相关产品推荐更多 >
万千商家帮你免费找货
0 人在求购买到急需产品
- 详细信息
- 询价记录
- 文献和实验
- 技术资料
- 应用范围:
产品信息以Bioss网站为准
- 规格:
50ul/100ul/200ul
| 规格: | 50ul | 产品价格: | ¥1180.0 |
|---|---|---|---|
| 规格: | 100ul | 产品价格: | ¥1980.0 |
| 规格: | 200ul | 产品价格: | ¥2800.0 |
| 产品编号 | bs-2432R |
| 英文名称 | ATG7/APG7 Rabbit pAb |
| 中文名称 | 自噬相关蛋白7抗体 |
| 英文别名 | Apg 7; APG7 autophagy 7 like; APG7 autophagy 7-like(S. cerevisiae); APG7 like; APG7, S. cerevisiae, homolog of; APG7L; ATG 7; atg7; ATG7 autophagy related 7 homolog(S. cerevisiae); ATG7 autophagy related 7 homolog; Atg7l; Autophagy 7, S. cerevisiae, homolog of; Autophagy related protein 7; Autophagy-related 7(yeast); DKFZp434N0735; GSA 7; GSA7; hAGP7; Ubiquitin activating enzyme E1 like protein; ATG7_HUMAN. |
| 产品应用 | WB=1:500-2000, IHC-P=1:100-500, IHC-F=1:100-500, IF=1:100-500 Not yet tested in other applications. |
| 交叉反应 | Human, Mouse (Rat, Chicken, Dog, Pig, Cow, Horse) |
| 抗体来源 | Rabbit |
| 免疫原 | KLH conjugated synthetic peptide derived from human ATG7 |
| 亚型 | IgG |
| 性状 | Liquid |
| 纯化方法 | affinity purified by Protein A |
| 克隆类型 | Polyclonal |
| 理论分子量 | 78 kDa |
| 浓度 | 1mg/ml |
| 储存液 | 0.01M TBS (pH7.4) with 1% BSA, 0.02% Proclin300 and 50% Glycerol. |
| 研究领域 | Cancer > Cell Death > Autophagy > APG gene products Cancer > Cell Death > Autophagy > Signal Transduction Cancer > Signal transduction > Autophagy Cardiovascular > Heart > Autophagy > APG gene products Cell Biology > Apoptosis > Intracellular > Associated Proteins Cell Biology > Proteolysis / Ubiquitin > Proteasome / Ubiquitin > Ub-like Proteins Metabolism > Pathways and Processes > Metabolic signaling pathways > Energy transfer pathways > Energy Metabolism Metabolism > Pathways and Processes > Metabolism processes > Autophagy and mitophagy Metabolism > Pathways and Processes > Metabolism processes > Autophagy and mitophagy > APG gene products Metabolism > Pathways and Processes > Mitochondrial Metabolism > Mitophagy fission and fusion Metabolism > Types of disease > Cancer Signal Transduction > Metabolism > Energy Metabolism |
| 亚基 | Homodimer. Interacts with ATG3 and ATG12. The complex, composed of ATG3 and ATG7, plays a role in the conjugation of ATG12 to ATG5. |
| 亚细胞定位 | Cytoplasm (Probable). |
| 组织特异性 | Widely expressed, especially in kidney, liver, lymph nodes and bone marrow. |
| 相似性 | Belongs to the ATG7 family. |
| 功能 | Functions as an E1 enzyme essential for multisubstrates such as ATG8-like proteins and ATG12. Forms intermediate conjugates with ATG8-like proteins (GABARAP, GABARAPL1, GABARAPL2 or MAP1LC3A). PE-conjugation to ATG8-like proteins is essential for autophagy. Also acts as an E1 enzyme for ATG12 conjugation to ATG5 and ATG3. |
