相关产品推荐更多 >

NFKB p65 Rabbit pAb, PE-Cy5.5 conjugated(bs-0465R-PE-Cy5.5)-100ul
¥2980
PRC1 Rabbit pAb, AP conjugated(bs-6904R-AP)-100ul
¥2980
FNBP1L Rabbit pAb(bs-11841R)-50ul/100ul/200ul
¥1180
GABRA1/GABA A Receptor alpha 1 Rabbit pAb, HRP conjugated(bs-1232R-HRP)-100ul
¥2980
GSTA1 Rabbit pAb(bs-13398R)-50ul/100ul/200ul
¥1180
万千商家帮你免费找货
0 人在求购买到急需产品
- 详细信息
- 文献和实验
- 技术资料
- 应用范围:
产品信息以Bioss网站为准
- 规格:
50ul/100ul/200ul
| 规格: | 50ul | 产品价格: | ¥1180.0 |
|---|---|---|---|
| 规格: | 100ul | 产品价格: | ¥1980.0 |
| 规格: | 200ul | 产品价格: | ¥2800.0 |
| 产品编号 | bs-16018R |
| 英文名称 | FAM83H Rabbit pAb |
| 中文名称 | FAM83H蛋白抗体 |
| 英文别名 | AI3; FA83H_HUMAN; Fam83h; Family with sequence similarity 83 member H; Protein FAM83H. |
| 产品应用 | IHC-P=1:100-500, IHC-F=1:100-500, IF=1:100-500 Not yet tested in other applications. |
| 交叉反应 | Human, Mouse, Rat (Dog, Cow, Horse, Sheep) |
| 抗体来源 | Rabbit |
| 免疫原 | KLH conjugated synthetic peptide derived from human FAM83H |
| 亚型 | IgG |
| 性状 | Liquid |
| 纯化方法 | affinity purified by Protein A |
| 克隆类型 | Polyclonal |
| 理论分子量 | 127 kDa |
| 浓度 | 1mg/ml |
| 储存液 | 0.01M TBS (pH7.4) with 1% BSA, 0.02% Proclin300 and 50% Glycerol. |
| 研究领域 | Signal Transduction > Cytoskeleton / ECM > Extracellular Matrix > ECM Proteins > Other ECM Proteins |
| 组织特异性 | Expressed in the tooth follicle. |
| 相似性 | Belongs to the FAM83 family. |
| 功能 | May play a major role in the structural organization and calcification of developing enamel. |
| 保存条件 | Shipped at 4℃. Store at -20℃ for one year. Avoid repeated freeze/thaw cycles. |
| 注意事项 | This product as supplied is intended for research use only, not for use in human, therapeutic or diagnostic applications. |
| 背景资料 | Made up of nearly 146 million bases, chromosome 8 encodes about 800 genes. Translocation of portions of chromosome 8 with amplifications of the c-Myc gene are found in some leukemias and lymphomas, and typically associated with a poor prognosis. Portions of chromosome 8 have been linked to schizophrenia and bipolar disorder. Trisomy 8, also known as Warkany syndrome 2, most often results in early miscarriage but is occasionally seen in a mosaic form in surviving patients who suffer to a varying degree from a number of symptoms including retarded mental and motor development, and certain facial and developmental defects. WRN is a DNA helicase encoded by chromosome 8 and shown defective in those with the early aging disorder Werner syndrome. Chromosome 8 is also associated with Pfeiffer syndrome, congenital hypothyroidism and Waardenburg syndrome. The FAM83H gene product has been provisionally designated FAM83H pending further characterization. |
| 应用 | 推荐稀释比例 |
| {IHC-P} | {1:100-500} |
| {IHC-F} | {1:100-500} |
| {IF} | {1:100-500} |

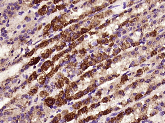
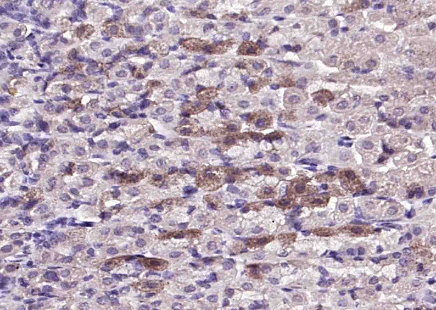
Paraformaldehyde-fixed, paraffin embedded (Rat stomach); Antigen retrieval by boiling in sodium citrate buffer (pH6.0) for 15min; Block endogenous peroxidase by 3% hydrogen peroxide for 20 minutes; Blocking buffer (normal goat serum) at 37°C for 30min; Antibody incubation with (FAM83H) Polyclonal Antibody, Unconjugated (bs-16018R) at 1:400 overnight at 4°C, followed by operating according to SP Kit(Rabbit) (sp-0023) instructionsand DAB staining.

