相关产品推荐更多 >
万千商家帮你免费找货
0 人在求购买到急需产品
- 详细信息
- 文献和实验
- 技术资料
- 应用范围:
产品信息以Bioss网站为准
- 规格:
50ul/100ul/200ul
| 规格: | 50ul | 产品价格: | ¥1180.0 |
|---|---|---|---|
| 规格: | 100ul | 产品价格: | ¥1980.0 |
| 规格: | 200ul | 产品价格: | ¥2800.0 |
| 产品编号 | bs-6063R |
| 英文名称 | PRMT6 Rabbit pAb |
| 中文名称 | 组蛋白精氨酸甲基转移酶6抗体 |
| 英文别名 | PRMT 6; PRMT6; ANM6_HUMAN; Heterogeneous nuclear ribonucleoprotein methyltransferase like protein 6; Heterogeneous nuclear ribonucleoprotein methyltransferase-like protein 6; Histone-arginine N-methyltransferase PRMT6; HMT1 hnRNP methyltransferase like 6; HRMT1L6; prmt6; Protein arginine methyltransferase 6; Protein arginine N methyltransferase 6; Protein arginine N-methyltransferase 6. |
| 产品应用 | IHC-P=1:100-500, IHC-F=1:100-500, IF=1:100-500 Not yet tested in other applications. |
| 交叉反应 | Human, Mouse, Rat (Dog, Pig, Cow, Horse) |
| 抗体来源 | Rabbit |
| 免疫原 | KLH conjugated synthetic peptide derived from human PRMT6 |
| 亚型 | IgG |
| 性状 | Liquid |
| 纯化方法 | affinity purified by Protein A |
| 克隆类型 | Polyclonal |
| 理论分子量 | 42 kDa |
| 浓度 | 1mg/ml |
| 储存液 | 0.01M TBS (pH7.4) with 1% BSA, 0.02% Proclin300 and 50% Glycerol. |
| 研究领域 | Epigenetics and Nuclear Signaling > Chromatin Modifying Enzymes > Methylation > Arginine Methylation Epigenetics and Nuclear Signaling > DNA / RNA > RNA Processing Epigenetics and Nuclear Signaling > DNA / RNA > RNA Processing > Splicing |
| 亚基 | Interacts with (and methylates) HIV-1 Tat, Rev and Nucleocapsid protein p7 (NC). |
| 亚细胞定位 | Nucleus. |
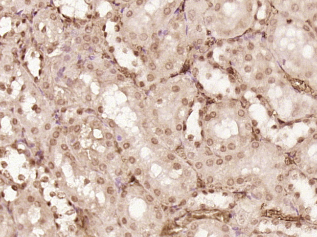
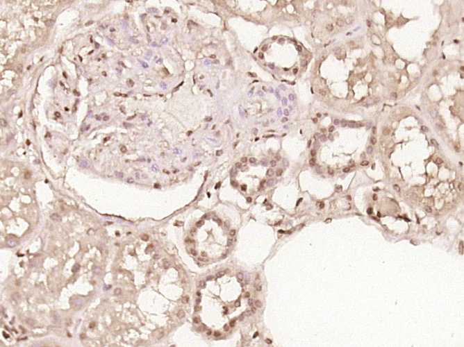
| 组织特异性 | Highly expressed in kidney and testes. |
| 翻译后修饰 | Automethylated. |
| 相似性 | Belongs to the protein arginine N-methyltransferase family. PRMT6 subfamily. |
| 功能 | Arginine methyltransferase that can both catalyze the formation of omega-N monomethylarginine (MMA) and asymmetrical dimethylarginine (aDMA), with a strong preference for the formation of aDMA. Preferentially methylates arginyl residues present in a glycine and arginine-rich domain and displays preference for monomethylated substrates. Specifically mediates the asymmetric dimethylation of histone H3 'Arg-2' to form H3R2me2a. H3R2me2a represents a specific tag for epigenetic transcriptional repression and is mutually exclusive with methylation on histone H3 'Lys-4' (H3K4me2 and H3K4me3). It thereby acts as a transcription corepressor of various genes such as HOXA2. Also methylates histone H2A and H4 'Arg-3' (H2AR3me and H4R3me, respectively). Acts as a regulator of DNA base excision during DNA repair by mediating the methylation of DNA polymerase beta (POLB), leading to stimulate the polymerase activity by enhancing DNA binding and processivity. Methylates HMGA1. May play a role in innate immunity against HIV-1 in case of infection by methylating and impairing the function of various HIV-1 proteins such as Tat, Rev and Nucleocapsid protein p7 (NC). |
