相关产品推荐更多 >

Dystrophin Rabbit pAb, FITC conjugated(bs-14477R-FITC)-100ul
¥2980
ACAT1 Rabbit pAb(bs-5019R)-50ul/100ul/200ul
¥1180
LXR alpha + LXR beta Rabbit pAb(bs-18451R)-50ul/100ul/200ul
¥1180
phospho-HSD17B13 (Ser33) Rabbit pAb, Cy5.5 conjugated(bs-22308R-Cy5.5)-100ul
¥2980
SOCS7 Rabbit pAb(bs-20151R)-50ul/100ul/200ul
¥1180
万千商家帮你免费找货
0 人在求购买到急需产品
- 详细信息
- 文献和实验
- 技术资料
- 应用范围:
产品信息以Bioss网站为准
- 规格:
50ul/100ul/200ul
| 规格: | 50ul | 产品价格: | ¥1180.0 |
|---|---|---|---|
| 规格: | 100ul | 产品价格: | ¥1980.0 |
| 规格: | 200ul | 产品价格: | ¥2800.0 |
| 产品编号 | bs-7651R |
| 英文名称 | DNase I Rabbit pAb |
| 中文名称 | 脱氧核糖核酸酶1抗体 |
| 英文别名 | RNASE1; Dornase alfa; Deoxyribonuclease 1; Deoxyribonuclease I; Deoxyribonuclease1; DeoxyribonucleaseI; DNASE 1; DNase I lysosomal; DNASE1; DNaseI; DNL 1; DNL1; DRNI; Human urine deoxyribonuclease I; DNAS1_HUMAN. |
| 产品应用 | WB=1:500-2000, IHC-P=1:100-500, IHC-F=1:100-500, IF=1:100-500 Not yet tested in other applications. |
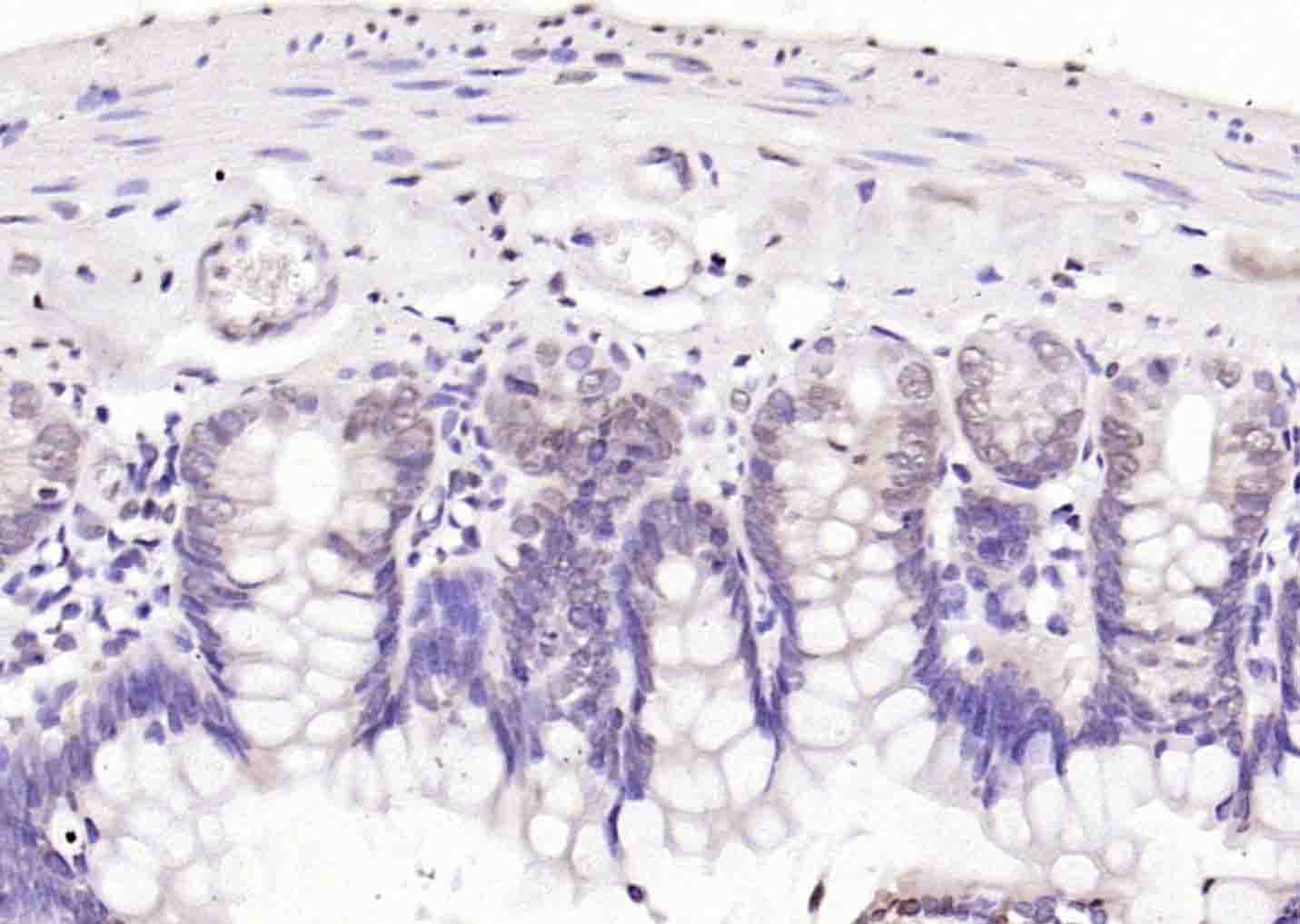
| 交叉反应 | Human, Rat, intestine, intestine, intestine, intestine (Mouse, Chicken, Pig, Horse, Rabbit) |
| 抗体来源 | Rabbit |
| 免疫原 | KLH conjugated synthetic peptide derived from human DNase I |
| 亚型 | IgG |
| 性状 | Liquid |
| 纯化方法 | affinity purified by Protein A |
| 克隆类型 | Polyclonal |
| 理论分子量 | 29 kDa |
| 浓度 | 1mg/ml |
| 储存液 | 0.01M TBS (pH7.4) with 1% BSA, 0.02% Proclin300 and 50% Glycerol. |
| 研究领域 | Cancer > Cell Death > Apoptosis > Metabolism Cancer > Cell Death > Apoptosis > Nucleus > DNAses Cell Biology > Apoptosis > Nucleus > DNAses Epigenetics and Nuclear Signaling > Cell cycle > Apoptosis > Nuclear Metabolism > Pathways and Processes > Metabolism processes > Apoptosis |
| 亚细胞定位 | Secreted. Nucleus envelope. |
| 组织特异性 | Principally in tissues of the digestive system. Highest levels found in urine, but also relatively abundant in semen and saliva. |
| 相似性 | Belongs to the DNase I family. |
| 保存条件 | Shipped at 4℃. Store at -20℃ for one year. Avoid repeated freeze/thaw cycles. |
| 注意事项 | This product as supplied is intended for research use only, not for use in human, therapeutic or diagnostic applications. |
| 背景资料 | Deoxyribonuclease I gene is approximately 3.2 kb long with 9 exons separated by 8 introns. In the form of a bovine pancreatic enzyme preparation, it occupies an important place in the history of protein chemistry and enzymology: it was the first enzyme to be recognized as specific for DNA; it was the first DNase to be crystallized; and it was the first DNase for which a specific protein inhibitor was characterized. DNase I is a Ca2+ and Mg2+ dependant endonuclease. DNase I is synthesized in the pancreas and stored in zymogen granules. It has been used to reduce the viscosity of cystic fibrosis sputum. A DNase I-like enzyme appears to catalyze the degradation of chromatin to oligo- and mononucleosomes during apoptosis. A recent study has demonstrated an endonuclease with activity and antigenicity indistinguishable from DNase I in thymocytes, cells susceptible to apoptosis. DNase I is an endonuclease that hydrolyzes double-stranded or single stranded DNA preferentially at sites adjacent to pyrimidine nucleotides. The product of hydrolysis is a complex mixture of 5'-phosphate mononucleotides and oligonucleotides. In the presence of Mg ion, DNase I attacks each strand of DNA independently and the cleavage sites are random. |
| 应用 | 推荐稀释比例 |
| {WB} | {1:500-2000} |
| {IHC-P} | {1:100-500} |
| {IHC-F} | {1:100-500} |
| {IF} | {1:100-500} |


