相关产品推荐更多 >

ZDHHC8 Rabbit pAb, BF350 conjugated(bs-18486R-BF350)-100ul
¥2980
phospho-c-Fos (Thr232) Rabbit pAb(bs-3153R)-50ul/100ul/200ul
¥1180
JNK1 Recombinant Rabbit mAb(bsm-61084R)-50ul/100ul/25ul
¥800
Ubiquitin D Rabbit pAb(bs-13006R)-50ul/100ul/200ul
¥1180
phospho-ATG1 (Ser556) Rabbit pAb, BF647 conjugated(bs-3464R-BF647)-100ul
¥2980
万千商家帮你免费找货
0 人在求购买到急需产品
- 详细信息
- 文献和实验
- 技术资料
- 应用范围:
产品信息以Bioss网站为准
- 规格:
50ul/100ul/200ul
| 规格: | 50ul | 产品价格: | ¥1180.0 |
|---|---|---|---|
| 规格: | 100ul | 产品价格: | ¥1980.0 |
| 规格: | 200ul | 产品价格: | ¥2800.0 |
| 产品编号 | bs-10141R |
| 英文名称 | SCNN1D Rabbit pAb |
| 中文名称 | 上皮钠离子通道蛋白D/δENaC抗体 |
| 英文别名 | Amiloride sensitive sodium channel subunit delta; delta ENaC; delta NaCH; delta-ENaC; delta-NaCH; DNACH; ENaC delta; ENACD; ENaCdelta; Epithelial Na(+) channel subunit delta; MGC149710; MGC149711; Nonvoltage gated sodium channel 1 subunit delta; Nonvoltage-gated sodium channel 1 subunit delta; SCNED; Sodium channel, nonvoltage gated 1, delta; SCNND_HUMAN. |
| 产品应用 | IHC-P=1:100-500, IHC-F=1:100-500, IF=1:100-500 Not yet tested in other applications. |
| 交叉反应 | Rat (Human) |
| 抗体来源 | Rabbit |
| 免疫原 | KLH conjugated synthetic peptide derived from human SCNN1D |
| 亚型 | IgG |
| 性状 | Liquid |
| 纯化方法 | affinity purified by Protein A |
| 克隆类型 | Polyclonal |
| 理论分子量 | 70 kDa |
| 浓度 | 1mg/ml |
| 储存液 | 0.01M TBS (pH7.4) with 1% BSA, 0.02% Proclin300 and 50% Glycerol. |
| 研究领域 | Neuroscience > Neurotransmission > Receptors / Channels > Sodium Channels Neuroscience > Sensory System > Taste system |
| 亚基 | Forms heteromeric channel of a zeta subunit (GRIN1), a epsilon subunit (GRIN2A, GRIN2B, GRIN2C or GRIN2D) and a third subunit (GRIN3A or GRIN3B). Found in a complex with GRIN1 and GRIN3B. Found in a complex with GRIN1, GRIN3A and PPP2CB. Interacts with PDZ domains of INADL and DLG4. Interacts with HIP1 and NETO1 (By similarity). Interacts with MAGI3. Interacts with DAPK1. |
| 亚细胞定位 | Membrane; multi-pass membrane protein |
| 组织特异性 | Primarily found in the fronto-parieto-temporal cortex and hippocampus pyramidal cells, lower expression in the basal ganglia. |
| 相似性 | Belongs to the glutamate-gated ion channel (TC 1.A.10.1) family. NR2B/GRIN2B subfamily. |
| 功能 | Sodium permeable non-voltage-sensitive ion channel inhibited by the diuretic amiloride. Mediates the electrodiffusion of the luminal sodium (and water, which follows osmotically) through the apical membrane of epithelial cells. Controls the reabsorption of sodium in kidney, colon, lung and sweat glands. Also plays a role in taste perception. |
| 保存条件 | Shipped at 4℃. Store at -20℃ for one year. Avoid repeated freeze/thaw cycles. |
| 注意事项 | This product as supplied is intended for research use only, not for use in human, therapeutic or diagnostic applications. |
| 背景资料 | SCNN1D is a subunit of the epithelial sodium channel (ENaC). ENaC has high sodium selectivity, low conductance, and amiloride sensitivity. The epithelial Na(+) channel (ENaC) regulates Na(+) homeostasis in cells and across epithelia; in the kidney, lung and colon it plays an essential role in trans-epithelial sodium and fluid balance. ENaC also mediates aldosterone-dependent sodium re-uptake in the distal nephron of the kidney, thus regulating blood pressure. Four homologous ENaC subunits (alpha, beta, gamma, and delta) have been isolated in mammals. Combination of alpha-, beta-, and gamma-subunits or delta-, beta-, and gamma-subunits forms fully functional channels. A delta subunit can replace the alpha subunit. However, the pharmacology, sensitivity to amiloride, conductance, and ionic selectivity of the delta/beta-gamma channel are different from those of the alpha/beta-gamma channel. |
| 应用 | 推荐稀释比例 |
| {IHC-P} | {1:100-500} |
| {IHC-F} | {1:100-500} |
| {IF} | {1:100-500} |

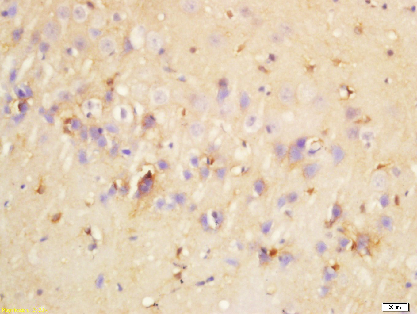
Antigen retrieval: citrate buffer ( 0.01M, pH 6.0 ), Boiling bathing for 15min; Block endogenous peroxidase by 3% Hydrogen peroxide for 30min; Blocking buffer (normal goat serum,C-0005) at 37℃ for 20 min;
Incubation: Anti-SCNN1D Polyclonal Antibody, Unconjugated(bs-10141R) 1:200, overnight at 4°C, followed by conjugation to the secondary antibody(SP-0023) and DAB(C-0010) staining
风险提示:丁香通仅作为第三方平台,为商家信息发布提供平台空间。用户咨询产品时请注意保护个人信息及财产安全,合理判断,谨慎选购商品,商家和用户对交易行为负责。对于医疗器械类产品,请先查证核实企业经营资质和医疗器械产品注册证情况。
文献和实验= NAL), appears to form upon oxidative cyclization of the nonfluorescent 2:1 lysine-HNE Michael adduct-Schiff base cross-link (Scheme 1). Polyclonal antibody (PAb) to the NAL-HNE fluorophore was raised in rabbit and found to be highly specific
GE Healthcare Benzamidine Sepharose™ 6B is p-aminobenzamidine covalently attached to Sepharose 6B by the epoxy coupling method. p-Aminobenzamidine (PAB), is a synthetic inhibitor of trypsin-like serine protease. Trypsin and trypsin
Nucleic Acid Programmable Protein Arrays: Versatile Tools for Array‐Based Functional Protein Studies
.g., Sigma) 50 mg/ml bis‐sulfosuccinimdylsuberate (BS3 ;Pierce, cat. no. PI 21580) in dimethylsulfoxide (DMSO) 5 mg/ml
技术资料暂无技术资料 索取技术资料