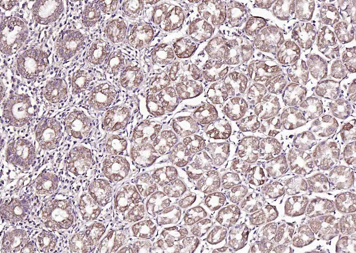
Paraformaldehyde-fixed, paraffin embedded (Human stomach); Antigen retrieval by boiling in sodium citrate buffer (pH6.0) for 15min; Block endogenous peroxidase by 3% hydrogen peroxide for 20 minutes; Blocking buffer (normal goat serum) at 37°C for 30min; Incubation with (FAM83H) Polyclonal Antibody, Unconjugated (bs-16018R) at 1:200 overnight at 4°C, followed by operating according to SP Kit(Rabbit) (sp-0023) instructionsand DAB staining.

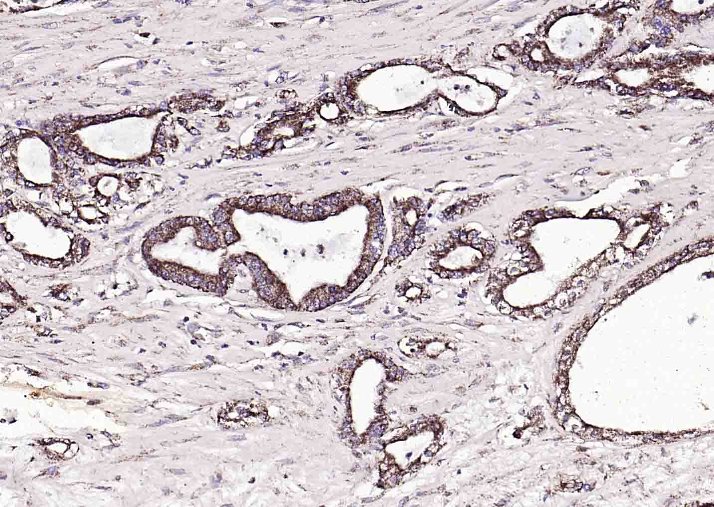
Paraformaldehyde-fixed, paraffin embedded (human pancreatic cancer); Antigen retrieval by boiling in sodium citrate buffer (pH6.0) for 15min; Block endogenous peroxidase by 3% hydrogen peroxide for 20 minutes; Blocking buffer (normal goat serum) at 37°C for 30min; Incubation with (FAM83H) Polyclonal Antibody, Unconjugated (bs-16018R) at 1:200 overnight at 4°C, followed by operating according to SP Kit(Rabbit) (sp-0023) instructionsand DAB staining.