MKN45(Human) Cell Lysate at 30 ug
Primary: Anti-DNase I (bs-7651R) at 1/1000 dilution
Secondary: IRDye800CW Goat Anti-Rabbit IgG at 1/20000 dilution
Predicted band size: 29 kD
Observed band size: 29 kD

MOLT-4(Human) Cell Lysate at 30 ug
Primary: Anti-DNase I (bs-7651R) at 1/1000 dilution
Secondary: IRDye800CW Goat Anti-Rabbit IgG at 1/20000 dilution
Predicted band size: 29 kD
Observed band size: 29 kD

风险提示:丁香通仅作为第三方平台,为商家信息发布提供平台空间。用户咨询产品时请注意保护个人信息及财产安全,合理判断,谨慎选购商品,商家和用户对交易行为负责。对于医疗器械类产品,请先查证核实企业经营资质和医疗器械产品注册证情况。
文献和实验[IF={{ 8.786 }}] {Julia Elrod. et al. Murine scald models characterize the role of neutrophils and neutrophil extracellular traps in severe burns. FRONT IMMUNOL. 2023; 14: 1113948} {IF} {Mouse}
[IF={{ 5.6 }}] {Antonia Kiwit. et al. The Dual Role of Neutrophil Extracellular Traps (NETs) in Sepsis and Ischemia-Reperfusion Injury: Comparative Analysis across Murine Models. INT J MOL SCI. 2024 Jan;25(7):3787} {IF} {Mouse}
技术资料暂无技术资料 索取技术资料






