicles; Antigen retrieval by boiling in sodium citrate buffer (pH6.0) for 15 min; Antibody incubation with Exonuclease 1 Polyclonal Antibody, Unconjugated (bs-13119R) at 1:200 overnight at 4°C, followed by conjugation to the SP Kit (Rabbit, SP-0023) and DAB (C-0010) staining.

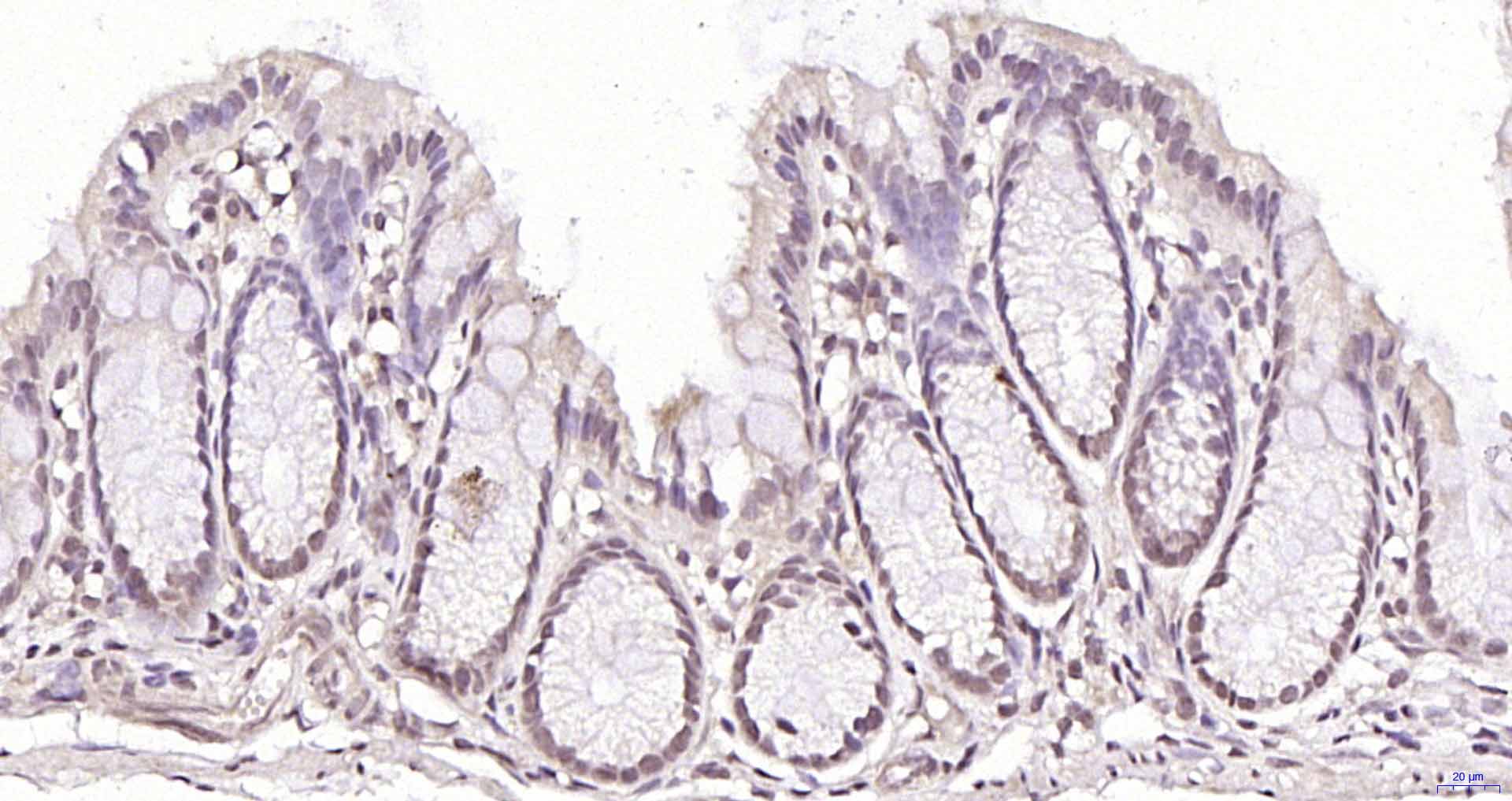
Paraformaldehyde-fixed, paraffin embedded Mouse Colon; Antigen retrieval by boiling in sodium citrate buffer (pH6.0) for 15 min; Antibody incubation with Exonuclease 1 Polyclonal Antibody, Unconjugated (bs-13119R) at 1:200 overnight at 4°C, followed by conjugation to the SP Kit (Rabbit, SP-0023) and DAB (C-0010) staining.
风险提示:丁香通仅作为第三方平台,为商家信息发布提供平台空间。用户咨询产品时请注意保护个人信息及财产安全,合理判断,谨慎选购商品,商家和用户对交易行为负责。对于医疗器械类产品,请先查证核实企业经营资质和医疗器械产品注册证情况。
文献和实验该产品被引用文献
[IF={{ 3.8 }}] {Li, Zhuoqi. et al.EXO1 is a key gene for lung-resident memory T cells and has diagnostic and predictive values for lung adenocarcinoma.SCIENTIFIC REPORTS.2025 Feb 1;15(1):4002.} {} {Rabbit}
技术资料暂无技术资料 索取技术资料
文献支持
Exonuclease 1 Rabbit pAb(bs-13119R)-50ul/100ul/200ul
¥1180 - 2800