| 保存条件 | Shipped at 4℃. Store at -20℃ for one year. Avoid repeated freeze/thaw cycles. |
| 注意事项 | This product as supplied is intended for research use only, not for use in human, therapeutic or diagnostic applications. |
| 背景资料 | Arginine methyltransferase that can both catalyze the formation of omega-N monomethylarginine (MMA) and asymmetrical dimethylarginine (aDMA), with a strong preference for the formation of aDMA. Preferentially methylates arginyl residues present in a glycine and arginine-rich domain and displays preference for monomethylated substrates. Specifically mediates the asymmetric dimethylation of histone H3 'Arg-2' to form H3R2me2a. H3R2me2a represents a specific tag for epigenetic transcriptional repression and is mutually exclusive with methylation on histone H3 'Lys-4' (H3K4me2 and H3K4me3). It thereby acts as a transcription corepressor of various genes such as HOXA2. Also methylates histone H2A and H4 'Arg-3' (H2AR3me and H4R3me, respectively). Acts as a regulator of DNA base excision during DNA repair by mediating the methylation of DNA polymerase beta (POLB), leading to stimulate the polymerase activity by enhancing DNA binding and processivity. Methylates HMGA1. May play a role in innate immunity against HIV-1 in case of infection by methylating and impairing the function of various HIV-1 proteins such as Tat, Rev and Nucleocapsid protein p7 (NC). |
| 应用 | 推荐稀释比例 |
| {IHC-P} | {1:100-500} |
| {IHC-F} | {1:100-500} |
| {IF} | {1:100-500} |

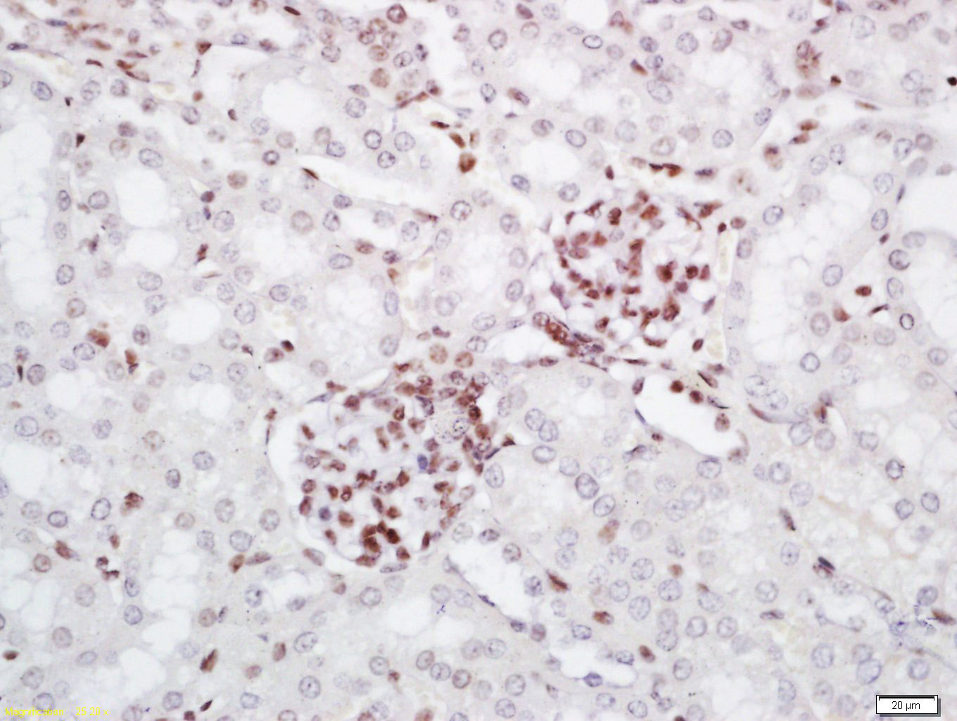
Antigen retrieval: citrate buffer ( 0.01M, pH 6.0 ), Boiling bathing for 15min; Block endogenous peroxidase by 3% Hydrogen peroxide for 30min; Blocking buffer (normal goat serum,C-0005) at 37℃ for 20 min;
Incubation: Anti-PRMT6 Polyclonal Antibody, Unconjugated(bs-6063R) 1:200, overnight at 4°C, followed by conjugation to the secondary antibody(SP-0023) and DAB(C-0010) staining


风险提示:丁香通仅作为第三方平台,为商家信息发布提供平台空间。用户咨询产品时请注意保护个人信息及财产安全,合理判断,谨慎选购商品,商家和用户对交易行为负责。对于医疗器械类产品,请先查证核实企业经营资质和医疗器械产品注册证情况。
文献和实验= NAL), appears to form upon oxidative cyclization of the nonfluorescent 2:1 lysine-HNE Michael adduct-Schiff base cross-link (Scheme 1). Polyclonal antibody (PAb) to the NAL-HNE fluorophore was raised in rabbit and found to be highly specific
GE Healthcare Benzamidine Sepharose™ 6B is p-aminobenzamidine covalently attached to Sepharose 6B by the epoxy coupling method. p-Aminobenzamidine (PAB), is a synthetic inhibitor of trypsin-like serine protease. Trypsin and trypsin
Nucleic Acid Programmable Protein Arrays: Versatile Tools for Array‐Based Functional Protein Studies
.g., Sigma) 50 mg/ml bis‐sulfosuccinimdylsuberate (BS3 ;Pierce, cat. no. PI 21580) in dimethylsulfoxide (DMSO) 5 mg/ml
技术资料暂无技术资料 索取技术资料










