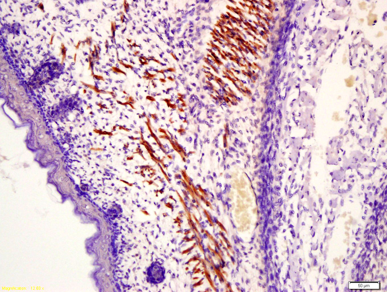
Tissue/cell: muscle of mouse embryo; 4% Paraformaldehyde-fixed and paraffin-embedded;
Antigen retrieval: citrate buffer ( 0.01M, pH 6.0 ), Boiling bathing for 15min; Block endogenous peroxidase by 3% Hydrogen peroxide for 30min; Blocking buffer (normal goat serum,C-0005) at 37℃ for 20 min;
Incubation: Anti-Fast skeletal Myosin Polyclonal Antibody, Unconjugated(bs-5159R) 1:200, overnight at 4°C, followed by conjugation to the secondary antibody(SP-0023) and DAB(C-0010) staining
相关产品推荐更多 >

CLEC1 Rabbit pAb, AP conjugated(bs-2542R-AP)-100ul
¥2980
ERBB2/HER2 Rabbit pAb, PerCP conjugated(bs-0125R-PerCP)-100ul
¥2980
ITGB4/CD104 Rabbit pAb, HRP conjugated(bs-10028R-HRP)-100ul
¥2980
R3HCC1 Rabbit pAb(bs-19702R)-50ul/100ul/200ul
¥1180
phospho-AR/Androgen receptor (Ser213) Rabbit pAb(bs-5191R)-50ul/100ul/200ul
¥1180
万千商家帮你免费找货
0 人在求购买到急需产品
- 详细信息
- 技术资料
- 应用范围:
产品信息以Bioss网站为准
- 规格:
50ul/100ul/200ul
| 规格: | 50ul | 产品价格: | ¥1180.0 |
|---|---|---|---|
| 规格: | 100ul | 产品价格: | ¥1980.0 |
| 规格: | 200ul | 产品价格: | ¥2800.0 |
| 产品编号 | bs-5159R |
| 英文名称 | MYLPF Rabbit pAb |
| 中文名称 | 快速骨骼肌肌球蛋白轻链2抗体 |
| 英文别名 | 2410014J02Rik; DKFZp779C0757; DTNB; Fast skeletal myosin light chain 2; G2; HUMMLC2B; MGC13450; MLC 2; MRLC2; MYL11; MLC2B; MLC2F; MLRS_HUMAN; MYLPF; Myosin light polypeptide 2 alkali; Myosin regulatory light chain 2, skeletal muscle isoform. |
| 产品应用 | WB=1:500-2000, IHC-P=1:100-500, IHC-F=1:100-500, IF=1:100-500 Not yet tested in other applications. |
| 交叉反应 | Human, Mouse, Rat (Dog, Pig, Cow, Horse, Rabbit, Sheep) |
| 抗体来源 | Rabbit |
| 免疫原 | KLH conjugated synthetic peptide derived from human Fast skeletal myosin light chain 2 |
| 亚型 | IgG |
| 性状 | Liquid |
| 纯化方法 | affinity purified by Protein A |
| 克隆类型 | Polyclonal |
| 理论分子量 | 19 kDa |
| 浓度 | 1mg/ml |
| 储存液 | 0.01M TBS (pH7.4) with 1% BSA, 0.02% Proclin300 and 50% Glycerol. |
| 研究领域 | Developmental Biology > Organogenesis > Skeletal development > Muscle Signal Transduction > Cytoskeleton / ECM > Cytoskeleton > Motor Proteins > Myosin |
| 亚基 | Myosin is a hexamer of 2 heavy chains and 4 light chains. |
| 组织特异性 | Expressed in fetal and adult skeletal muscle. |
| 相似性 | Contains 3 EF-hand domains. |
| 保存条件 | Shipped at 4℃. Store at -20℃ for one year. Avoid repeated freeze/thaw cycles. |
| 注意事项 | This product as supplied is intended for research use only, not for use in human, therapeutic or diagnostic applications. |
| 背景资料 | MYLPF is a 169 amino acid protein that is expressed in fetal and adult skeletal muscle. A calicum binding protein, MYLPF contains three EF hand domains and is encoded by a gene that maps to human chromosome 16p11.2. Chromosome 16 encodes over 900 genes in approximately 90 million base pairs, makes up nearly 3% of human cellular DNA and is associated with a variety of genetic disorders. The GAN gene is located on chromosome 16 and, with mutation, may lead to giant axonal neuropathy, a nervous system disorder characterized by increasing malfunction with growth. The rare disorder Rubinstein-Taybi syndrome is also associated with chromosome 16, though through the CREBBP gene which encodes a critical CREB binding protein. Signs of Rubinstein-Taybi include mental retardation and predisposition to tumor growth and white blood cell neoplasias. Crohn's disease is a gastrointestinal inflammatory condition associated with chromosome 16 through the NOD2 gene. |
| 应用 | 推荐稀释比例 |
| {WB} | {1:500-2000} |
| {IHC-P} | {1:100-500} |
| {IHC-F} | {1:100-500} |
| {IF} | {1:100-500} |


