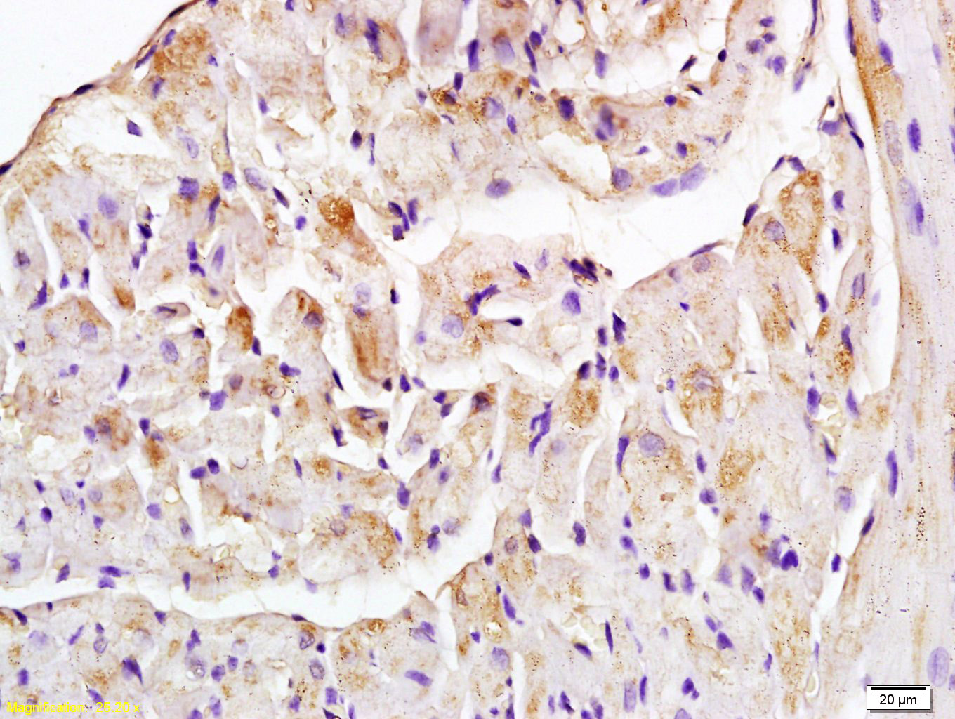
Tissue/cell: rat heart tissue; 4% Paraformaldehyde-fixed and paraffin-embedded;
Antigen retrieval: citrate buffer ( 0.01M, pH 6.0 ), Boiling bathing for 15min; Block endogenous peroxidase by 3% Hydrogen peroxide for 30min; Blocking buffer (normal goat serum,C-0005) at 37℃ for 20 min;
Incubation: Anti-TOP1mt/TOPO-I Polyclonal Antibody, Unconjugated(bs-1211R) 1:200, overnight at 4°C, followed by conjugation to the secondary antibody(SP-0023) and DAB(C-0010) staining
相关产品推荐更多 >

Vimentin Rabbit pAb, Cy7 conjugated(bs-0756R-Cy7)-100ul
¥2980
Cytokeratin 4 Rabbit pAb, PE conjugated(bs-1006R-PE)-100ul
¥2980
SULT2A1 Rabbit pAb(bs-5664R)-50ul/100ul/200ul
¥1180
CD94 Rabbit pAb, AP conjugated(bs-2521R-AP)-100ul
¥2980
Creatine kinase B type Rabbit pAb, BF555 conjugated(bs-11989R-BF555)-100ul
¥2980
万千商家帮你免费找货
0 人在求购买到急需产品
- 详细信息
- 文献和实验
- 技术资料
- 应用范围:
产品信息以Bioss网站为准
- 规格:
50ul/100ul/200ul
| 规格: | 50ul | 产品价格: | ¥1180.0 |
|---|---|---|---|
| 规格: | 100ul | 产品价格: | ¥1980.0 |
| 规格: | 200ul | 产品价格: | ¥2800.0 |
| 产品编号 | bs-1211R |
| 英文名称 | TOP1MT Rabbit pAb |
| 中文名称 | 线粒体DNA拓普西异构酶Ⅰ抗体 |
| 英文别名 | Topoisomerase(DNA) I, mitochondrial; mitochondrial DNA topoisomerase I; DNA topoisomerase I, mitochondrial; TOP1mt; 2900052H09Rik; TOP1MT; TOP1M_HUMAN; DNA topoisomerase I, mitochondrial; mitochondrial; TOP1mt; Topoisomerase I mitochondrial. |
| 产品应用 | WB=1:500-2000, IHC-P=1:100-500, IHC-F=1:100-500, IF=1:100-500 Not yet tested in other applications. |
| 交叉反应 | Human, Mouse, Rat |
| 抗体来源 | Rabbit |
| 免疫原 | KLH conjugated synthetic peptide derived from human TOP1mt |
| 亚型 | IgG |
| 性状 | Liquid |
| 纯化方法 | affinity purified by Protein A |
| 克隆类型 | Polyclonal |
| 理论分子量 | 66 kDa |
| 浓度 | 1mg/ml |
| 储存液 | 0.01M TBS (pH7.4) with 1% BSA, 0.02% Proclin300 and 50% Glycerol. |
| 研究领域 | Epigenetics and Nuclear Signaling > DNA / RNA > DNA Synthesis > Topoisomerases |
| 亚细胞定位 | Mitochondrion. |
| 组织特异性 | Ubiquitous; highest in skeletal muscle, heart, brain and fetal liver. |
| 相似性 | Belongs to the type IB topoisomerase family. |
| 功能 | Releases the supercoiling and torsional tension of DNA introduced during duplication of mitochondrial DNA by transiently cleaving and rejoining one strand of the DNA duplex. Introduces a single-strand break via transesterification at a target site in duplex DNA. The scissile phosphodiester is attacked by the catalytic tyrosine of the enzyme, resulting in the formation of a DNA-(3'-phosphotyrosyl)-enzyme intermediate and the expulsion of a 5'-OH DNA strand. The free DNA strand then undergoes passage around the unbroken strand thus removing DNA supercoils. Finally, in the religation step, the DNA 5'-OH attacks the covalent intermediate to expel the active-site tyrosine and restore the DNA phosphodiester backbone. |
| 保存条件 | Shipped at 4℃. Store at -20℃ for one year. Avoid repeated freeze/thaw cycles. |
| 注意事项 | This product as supplied is intended for research use only, not for use in human, therapeutic or diagnostic applications. |
| 背景资料 | This gene encodes a mitochondrial DNA topoisomerase that plays a role in the modification of DNA topology. The encoded protein is a type IB topoisomerase and catalyzes the transient breaking and rejoining of DNA to relieve tension and DNA supercoiling generated in the mitochondrial genome during replication and transcription. Alternatively spliced transcript variants encoding multiple isoforms have been observed for this gene. [provided by RefSeq, May 2012]. |
| 应用 | 推荐稀释比例 |
| {WB} | {1:500-2000} |
| {IHC-P} | {1:100-500} |
| {IHC-F} | {1:100-500} |
| {IF} | {1:100-500} |


