相关产品推荐更多 >

Synaptotagmin X Rabbit pAb(bs-11400R)-50ul/100ul/200ul
¥1180
FOXRED2 Rabbit pAb, PerCP-Cy7 conjugated(bs-13210R-PerCP-Cy7)-100ul
¥2980
Nm23-H2/NME2 Rabbit pAb, AP conjugated(bs-21604R-AP)-100ul
¥2980
MAOA Rabbit pAb, FITC conjugated(bs-6679R-FITC)-100ul
¥2980
GPX2 Rabbit pAb(bs-13396R)-50ul/100ul/200ul
¥1180
万千商家帮你免费找货
0 人在求购买到急需产品
- 详细信息
- 文献和实验
- 技术资料
- 应用范围:
产品信息以Bioss网站为准
- 规格:
50ul/100ul/200ul
| 规格: | 50ul | 产品价格: | ¥1180.0 |
|---|---|---|---|
| 规格: | 100ul | 产品价格: | ¥1980.0 |
| 规格: | 200ul | 产品价格: | ¥2800.0 |
| 产品编号 | bs-6658R |
| 英文名称 | CALU Rabbit pAb |
| 中文名称 | 钙腔蛋白抗体 |
| 英文别名 | CALU_HUMAN; Calumenin; Crocalbin; crocalbin-like protein; multiple EF-hand protein; IEF SSP 9302. |
| 产品应用 | WB=1:500-2000, IHC-P=1:100-500, IHC-F=1:100-500, IF=1:100-500 Not yet tested in other applications. |
| 交叉反应 | Human, Mouse, Rat (Dog, Pig, Cow, Horse, Rabbit) |
| 抗体来源 | Rabbit |
| 免疫原 | KLH conjugated synthetic peptide derived from human Calumenin |
| 亚型 | IgG |
| 性状 | Liquid |
| 纯化方法 | affinity purified by Protein A |
| 克隆类型 | Polyclonal |
| 理论分子量 | 35 kDa |
| 浓度 | 1mg/ml |
| 储存液 | 0.01M TBS (pH7.4) with 1% BSA, 0.02% Proclin300 and 50% Glycerol. |
| 亚基 | Interacts with GGCX. |
| 亚细胞定位 | Endoplasmic reticulum lumen. Secreted. Melanosome. Sarcoplasmic reticulum lumen. Identified by mass spectrometry in melanosome fractions from stage I to stage IV. |
| 组织特异性 | Ubiquitously expressed. Expressed at high levels in heart, placenta and skeletal muscle, at lower levels in lung, kidney and pancreas and at very low levels in brain and liver. |
| 相似性 | Belongs to the CREC family. Contains 6 EF-hand domains. |
| 功能 | Involved in regulation of vitamin K-dependent carboxylation of multiple amino-terminal glutamate residues. Seems to inhibit gamma-carboxylase GGCX. Binds 7 calcium ions with a low affinity. |
| 保存条件 | Shipped at 4℃. Store at -20℃ for one year. Avoid repeated freeze/thaw cycles. |
| 注意事项 | This product as supplied is intended for research use only, not for use in human, therapeutic or diagnostic applications. |
| 背景资料 | The product of this gene is a calcium-binding protein localized in the endoplasmic reticulum (ER) and it is involved in such ER functions as protein folding and sorting. This protein belongs to a family of multiple EF-hand proteins (CERC) that include reticulocalbin, ERC-55, and Cab45 and the product of this gene. Alternatively spliced transcript variants encoding different isoforms have been identified. [provided by RefSeq, Oct 2008] |
| 应用 | 推荐稀释比例 |
| {WB} | {1:500-2000} |
| {IHC-P} | {1:100-500} |
| {IHC-F} | {1:100-500} |
| {IF} | {1:100-500} |

Muscle (Mouse) Lysate at 40 ug
Primary: Anti-Calumenin (bs-6658R) at 1/1000 dilution
Secondary: IRDye800CW Goat Anti-Rabbit IgG at 1/20000 dilution
Predicted band size: 35 kD
Observed band size: 40 kD