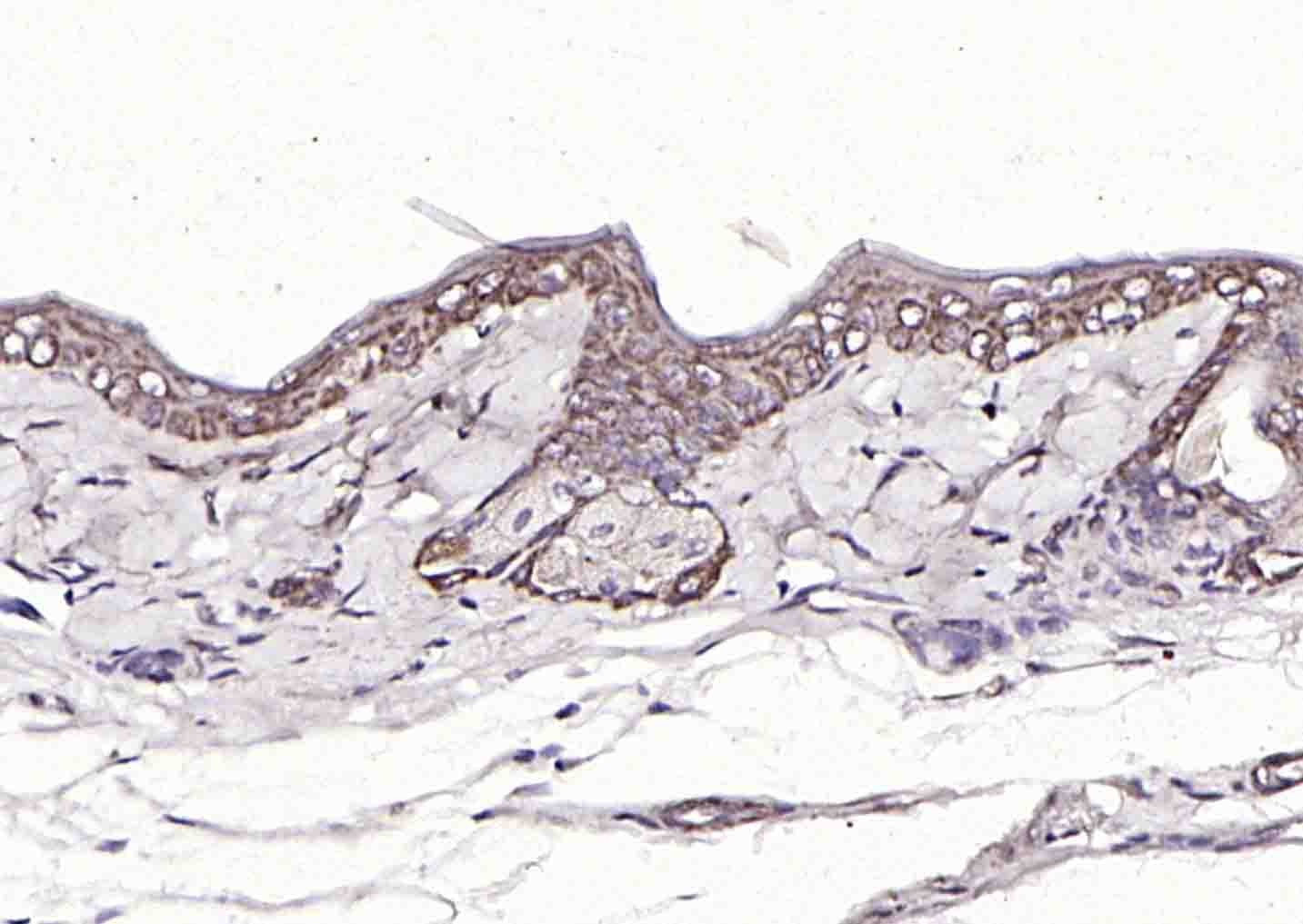
Paraformaldehyde-fixed, paraffin embedded (rat skin); Antigen retrieval by boiling in sodium citrate buffer (pH6.0) for 15min; Block endogenous peroxidase by 3% hydrogen peroxide for 20 minutes; Blocking buffer (normal goat serum) at 37°C for 30min; Incubation with (FAM83H) Polyclonal Antibody, Unconjugated (bs-16018R) at 1:200 overnight at 4°C, followed by operating according to SP Kit(Rabbit) (sp-0023) instructionsand DAB staining.

Paraformaldehyde-fixed, paraffin embedded (mouse stomach); Antigen retrieval by boiling in sodium citrate buffer (pH6.0) for 15min; Block endogenous peroxidase by 3% hydrogen peroxide for 20 minutes; Blocking buffer (normal goat serum) at 37°C for 30min; Incubation with (FAM83H) Polyclonal Antibody, Unconjugated (bs-16018R) at 1:200 overnight at 4°C, followed by operating according to SP Kit(Rabbit) (sp-0023) instructionsand DAB staining.
风险提示:丁香通仅作为第三方平台,为商家信息发布提供平台空间。用户咨询产品时请注意保护个人信息及财产安全,合理判断,谨慎选购商品,商家和用户对交易行为负责。对于医疗器械类产品,请先查证核实企业经营资质和医疗器械产品注册证情况。
文献和实验该产品被引用文献
[IF={{ 3.989 }}] {Shaochong Lin. et al. Identification of Prognostic Biomarkers Among FAM83 Family Genes in Human Ovarian Cancer Through Bioinformatic Analysis and Experimental Verification. Cancer Manag Res. 2021; 13: 8611–8627} {IHC} {Human}
技术资料暂无技术资料 索取技术资料
文献支持
FAM83H Rabbit pAb(bs-16018R)-50ul/100ul/200ul
¥1180 - 2800