Sample:
HepG2 Cell Lysate at 40 ug
Muscle (Mouse) Lysate at 40 ug
Primary: Anti-TOP1MT (bs-1211R) at 1/300 dilution
Secondary: IRDye800CW Goat Anti-Rabbit IgG at 1/20000 dilution
Predicted band size: 66 kD
Observed band size: 66 kD
HepG2 Cell Lysate at 40 ug
Muscle (Mouse) Lysate at 40 ug
Primary: Anti-TOP1MT (bs-1211R) at 1/300 dilution
Secondary: IRDye800CW Goat Anti-Rabbit IgG at 1/20000 dilution
Predicted band size: 66 kD
Observed band size: 66 kD

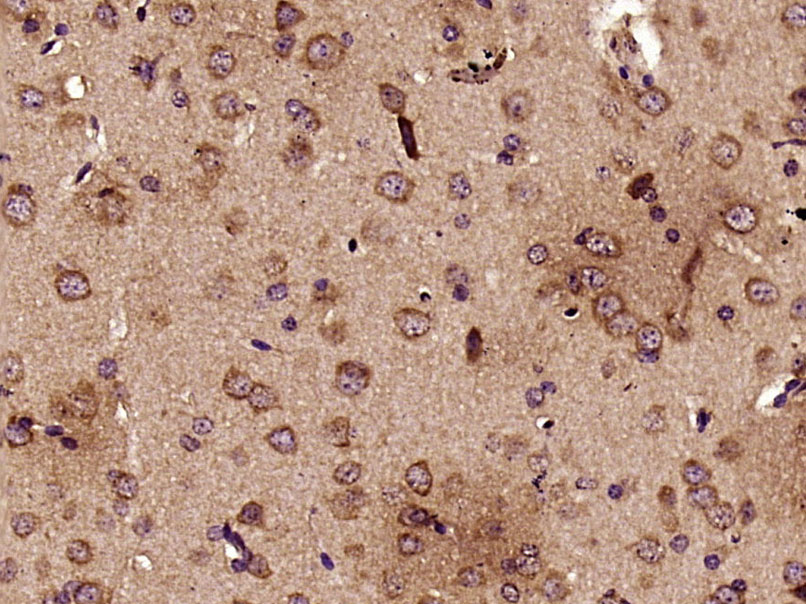
Paraformaldehyde-fixed, paraffin embedded (Mouse brain); Antigen retrieval by boiling in sodium citrate buffer (pH6.0) for 15min; Block endogenous peroxidase by 3% hydrogen peroxide for 20 minutes; Blocking buffer (normal goat serum) at 37°C for 30min; Antibody incubation with (TOP1MT) Polyclonal Antibody, Unconjugated (bs-1211R) at 1:500 overnight at 4°C, followed by a conjugated secondary (sp-0023) for 20 minutes and DAB staining.
风险提示:丁香通仅作为第三方平台,为商家信息发布提供平台空间。用户咨询产品时请注意保护个人信息及财产安全,合理判断,谨慎选购商品,商家和用户对交易行为负责。对于医疗器械类产品,请先查证核实企业经营资质和医疗器械产品注册证情况。
文献和实验该产品被引用文献
[IF={{ 11.561 }}] {Hangas et al. Ciprofloxacin impairs mitochondrial DNA replication initiation through inhibition of Topoisomerase 2. (2018) Nucleic.Acids.Res. 46:9625-9636} {WB} {Mouse}
技术资料暂无技术资料 索取技术资料
文献支持
TOP1MT Rabbit pAb(bs-1211R)-50ul/100ul/200ul
¥1180 - 2800





