相关产品推荐更多 >

SNAI2 Rabbit pAb, PerCP conjugated(bs-1382R-PerCP)-100ul
¥2980
Connexin 26 Rabbit pAb(bs-21812R)-50ul/100ul/200ul
¥1180
DOK5 Rabbit pAb, APC-Cy5.5 conjugated(bs-8587R-APC-Cy5.5)-100ul
¥2980
Uteroglobin Recombinant Rabbit mAb(bsm-54221R)-50ul/100ul
¥1400
Ribonuclease Inhibitor Rabbit pAb, PerCP conjugated(bs-7518R-PerCP)-100ul
¥2980
万千商家帮你免费找货
0 人在求购买到急需产品
- 详细信息
- 文献和实验
- 技术资料
- 应用范围:
产品信息以Bioss网站为准
- 规格:
50ul/100ul/200ul
| 规格: | 50ul | 产品价格: | ¥1180.0 |
|---|---|---|---|
| 规格: | 100ul | 产品价格: | ¥1980.0 |
| 规格: | 200ul | 产品价格: | ¥2800.0 |
| 产品编号 | bs-2599R |
| 英文名称 | DDB2 Rabbit pAb |
| 中文名称 | DNA损伤结合蛋白2抗体 |
| 英文别名 | damage-specific DNA binding protein 2; Damage-specific DNA-binding protein 2; DDB p48 subunit; Ddb2; DDB2_HUMAN; DDBb; DNA damage-binding protein 2; UV-damaged DNA-binding protein 2; UV-DDB 2. |
| 产品应用 | WB=1:500-2000, IHC-P=1:100-500, IHC-F=1:100-500, IF=1:100-500 Not yet tested in other applications. |
| 交叉反应 | Mouse, Rat (Human, Cow, Horse, Rabbit) |
| 抗体来源 | Rabbit |
| 免疫原 | KLH conjugated synthetic peptide derived from human DDB2 |
| 亚型 | IgG |
| 性状 | Liquid |
| 纯化方法 | affinity purified by Protein A |
| 克隆类型 | Polyclonal |
| 理论分子量 | 48 kDa |
| 浓度 | 1mg/ml |
| 储存液 | 0.01M TBS (pH7.4) with 1% BSA, 0.02% Proclin300 and 50% Glycerol. |
| 研究领域 | Epigenetics and Nuclear Signaling > DNA / RNA > DNA Damage & Repair > Nucl. Excision Repair |
| 亚基 | Component of the UV-DDB complex which includes DDB1 and DDB2. The UV-DDB complex interacts with monoubiquitinated histone H2A and binds to XPC via the DDB2 subunit. Component of the DCX (DDB1-CUL4-X-box) E3 ubiquitin-protein ligase complex DDB1-CUL4-ROC1 (also known as CUL4-DDB-ROC1 and CUL4-DDB-RBX1), which includes CUL4A or CUL4B, DDB1, DDB2 and RBX1. DDB2 may function as the substrate recognition module within this complex. The DDB1-CUL4-ROC1 complex may associate with the COP9 signalosome, and this inhibits the E3 ubiquitin-protein ligase activity of the complex. A large number of other DCX complexes may also exist in which an alternate substrate targeting subunit replaces DDB2. These targeting subunits are generally known as DCAF (DDB1- and CUL4-associated factor) or CDW (CUL4-DDB1-associated WD40-repeat) proteins. Isoform D1 and isoform D2 do not interact with DDB1. |
| 亚细胞定位 | Nucleus. Note=Accumulates at sites of DNA damage following UV irradiation. |
| 组织特异性 | Ubiquitously expressed; with highest levels in corneal endothelium and lowest levels in brain. Isoform D1 is highly expressed in brain and heart. Isoform D2, isoform D3 and isoform D4 are weakly expressed. |
| 翻译后修饰 | Phosphorylation by ABL1 negatively regulate UV-DDB activity (By similarity). Ubiquitinated by CUL4A in response to UV irradiation. Ubiquitination appears to both impair DNA-binding and promotes ubiquitin-dependent proteolysis. Degradation of DDB2 at sites of DNA damage may be a prerequisite for their recognition by XPC and subsequent repair. CUL4A-mediated degradation appears to be promoted by ABL1. |
| 相似性 | Belongs to the WD repeat DDB2/WDR76 family. Contains 7 WD repeats. |
| 功能 | Required for DNA repair. Binds to DDB1 to form the UV-damaged DNA-binding protein complex (the UV-DDB complex). The UV-DDB complex may recognize UV-induced DNA damage and recruit proteins of the nucleotide excision repair pathway (the NER pathway) to initiate DNA repair. The UV-DDB complex preferentially binds to cyclobutane pyrimidine dimers (CPD), 6-4 photoproducts (6-4 PP), apurinic sites and short mismatches. Also appears to function as the substrate recognition module for the DCX (DDB1-CUL4-X-box) E3 ubiquitin-protein ligase complex DDB1-CUL4-ROC1 (also known as CUL4-DDB-ROC1 and CUL4-DDB-RBX1). The DDB1-CUL4-ROC1 complex may ubiquitinate histone H2A, histone H3 and histone H4 at sites of UV-induced DNA damage. The ubiquitination of histones may facilitate their removal from the nucleosome and promote subsequent DNA repair. The DDB1-CUL4-ROC1 complex also ubiquitinates XPC, which may enhance DNA-binding by XPC and promote NER. Isoform D1 and isoform D2 inhibit UV-damaged DNA repair. |
| 保存条件 | Shipped at 4℃. Store at -20℃ for one year. Avoid repeated freeze/thaw cycles. |
| 注意事项 | This product as supplied is intended for research use only, not for use in human, therapeutic or diagnostic applications. |
| 背景资料 | This gene encodes a protein that is necessary for the repair of ultraviolet light-damaged DNA. This protein is the smaller subunit of a heterodimeric protein complex that participates in nucleotide excision repair, and this complex mediates the ubiquitylation of histones H3 and H4, which facilitates the cellular response to DNA damage. This subunit appears to be required for DNA binding. Mutations in this gene cause xeroderma pigmentosum complementation group E, a recessive disease that is characterized by an increased sensitivity to UV light and a high predisposition for skin cancer development, in some cases accompanied by neurological abnormalities. [provided by RefSeq]. |
| 应用 | 推荐稀释比例 |
| {WB} | {1:500-2000} |
| {IHC-P} | {1:100-500} |
| {IHC-F} | {1:100-500} |
| {IF} | {1:100-500} |

