相关产品推荐更多 >

Cofilin 1 Recombinant Rabbit mAb(bsm-60604R)-50ul/100ul/25ul
¥800
ELL Rabbit pAb(bs-8515R)-50ul/100ul/200ul
¥1180
ZNF229 Rabbit pAb, Biotin conjugated(bs-7189R-Bio)-100ul
¥2980
NKB Rabbit pAb, BF488 conjugated(bs-0070R-BF488)-100ul
¥2980
Anti-cMet & EGFR Reference Antibody (Emb01 Biosimilar)(BIO1010SM)-100ug/1mg/5mg
¥3240
万千商家帮你免费找货
0 人在求购买到急需产品
- 详细信息
- 文献和实验
- 技术资料
- 应用范围:
产品信息以Bioss网站为准
- 规格:
50ul/100ul/200ul
| 规格: | 50ul | 产品价格: | ¥1180.0 |
|---|---|---|---|
| 规格: | 100ul | 产品价格: | ¥1980.0 |
| 规格: | 200ul | 产品价格: | ¥2800.0 |
| 产品编号 | bs-16341R |
| 英文名称 | GSTM3 Rabbit pAb |
| 中文名称 | 谷胱甘肽S转移酶M3抗体 |
| 英文别名 | brain GST; brain type mu glutathione S transferase; glutathione S alkyltransferase M3; glutathione S aryltransferase M3; glutathione S transferase M3(brain); glutathione S transferase M3; Glutathione S transferase Mu 3; glutathione S transferase, Mu 3; Glutathione S-transferase Mu 3; GST class mu 3; GST class-mu 3; GST5; GSTB; Gstm3; GSTM3-3; GSTM3_HUMAN; GTM3; hGSTM3-3; MGC3310; MGC3704; S(hydroxyalkyl)glutathione lyase M3. |
| 产品应用 | IHC-P=1:100-500, IHC-F=1:100-500, IF=1:100-500 Not yet tested in other applications. |
| 交叉反应 | Rat (Human, Mouse, Pig, Cow, Sheep) |
| 抗体来源 | Rabbit |
| 免疫原 | KLH conjugated synthetic peptide derived from human GSTM3 |
| 亚型 | IgG |
| 性状 | Liquid |
| 纯化方法 | affinity purified by Protein A |
| 克隆类型 | Polyclonal |
| 理论分子量 | 27 kDa |
| 浓度 | 1mg/ml |
| 储存液 | 0.01M TBS (pH7.4) with 1% BSA, 0.02% Proclin300 and 50% Glycerol. |
| 研究领域 | Metabolism > Pathways and Processes > Metabolic signaling pathways > Drug metabolism Signal Transduction > Metabolism > Drug metabolism |
| 亚细胞定位 | Cytoplasm. |
| 组织特异性 | Testis and brain. |
| 翻译后修饰 | The N-terminus is blocked. |
| 相似性 | Belongs to the GST superfamily. Mu family. Contains 1 GST C-terminal domain. Contains 1 GST N-terminal domain. |
| 功能 | Conjugation of reduced glutathione to a wide number of exogenous and endogenous hydrophobic electrophiles. May govern uptake and detoxification of both endogenous compounds and xenobiotics at the testis and brain blood barriers. |
| 保存条件 | Shipped at 4℃. Store at -20℃ for one year. Avoid repeated freeze/thaw cycles. |
| 注意事项 | This product as supplied is intended for research use only, not for use in human, therapeutic or diagnostic applications. |
