相关产品推荐更多 >

ZO-1/TJP1 Rabbit pAb, PerCP-Cy5.5 conjugated(bs-1329R-PerCP-Cy5.5)-100ul
¥2980
Integrin Alpha V + Beta 1 Rabbit pAb, BF594 conjugated(bs-2016R-BF594)-100ul
¥2980
Anti-human CXCR4 / CD184 (Ulocuplumab Biosimilar)(BIO0020SM)-1mg/5mg/20mg
¥3200
MDM2BP Rabbit pAb(bs-6388R)-50ul/100ul/200ul
¥1180
TRPC1 Rabbit pAb, PE-Cy5 conjugated(bs-10404R-PE-Cy5)-100ul
¥2980
万千商家帮你免费找货
0 人在求购买到急需产品
- 详细信息
- 文献和实验
- 技术资料
- 应用范围:
产品信息以Bioss网站为准
- 规格:
50ul/100ul/200ul
| 规格: | 50ul | 产品价格: | ¥1180.0 |
|---|---|---|---|
| 规格: | 100ul | 产品价格: | ¥1980.0 |
| 规格: | 200ul | 产品价格: | ¥2800.0 |
| 产品编号 | bs-6593R |
| 英文名称 | TFF1 Rabbit pAb |
| 中文名称 | 乳腺癌雌激素诱导蛋白抗体 |
| 英文别名 | BCEI; Estrogen Inducible Protein pS2; Breast cancer estrogen inducible protein; Breast cancer estrogen inducible sequence; Breast cancer estrogen-inducible protein; D21S21; Gastrointestinal trefoil protein; Gastrointestinal trefoil protein pS2; hP1.A; HP1A; HPS 2; HPS2; pNR 2; PNR-2; pNR2; Polypeptide P1.A; Protein pS2; PS 2; pS2; pS2 protein; TFF 1; TFF1; TFF-1; TFF1_HUMAN; Trefoil factor 1. |
| 产品应用 | IHC-P=1:100-500, IHC-F=1:100-500, IF=1:100-500 Not yet tested in other applications. |
| 交叉反应 | Mouse (Human, Rat) |
| 抗体来源 | Rabbit |
| 免疫原 | KLH conjugated synthetic peptide derived from human TFF1/BCEI/Estrogen Inducible Protein pS2 |
| 亚型 | IgG |
| 性状 | Liquid |
| 纯化方法 | affinity purified by Protein A |
| 克隆类型 | Polyclonal |
| 理论分子量 | 6.7 kDa |
| 浓度 | 1mg/ml |
| 储存液 | 0.01M TBS (pH7.4) with 1% BSA, 0.02% Proclin300 and 50% Glycerol. |
| 研究领域 | Signal Transduction > Signaling Pathway > Nuclear Signaling > Nuclear Hormone Receptors > Estrogen |
| 亚基 | Heterodimer with GKN2; disulfide linked. |
| 亚细胞定位 | Secreted. |
| 组织特异性 | Found in stomach, with highest levels in the upper gastric mucosal cells (at protein level). Detected in goblet cells of the small and large intestine and rectum, small submucosal glands in the esophagus, mucous acini of the sublingual gland, submucosal glands of the trachea, and epithelial cells lining the exocrine pancreatic ducts but not in the remainder of the pancreas (at protein level). Scattered expression is detected in the epithelial cells of the gallbladder and submucosal glands of the vagina, and weak expression is observed in the bronchial goblet cells of the pseudostratified epithelia in the respiratory system (at protein level). Detected in urine (at protein level). Strongly expressed in breast cancer but at low levels in normal mammary tissue. It is regulated by estrogen in MCF-7 cells. Strong expression found in normal gastric mucosa and in the regenerative tissues surrounding ulcerous lesions of gastrointestinal tract, but lower expression found in gastric cancer (at protein level). |
