相关产品推荐更多 >

phospho-Mst1(Thr183) + Mst2(Thr180) Rabbit pAb, Biotin conjugated(bs-3294R-Bio)-100ul
¥2980
MAPK15/ERK8 Rabbit pAb(bs-18669R)-50ul/100ul/200ul
¥1180
CD209/DC-SIGN Rabbit pAb(bs-2239R)-50ul/100ul/200ul
¥1180
phospho-ROCK1 (Thr455+Ser456) Rabbit pAb(bs-4630R)-50ul/100ul/200ul
¥1180
CCL26 Rabbit pAb, BF680 conjugated(bs-15512R-BF680)-100ul
¥2980
万千商家帮你免费找货
0 人在求购买到急需产品
- 详细信息
- 文献和实验
- 技术资料
- 应用范围:
产品信息以Bioss网站为准
- 规格:
50ul/100ul/200ul
| 规格: | 50ul | 产品价格: | ¥1180.0 |
|---|---|---|---|
| 规格: | 100ul | 产品价格: | ¥1980.0 |
| 规格: | 200ul | 产品价格: | ¥2800.0 |
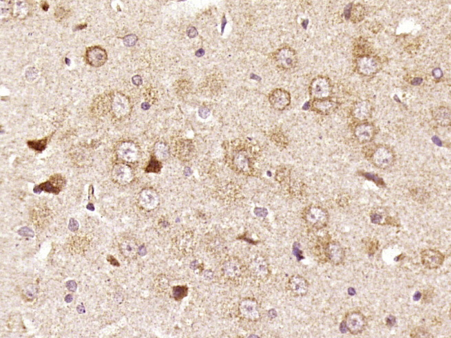
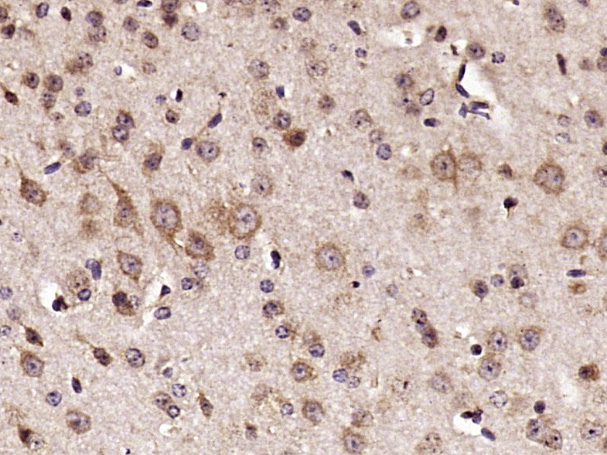
| 产品编号 | bs-3565R |
| 英文名称 | RPS6 Rabbit pAb |
| 中文名称 | S6核糖体蛋白抗体 |
| 英文别名 | 40S ribosomal protein S6; Air8; DS6; Hemocytes enlarged; Hen; L(1)AIR8; Lethal(1) haemocytes enlarged; Lethal aberrant immune response 8; Lethal(1)abberant immune response[8]; phosphoprotein NP33; Pp30; Ribosomal protein S6; RP S6; RPS 6; RpS6; RS6; RS6_HUMAN; S6; S6 Ribosomal Protein. |
| 产品应用 | IHC-P=1:100-500, IHC-F=1:100-500, IF=1:100-500, Flow-Cyt=1ug/Test Not yet tested in other applications. |
| 交叉反应 | Human, Mouse, Rat, HepG2 (Pig, Cow, Rabbit) |
| 抗体来源 | Rabbit |
| 免疫原 | KLH conjugated synthetic peptide derived from human RPS6 |
| 亚型 | IgG |
| 性状 | Liquid |
| 纯化方法 | affinity purified by Protein A |
| 克隆类型 | Polyclonal |
| 理论分子量 | 29 kDa |
| 浓度 | 1mg/ml |
| 储存液 | 0.01M TBS (pH7.4) with 1% BSA, 0.02% Proclin300 and 50% Glycerol. |
| 研究领域 | Epigenetics and Nuclear Signaling > DNA / RNA > Translation > Ribosome |
| 翻译后修饰 | Ribosomal protein S6 is the major substrate of protein kinases in eukaryote ribosomes. The phosphorylation is stimulated by growth factors, tumor promoting agents, and mitogens. It is dephosphorylated at growth arrest. Phosphrylated at Ser-235 and Ser-236 by RPS6KA1 and RPS6KA3; phosphorylation at these sites facilitates the assembly of the preinitiation complex. |
| 相似性 | Belongs to the ribosomal protein S6e family. |
| 功能 | May play an important role in controlling cell growth and proliferation through the selective translation of particular classes of mRNA. |
| 保存条件 | Shipped at 4℃. Store at -20℃ for one year. Avoid repeated freeze/thaw cycles. |
| 注意事项 | This product as supplied is intended for research use only, not for use in human, therapeutic or diagnostic applications. |