| 保存条件 | Shipped at 4℃. Store at -20℃ for one year. Avoid repeated freeze/thaw cycles. |
| 注意事项 | This product as supplied is intended for research use only, not for use in human, therapeutic or diagnostic applications. |
| 背景资料 | This gene was identified based on homology to Pichia pastoris GSA7 and Saccharomyces cerevisiae APG7. In the yeast, the protein appears to be required for fusion of peroxisomal and vacuolar membranes. The protein shows homology to the ATP-binding and catalytic sites of the E1 ubiquitin activating enzymes. [provided by RefSeq, Jan 2009]. |
| 应用 | 推荐稀释比例 |
| {WB} | {1:500-2000} |
| {IHC-P} | {1:100-500} |
| {IHC-F} | {1:100-500} |
| {IF} | {1:100-500} |

Jurkat(Human) Cell Lysate at 30 ug
Primary: Anti-APG7 (bs-2432R) at 1/1000 dilution
Secondary: IRDye800CW Goat Anti-Rabbit IgG at 1/20000 dilution
Predicted band size: 75 kD
Observed band size: 85 kD

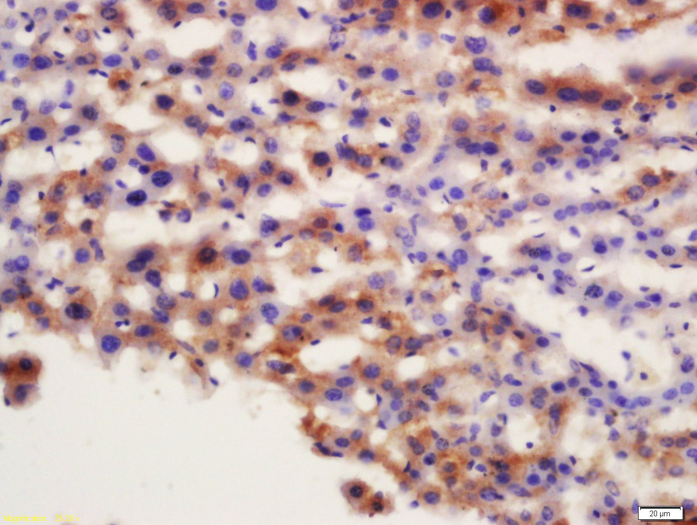
Antigen retrieval: citrate buffer ( 0.01M, pH 6.0 ), Boiling bathing for 15min; Block endogenous peroxidase by 3% Hydrogen peroxide for 30min; Blocking buffer (normal goat serum,C-0005) at 37℃ for 20 min;
Incubation: Anti-APG7 Polyclonal Antibody, Unconjugated(bs-2432R) 1:200, overnight at 4°C, followed by conjugation to the secondary antibody(SP-0023) and DAB(C-0010) staining
风险提示:丁香通仅作为第三方平台,为商家信息发布提供平台空间。用户咨询产品时请注意保护个人信息及财产安全,合理判断,谨慎选购商品,商家和用户对交易行为负责。对于医疗器械类产品,请先查证核实企业经营资质和医疗器械产品注册证情况。
- 作者
- 内容
- 询问日期
文献和实验[IF={{ 5.1 }}] {Dong, Qianqian, et al. "Tetrahydroxystilbene Glycoside Improves Microvascular Endothelial Dysfunction and Ameliorates Obesity-Associated Hypertension in Obese ZDF Rats Via Inhibition of Endothelial Autophagy." Cellular Physiology and Biochemistry 43.1 (2017): 293-307.} {WB} {="Rat"}
[IF={{ 3.743 }}] {Lou L et al. MiRNA-192-5p attenuates airway remodeling and autophagy in asthma by targeting MMP-16 and ATG7. Biomed Pharmacother. 2020 Feb;122:109692.} {WB} {Mouse}
[IF={{ 3.4 }}] {Zhao Geng. et al. ADAMTS5 promotes neovascularization via autophagic degradation of PEDF in proliferative diabetic retinopathy. EXP EYE RES. 2023 Sep;234:109597} {WB} {Mouse,Human}
[IF={{ 3.115 }}] {Pengfei Zhang. et al. The Effects of Ginkgo biloba Extract on Autophagy in Human Macrophages Stimulated by Cigarette Smoke Extract. FRONT BIOSCI-LANDMRK. 2023 Mar;28(3):50} {WB} {Human}
[IF={{ 2.742 }}] {Liu, Yanrong. et al. Cinnamaldehyde affects lipid droplets metabolism after adipogenic differentiation of C2C12 cells. MOL BIOL REP. 2022 Dec;:1-7} {WB} {Mouse}
技术资料暂无技术资料 索取技术资料








