相关产品推荐更多 >

Integrin Alpha V + Beta 6 Rabbit pAb, PerCP-Cy5.5 conjugated(bs-5791R-PerCP-Cy5.5)-100ul
¥2980
GEMC1 Rabbit pAb, Cy5 conjugated(bs-13332R-Cy5)-100ul
¥2980
GTPBP9 Rabbit pAb, FITC conjugated(bs-9554R-FITC)-100ul
¥2980
IL-20R alpha Rabbit pAb(bs-41355R)-50ul/100ul/200ul
¥1180
CD2AP Rabbit pAb, FITC conjugated(bs-0512R-FITC)-100ul
¥2980
万千商家帮你免费找货
0 人在求购买到急需产品
- 详细信息
- 文献和实验
- 技术资料
- 应用范围:
产品信息以Bioss网站为准
- 规格:
50ul/100ul/200ul
| 规格: | 50ul | 产品价格: | ¥1180.0 |
|---|---|---|---|
| 规格: | 100ul | 产品价格: | ¥1980.0 |
| 规格: | 200ul | 产品价格: | ¥2800.0 |
| 产品编号 | bs-1632R |
| 英文名称 | APPL1 Rabbit pAb |
| 中文名称 | 衔接因子蛋白含pH域蛋白1抗体 |
| 英文别名 | Adapter protein containing PH domain; Adaptor Protein Containing pH Domain; Adaptor protein containing pH domain PTB domain and leucine zipper motif 1; Adaptor protein containing pH domain PTB domain and leucine zipper motif; AKT2 INTERACTOR; APPL 1; APPL1; DCC interacting protein 13 alpha; DCC-interacting protein 13-alpha; DIP 13 alpha; DIP13 alpha; Dip13-alpha; DIP13alpha; DP13A_HUMAN; KIAA1428; PTB domain and leucine zipper motif 1; PTB Domain and Leucine Zipper Motif; Signaling adaptor protein DIP13alpha. |
| 产品应用 | IHC-P=1:100-500, IHC-F=1:100-500, IF=1:100-500 Not yet tested in other applications. |
| 交叉反应 | Human, Rat, human lung carcinoma, human liver carcinoma, human liver carcinoma, human liver carcinoma, human liver carcinoma, human colon carcinoma, human colon carcinoma, human colon carcinoma, human colon carcinoma, pancreas, pancreas, pancreas, pancreas (Mouse, Dog, Pig, Cow, Horse, Rabbit) |
| 抗体来源 | Rabbit |
| 免疫原 | KLH conjugated synthetic peptide derived from human APPL1 |
| 亚型 | IgG |
| 性状 | Liquid |
| 纯化方法 | affinity purified by Protein A |
| 克隆类型 | Polyclonal |
| 理论分子量 | 80 kDa |
| 浓度 | 1mg/ml |
| 储存液 | 0.01M TBS (pH7.4) with 1% BSA, 0.02% Proclin300 and 50% Glycerol. |
| 亚基 | Binds RAB5A/Rab5 through an N-terminal domain. This interaction is essential for its recruitment to endosomal membranes as well as its role in cell proliferation. Binds DCC and the catalytic domain of the inactive form of AKT2 through its PID domain. Binds PIK3CA and subunits of the NuRD/MeCP1 complex. Interacts with OCRL and INPP5B. |
| 亚细胞定位 | Early endosome membrane; Peripheral membrane protein. Nucleus. Note=Early endosomal membrane-bound and nuclear. Translocated into the nucleus upon release from endosomal membranes following internalization of EGF. |
| 组织特异性 | High levels in heart, ovary, pancreas and skeletal muscle. |
| 翻译后修饰 | Phosphorylated upon DNA damage, probably by ATM or ATR. Phosophorylation at Ser-410 by PKA severely impairs binding to OCRL. |
| 相似性 | Contains 1 PH domain. Contains 1 PID domain. |
| 功能 | Required for the regulation of cell proliferation in response to extracellular signals from an early endosomal compartment. Links Rab5 to nuclear signal transduction. |
| 保存条件 | Shipped at 4℃. Store at -20℃ for one year. Avoid repeated freeze/thaw cycles. |
| 注意事项 | This product as supplied is intended for research use only, not for use in human, therapeutic or diagnostic applications. |
| 背景资料 | The protein encoded by this gene has been shown to be involved in the regulation of cell proliferation, and in the crosstalk between the adiponectin signalling and insulin signalling pathways. The encoded protein binds many other proteins, including RAB5A, DCC, AKT2, PIK3CA, adiponectin receptors, and proteins of the NuRD/MeCP1 complex. This protein is found associated with endosomal membranes, but can be released by EGF and translocated to the nucleus. [provided by RefSeq, Jul 2008] |
| 应用 | 推荐稀释比例 |
| {IHC-P} | {1:100-500} |
| {IHC-F} | {1:100-500} |
| {IF} | {1:100-500} |

