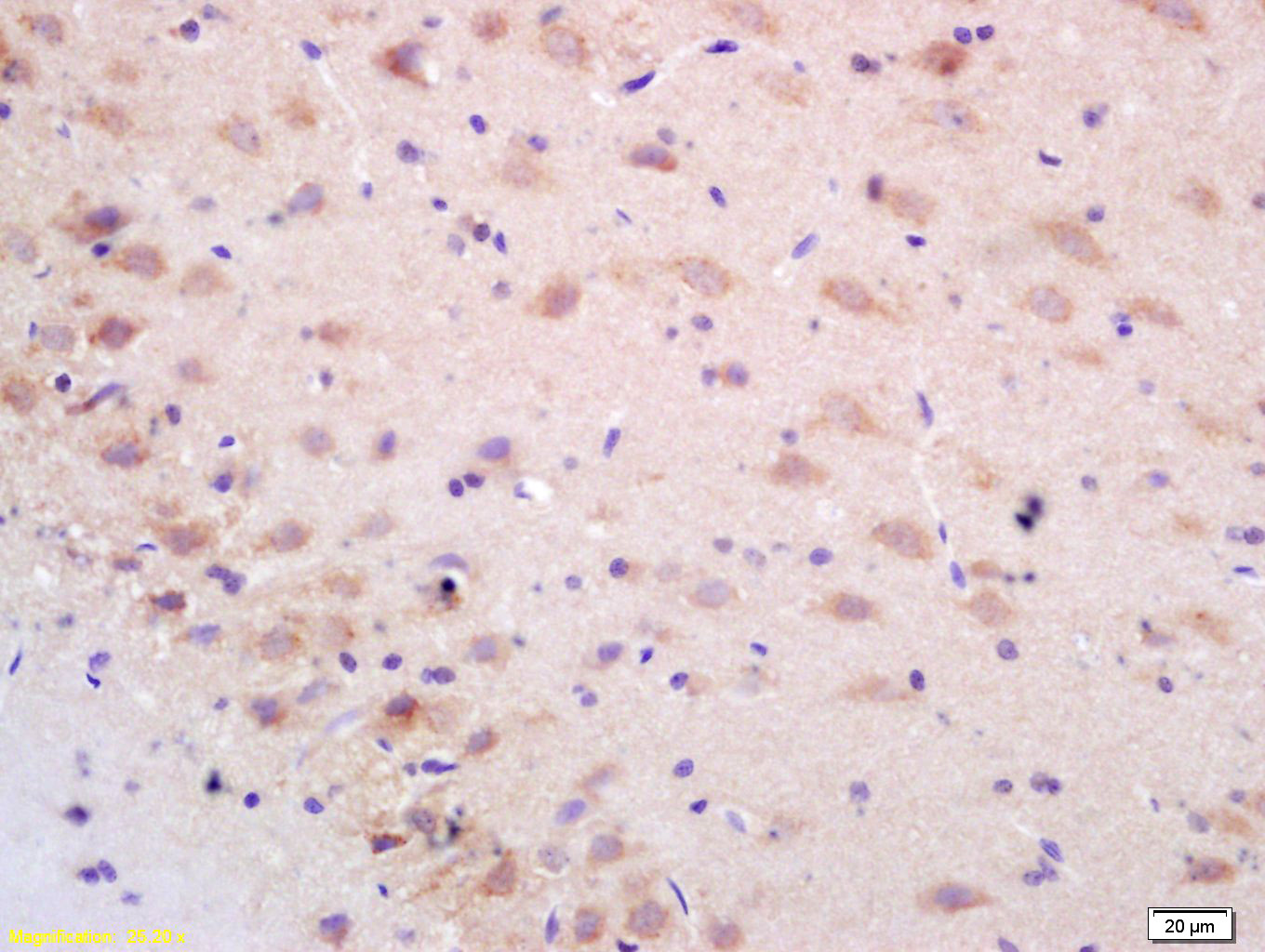
Tissue/cell: rat brain tissue; 4% Paraformaldehyde-fixed and paraffin-embedded;
Antigen retrieval: citrate buffer ( 0.01M, pH 6.0 ), Boiling bathing for 15min; Block endogenous peroxidase by 3% Hydrogen peroxide for 30min; Blocking buffer (normal goat serum,C-0005) at 37℃ for 20 min;
Incubation: Anti-NALP2/PAN1/PYPAF2 Polyclonal Antibody, Unconjugated(bs-6717R) 1:200, overnight at 4°C, followed by conjugation to the secondary antibody(SP-0023) and DAB(C-0010) staining
相关产品推荐更多 >
万千商家帮你免费找货
0 人在求购买到急需产品
- 详细信息
- 文献和实验
- 技术资料
- 应用范围:
产品信息以Bioss网站为准
- 规格:
50ul/100ul/200ul
| 规格: | 50ul | 产品价格: | ¥1180.0 |
|---|---|---|---|
| 规格: | 100ul | 产品价格: | ¥1980.0 |
| 规格: | 200ul | 产品价格: | ¥2800.0 |
| 产品编号 | bs-6717R |
| 英文名称 | NALP2 Rabbit pAb |
| 中文名称 | 富含亮氨酸重复结构域蛋白2抗体 |
| 英文别名 | CLR19.9; FLJ20510; Leucine rich repeat and PYD containing protein 2; LRR and PYD domains-containing protein 2; NACHT; NACHT domain; NACHT leucine rich repeat and PYD containing 2; NACHT LRR and PYD domains containing protein 2; NALP2; NALP2_HUMAN; NBS1; NLR family pyrin domain containing 2; NLRP2; Nucleotide binding oligomerization domain leucine rich repeat and pyrin domain containing 2; Nucleotide-binding site protein 1; PAN1; PYPAF2; PYRIN containing APAF1 like protein2; PYRIN domain and NACHT domain-containing protein 1; PYRIN-containing APAF1-like protein 2. |
| 产品应用 | WB=1:500-2000, IHC-P=1:100-500, IHC-F=1:100-500, IF=1:100-500 Not yet tested in other applications. |
| 交叉反应 | Human, Mouse, Rat (Horse, Rabbit) |
| 抗体来源 | Rabbit |
| 免疫原 | KLH conjugated synthetic peptide derived from human NACHT, LRR and PYD domains-containing protein 2 |
| 亚型 | IgG |
| 性状 | Liquid |
| 纯化方法 | affinity purified by Protein A |
| 克隆类型 | Polyclonal |
| 理论分子量 | 117 kDa |
| 浓度 | 1mg/ml |
| 储存液 | 0.01M TBS (pH7.4) with 1% BSA, 0.02% Proclin300 and 50% Glycerol. |
| 研究领域 | Cell Biology > Apoptosis > Intracellular > Caspases etc > CARD Family Cell Biology > Apoptosis > Intracellular > Caspases etc > Caspases |
| 亚基 | Interacts with CHUK, IKBKB and IKBKG, as well as with full-length PYCARD and with the DAPIN domain of NAPL1, but not the full-length protein. |
| 亚细胞定位 | Cytoplasm. |
| 组织特异性 | Expressed at high levels in lung, placenta and thymus and at lower levels in ovary, intestine and brain. |
| 相似性 | Belongs to the NLRP family. Contains 1 DAPIN domain. Contains 8 LRR (leucine-rich) repeats. Contains 1 NACHT domain. |