| 相似性 | Contains 1 P-type (trefoil) domain. |
| 功能 | Stabilizer of the mucous gel overlying the gastrointestinal mucosa that provides a physical barrier against various noxious agents. May inhibit the growth of calcium oxalate crystals in urine. |
| 保存条件 | Shipped at 4℃. Store at -20℃ for one year. Avoid repeated freeze/thaw cycles. |
| 注意事项 | This product as supplied is intended for research use only, not for use in human, therapeutic or diagnostic applications. |
| 背景资料 | Members of the trefoil family are characterized by having at least one copy of the trefoil motif, a 40-amino acid domain that contains three conserved disulfides. They are stable secretory proteins expressed in gastrointestinal mucosa. Their functions are not defined, but they may protect the mucosa from insults, stabilize the mucus layer, and affect healing of the epithelium. This gene, which is expressed in the gastric mucosa, has also been studied because of its expression in human tumors. This gene and two other related trefoil family member genes are found in a cluster on chromosome 21. [provided by RefSeq, Jul 2008]. |
| 应用 | 推荐稀释比例 |
| {IHC-P} | {1:100-500} |
| {IHC-F} | {1:100-500} |
| {IF} | {1:100-500} |

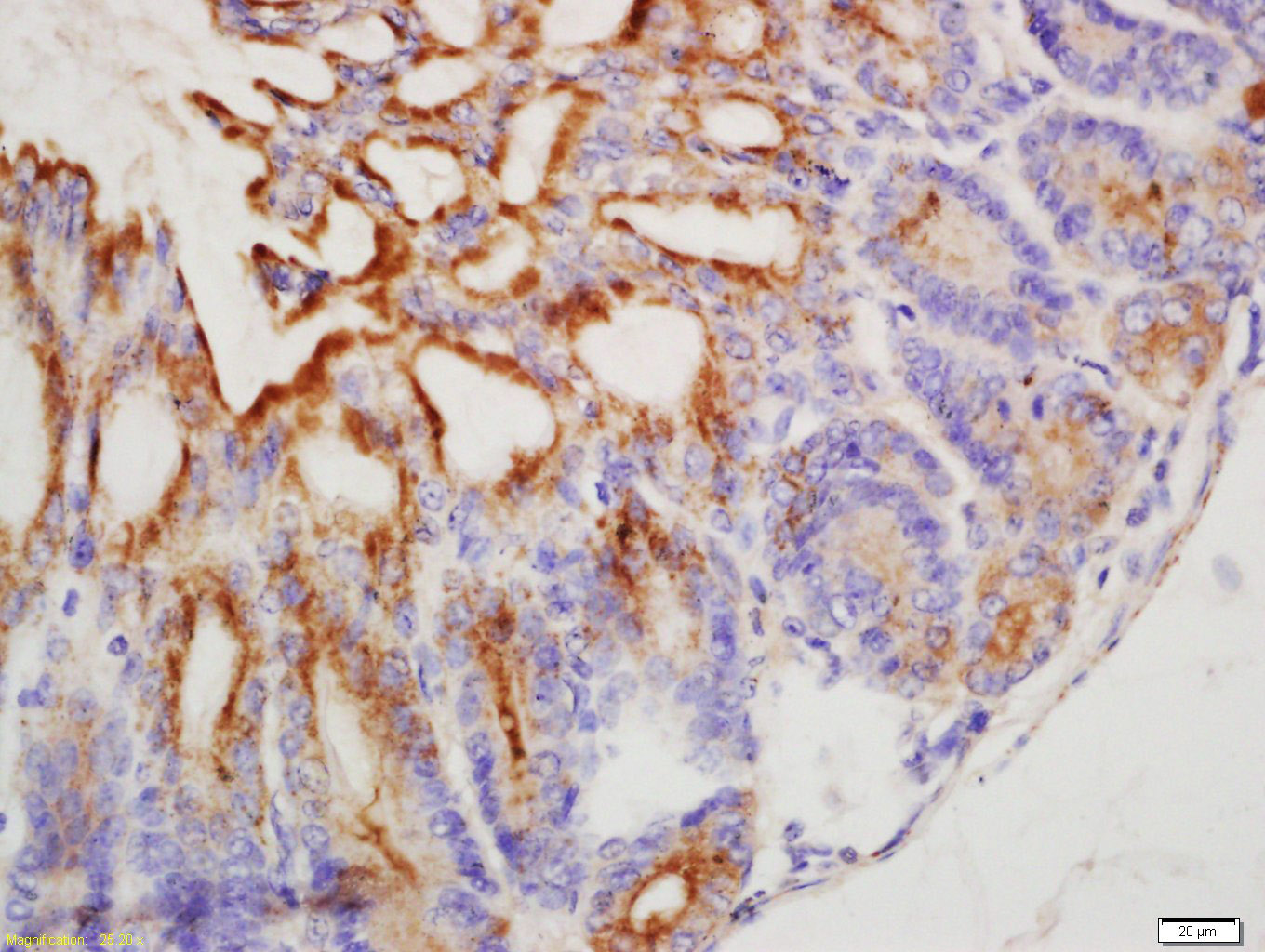
Antigen retrieval: citrate buffer ( 0.01M, pH 6.0 ), Boiling bathing for 15min; Block endogenous peroxidase by 3% Hydrogen peroxide for 30min; Blocking buffer (normal goat serum,C-0005) at 37℃ for 20 min;
Incubation: Anti-TFF1 Polyclonal Antibody, Unconjugated(bs-6593R) 1:200, overnight at 4°C, followed by conjugation to the secondary antibody(SP-0023) and DAB(C-0010) staining
风险提示:丁香通仅作为第三方平台,为商家信息发布提供平台空间。用户咨询产品时请注意保护个人信息及财产安全,合理判断,谨慎选购商品,商家和用户对交易行为负责。对于医疗器械类产品,请先查证核实企业经营资质和医疗器械产品注册证情况。
文献和实验= NAL), appears to form upon oxidative cyclization of the nonfluorescent 2:1 lysine-HNE Michael adduct-Schiff base cross-link (Scheme 1). Polyclonal antibody (PAb) to the NAL-HNE fluorophore was raised in rabbit and found to be highly specific
GE Healthcare Benzamidine Sepharose™ 6B is p-aminobenzamidine covalently attached to Sepharose 6B by the epoxy coupling method. p-Aminobenzamidine (PAB), is a synthetic inhibitor of trypsin-like serine protease. Trypsin and trypsin
Nucleic Acid Programmable Protein Arrays: Versatile Tools for Array‐Based Functional Protein Studies
.g., Sigma) 50 mg/ml bis‐sulfosuccinimdylsuberate (BS3 ;Pierce, cat. no. PI 21580) in dimethylsulfoxide (DMSO) 5 mg/ml
技术资料暂无技术资料 索取技术资料