Paraformaldehyde-fixed, paraffin embedded (Rat skeletal muscle); Antigen retrieval by boiling in sodium citrate buffer (pH6.0) for 15min; Block endogenous peroxidase by 3% hydrogen peroxide for 20 minutes; Blocking buffer (normal goat serum) at 37°C for 30min; Antibody incubation with (MYLPF) Polyclonal Antibody, Unconjugated (bs-5159R) at 1:500 overnight at 4°C, followed by a conjugated secondary (sp-0023) for 20 minutes and DAB staining.

Sample:
A673(Human) Cell Lysate at 30 ug
Primary: Anti-MYLPF (bs-5159R) at 1/1000 dilution
Secondary: IRDye800CW Goat Anti-Rabbit IgG at 1/20000 dilution
Predicted band size: 19 kD
Observed band size: 19 kD
A673(Human) Cell Lysate at 30 ug
Primary: Anti-MYLPF (bs-5159R) at 1/1000 dilution
Secondary: IRDye800CW Goat Anti-Rabbit IgG at 1/20000 dilution
Predicted band size: 19 kD
Observed band size: 19 kD

Sample:
Muscle (Mouse) Lysate at 40 ug
Primary: Anti-MYLPF (bs-5159R) at 1/1000 dilution
Secondary: IRDye800CW Goat Anti-Rabbit IgG at 1/20000 dilution
Predicted band size: 19 kD
Observed band size: 19 kD
Muscle (Mouse) Lysate at 40 ug
Primary: Anti-MYLPF (bs-5159R) at 1/1000 dilution
Secondary: IRDye800CW Goat Anti-Rabbit IgG at 1/20000 dilution
Predicted band size: 19 kD
Observed band size: 19 kD

Sample:
Lane 1: Mouse Muscle tissue lysates
Lane 2: Rat Muscle tissue lysates
Primary: Anti-MYLPF (bs-5159R) at 1/1000 dilution
Secondary: IRDye800CW Goat Anti-Rabbit IgG at 1/20000 dilution
Predicted band size: 19 kDa
Observed band size: 15 kDa
Lane 1: Mouse Muscle tissue lysates
Lane 2: Rat Muscle tissue lysates
Primary: Anti-MYLPF (bs-5159R) at 1/1000 dilution
Secondary: IRDye800CW Goat Anti-Rabbit IgG at 1/20000 dilution
Predicted band size: 19 kDa
Observed band size: 15 kDa
风险提示:丁香通仅作为第三方平台,为商家信息发布提供平台空间。用户咨询产品时请注意保护个人信息及财产安全,合理判断,谨慎选购商品,商家和用户对交易行为负责。对于医疗器械类产品,请先查证核实企业经营资质和医疗器械产品注册证情况。
技术资料暂无技术资料 索取技术资料
MYLPF Rabbit pAb(bs-5159R)-50ul/100ul/200ul
¥1180 - 2800





