相关产品推荐更多 >

SMAD7 Rabbit pAb, PerCP-Cy7 conjugated(bs-23328R-PerCP-Cy7)-100ul
¥2980
CD101 Rabbit pAb, PE-Cy5 conjugated(bs-10727R-PE-Cy5)-100ul
¥2980
ZNF132 Rabbit pAb(bs-7150R)-50ul/100ul/200ul
¥1180
SDHB Rabbit pAb, BF405 conjugated(bs-6650R-BF405)-100ul
¥2980
beta B1 Crystallin Rabbit pAb, Biotin conjugated(bs-12582R-Bio)-100ul
¥2980
万千商家帮你免费找货
0 人在求购买到急需产品
- 详细信息
- 文献和实验
- 技术资料
- 应用范围:
产品信息以Bioss网站为准
- 规格:
50ul/100ul/200ul
| 规格: | 50ul | 产品价格: | ¥1180.0 |
|---|---|---|---|
| 规格: | 100ul | 产品价格: | ¥1980.0 |
| 规格: | 200ul | 产品价格: | ¥2800.0 |
| 产品编号 | bs-19055R |
| 英文名称 | NCRNA00114 Rabbit pAb |
| 中文名称 | 21号染色体开放阅读框24抗体 |
| 英文别名 | C21orf24; Non protein coding RNA 114; Putative uncharacterized protein encoded by NCRNA00114 |
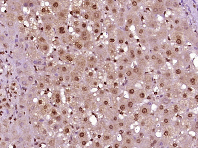
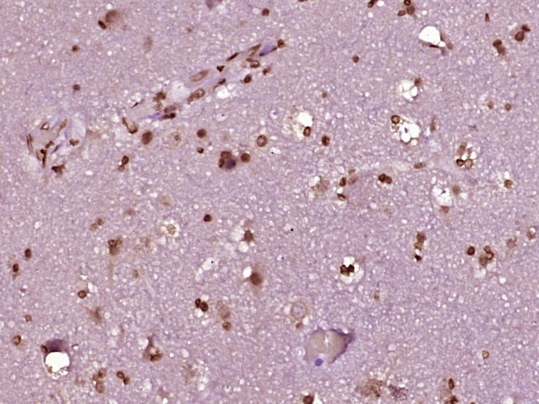
| 产品应用 | IHC-P=1:100-500, IHC-F=1:100-500, IF=1:100-500 Not yet tested in other applications. |
| 交叉反应 | Human |
| 抗体来源 | Rabbit |
| 免疫原 | KLH conjugated synthetic peptide derived from human NCRNA00114 |
| 亚型 | IgG |
| 性状 | Liquid |
| 纯化方法 | affinity purified by Protein A |
| 克隆类型 | Polyclonal |
| 理论分子量 | 16 kDa |
| 浓度 | 1mg/ml |
| 储存液 | 0.01M TBS (pH7.4) with 1% BSA, 0.02% Proclin300 and 50% Glycerol. |
| 组织特异性 | Expressed in a range of cell lines, including B-cell lymphoma and prostate. |
| 保存条件 | Shipped at 4℃. Store at -20℃ for one year. Avoid repeated freeze/thaw cycles. |
| 注意事项 | This product as supplied is intended for research use only, not for use in human, therapeutic or diagnostic applications. |
| 背景资料 | The smallest of the human chromosomes, 21 makes up about 1.5% of the human genome. Chromosome 21 contains nearly 300 genes and 47 million base pairs. Down syndrome, also known as trisomy 21, is the disease most commonly associated with chromosome 21. Alzheimer's disease, Jervell and Lange-Nielsen syndrome and amyotrophic lateral sclerosis are also associated with chromosome 21. Translocations are found to occur between chromosome 21 and 8, and chromosome 21 and 12, in certain leukemias. The C21orf24 gene product has been provisionally designated C21orf24 pending further characterization. |
| 应用 | 推荐稀释比例 |
| {IHC-P} | {1:100-500} |
| {IHC-F} | {1:100-500} |
| {IF} | {1:100-500} |


风险提示:丁香通仅作为第三方平台,为商家信息发布提供平台空间。用户咨询产品时请注意保护个人信息及财产安全,合理判断,谨慎选购商品,商家和用户对交易行为负责。对于医疗器械类产品,请先查证核实企业经营资质和医疗器械产品注册证情况。
文献和实验= NAL), appears to form upon oxidative cyclization of the nonfluorescent 2:1 lysine-HNE Michael adduct-Schiff base cross-link (Scheme 1). Polyclonal antibody (PAb) to the NAL-HNE fluorophore was raised in rabbit and found to be highly specific
GE Healthcare Benzamidine Sepharose™ 6B is p-aminobenzamidine covalently attached to Sepharose 6B by the epoxy coupling method. p-Aminobenzamidine (PAB), is a synthetic inhibitor of trypsin-like serine protease. Trypsin and trypsin
Nucleic Acid Programmable Protein Arrays: Versatile Tools for Array‐Based Functional Protein Studies
.g., Sigma) 50 mg/ml bis‐sulfosuccinimdylsuberate (BS3 ;Pierce, cat. no. PI 21580) in dimethylsulfoxide (DMSO) 5 mg/ml
技术资料暂无技术资料 索取技术资料






