相关产品推荐更多 >

NCRNA00114 Rabbit pAb(bs-19055R)-50ul/100ul/200ul
¥1180
NARG1L Rabbit pAb(bs-19022R)-50ul/100ul/200ul
¥1180
phospho-c-Kit (Tyr721) Rabbit pAb(bs-5401R)-50ul/100ul/200ul
¥1180
Influenza A Polymerase basic protein 2 Rabbit pAb(bs-16649R)-50ul/100ul/200ul
¥1180
TTF1/NKX2-1 Rabbit pAb, FITC conjugated(bs-0826R-FITC)-100ul
¥2980
万千商家帮你免费找货
0 人在求购买到急需产品
- 详细信息
- 文献和实验
- 技术资料
- 应用范围:
产品信息以Bioss网站为准
- 规格:
50ul/100ul/200ul
| 规格: | 50ul | 产品价格: | ¥1180.0 |
|---|---|---|---|
| 规格: | 100ul | 产品价格: | ¥1980.0 |
| 规格: | 200ul | 产品价格: | ¥2800.0 |
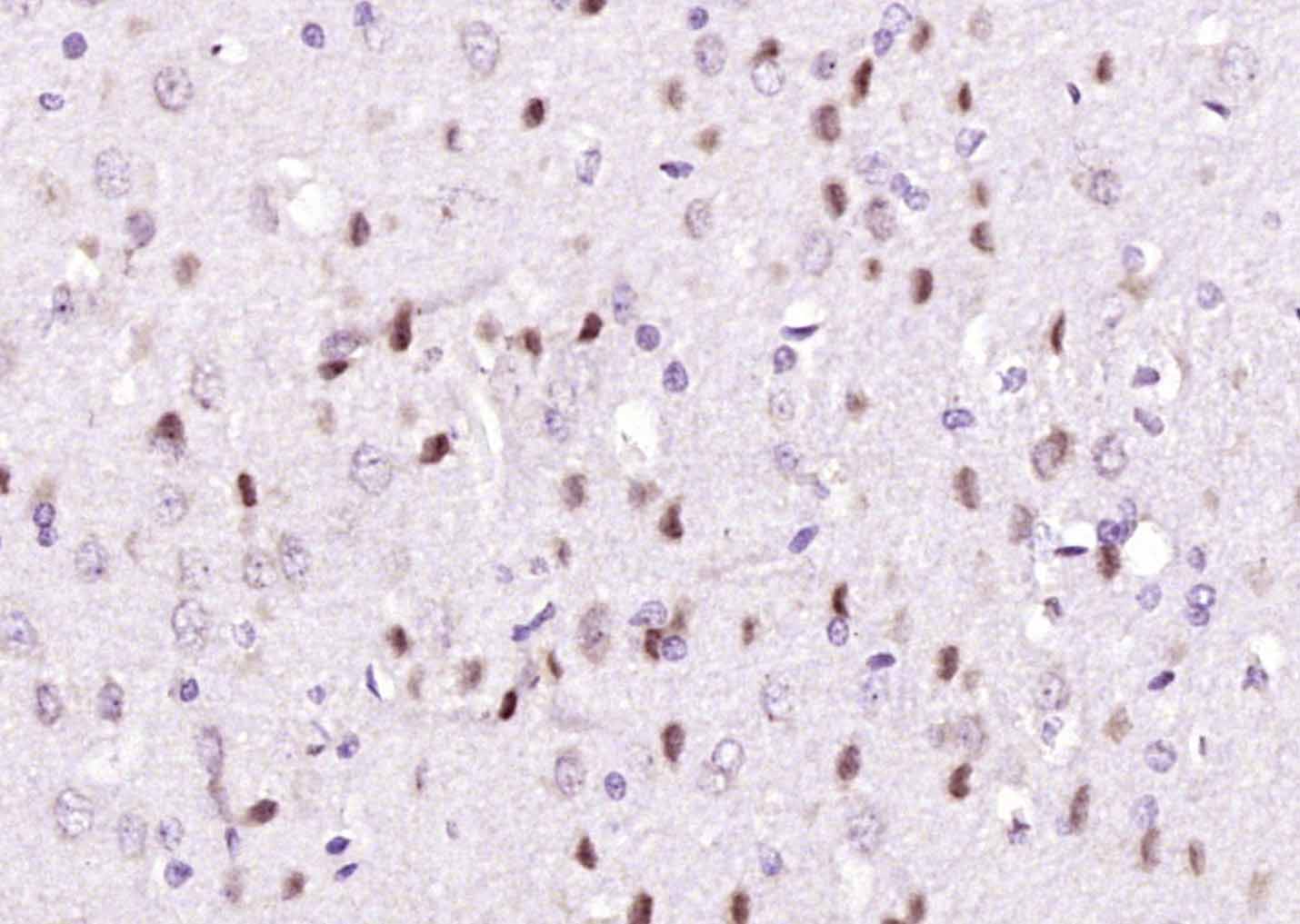
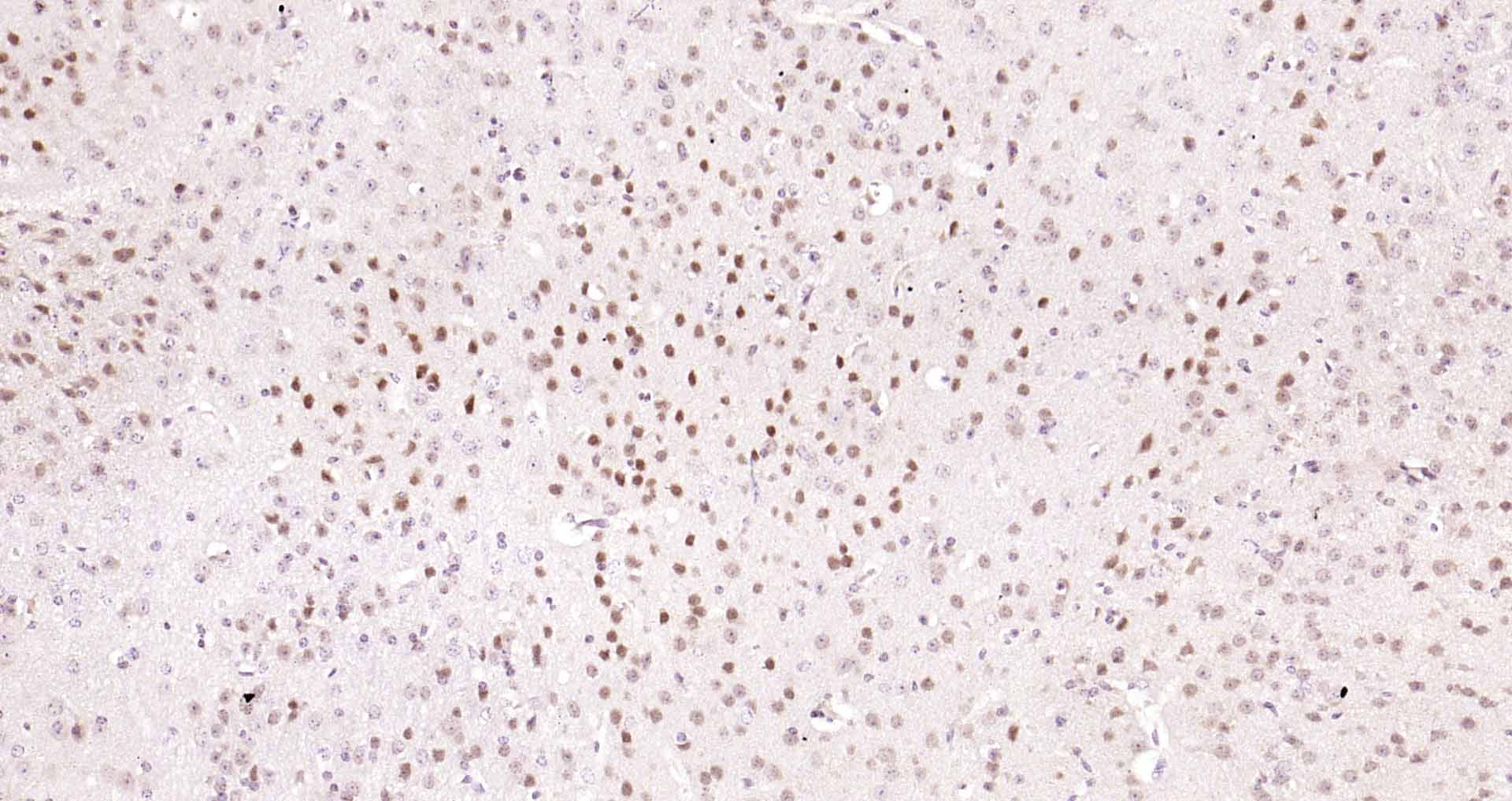
| 产品编号 | bs-4219R |
| 英文名称 | TBL1X/SMAP55 Rabbit pAb |
| 中文名称 | 转导素β1X连锁蛋白抗体 |
| 英文别名 | TBL1; EBI; F box like/WD repeat protein TBL1X; SMAP 55; SMAP55; TBL 1; TBL1X; Transducin(beta) like 1; Transducin(beta) like 1 X linked; Transducin beta like 1 X linked; Transducin beta like 1X; Transducin beta like 1X protein; TBL1X_HUMAN; F-box-like/WD repeat-containing protein TBL1X; Full=Transducin beta-like protein 1X; Transducin-beta-like protein 1, X-linked.. |
| 产品应用 | WB=1:500-2000, IHC-P=1:100-500, IHC-F=1:100-500, IF=1:100-500 Not yet tested in other applications. |
| 交叉反应 | Mouse, Rat (Human, Chicken, Dog, Cow, Horse, Rabbit) |
| 抗体来源 | Rabbit |
| 免疫原 | KLH conjugated synthetic peptide derived from human TBL1X |
| 亚型 | IgG |
| 性状 | Liquid |
| 纯化方法 | affinity purified by Protein A |
| 克隆类型 | Polyclonal |
| 理论分子量 | 63 kDa |
| 浓度 | 1mg/ml |
| 储存液 | 0.01M TBS (pH7.4) with 1% BSA, 0.02% Proclin300 and 50% Glycerol. |
| 研究领域 | Cancer > Cancer Metabolism > Metabolic signaling pathway > Metabolism of lipids and lipoproteins Epigenetics and Nuclear Signaling > Nuclear Signaling Pathways > Nuclear Receptors > Co-activators/co-repressors Metabolism > Pathways and Processes > Metabolic signaling pathways > Lipid and lipoprotein metabolism > Lipid metabolism |