Liver (Mouse) Lysate at 40 ug
Primary: Anti- DDB2 (bs-2599R) at 1/300 dilution
Secondary: IRDye800CW Goat Anti-Rabbit IgG at 1/20000 dilution
Predicted band size: 48 kD
Observed band size: 48 kD

SP2/0(Human) Cell Lysate at 30 ug
Primary: Anti- DDB2 (bs-2599R) at 1/300 dilution
Secondary: IRDye800CW Goat Anti-Rabbit IgG at 1/20000 dilution
Predicted band size: 48 kD
Observed band size: 48 kD

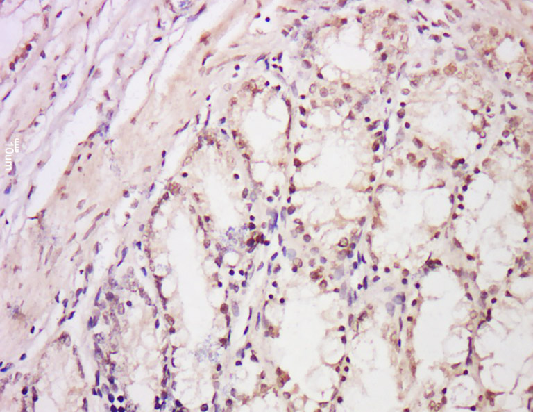
Antigen retrieval: citrate buffer ( 0.01M, pH 6.0 ), Boiling bathing for 15min; Block endogenous peroxidase by 3% Hydrogen peroxide for 30min; Blocking buffer (normal goat serum,C-0005) at 37℃ for 20 min;
Incubation: Anti-DDB2 Polyclonal Antibody, Unconjugated(bs-2599R) 1:200, overnight at 4°C, followed by conjugation to the secondary antibody(SP-0023) and DAB(C-0010) staining
风险提示:丁香通仅作为第三方平台,为商家信息发布提供平台空间。用户咨询产品时请注意保护个人信息及财产安全,合理判断,谨慎选购商品,商家和用户对交易行为负责。对于医疗器械类产品,请先查证核实企业经营资质和医疗器械产品注册证情况。
文献和实验= NAL), appears to form upon oxidative cyclization of the nonfluorescent 2:1 lysine-HNE Michael adduct-Schiff base cross-link (Scheme 1). Polyclonal antibody (PAb) to the NAL-HNE fluorophore was raised in rabbit and found to be highly specific
GE Healthcare Benzamidine Sepharose™ 6B is p-aminobenzamidine covalently attached to Sepharose 6B by the epoxy coupling method. p-Aminobenzamidine (PAB), is a synthetic inhibitor of trypsin-like serine protease. Trypsin and trypsin
Nucleic Acid Programmable Protein Arrays: Versatile Tools for Array‐Based Functional Protein Studies
.g., Sigma) 50 mg/ml bis‐sulfosuccinimdylsuberate (BS3 ;Pierce, cat. no. PI 21580) in dimethylsulfoxide (DMSO) 5 mg/ml
技术资料暂无技术资料 索取技术资料





