相关产品推荐更多 >
万千商家帮你免费找货
0 人在求购买到急需产品
- 详细信息
- 文献和实验
- 技术资料
- 应用范围:
产品信息以Bioss网站为准
- 规格:
50ul/100ul/200ul
| 规格: | 50ul | 产品价格: | ¥1180.0 |
|---|---|---|---|
| 规格: | 100ul | 产品价格: | ¥1980.0 |
| 规格: | 200ul | 产品价格: | ¥2800.0 |
| 产品编号 | bs-5676R |
| 英文名称 | phospho-ROCK2 (Tyr256) Rabbit pAb |
| 中文名称 | 磷酸化Rho相关蛋白激酶2抗体 |
| 英文别名 | ROCK2(phospho Y256); p164 ROCK 2; Rho associated coiled coil containing protein kinase 2; Rho associated protein kinase 2; Rho kinase 2; ROCK 2; Rock II; Rock2m; ROK alpha; ROKalpha; ROCK2_HUMAN. |
| 产品应用 | IHC-P=1:100-500, IHC-F=1:100-500, IF=1:100-500, Flow-Cyt=0.2ug/test Not yet tested in other applications. |
| 交叉反应 | Human, Mouse, Rat (Dog, Pig, Cow, GuineaPig) |
| 抗体来源 | Rabbit |
| 免疫原 | KLH conjugated Synthesised phosphopeptide derived from human ROCK2 around the phosphorylation site of Tyr256 |
| 亚型 | IgG |
| 性状 | Liquid |
| 纯化方法 | affinity purified by Protein A |
| 克隆类型 | Polyclonal |
| 理论分子量 | 153 kDa |
| 浓度 | 1mg/ml |
| 储存液 | 0.01M TBS (pH7.4) with 1% BSA, 0.02% Proclin300 and 50% Glycerol. |
| 研究领域 | Cancer > Signal transduction > Protein phosphorylation > Serine/threonine kinases Cell Biology > Apoptosis > Intracellular > Kinases Signal Transduction > Protein Phosphorylation > Ser / Thr Kinases > Other Kinases |
| 亚基 | Homodimer. Interacts with IRS1, RHOB and RHOC. Interacts with RHOA (activated by GTP), PPP1R12A, CHORDC1, SORL1, EP300 and BRCA2. Interacts with NPM1 and this interaction enhances its activity. Interacts with RAF1. |
| 亚细胞定位 | Cytoplasm. Cell membrane. Cytoplasmic, and associated with actin microfilaments and the plasma membrane. |
| 翻译后修饰 | Phosphorylated upon DNA damage, probably by ATM or ATR.Phosphorylation at Tyr-722 reduces its binding to RHOA and iscrucial for focal adhesion dynamics. Dephosphorylation by PTPN11stimulates its RHOA binding activity. |
| 相似性 | Belongs to the protein kinase superfamily. AGC Ser/Thrprotein kinase family.
Contains 1 AGC-kinase C-terminal domain. Contains 1 PH domain. |
| 功能 | Regulates the assembly of the actin cytoskeleton. Promotes formation of stress fibers and of focal adhesion complexes. Plays a role in smooth muscle contraction. |
| 保存条件 | Shipped at 4℃. Store at -20℃ for one year. Avoid repeated freeze/thaw cycles. |
| 注意事项 | This product as supplied is intended for research use only, not for use in human, therapeutic or diagnostic applications. |
| 背景资料 | The protein encoded by this gene is a serine/threonine kinase that regulates cytokinesis, smooth muscle contraction, the formation of actin stress fibers and focal adhesions, and the activation of the c-fos serum response element. This protein, which is an isozyme of ROCK1 is a target for the small GTPase Rho. [provided by RefSeq, Jul 2008]. |