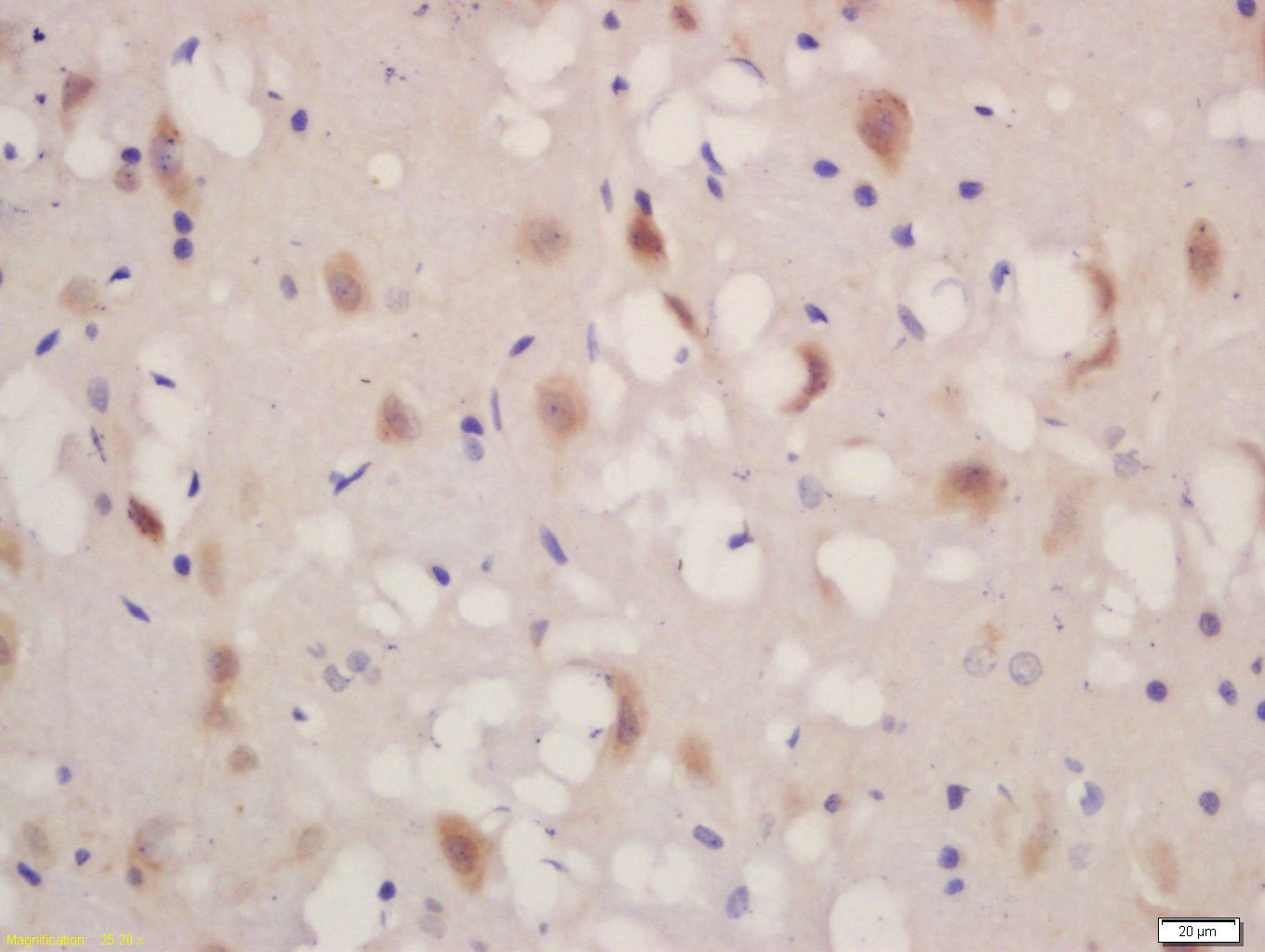
Antigen retrieval: citrate buffer ( 0.01M, pH 6.0 ), Boiling bathing for 15min; Block endogenous peroxidase by 3% Hydrogen peroxide for 30min; Blocking buffer (normal goat serum,C-0005) at 37℃ for 20 min;
Incubation: Anti-Calumenin Polyclonal Antibody, Unconjugated(bs-6658R) 1:200, overnight at 4°C, followed by conjugation to the secondary antibody(SP-0023) and DAB(C-0010) staining

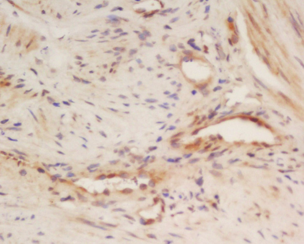
Antigen retrieval: citrate buffer ( 0.01M, pH 6.0 ), Boiling bathing for 15min; Block endogenous peroxidase by 3% Hydrogen peroxide for 30min; Blocking buffer (normal goat serum,C-0005) at 37℃ for 20 min;
Incubation: Anti-Calumenin Polyclonal Antibody, Unconjugated(bs-6658R) 1:200, overnight at 4°C, followed by conjugation to the secondary antibody(SP-0023) and DAB(C-0010) staining
风险提示:丁香通仅作为第三方平台,为商家信息发布提供平台空间。用户咨询产品时请注意保护个人信息及财产安全,合理判断,谨慎选购商品,商家和用户对交易行为负责。对于医疗器械类产品,请先查证核实企业经营资质和医疗器械产品注册证情况。
文献和实验= NAL), appears to form upon oxidative cyclization of the nonfluorescent 2:1 lysine-HNE Michael adduct-Schiff base cross-link (Scheme 1). Polyclonal antibody (PAb) to the NAL-HNE fluorophore was raised in rabbit and found to be highly specific
NRK 肾细胞L-6TG 肌母细胞 3.仓鼠类BHK 幼仓鼠肾V79 中国仓鼠肺细胞CHL 中国仓鼠肺细胞CHO 中国仓鼠卵巢细胞R1610 中国仓鼠体细胞*CHO/dhFr- 二氢叶酸还原酶缺陷型CHO4.人类 2BS 胚肺 XJH B淋巴细胞 HLF 胚肺 L-02 肝细胞 WI-38 胚肺 Chang Liver 张氏肝 SL-7 胚肺 QSG-7701 肝细胞 H.A. 羊膜 293 Ad5DNA转化的胚肾 WISH 羊膜
GE Healthcare Benzamidine Sepharose™ 6B is p-aminobenzamidine covalently attached to Sepharose 6B by the epoxy coupling method. p-Aminobenzamidine (PAB), is a synthetic inhibitor of trypsin-like serine protease. Trypsin and trypsin
技术资料暂无技术资料 索取技术资料






