相关产品推荐更多 >

SHIP1 Rabbit pAb(bs-3567R)-50ul/100ul/200ul
¥1180
PRNP Rabbit pAb, FITC conjugated(bs-11788R-FITC)-100ul
¥2980
TRPV6 Rabbit pAb, APC conjugated(bs-15506R-APC)-100ul
¥2980
phospho-NFKB p65 (Ser281) Rabbit pAb, PE conjugated(bs-17502R-PE)-100ul
¥2980
phospho-NR1D1 (Ser55 + Ser59) Rabbit pAb, PE conjugated(bs-3386R-PE)-100ul
¥2980
万千商家帮你免费找货
0 人在求购买到急需产品
- 详细信息
- 文献和实验
- 技术资料
- 应用范围:
产品信息以Bioss网站为准
- 规格:
50ul/100ul/200ul
| 规格: | 50ul | 产品价格: | ¥1180.0 |
|---|---|---|---|
| 规格: | 100ul | 产品价格: | ¥1980.0 |
| 规格: | 200ul | 产品价格: | ¥2800.0 |
| 产品编号 | bs-6139R |
| 英文名称 | KDM5B Rabbit pAb |
| 中文名称 | 赖氨酸特异性去甲基酶5B 抗体 |
| 英文别名 | Cancer/testis antigen 31; CT31; Histone demethylase JARID1B; JARID1B; Jumonji AT rich interactive domain 1B; Jumonji/ARID domain-containing protein 1B; Kdm5b; KDM5B_HUMAN; Lysine specific demethylase 5B; Lysine-specific demethylase 5B; PLU-1; PUT1; RB-binding protein; rbbp2h1a; RBP2-H1; Retinoblastoma-binding protein 2 homolog 1. |
| 中文别名 | 组蛋白去甲基化酶JARID1B; |
| 产品应用 | IHC-P=1:100-500, IHC-F=1:100-500, IF=1:100-500, Flow-Cyt=3ug/test Not yet tested in other applications. |
| 交叉反应 | Human, Rat (Mouse, Chicken, Dog, Pig, Cow, Horse, GuineaPig) |
| 抗体来源 | Rabbit |
| 免疫原 | KLH conjugated synthetic peptide derived from human KDM5B/PLU1/Jarid1B |
| 亚型 | IgG |
| 性状 | Liquid |
| 纯化方法 | affinity purified by Protein A |
| 克隆类型 | Polyclonal |
| 理论分子量 | 170 kDa |
| 浓度 | 1mg/ml |
| 储存液 | 0.01M TBS (pH7.4) with 1% BSA, 0.02% Proclin300 and 50% Glycerol. |
| 研究领域 | Epigenetics and Nuclear Signaling > Chromatin Modifying Enzymes > Jumonji containing proteins Epigenetics and Nuclear Signaling > Nuclear Signaling Pathways > Nuclear Receptors > Co-activators/co-repressors Epigenetics and Nuclear Signaling > Transcription > Co-factors Epigenetics and Nuclear Signaling > Transcription > Other factors |
| 亚基 | Interacts with FOXG1B, PAX9, MYC, MYCN and RB1. Interacts with HDAC1, HDAC4, HDAC5 and HDAC7. |
| 亚细胞定位 | Nucleus. Ubiquitously expressed, with highest levels in testis. Down-regulated in melanoma and glioblastoma. Up-regulated in breast cancer (at protein level). |
| 组织特异性 | Ubiquitously expressed, with highest levels in testis. Down-regulated in melanoma and glioblastoma. Up-regulated in breast cancer (at protein level). |
| 相似性 | Belongs to the JARID1 histone demethylase family. Contains 1 ARID domain. Contains 1 JmjC domain. Contains 1 JmjN domain. Contains 3 PHD-type zinc fingers. |
| 功能 | Histone demethylase that demethylates 'Lys-4' of histone H3, thereby playing a central role in histone code. Does not demethylate histone H3 'Lys-9' or H3 'Lys-27'. Demethylates trimethylated, dimethylated and monomethylated H3 'Lys-4'. Acts as a transcriptional corepressor for FOXG1B and PAX9. Favors the proliferation of breast cancer cells by repressing tumor suppressor genes such as BRCA1 and HOXA5. In contrast, may act as a tumor suppressor for melanoma. |
| 保存条件 | Shipped at 4℃. Store at -20℃ for one year. Avoid repeated freeze/thaw cycles. |
| 注意事项 | This product as supplied is intended for research use only, not for use in human, therapeutic or diagnostic applications. |
| 背景资料 | Histone demethylase that demethylates 'Lys-4' of histone H3, thereby playing a central role in histone code. Does not demethylate histone H3 'Lys-9' or H3 'Lys-27'. Demethylates trimethylated, dimethylated and monomethylated H3 'Lys-4'. Acts as a transcriptional corepressor for FOXG1B and PAX9. Favors the proliferation of breast cancer cells by repressing tumor suppressor genes such as BRCA1 and HOXA5. In contrast, may act as a tumor suppressor for melanoma. |
| 应用 | 推荐稀释比例 |
| {IHC-P} | {1:100-500} |
| {IHC-F} | {1:100-500} |
| {IF} | {1:100-500} |
| {Flow-Cyt} | {3ug/test} |

