相关产品推荐更多 >

phospho-HSD17B13 (Ser33) Rabbit pAb, FITC conjugated(bs-22308R-FITC)-100ul
¥2980
KLST/Kallistatin Rabbit pAb, Biotin conjugated(bs-5786R-Bio)-100ul
¥2980
ID1 Rabbit pAb, Cy5 conjugated(bs-6541R-Cy5)-100ul
¥2980
human CD14 Mouse mAb(bsm-30074M)-100ug
¥1880
Nur77 Rabbit pAb, PE-Cy5.5 conjugated(bs-3513R-PE-Cy5.5)-100ul
¥2980
万千商家帮你免费找货
0 人在求购买到急需产品
- 详细信息
- 文献和实验
- 技术资料
- 应用范围:
产品信息以Bioss网站为准
- 规格:
50ul/100ul/200ul
| 规格: | 50ul | 产品价格: | ¥1180.0 |
|---|---|---|---|
| 规格: | 100ul | 产品价格: | ¥1980.0 |
| 规格: | 200ul | 产品价格: | ¥2800.0 |
| 产品编号 | bs-11968R |
| 英文名称 | Semaphorin 3D Rabbit pAb |
| 中文名称 | 跨膜蛋白SEMA3D抗体 |
| 英文别名 | Coll 2; Coll2; Collapsin 2; SEMA3D; Semaphorin3D; SEM3D_HUMAN. |
| 产品应用 | IHC-P=1:100-500, IHC-F=1:100-500, IF=1:100-500 Not yet tested in other applications. |
| 交叉反应 | Mouse, Rat (Human, Chicken, Dog, Pig, Horse, Rabbit) |
| 抗体来源 | Rabbit |
| 免疫原 | KLH conjugated synthetic peptide derived from human Semaphorin 3D |
| 亚型 | IgG |
| 性状 | Liquid |
| 纯化方法 | affinity purified by Protein A |
| 克隆类型 | Polyclonal |
| 理论分子量 | 85 kDa |
| 浓度 | 1mg/ml |
| 储存液 | 0.01M TBS (pH7.4) with 1% BSA, 0.02% Proclin300 and 50% Glycerol. |
| 研究领域 | Neuroscience > Neurology process > Growth and Development > Axonal Guidance Proteins Neuroscience > Neurology process > Neurogenesis Neuroscience > Neurology process > Neuroregeneration > Neuroregeneration |
| 亚细胞定位 | Secreted |
| 相似性 | Belongs to the semaphorin family.
Contains 1 Ig-like C2-type (immunoglobulin-like) domain. Contains 1 PSI domain. Contains 1 Sema domain. |
| 功能 | One family of inhibitory axon guidance molecules is the semaphorins. The semaphorins include secreted, transmembrane, and GPI anchored extracellular molecules that are involved in regulating axon guidance by inhibiting axons from growing toward incorrect targets. The class 3 semaphorins belong to the secreted group. Via interaction with its neuropilin receptor, semaphorin 3D plays a specific role in the induction of paralysis and collapse of neuronal growth cones. Semaphorin 3D could potentially act as repulsive cues toward specific neuronal populations. |
| 保存条件 | Shipped at 4℃. Store at -20℃ for one year. Avoid repeated freeze/thaw cycles. |
| 注意事项 | This product as supplied is intended for research use only, not for use in human, therapeutic or diagnostic applications. |
| 背景资料 | Semaphorins are a family of cell surface and secreted proteins that are conserved from insects to humans. Members of this family of proteins are approximately 750 amino acids in length (including signal sequences) and are defined by a conserved extracellular “semaphorin” domain of approximately 500 amino acids containing 14-16 cysteines, blocks of conserved sequences and no obvious repeats. Secreted and cell-bound semaphorins chemically attract and repel the growth of neural axons, guiding the development of intricate networks of neural tissue. SEMA3D (semaphorin-3D), also known as coll-2 or Sema-Z2, is a 777 amino acid secreted protein that belongs to the semaphorin family and participates in axon-axon interactions and neural crest activity. SEMA3D binds neuropilin and is able to induce the collapse and paralysis of neuronal growth cones, as well as act to repel specific neuronal populations. SEMA3D contains one immunoglobulin-like (Ig-like) domain, one PSI domain and one semaphorin domain. |
| 应用 | 推荐稀释比例 |
| {IHC-P} | {1:100-500} |
| {IHC-F} | {1:100-500} |
| {IF} | {1:100-500} |

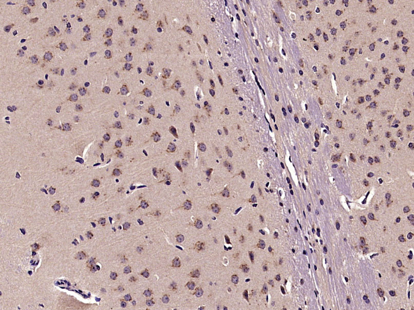
Paraformaldehyde-fixed, paraffin embedded (Rat brain); Antigen retrieval by microwave in sodium citrate buffer (pH6.0) ; Block endogenous peroxidase by 3% hydrogen peroxide for 30 minutes; Blocking buffer (3% BSA) at RT for 30min; Antibody incubation with (Semaphorin 3D) Polyclonal Antibody, Unconjugated (bs-11968R) at 1:400 overnight at 4℃, followed by conjugation to the secondary antibody (labeled with HRP)and DAB staining.

Paraformaldehyde-fixed, paraffin embedded (Mouse brain); Antigen retrieval by microwave in sodium citrate buffer (pH6.0) ; Block endogenous peroxidase by 3% hydrogen peroxide for 30 minutes; Blocking buffer (3% BSA) at RT for 30min; Antibody incubation with (Semaphorin 3D) Polyclonal Antibody, Unconjugated (bs-11968R) at 1:400 overnight at 4℃, followed by conjugation to the secondary antibody (labeled with HRP)and DAB staining.
风险提示:丁香通仅作为第三方平台,为商家信息发布提供平台空间。用户咨询产品时请注意保护个人信息及财产安全,合理判断,谨慎选购商品,商家和用户对交易行为负责。对于医疗器械类产品,请先查证核实企业经营资质和医疗器械产品注册证情况。
文献和实验该产品被引用文献
[IF={{ 3.26 }}] {Liu, Xin-Qi, et al. "Regulation of neuroendocrine cells and neuron factors in the ovary by zinc oxide nanoparticles." Toxicology Letters (2016).} {IHC} {="Chicken"}
技术资料暂无技术资料 索取技术资料
文献支持
Semaphorin 3D Rabbit pAb(bs-11968R)-50ul/100ul/200ul
¥1180 - 2800