| 应用 | 推荐稀释比例 |
| {IHC-P} | {1:100-500} |
| {IHC-F} | {1:100-500} |
| {IF} | {1:100-500} |
| {Flow-Cyt} | {0.2ug/test} |

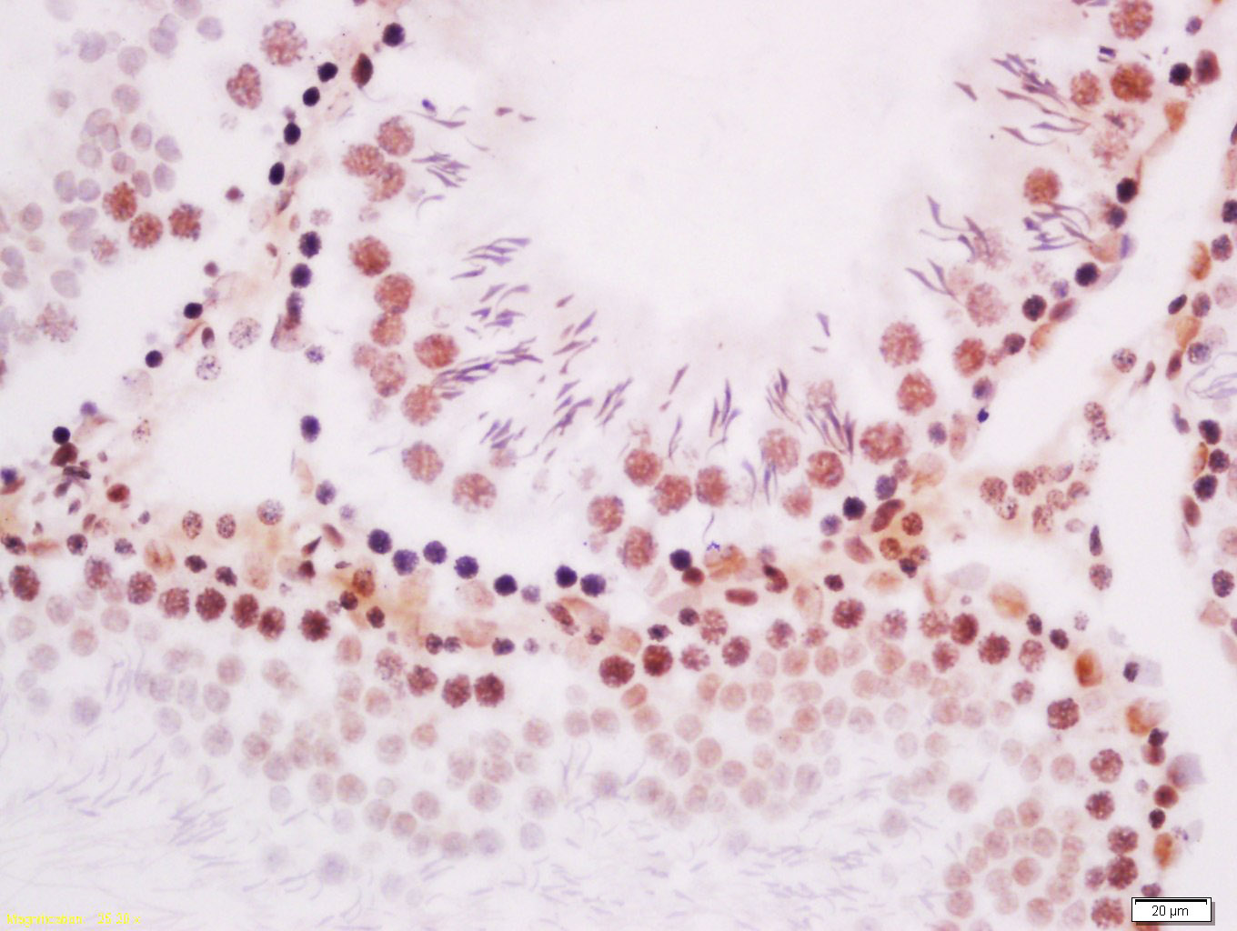
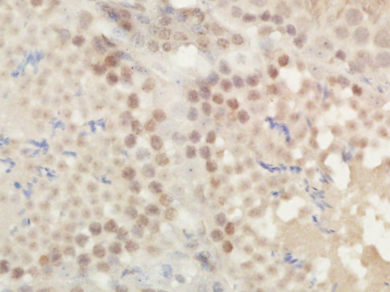
Antigen retrieval: citrate buffer ( 0.01M, pH 6.0 ), Boiling bathing for 15min; Block endogenous peroxidase by 3% Hydrogen peroxide for 30min; Blocking buffer (normal goat serum,C-0005) at 37℃ for 20 min;
Incubation: Anti-phospho-ROCK2 (Tyr256) Polyclonal Antibody, Unconjugated(bs-5676R) 1:200, overnight at 4°C, followed by conjugation to the secondary antibody(SP-0023) and DAB(C-0010) staining


Primary Antibody (green line): Rabbit Anti-phospho-ROCK2(Tyr256) antibody (bs-5676R)
Dilution: 1μg /10^6 cells;
Isotype Control Antibody (orange line): Rabbit IgG .
Secondary Antibody : Goat anti-rabbit IgG-PE
Dilution: 1μg /test.
Protocol
The cells were fixed with 4% PFA (10min at room temperature)and then permeabilized with 90% ice-cold methanol for 20 min at-20℃. The cells were then incubated in 5%BSA to block non-specific protein-protein interactions for 30 min at at room temperature .Cells stained with Primary Antibody for 30 min at room temperature. The secondary antibody used for 40 min at room temperature. Acquisition of 20,000 events was performed.
风险提示:丁香通仅作为第三方平台,为商家信息发布提供平台空间。用户咨询产品时请注意保护个人信息及财产安全,合理判断,谨慎选购商品,商家和用户对交易行为负责。对于医疗器械类产品,请先查证核实企业经营资质和医疗器械产品注册证情况。
文献和实验[IF={{ 2.68 }}] {Achiron A et al. Prophylactic exposure of human corneal endothelial cells to Rho-associated kinase inhibitor reduced apoptosis rate after phacoemulsification: Ex vivo study.(2018) J Cataract Refract Surg. 44(10):1261-1266.} {Other} {Human}
。所以,我们建议使用微波炉或高压锅加热煮沸以达到最佳抗原修复效果。抗体:Phospho–Stat3 (Tyr705)(D3A7) XP. Rabbit mAb #9145样本:石蜡包埋人类肺部肿瘤样本煮沸设备:浴锅 (左),微波炉 (中),高压锅 (右)免疫染色—封闭在 IHC–P 中,我们建议在室温下在含有 Tween20 的 TBST 缓冲液和 5% 正常山羊血清 (NGS) 中封闭样品,时长 1 小时,以防止非特异性背景染色。在进行 IHC–F 时,在含有 0.3% Triton. X–100 的 1X
used in accordance withmanufacturer recommendationsSignalStain?DAB Substrate Kit #8059:IHC analysis of paraffin-embedded human breastcarcinoma using Phospho-Stat3 (Tyr705) (D3A7) XP? Rabbit mAb #9145. Chromogenicdetection was performed using #8059 (left
v468. chapter 4 WNT 细胞通路 检测细胞GSK3活性与表达水平
. Immunoblot using antibodies to phospho-Tyr279/216 can assess alterations in activity independent ofthe N-terminal phosphorylation, although phosphorylation atthis site is most likely to be constitutive (14) . 3. Immunoblot using antibodies to known
技术资料暂无技术资料 索取技术资料