| 背景资料 | Ribosomes, the organelles that catalyze protein synthesis, consist of a small 40S subunit and a large 60S subunit. Together these subunits are composed of 4 RNA species and approximately 80 structurally distinct proteins. This gene encodes a cytoplasmic ribosomal protein that is a component of the 40S subunit. The protein belongs to the S6E family of ribosomal proteins. It is the major substrate of protein kinases in the ribosome, with subsets of five C-terminal serine residues phosphorylated by different protein kinases. Phosphorylation is induced by a wide range of stimuli, including growth factors, tumor-promoting agents, and mitogens. Dephosphorylation occurs at growth arrest. The protein may contribute to the control of cell growth and proliferation through the selective translation of particular classes of mRNA. As is typical for genes encoding ribosomal proteins, there are multiple processed pseudogenes of this gene dispersed through the genome. [provided by RefSeq, Jul 2008] |
| 应用 | 推荐稀释比例 |
| {IHC-P} | {1:100-500} |
| {IHC-F} | {1:100-500} |
| {IF} | {1:100-500} |
| {Flow-Cyt} | {1ug/Test} |



Primary Antibody (green line): Rabbit Anti-RPS6 antibody (bs-3565R)
Dilution:1ug/Test;
Secondary Antibody(white blue line): Goat anti-rabbit IgG-AF488
Dilution: 0.5ug/Test.
Isotype control(orange line): Normal Rabbit IgG
Protocol
The cells were fixed with 4% PFA (10min at room temperature)and then permeabilized with 90% ice-cold methanol for 20 min at -20℃, The cells were then incubated in 5%BSA to block non-specific protein-protein interactions for 30 min at room temperature .Cells stained with Primary Antibody for 30 min at room temperature. The secondary antibody used for 40 min at room temperature. Acquisition of 20,000 events was performed.
风险提示:丁香通仅作为第三方平台,为商家信息发布提供平台空间。用户咨询产品时请注意保护个人信息及财产安全,合理判断,谨慎选购商品,商家和用户对交易行为负责。对于医疗器械类产品,请先查证核实企业经营资质和医疗器械产品注册证情况。
文献和实验= NAL), appears to form upon oxidative cyclization of the nonfluorescent 2:1 lysine-HNE Michael adduct-Schiff base cross-link (Scheme 1). Polyclonal antibody (PAb) to the NAL-HNE fluorophore was raised in rabbit and found to be highly specific
GE Healthcare Benzamidine Sepharose™ 6B is p-aminobenzamidine covalently attached to Sepharose 6B by the epoxy coupling method. p-Aminobenzamidine (PAB), is a synthetic inhibitor of trypsin-like serine protease. Trypsin and trypsin
GE Healthcare Benzamidine Sepharose™ 6B is p-aminobenzamidine covalently attached to Sepharose 6B by the epoxy coupling method. p-Aminobenzamidine (PAB), is a synthetic inhibitor of trypsin-like serine protease. Trypsin and trypsin
技术资料暂无技术资料 索取技术资料





