相关产品推荐更多 >

Anti-human IL-6Ra / CD126 (APX007 Biosimilar)(BIO0678SM)-1mg/5mg/20mg
¥3200
Necdin Rabbit pAb(bs-6390R)-50ul/100ul/200ul
¥1180
Proteasome 20S alpha 3 Rabbit pAb(bs-9352R)-50ul/100ul/200ul
¥1180
ETV5 Recombinant Mouse mAb(bsm-60341M)-50ul/100ul/25ul
¥800
Connexin-32 Rabbit pAb(bs-1376R)-50ul/100ul/200ul
¥1180
万千商家帮你免费找货
0 人在求购买到急需产品
- 详细信息
- 文献和实验
- 技术资料
- 应用范围:
产品信息以Bioss网站为准
- 规格:
50ul/100ul/200ul
| 规格: | 50ul | 产品价格: | ¥1180.0 |
|---|---|---|---|
| 规格: | 100ul | 产品价格: | ¥1980.0 |
| 规格: | 200ul | 产品价格: | ¥2800.0 |
| 产品编号 | bs-6044R |
| 英文名称 | DLL4 Rabbit pAb |
| 中文名称 | δ样蛋白4抗体 |
| 英文别名 | deltaD; delta4; delta-like 4(Drosophila); delta-like 4 homolog(Drosophila); Drosophila delta homolog 4; delta-like 4 homolog; delta-like 4 protein; Aei; After eight; dld; DLL4_HUMAN; delta-like protein 4; Drosophila delta homolog 4; delta 4 precursor; delta 4; delta ligand 4; notch ligand delta-2; hdelta2; MGC126344; notch ligand DLL4. |
| 产品应用 | WB=1:500-2000 Not yet tested in other applications. |
| 交叉反应 | Human, Rat (Mouse, Dog, Pig, Cow, Horse) |
| 抗体来源 | Rabbit |
| 免疫原 | KLH conjugated synthetic peptide derived from human DLL4 |
| 亚型 | IgG |
| 性状 | Liquid |
| 纯化方法 | affinity purified by Protein A |
| 克隆类型 | Polyclonal |
| 理论分子量 | 72 kDa |
| 浓度 | 1mg/ml |
| 储存液 | 0.01M TBS (pH7.4) with 1% BSA, 0.02% Proclin300 and 50% Glycerol. |
| 研究领域 | Cell Biology > Cell Cycle > Cell differentiation Epigenetics and Nuclear Signaling > Cell cycle > Cell Differentiation Neuroscience > Neurology process > Notch Pathway |
| 亚基 | Binds to Notch-1 and Notch-4 (By similarity). |
| 亚细胞定位 | Membrane; Single-pass type I membrane protein (Probable). |
| 组织特异性 | Expressed in vascular endothelium. |
| 翻译后修饰 | Ubiquitinated by MIB (MIB1 or MIB2), leading to its endocytosis and subsequent degradation. |
| 相似性 | Contains 1 DSL domain. Contains 8 EGF-like domains. |
| 功能 | Plays a role in the Notch signaling pathway. Activates Notch-1 and Notch-4. |
| 保存条件 | Shipped at 4℃. Store at -20℃ for one year. Avoid repeated freeze/thaw cycles. |
| 注意事项 | This product as supplied is intended for research use only, not for use in human, therapeutic or diagnostic applications. |
| 背景资料 | The LIN-12/Notch family of transmembrane receptors is believed to play a central role in development by regulating cell fate decisions. Notch proteins have been found to be overexpressed or rearranged in human tumors. Ligands for Notch include Jagged, Jagged-2 and Delta. While blocking the differentiation of progenitor cells into the B-cell lineage, Delta promotes the emergence of a population of cells with T cell/NK-cell characteristics. The protein is a membrane protein expressed in heart, pancreas, brain and muscle during gastrulation and early organogenesis and in adult heart and lung. Delta-4 is a membrane protein that activates Notch-1 and Notch-4. It is expressed in a wide range of adult and fetal tissues, especially in vascular endothelium. |
| 应用 | 推荐稀释比例 |
| {WB} | {1:500-2000} |