| 亚基 | Component of the N-Cor repressor complex, at least composed of NCOR1, NCOR2, HDAC3, TBL1X, TBL1R, CORO2A and GPS2. Component of a E3 ubiquitin ligase complex containing UBE2D1, SIAH1, CACYBP/SIP, SKP1, APC and TBL1X. Probably part of other corepressor complexes, that do not contain NCOR1 and NCOR2. Interacts with histones H2B, H3a and H4. |
| 亚细胞定位 | Nucleus (Probable). |
| 组织特异性 | Ubiquitous. |
| 相似性 | Belongs to the WD repeat EBI family. Contains 1 F-box-like domain. Contains 1 LisH domain. Contains 8 WD repeats. |
| 功能 | F-box-like protein involved in the recruitment of the ubiquitin/19S proteasome complex to nuclear receptor-regulated transcription units. Plays an essential role in transcription activation mediated by nuclear receptors. Probably acts as integral component of corepressor complexes that mediates the recruitment of the 19S proteasome complex, leading to the subsequent proteasomal degradation of transcription repressor complexes, thereby allowing cofactor exchange. |
| 保存条件 | Shipped at 4℃. Store at -20℃ for one year. Avoid repeated freeze/thaw cycles. |
| 注意事项 | This product as supplied is intended for research use only, not for use in human, therapeutic or diagnostic applications. |
| 背景资料 | The protein encoded by this gene has sequence similarity with members of the WD40 repeat-containing protein family. The WD40 group is a large family of proteins, which appear to have a regulatory function. It is believed that the WD40 repeats mediate protein-protein interactions and members of the family are involved in signal transduction, RNA processing, gene regulation, vesicular trafficking, cytoskeletal assembly and may play a role in the