| 背景资料 | Cytosolic and membrane-bound forms of glutathione S-transferase are encoded by two distinct supergene families. At present, eight distinct classes of the soluble cytoplasmic mammalian glutathione S-transferases have been identified: alpha, kappa, mu, omega, pi, sigma, theta and zeta. This gene encodes a glutathione S-transferase that belongs to the mu class. The mu class of enzymes functions in the detoxification of electrophilic compounds, including carcinogens, therapeutic drugs, environmental toxins and products of oxidative stress, by conjugation with glutathione. The genes encoding the mu class of enzymes are organized in a gene cluster on chromosome 1p13.3 and are known to be highly polymorphic. These genetic variations can change an individual's susceptibility to carcinogens and toxins as well as affect the toxicity and efficacy of certain drugs. Mutations of this class mu gene have been linked with a slight increase in a number of cancers, likely due to exposure with environmental toxins. Alternative splicing results in multiple transcript variants. [provided by RefSeq, Nov 2008] |
| 应用 | 推荐稀释比例 |
| {IHC-P} | {1:100-500} |
| {IHC-F} | {1:100-500} |
| {IF} | {1:100-500} |

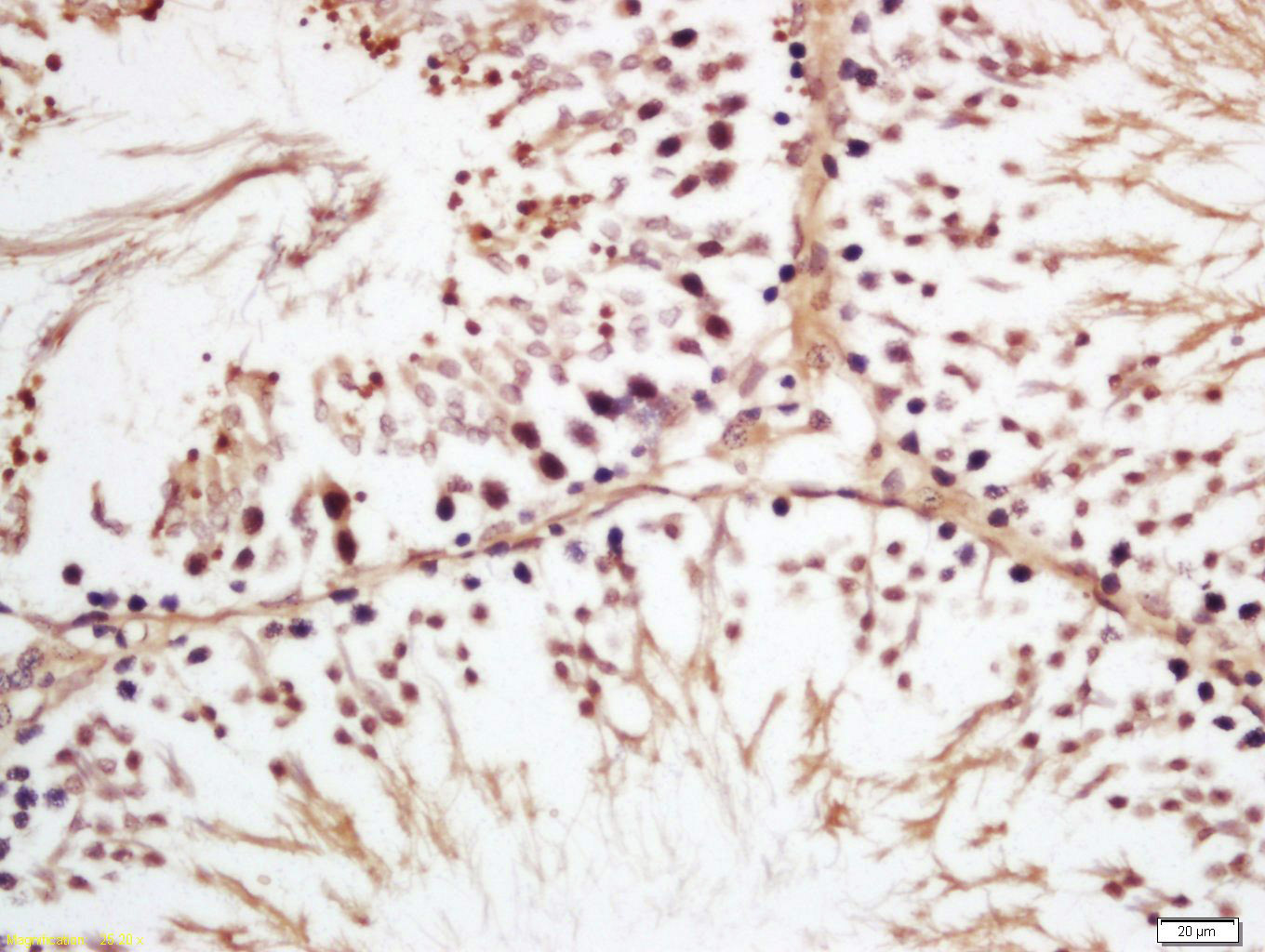
Antigen retrieval: citrate buffer ( 0.01M, pH 6.0 ), Boiling bathing for 15min; Block endogenous peroxidase by 3% Hydrogen peroxide for 30min; Blocking buffer (normal goat serum,C-0005) at 37℃ for 20 min;
Incubation: Anti-GSTM3 Polyclonal Antibody, Unconjugated(bs-16341R) 1:200, overnight at 4°C, followed by conjugation to the secondary antibody(SP-0023) and DAB(C-0010) staining
风险提示:丁香通仅作为第三方平台,为商家信息发布提供平台空间。用户咨询产品时请注意保护个人信息及财产安全,合理判断,谨慎选购商品,商家和用户对交易行为负责。对于医疗器械类产品,请先查证核实企业经营资质和医疗器械产品注册证情况。
文献和实验= NAL), appears to form upon oxidative cyclization of the nonfluorescent 2:1 lysine-HNE Michael adduct-Schiff base cross-link (Scheme 1). Polyclonal antibody (PAb) to the NAL-HNE fluorophore was raised in rabbit and found to be highly specific
GE Healthcare Benzamidine Sepharose™ 6B is p-aminobenzamidine covalently attached to Sepharose 6B by the epoxy coupling method. p-Aminobenzamidine (PAB), is a synthetic inhibitor of trypsin-like serine protease. Trypsin and trypsin
Nucleic Acid Programmable Protein Arrays: Versatile Tools for Array‐Based Functional Protein Studies
.g., Sigma) 50 mg/ml bis‐sulfosuccinimdylsuberate (BS3 ;Pierce, cat. no. PI 21580) in dimethylsulfoxide (DMSO) 5 mg/ml
技术资料暂无技术资料 索取技术资料