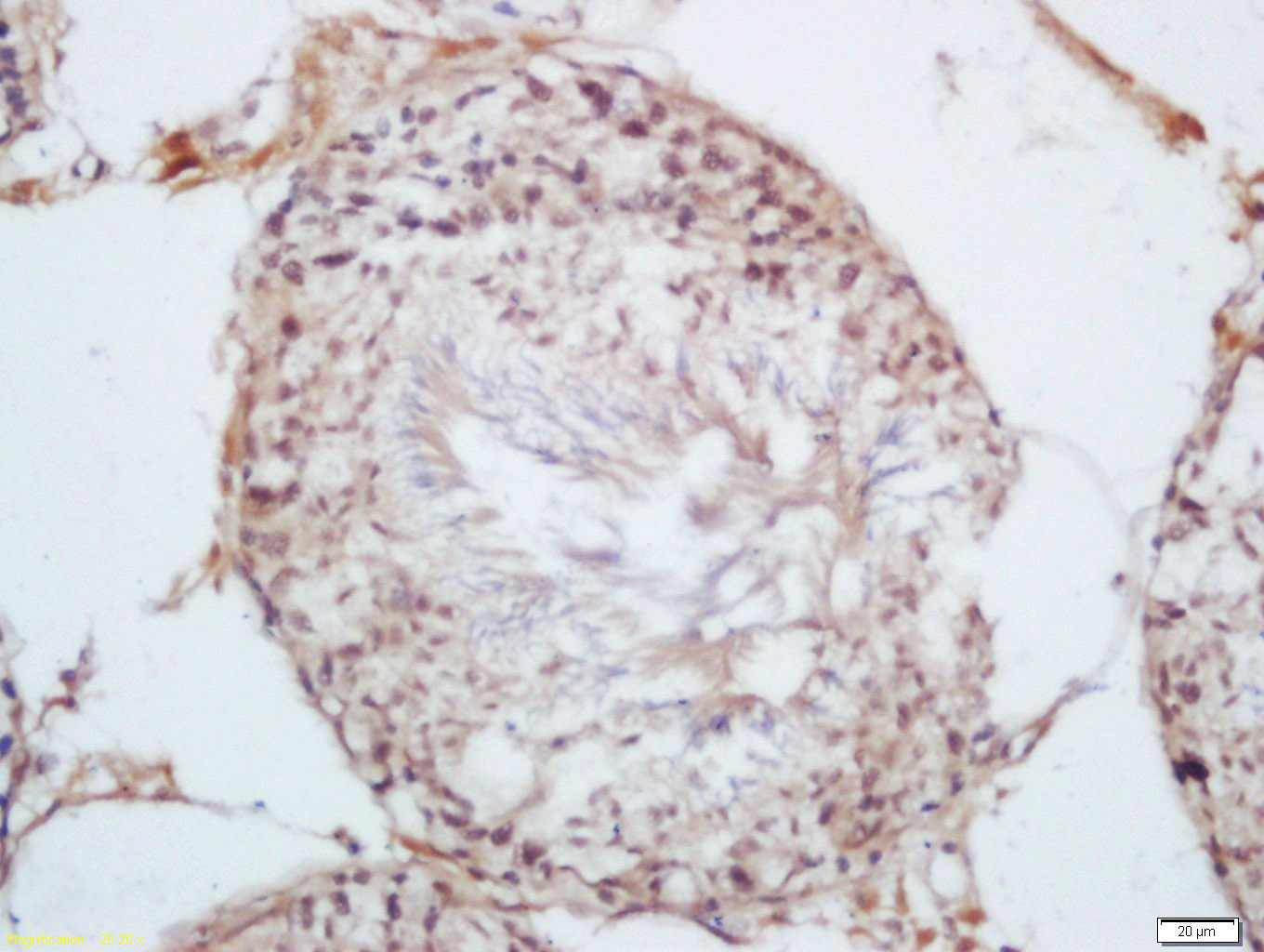
Antigen retrieval: citrate buffer ( 0.01M, pH 6.0 ), Boiling bathing for 15min; Block endogenous peroxidase by 3% Hydrogen peroxide for 30min; Blocking buffer (normal goat serum,C-0005) at 37℃ for 20 min;
Incubation: Anti-KDM5B/PLU1/Jarid1B Polyclonal Antibody, Unconjugated(bs-6139R) 1:200, overnight at 4°C, followed by conjugation to the secondary antibody(SP-0023) and DAB(C-0010) staining

