相关产品推荐更多 >

phospho-TNIK (Ser769) Rabbit pAb(bs-5599R)-50ul/100ul/200ul
¥1180
NAP1L1 Rabbit pAb(bs-1052R)-50ul/100ul/200ul
¥1180
Proinsulin Rabbit pAb, BF750 conjugated(bs-0056R-BF750)-100ul
¥2980
E cadherin Rabbit pAb, Cy7 conjugated(bs-10009R-Cy7)-100ul
¥2980
TEM1 Rabbit pAb, FITC conjugated(bs-2101R-FITC)-100ul
¥2980
万千商家帮你免费找货
0 人在求购买到急需产品
- 详细信息
- 文献和实验
- 技术资料
- 应用范围:
产品信息以Bioss网站为准
- 规格:
50ul/100ul/200ul
| 规格: | 50ul | 产品价格: | ¥1180.0 |
|---|---|---|---|
| 规格: | 100ul | 产品价格: | ¥1980.0 |
| 规格: | 200ul | 产品价格: | ¥2800.0 |
| 产品编号 | bs-10052R |
| 英文名称 | EPHA10 Rabbit pAb |
| 中文名称 | 酪氨酸蛋白激酶受体A10抗体 |
| 英文别名 | EPH receptor A10; EPHA 10; Epha10; EphA10s protein; EPHAA_HUMAN; Ephrin type A receptor 10; Ephrin type-A receptor 10. |
| 产品应用 | WB=1:500-2000, IHC-P=1:100-500, IHC-F=1:100-500, IF=1:100-500 Not yet tested in other applications. |
| 交叉反应 | Human, Mouse, Rat (Chicken, Dog, Pig, Cow, Horse, Rabbit, GuineaPig) |
| 抗体来源 | Rabbit |
| 免疫原 | KLH conjugated synthetic peptide derived from human EPHA10 |
| 亚型 | IgG |
| 性状 | Liquid |
| 纯化方法 | affinity purified by Protein A |
| 克隆类型 | Polyclonal |
| 理论分子量 | 107 kDa |
| 浓度 | 1mg/ml |
| 储存液 | 0.01M TBS (pH7.4) with 1% BSA, 0.02% Proclin300 and 50% Glycerol. |
| 研究领域 | Neuroscience > Neurotransmission > Receptors / Channels > Tyrosine Kinase Receptors Signal Transduction > Protein Phosphorylation > Tyrosine Kinases > Receptor Tyrosine Kinases |
| 亚细胞定位 | Isoform 1, 3: Cell membrane; Single-pass type I membrane protein (Probable). Isoform 2: Secreted (Probable). |
| 组织特异性 | Mainly expressed in testis. |
| 相似性 | Belongs to the protein kinase superfamily. Tyr protein kinase family. Ephrin receptor subfamily. Contains 1 Eph LBD (Eph ligand-binding) domain. Contains 2 fibronectin type-III domains. Contains 1 protein kinase domain. Contains 1 SAM (sterile alpha motif) domain. |
| 功能 | Receptor for members of the ephrin-A family. Binds to EFNA3, EFNA4 and EFNA5. |
| 保存条件 | Shipped at 4℃. Store at -20℃ for one year. Avoid repeated freeze/thaw cycles. |
| 注意事项 | This product as supplied is intended for research use only, not for use in human, therapeutic or diagnostic applications. |
| 背景资料 | The Eph subfamily represents the largest group of receptor protein tyrosine kinases identified to date (1–3). While the biological activities of these receptors have yet to be determined, there is increasing evidence that they are involved in central nervous system function and in development (1–3). The Eph subfamily receptors of human origin (and their murine/avian homologs) include EphA1 (Eph), EphA2 (Eck), EphA3 (Hek4), EphA4 (Hek8), EphA5 (Hek7), EphA6 (Hek12), EphA7 (Hek11/MDK1), EphA8 (Hek3), EphB1 (Hek6), EphB2 (Hek5), EphB3 (Cek10, Hek2), EphB4 (Htk), EphB5 (Hek9) and EphB6 (Mep). Ligands for Eph receptors include ephrin-A4 (LERK-4) which binds EphA3 and EphB1. In addition, ephrin-A2 (ELF-1) has been described as the ligand for EphA4, ephrin-A3 (Ehk1-L) as the ligand for EphA5 and ephrin-B2 (Htk-L) as the ligand for EphB4 (Htk) (4–7). |
| 应用 | 推荐稀释比例 |
| {WB} | {1:500-2000} |
| {IHC-P} | {1:100-500} |
| {IHC-F} | {1:100-500} |
| {IF} | {1:100-500} |

