相关产品推荐更多 >

phospho-IL7R (Tyr449) Rabbit pAb(bs-5395R)-50ul/100ul/200ul
¥1180
ITIH4 Rabbit pAb(bs-9914R)-50ul/100ul/200ul
¥1180
SNX10 Rabbit pAb, AP conjugated(bs-12408R-AP)-100ul
¥2980
phospho-TORC2 (Ser171) Rabbit pAb, PE-Cy5.5 conjugated(bs-3415R-PE-Cy5.5)-100ul
¥2980
beta-Amyloid(25-35) Rabbit pAb(bs-0872R)-50ul/100ul/200ul
¥1180
万千商家帮你免费找货
0 人在求购买到急需产品
- 详细信息
- 文献和实验
- 技术资料
- 应用范围:
产品信息以Bioss网站为准
- 规格:
50ul/100ul/200ul
| 规格: | 50ul | 产品价格: | ¥1180.0 |
|---|---|---|---|
| 规格: | 100ul | 产品价格: | ¥1980.0 |
| 规格: | 200ul | 产品价格: | ¥2800.0 |
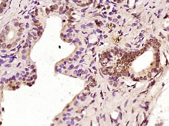
| 产品编号 | bs-2666R |
| 英文名称 | C-REL Rabbit pAb |
| 中文名称 | 淋巴细胞衍生C-型凝集素抗体 |
| 英文别名 | Avian reticuloendotheliosis; C REL; C Rel protein; c Rel proto oncogene protein; Oncogene REL; Oncogene REL avian reticuloendotheliosis; REL; v rel avian reticuloendotheliosis viral oncogene homolog; v rel reticuloendotheliosis viral oncogene homolog; Proto-oncogene c-Rel; REL_HUMAN. |
| 产品应用 | IHC-P=1:100-500, IHC-F=1:100-500, IF=1:100-500, Flow-Cyt=2ug/Test Not yet tested in other applications. |
| 交叉反应 | Human, Mouse, Rat (Chicken, Pig, Horse) |
| 抗体来源 | Rabbit |
| 免疫原 | KLH conjugated synthetic peptide derived from human C-REL |
| 亚型 | IgG |
| 性状 | Liquid |
| 纯化方法 | affinity purified by Protein A |
| 克隆类型 | Polyclonal |
| 理论分子量 | 68 kDa |
| 浓度 | 1mg/ml |
| 储存液 | 0.01M TBS (pH7.4) with 1% BSA, 0.02% Proclin300 and 50% Glycerol. |
| 研究领域 | Cancer > Oncoproteins/suppressors > Oncoproteins > Transcription factors Cancer > Signal transduction > Nuclear signaling > NFkB pathway Epigenetics and Nuclear Signaling > Nuclear Signaling Pathways > NFkB pathway Signal Transduction > Signaling Pathway > Nuclear Signaling > NFkB Pathway |
| 亚基 | Component of the NF-kappa-B p65-c-Rel complex. Component of the NF-kappa-B p50-c-Rel complex. Component of the NF-kappa-B p52-c-Rel complex. Homodimer; component of the NF-kappa-B c-Rel-c-Rel complex (By similarity). Interacts with NKIRAS1. Interacts with NFKBIB (By similarity). Interacts with NFKBIE. |
| 亚细胞定位 | Nucleus. |
| 相似性 | Contains 1 RHD (Rel-like) domain. |
| 功能 | Proto-oncogene that may play a role in differentiation and lymphopoiesis. NF-kappa-B is a pleiotropic transcription factor which is present in almost all cell types and is involved in many biological processed such as inflammation, immunity, differentiation, cell growth, tumorigenesis and apoptosis. NF-kappa-B is a homo- or heterodimeric complex formed by the Rel-like domain-containing proteins RELA/p65, RELB, NFKB1/p105, NFKB1/p50, REL and NFKB2/p52. The dimers bind at kappa-B sites in the DNA of their target genes and the individual dimers have distinct preferences for different kappa-B sites that they can bind with distinguishable affinity and specificity. Different dimer combinations act as transcriptional activators or repressors, respectively. NF-kappa-B is controlled by various mechanisms of post-translational modification and subcellular compartmentalization as well as by interactions with other cofactors or corepressors. NF-kappa-B complexes are held in the cytoplasm in an inactive state complexed with members of the NF-kappa-B inhibitor (I-kappa-B) family. In a conventional activation pathway, I-kappa-B is phosphorylated by I-kappa-B kinases (IKKs) in response to different activators, subsequently degraded thus liberating the active NF-kappa-B complex which translocates to the nucleus. The NF-kappa-B heterodimer RELA/p65-c-Rel is a transcriptional activator. |
| 保存条件 | Shipped at 4℃. Store at -20℃ for one year. Avoid repeated freeze/thaw cycles. |
| 注意事项 | This product as supplied is intended for research use only, not for use in human, therapeutic or diagnostic applications. |
| 背景资料 | The REL gene encodes c-Rel, a transcription factor that is a member of the Rel/NFKB family, which also includes RELA (MIM 164014), RELB (604758), NFKB1 (MIM 164011), and NFKB2 (MIM 164012). These proteins are related through a highly conserved N-terminal region termed the 'Rel domain,' which is responsible for DNA binding, dimerization, nuclear localization, and binding to the NFKB inhibitor (MIM 164008) (Belguise and Sonenshein, 2007 [PubMed 18037997]).[supplied by OMIM, May 2008]. |
| 应用 | 推荐稀释比例 |
| {IHC-P} | {1:100-500} |
| {IHC-F} | {1:100-500} |
| {IF} | {1:100-500} |
| {Flow-Cyt} | {2ug/Test} |



Primary Antibody (green line): Rabbit Anti-C-REL antibody (bs-2666R)
Dilution:2ug/Test;
Secondary Antibody(white blue line): Goat anti-rabbit IgG-FITC
Dilution: 0.5ug/Test.
Isotype control(orange line): Normal Rabbit IgG
Protocol
The cells were fixed with 4% PFA (10min at room temperature)and then permeabilized with 90% ice-cold methanol for 20 min at -20℃, The cells were then incubated in 5%BSA to block non-specific protein-protein interactions for 30 min at room temperature .Cells stained with Primary Antibody for 30 min at room temperature. The secondary antibody used for 40 min at room temperature. Acquisition of 20,000 events was performed.
风险提示:丁香通仅作为第三方平台,为商家信息发布提供平台空间。用户咨询产品时请注意保护个人信息及财产安全,合理判断,谨慎选购商品,商家和用户对交易行为负责。对于医疗器械类产品,请先查证核实企业经营资质和医疗器械产品注册证情况。
文献和实验= NAL), appears to form upon oxidative cyclization of the nonfluorescent 2:1 lysine-HNE Michael adduct-Schiff base cross-link (Scheme 1). Polyclonal antibody (PAb) to the NAL-HNE fluorophore was raised in rabbit and found to be highly specific
GE Healthcare Benzamidine Sepharose™ 6B is p-aminobenzamidine covalently attached to Sepharose 6B by the epoxy coupling method. p-Aminobenzamidine (PAB), is a synthetic inhibitor of trypsin-like serine protease. Trypsin and trypsin
Nucleic Acid Programmable Protein Arrays: Versatile Tools for Array‐Based Functional Protein Studies
.g., Sigma) 50 mg/ml bis‐sulfosuccinimdylsuberate (BS3 ;Pierce, cat. no. PI 21580) in dimethylsulfoxide (DMSO) 5 mg/ml
技术资料暂无技术资料 索取技术资料