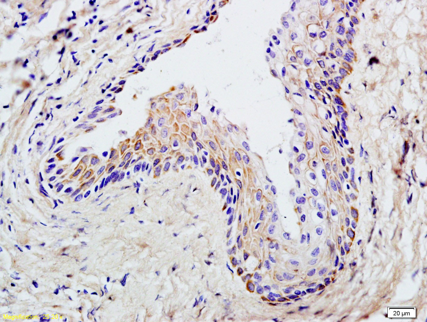
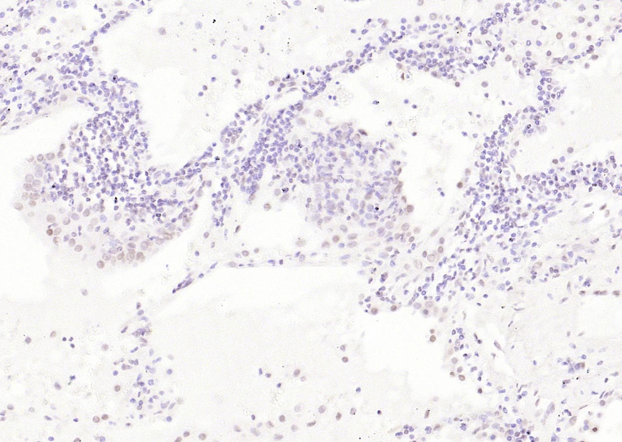
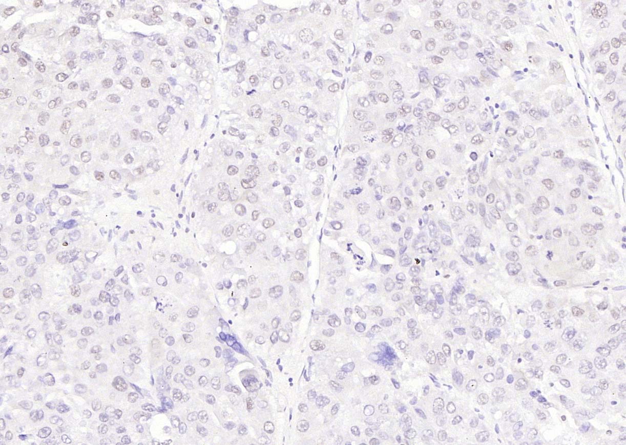
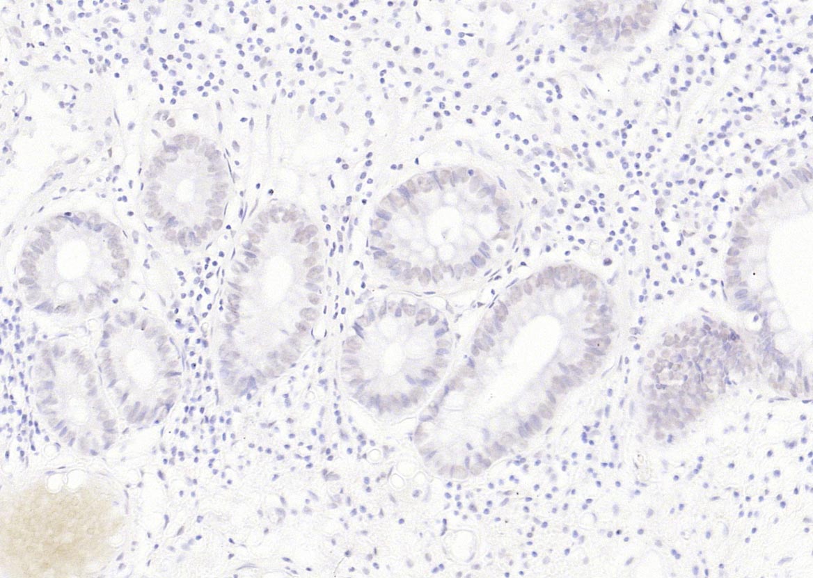
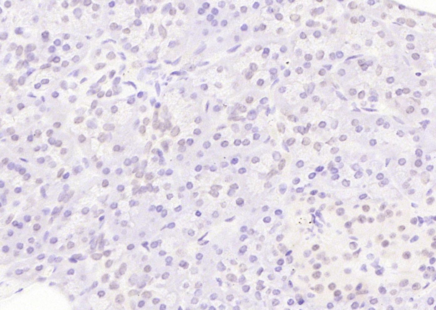
Antigen retrieval: citrate buffer ( 0.01M, pH 6.0 ), Boiling bathing for 15min; Block endogenous peroxidase by 3% Hydrogen peroxide for 30min; Blocking buffer (normal goat serum,C-0005) at 37℃ for 20 min;
Incubation: Anti-APPL1 Polyclonal Antibody, Unconjugated(bs-1632R) 1:500, overnight at 4°C, followed by conjugation to the secondary antibody(SP-0023) and DAB(C-0010) staining




风险提示:丁香通仅作为第三方平台,为商家信息发布提供平台空间。用户咨询产品时请注意保护个人信息及财产安全,合理判断,谨慎选购商品,商家和用户对交易行为负责。对于医疗器械类产品,请先查证核实企业经营资质和医疗器械产品注册证情况。
文献和实验= NAL), appears to form upon oxidative cyclization of the nonfluorescent 2:1 lysine-HNE Michael adduct-Schiff base cross-link (Scheme 1). Polyclonal antibody (PAb) to the NAL-HNE fluorophore was raised in rabbit and found to be highly specific
/96T 2000/3000 进口分装 F0021 骨成型蛋白-9(BMP-9) ELISA 48T/96T 2000/3000 进口分装 F0022 BMP-R1A ELISA 48T/96T 2000/3000 进口分装 F0023 BMP-R2 ELISA 48T/96T 2000/3000 进口分装 F0024 BTC ELISA 48T/96T 2000/3100 进口分装 F0030 CAE-Ab ELISA 96
/96T 2000/3000 进口分装 F0021 骨成型蛋白-9(BMP-9) ELISA 48T/96T 2000/3000 进口分装 F0022 BMP-R1A ELISA 48T/96T 2000/3000 进口分装 F0023 BMP-R2 ELISA 48T/96T 2000/3000 进口分装 F0024 BTC ELISA 48T/96T 2000/3100 进口分装 F0030 CAE-Ab ELISA 96
技术资料暂无技术资料 索取技术资料