Antigen retrieval: citrate buffer ( 0.01M, pH 6.0 ), Boiling bathing for 15min; Blocking buffer (normal goat serum,C-0005) at 37℃ for 20 min;
Incubation: Anti-EPHA10 Polyclonal Antibody, Unconjugated(bs-10052R) 1:200, overnight at 4°C; The secondary antibody was Goat Anti-Rabbit IgG, Cy3 conjugated(bs-0295G-Cy3)used at 1:200 dilution for 40 minutes at 37°C. DAPI(5ug/ml,blue,C-0033) was used to stain the cell nuclei

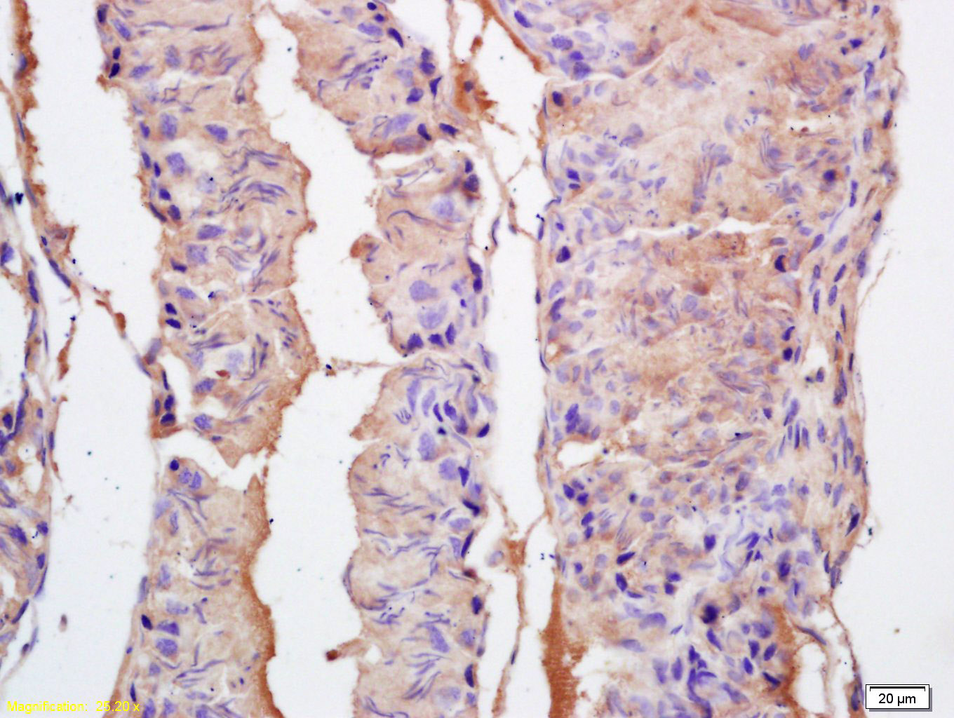
Antigen retrieval: citrate buffer ( 0.01M, pH 6.0 ), Boiling bathing for 15min; Block endogenous peroxidase by 3% Hydrogen peroxide for 30min; Blocking buffer (normal goat serum,C-0005) at 37℃ for 20 min;
Incubation: Anti-EPHA10 Polyclonal Antibody, Unconjugated(bs-10052R) 1:200, overnight at 4°C, followed by conjugation to the secondary antibody(SP-0023) and DAB(C-0010) staining

Testis (Mouse) Lysate at 40 ug
Testis (Rat) Lysate at 40 ug
K562(Human) Cell Lysate at 30 ug
Primary: Anti- EPHA10 (bs-10052R) at 1/1000 dilution
Secondary: IRDye800CW Goat Anti-Rabbit IgG at 1/20000 dilution
Predicted band size: 107 kD
Observed band size: 107 kD
风险提示:丁香通仅作为第三方平台,为商家信息发布提供平台空间。用户咨询产品时请注意保护个人信息及财产安全,合理判断,谨慎选购商品,商家和用户对交易行为负责。对于医疗器械类产品,请先查证核实企业经营资质和医疗器械产品注册证情况。
文献和实验[IF={{ 5.714 }}] {Wenyue Zhao. et al. EphA10 drives tumor progression and immune evasion by regulating the MAPK/ERK cascade in lung adenocarcinoma. INT IMMUNOPHARMACOL. 2022 Sep;110:109031} {WB,IHC} {Human}
[IF={{ 4.32 }}] {Zang et al. Anti-EphA10 antibody-conjugated pH-sensitive liposomes for specific intracellular delivery of siRNA. (2016) Int.J.Nanomedicin. 11:3951-67} {FCM} {Human}
技术资料暂无技术资料 索取技术资料