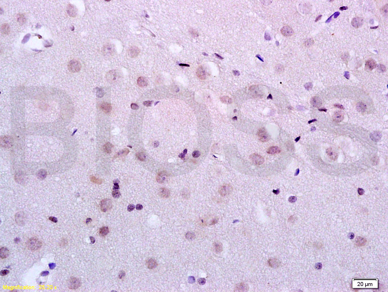
Antigen retrieval: citrate buffer ( 0.01M, pH 6.0 ), Boiling bathing for 15min; Block endogenous peroxidase by 3% Hydrogen peroxide for 30min; Blocking buffer (normal goat serum,C-0005) at 37℃ for 20 min;
Incubation: Anti-KDM5B Polyclonal Antibody, Unconjugated(bs-6139R) 1:200, overnight at 4°C, followed by conjugation to the secondary antibody(SP-0023) and DAB(C-0010) staining

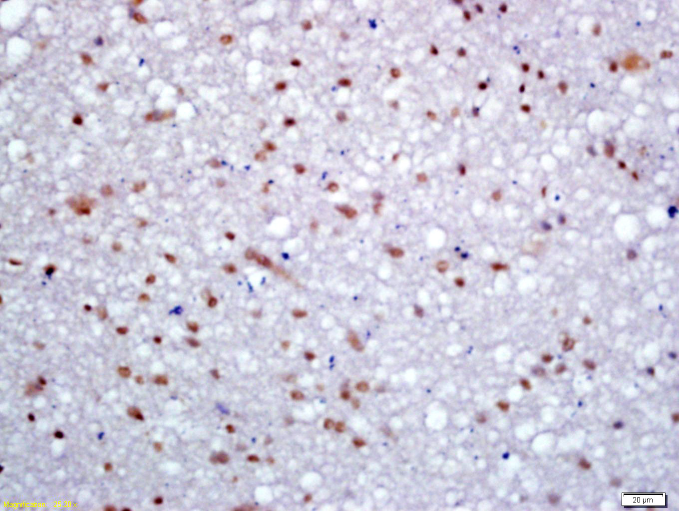
Antigen retrieval: citrate buffer ( 0.01M, pH 6.0 ), Boiling bathing for 15min; Block endogenous peroxidase by 3% Hydrogen peroxide for 30min; Blocking buffer (normal goat serum,C-0005) at 37℃ for 20 min;
Incubation: Anti-KDM5B Polyclonal Antibody, Unconjugated(bs-6139R) 1:200, overnight at 4°C, followed by conjugation to the secondary antibody(SP-0023) and DAB(C-0010) staining

Primary Antibody (green line): Rabbit Anti-KDM5B antibody (bs-6139R)
Dilution: 3μg /10^6 cells;
Isotype Control Antibody (orange line): Rabbit IgG .
Secondary Antibody : Goat anti-rabbit IgG-AF647
Dilution: 3μg /test.
Protocol
The cells were fixed with 4% PFA (10min at room temperature)and then permeabilized with 90% ice-cold methanol for 20 min at-20℃. The cells were then incubated in 5%BSA to block non-specific protein-protein interactions for 30 min at at room temperature .Cells stained with Primary Antibody for 30 min at room temperature. The secondary antibody used for 40 min at room temperature. Acquisition of 20,000 events was performed.
风险提示:丁香通仅作为第三方平台,为商家信息发布提供平台空间。用户咨询产品时请注意保护个人信息及财产安全,合理判断,谨慎选购商品,商家和用户对交易行为负责。对于医疗器械类产品,请先查证核实企业经营资质和医疗器械产品注册证情况。
文献和实验[IF={{ 4.213 }}] {Yang Jiao. et al. Lysine demethylation KDM5B downregulates SIRT3-mediated mitochondrial glucose and lipid metabolism in diabetic neuropathy. DIABETIC MED. 2022 Sep;:e14964} {WB} {Mouse}
[IF={{ 4.087 }}] {Jiao, Yang. et al. The m6A reader YTHDC2 promotes SIRT3 expression by reducing the stabilization of KDM5B to improve mitochondrial metabolic reprogramming in diabetic peripheral neuropathy. ACTA DIABETOL. 2022 Dec;:1-13} {WB} {Rat}
= NAL), appears to form upon oxidative cyclization of the nonfluorescent 2:1 lysine-HNE Michael adduct-Schiff base cross-link (Scheme 1). Polyclonal antibody (PAb) to the NAL-HNE fluorophore was raised in rabbit and found to be highly specific
GE Healthcare Benzamidine Sepharose™ 6B is p-aminobenzamidine covalently attached to Sepharose 6B by the epoxy coupling method. p-Aminobenzamidine (PAB), is a synthetic inhibitor of trypsin-like serine protease. Trypsin and trypsin
Nucleic Acid Programmable Protein Arrays: Versatile Tools for Array‐Based Functional Protein Studies
.g., Sigma) 50 mg/ml bis‐sulfosuccinimdylsuberate (BS3 ;Pierce, cat. no. PI 21580) in dimethylsulfoxide (DMSO) 5 mg/ml
技术资料暂无技术资料 索取技术资料