control of cytotypic differentiation. This encoded protein is found as a subunit in corepressor SMRT (silencing mediator for retinoid and thyroid receptors) complex along with histone deacetylase 3 protein. This gene is located adjacent to the ocular albinism gene and it is thought to be involved in the pathogenesis of the ocular albinism with late-onset sensorineural deafness phenotype. Four transcript variants encoding two different isoforms have been found for this gene. This gene is highly similar to the Y chromosome TBL1Y gene. [provided by RefSeq]. |
| 应用 | 推荐稀释比例 |
| {WB} | {1:500-2000} |
| {IHC-P} | {1:100-500} |
| {IHC-F} | {1:100-500} |
| {IF} | {1:100-500} |


Uterus (Mouse) Lysate at 40 ug
Primary: Anti- SMAP55 (bs-4219R) at 1/1000 dilution
Secondary: IRDye800CW Goat Anti-Rabbit IgG at 1/20000 dilution
Predicted band size: 63 kD
Observed band size: 63 kD

风险提示:丁香通仅作为第三方平台,为商家信息发布提供平台空间。用户咨询产品时请注意保护个人信息及财产安全,合理判断,谨慎选购商品,商家和用户对交易行为负责。对于医疗器械类产品,请先查证核实企业经营资质和医疗器械产品注册证情况。
文献和实验= NAL), appears to form upon oxidative cyclization of the nonfluorescent 2:1 lysine-HNE Michael adduct-Schiff base cross-link (Scheme 1). Polyclonal antibody (PAb) to the NAL-HNE fluorophore was raised in rabbit and found to be highly specific
6rKalFCejZJBuWGih0Ooa55R4b1ma5CxEVsQyLeJNULYJQUZ7rZBRYjTJaZFQiLMyFKlNys+J6KKZrop0N0ToIcvFnPLzlGkn2fDyarVpubzyqZec6NbrKZHxlAh/vwhwToU09YIg0q106VyrS5KCoKdVx7Q03tIENxsZy6kM8XQJKQ0zaVRStpF37bu4PTxeG39F2hPxVbeBHZ1NApXYHZowc4UBar37QtyLCLwOBCJJfh3gxaQRgYhARCAiEBF4JQKJeYB0vNK
, Counterion, and Hydration Effects for the Incorporation of Locked Nucleic Acid Nucleotides into DNA Duplexes". Biochemistry 45 (23): 7347–55. doi:10.1021/bi060307w. PMID 16752924. ^ Jiang Q, Wang Y, Hao Y, Juan L, Teng M, Zhang X, Li M, Wang G, Liu Y
技术资料暂无技术资料 索取技术资料






