相关产品推荐更多 >

Vimentin Rabbit pAb, PE-Cy7 conjugated(bs-0756R-PE-Cy7)-100ul
¥2980
Oct-3/Oct-4 Rabbit pAb, PE-Cy5.5 conjugated(bs-1111R-PE-Cy5.5)-100ul
¥2980
phospho-14-3-3 theta (Ser232) Rabbit pAb, PE conjugated(bs-13774R-PE)-100ul
¥2980
Adenosine deaminase Rabbit pAb, FITC conjugated(bs-6654R-FITC)-100ul
¥2980
IGSF8 Rabbit pAb, PE conjugated(bs-2584R-PE)-100ul
¥2980
万千商家帮你免费找货
0 人在求购买到急需产品
- 详细信息
- 技术资料
- 应用范围:
产品信息以Bioss网站为准
- 规格:
50ul/100ul/200ul
| 规格: | 50ul | 产品价格: | ¥1180.0 |
|---|---|---|---|
| 规格: | 100ul | 产品价格: | ¥1980.0 |
| 规格: | 200ul | 产品价格: | ¥2800.0 |
| 产品编号 | bs-4940R |
| 英文名称 | Metallothionein 3 Rabbit pAb |
| 中文名称 | 金属硫蛋白3抗体 |
| 英文别名 | Mt3; Mt-3; Mt 3; GIFB; GRIF; Metallothionein III; GIF; Growth inhibitory factor; Metallothionein3; Metallothionein-3; Metallothionein-III; MT-III; MT III; MT3_HUMAN. |
| 产品应用 | IHC-P=1:100-500, IHC-F=1:100-500, IF=1:100-500, Flow-Cyt=0.2ug/test Not yet tested in other applications. |
| 交叉反应 | Human, Mouse, Rat (Dog, Cow, Horse, Rabbit) |
| 抗体来源 | Rabbit |
| 免疫原 | KLH conjugated synthetic peptide derived from human Metallothionein 3 |
| 亚型 | IgG |
| 性状 | Liquid |
| 纯化方法 | affinity purified by Protein A |
| 克隆类型 | Polyclonal |
| 理论分子量 | 7.5 kDa |
| 浓度 | 1mg/ml |
| 储存液 | 0.01M TBS (pH7.4) with 1% BSA, 0.02% Proclin300 and 50% Glycerol. |
| 研究领域 | Cancer > Cancer Metabolism > Cellular metabolic process Cancer > Cancer Metabolism > Response to hypoxia Cell Biology > Other Antibodies > Oxidative Stress Metabolism > Pathways and Processes > Metabolism processes > Hypoxia Metabolism > Pathways and Processes > Redox metabolism > Oxidative stress Neuroscience > Neurology process > Growth and Development > Neurotrophins |
| 组织特异性 | Abundant in a subset of astrocytes in the normal human brain, but greatly reduced in the Alzheimer disease (AD) brain. |
| 相似性 | Belongs to the metallothionein superfamily. Type 1 family. |
| 保存条件 | Shipped at 4℃. Store at -20℃ for one year. Avoid repeated freeze/thaw cycles. |
| 注意事项 | This product as supplied is intended for research use only, not for use in human, therapeutic or diagnostic applications. |
| 背景资料 | MT3, Metallothionein 3, binds heavy metals. It contains three zinc and three copper atoms per polypeptide chain and only a negligible amount of cadmium. MT3 inhibits survival and neurite formation of cortical neurons in vitro. |
| 应用 | 推荐稀释比例 |
| {IHC-P} | {1:100-500} |
| {IHC-F} | {1:100-500} |
| {IF} | {1:100-500} |
| {Flow-Cyt} | {0.2ug/test} |

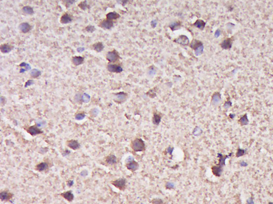
Paraformaldehyde-fixed, paraffin embedded (Mouse brain); Antigen retrieval by boiling in sodium citrate buffer (pH6.0) for 15min; Block endogenous peroxidase by 3% hydrogen peroxide for 20 minutes; Blocking buffer (normal goat serum) at 37°C for 30min; Antibody incubation with (Metallothionein 3) Polyclonal Antibody, Unconjugated (bs-4940R) at 1:400 overnight at 4°C, followed by operating according to SP Kit(Rabbit) (sp-0023) instructions and DAB staining.

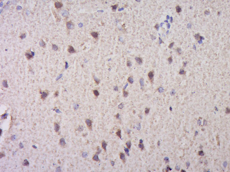
Paraformaldehyde-fixed, paraffin embedded (Rat brain); Antigen retrieval by boiling in sodium citrate buffer (pH6.0) for 15min; Block endogenous peroxidase by 3% hydrogen peroxide for 20 minutes; Blocking buffer (normal goat serum) at 37°C for 30min; Antibody incubation with (Metallothionein 3) Polyclonal Antibody, Unconjugated (bs-4940R) at 1:400 overnight at 4°C, followed by operating according to SP Kit(Rabbit) (sp-0023) instructions and DAB staining.

Blank control:A549.
Primary Antibody (green line): Rabbit Anti-Metallothionein 3 antibody (bs-4940R)
Dilution: 1μg /10^6 cells;
Isotype Control Antibody (orange line): Rabbit IgG .
Secondary Antibody : Goat anti-rabbit IgG-PE
Dilution:0.2μg /test.
Protocol
The cells were fixed with 4% PFA (10min at room temperature)and then permeabilized with 20% PBST for 20 min at room temperature. The cells were then incubated in 5% BSA to block non-specific protein-protein interactions for 30 min at at room temperature .Cells stained with Primary Antibody for 30 min at room temperature. The secondary antibody used for 40 min at room temperature. Acquisition of 20,000 events was performed.
Primary Antibody (green line): Rabbit Anti-Metallothionein 3 antibody (bs-4940R)
Dilution: 1μg /10^6 cells;
Isotype Control Antibody (orange line): Rabbit IgG .
Secondary Antibody : Goat anti-rabbit IgG-PE
Dilution:0.2μg /test.
Protocol
The cells were fixed with 4% PFA (10min at room temperature)and then permeabilized with 20% PBST for 20 min at room temperature. The cells were then incubated in 5% BSA to block non-specific protein-protein interactions for 30 min at at room temperature .Cells stained with Primary Antibody for 30 min at room temperature. The secondary antibody used for 40 min at room temperature. Acquisition of 20,000 events was performed.
风险提示:丁香通仅作为第三方平台,为商家信息发布提供平台空间。用户咨询产品时请注意保护个人信息及财产安全,合理判断,谨慎选购商品,商家和用户对交易行为负责。对于医疗器械类产品,请先查证核实企业经营资质和医疗器械产品注册证情况。
技术资料暂无技术资料 索取技术资料
Metallothionein 3 Rabbit pAb(bs-4940R)-50ul/100ul/200ul
¥1180 - 2800