Lane 1: Human K562 cell Lysates
Lane 2: Human THP-1 cell Lysates
Lane 3: Human 293T cell Lysates
Primary: Anti-DLL4 (bs-6044R) at 1/1000 dilution
Secondary: IRDye800CW Goat Anti-Rabbit IgG at 1/20000 dilution
Predicted band size: 75kDa
Observed band size: 75kDa

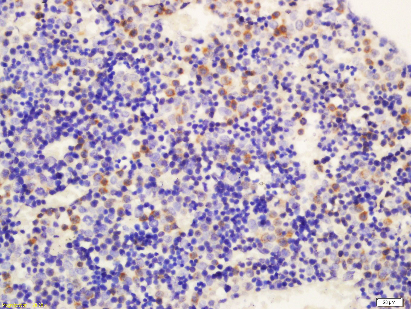
Antigen retrieval: citrate buffer ( 0.01M, pH 6.0 ), Boiling bathing for 15min; Block endogenous peroxidase by 3% Hydrogen peroxide for 30min; Blocking buffer (normal goat serum,C-0005) at 37℃ for 20 min;
Incubation: Anti-Delta 4 Polyclonal Antibody, Unconjugated(bs-6044R) 1:200, overnight at 4°C, followed by conjugation to the secondary antibody(SP-0023) and DAB(C-0010) staining
风险提示:丁香通仅作为第三方平台,为商家信息发布提供平台空间。用户咨询产品时请注意保护个人信息及财产安全,合理判断,谨慎选购商品,商家和用户对交易行为负责。对于医疗器械类产品,请先查证核实企业经营资质和医疗器械产品注册证情况。
文献和实验[IF={{ 8.724 }}] {Yong Tang. et al. Phosphorylation inhibition of protein-tyrosine phosphatase 1B tyrosine-152 induces bone regeneration coupled with angiogenesis for bone tissue engineering. Bioact Mater. 2021 Jul;6:2039} {IF,IHC} {Mouse}
[IF={{ 6.1 }}] {Cao Le. et al. Adipose-derived stem cell exosomal miR-21-5p enhances angiogenesis in endothelial progenitor cells to promote bone repair via the NOTCH1/DLL4/VEGFA signaling pathway. J TRANSL MED. 2024 Dec;22(1):1-21} {WB} {Rat}
[IF={{ 6.1 }}] {Yin Xuewei. et al. Therapeutic effect of miR-30b-5p-loaded lentivirus on experimental autoimmune uveitis via inhibiting Notch signaling activation. J TRANSL MED. 2025 Dec;23(1):1-22} {WB} {Rat}
[IF={{ 2.413 }}] {Shouhui Wang. et al. The changes of bone vessels and their role in bone loss in tail-suspended rats. Acta Astronaut. 2021 Dec;189:368} {IF} {rat}
[IF={{ 12.6 }}] {Wu Jie. et al. MIL-53(Fe)-Glucose self-assembled complex for enhanced angiogenesis and endothelial tip cell activation. J NANOBIOTECHNOL. 2025 Dec;23(1):1-22} {IF,WB} {Human}
= NAL), appears to form upon oxidative cyclization of the nonfluorescent 2:1 lysine-HNE Michael adduct-Schiff base cross-link (Scheme 1). Polyclonal antibody (PAb) to the NAL-HNE fluorophore was raised in rabbit and found to be highly specific
GE Healthcare Benzamidine Sepharose™ 6B is p-aminobenzamidine covalently attached to Sepharose 6B by the epoxy coupling method. p-Aminobenzamidine (PAB), is a synthetic inhibitor of trypsin-like serine protease. Trypsin and trypsin
Nucleic Acid Programmable Protein Arrays: Versatile Tools for Array‐Based Functional Protein Studies
.g., Sigma) 50 mg/ml bis‐sulfosuccinimdylsuberate (BS3 ;Pierce, cat. no. PI 21580) in dimethylsulfoxide (DMSO) 5 mg/ml
技术资料暂无技术资料 索取技术资料