| 功能 | Suppresses TNF- and CD40-induced NFKB1 activity at the level of the IKK complex, by inhibiting NFKBIA degradation induced by TNF. When associated with PYCARD, activates CASP1, leading to the secretion of mature proinflammatory cytokine IL1B. May be a component of the inflammasome, a protein complex which also includes PYCARD, CARD8 and CASP1 and whose function would be the activation of proinflammatory caspases. |
| 保存条件 | Shipped at 4℃. Store at -20℃ for one year. Avoid repeated freeze/thaw cycles. |
| 注意事项 | This product as supplied is intended for research use only, not for use in human, therapeutic or diagnostic applications. |
| 背景资料 | NALP proteins, such as NALP2, are characterized by an N-terminal pyrin (MIM 608107) domain (PYD) and are involved in the activation of caspase-1 (CASP1; MIM 147678) by Toll-like receptors (see TLR4; MIM 603030). They may also be involved in protein complexes that activate proinflammatory caspases (Tschopp et al., 2003 [PubMed 12563287]).[supplied by OMIM, Mar 2008]. |
| 应用 | 推荐稀释比例 |
| {WB} | {1:500-2000} |
| {IHC-P} | {1:100-500} |
| {IHC-F} | {1:100-500} |
| {IF} | {1:100-500} |


Sample:
Thymus(Mouse) Lysate at 40 ug
A431(Human) Cell Lysate at 30 ug
Molt-4(Human) Cell Lysate at 30 ug
Primary: Anti-NALP2 (bs-6717R) at 1/500 dilution
Secondary: IRDye800CW Goat Anti-Rabbit IgG at 1/20000 dilution
Predicted band size: 117 kD
Observed band size: 117 kD
Thymus(Mouse) Lysate at 40 ug
A431(Human) Cell Lysate at 30 ug
Molt-4(Human) Cell Lysate at 30 ug
Primary: Anti-NALP2 (bs-6717R) at 1/500 dilution
Secondary: IRDye800CW Goat Anti-Rabbit IgG at 1/20000 dilution
Predicted band size: 117 kD
Observed band size: 117 kD

Sample:
Lane 1: Mouse Thymus tissue lysates
Lane 2: Mouse Ovary tissue lysates
Lane 3: Rat Placenta tissue lysates
Lane 4: Human MCF-7 cell lysates
Primary: Anti-NALP2 (bs-6717R) at 1/1000 dilution
Secondary: IRDye800CW Goat Anti-Rabbit IgG at 1/20000 dilution
Predicted band size: 117 kDa
Observed band size: 120 kDa
Lane 1: Mouse Thymus tissue lysates
Lane 2: Mouse Ovary tissue lysates
Lane 3: Rat Placenta tissue lysates
Lane 4: Human MCF-7 cell lysates
Primary: Anti-NALP2 (bs-6717R) at 1/1000 dilution
Secondary: IRDye800CW Goat Anti-Rabbit IgG at 1/20000 dilution
Predicted band size: 117 kDa
Observed band size: 120 kDa
风险提示:丁香通仅作为第三方平台,为商家信息发布提供平台空间。用户咨询产品时请注意保护个人信息及财产安全,合理判断,谨慎选购商品,商家和用户对交易行为负责。对于医疗器械类产品,请先查证核实企业经营资质和医疗器械产品注册证情况。
文献和实验该产品被引用文献
[IF={{ 3.9 }}] {Jun Yang. et al. A PANoptosis-Based Signature for Survival and Immune Predication in Glioblastoma Multiforme. ANN CLIN TRANSL NEUR. 2025 May;:} {WB} {Human}
技术资料暂无技术资料 索取技术资料
文献支持
NALP2 Rabbit pAb(bs-6717R)-50ul/100ul/200ul
¥1180 - 2800









