相关产品推荐更多 >
万千商家帮你免费找货
0 人在求购买到急需产品
- 详细信息
- 文献和实验
- 技术资料
- 应用范围:
产品信息以Bioss网站为准
- 规格:
50ul/100ul/200ul
| 规格: | 50ul | 产品价格: | ¥1180.0 |
|---|---|---|---|
| 规格: | 100ul | 产品价格: | ¥1980.0 |
| 规格: | 200ul | 产品价格: | ¥2800.0 |
| 产品编号 | bs-3069R |
| 英文名称 | phospho-BTK (Tyr223) Rabbit pAb |
| 中文名称 | 磷酸化酪氨酸蛋白激酶BTK抗体 |
| 英文别名 | BTK(phospho Y223); p-BTK(phospho Y223); Agammaglobulinaemia tyrosine kinase; AGMX 1; AGMX1; AT; ATK; B cell progenitor kinase; B-cell progenitor kinase; BPK; Bruton agammaglobulinemia tyrosine kinase; Bruton tyrosine kinase; Bruton’s Tyrosine Kinase; Btk; BTK_HUMAN; IMD 1; IMD1; MGC126261; MGC126262; OTTHUMP00000063593; PSCTK 1; PSCTK1; Tyrosine protein kinase BTK; Tyrosine-protein kinase BTK; XLA. |
| 产品应用 | IHC-P=1:100-500, IHC-F=1:100-500, IF=1:100-500, Flow-Cyt=1ug/test, ELISA=1:5000-10000 Not yet tested in other applications. |
| 交叉反应 | Human, Mouse, Rabbit (Rat, Pig, Cow, Horse) |
| 抗体来源 | Rabbit |
| 免疫原 | KLH conjugated Synthesised phosphopeptide derived from human Btk around the phosphorylation site of Tyr223 |
| 亚型 | IgG |
| 性状 | Liquid |
| 纯化方法 | affinity purified by Protein A |
| 克隆类型 | Polyclonal |
| 理论分子量 | 76 kDa |
| 浓度 | 1mg/ml |
| 储存液 | 0.01M TBS (pH7.4) with 1% BSA, 0.02% Proclin300 and 50% Glycerol. |
| 研究领域 | Immunology > Innate Immunity > TLR Signaling Signal Transduction > Protein Phosphorylation > Tyrosine Kinases |
| 亚基 | Binds GTF2I through the PH domain. Interacts with SH3BP5 via the SH3 domain. Interacts with IBTK via its PH domain. Interacts with ARID3A, CAV1, FASLG, PIN1, TLR8 and TLR9. |
| 亚细胞定位 | Cytoplasm. Cell membrane; Peripheral membrane protein. Nucleus. Note=In steady state, BTK is predominantly cytosolic. Following B-cell receptor (BCR) engagement by antigen, translocates to the plasma membrane through its PH domain. Plasma membrane localization is a critical step in the activation of BTK. A fraction of BTK also shuttles between the nucleus and the cytoplasm, and nuclear export is mediated by the nuclear export receptor CRM1. |
| 组织特异性 | Predominantly expressed in B lymphocytes. |
| 翻译后修饰 | Following B-cell receptor (BCR) engagement, translocates to the plasma membrane where it gets phosphorylated at Tyr-551 by LYN and SYK. Phosphorylation at Tyr-551 is followed by autophosphorylation of Tyr-223 which may create a docking site for a SH2 containing protein. Phosphorylation at Ser-180 by PRKCB, leads in translocation of BTK back to the cytoplasmic fraction. Phosphorylation at Ser-21 and Ser-115 creates a binding site for PIN1 at these Ser-Pro motifs, and promotes it's recruitment. |
| 相似性 | Belongs to the protein kinase superfamily. Tyr protein kinase family. TEC subfamily. Contains 1 Btk-type zinc finger. Contains 1 PH domain. Contains 1 protein kinase domain. Contains 1 SH2 domain. Contains 1 SH3 domain. |
| 功能 | Non-receptor tyrosine kinase indispensable for B lymphocyte development, differentiation and signaling. Binding of antigen to the B-cell antigen receptor (BCR) triggers signaling that ultimately leads to B-cell activation. After BCR engagement and activation at the plasma membrane, phosphorylates PLCG2 at several sites, igniting the downstream signaling pathway through calcium mobilization, followed by activation of the protein kinase C (PKC) family members. PLCG2 phosphorylation is performed in close cooperation with the adapter protein B-cell linker protein BLNK. BTK acts as a platform to bring together a diverse array of signaling proteins and is implicated in cytokine receptor signaling pathways. Plays an important role in the function of immune cells of innate as well as adaptive immunity, as a component of the Toll-like receptors (TLR) pathway. The TLR pathway acts as a primary surveillance system for the detection of pathogens and are crucial to the activation of host defense. Especially, is a critical molecule in regulating TLR9 activation in splenic B-cells. Within the TLR pathway, induces tyrosine phosphorylation of TIRAP which leads to TIRAP degradation. BTK plays also a critical role in transcription regulation. Induces the activity of NF-kappa-B, which is involved in regulating the expression of hundreds of genes. BTK is involved on the signaling pathway linking TLR8 and TLR9 to NF-kappa-B. Transiently phosphorylates transcription factor GTF2I on tyrosine residues in response to BCR. GTF2I then translocates to the nucleus to bind regulatory enhancer elements to modulate gene expression. ARID3A and NFAT are other transcriptional target of BTK. BTK is required for the formation of functional ARID3A DNA-binding complexes. There is however no evidence that BTK itself binds directly to DNA. BTK has a dual role in the regulation of apoptosis. |
| 保存条件 | Shipped at 4℃. Store at -20℃ for one year. Avoid repeated freeze/thaw cycles. |
| 注意事项 | This product as supplied is intended for research use only, not for use in human, therapeutic or diagnostic applications. |
| 背景资料 | Brutons tyrosine kinase (BTK) is a member of the BTK/Tec family of cytoplasmic tyrosine kinases. Like other BTK family members, it contains a pleckstrin homology (PH) domain, Src homology SH3 and SH2 domains. BTK plays an important role in B cell development. Activation of B cells by various ligands is accompanied by BTK membrane translocation mediated by its PH domain binding to phosphatidylinositol-3,4,5-trisphosphate. The membrane located BTK is active and associated with transient phosphorylation of two tyrosine residues, Tyr551 and Tyr223. Tyr551 in the activation loop is transphosphorylated by the Src family tyrosine kinase, leading to autophosphorylation at Tyr223 within the SH3 domain, which is necessary for full activation. The activation of BTK is negatively regulated by PKC beta through phosphorylation of BTK at Ser180, which results in reduced membrane recruitment, transphosphorylation and subsequent activation. The PKC/BTK inhibitory signal is likely to be a key determinant of the B cell receptor signaling threshold to maintain optimal BTK activity. |
| 应用 | 推荐稀释比例 |
| {IHC-P} | {1:100-500} |
| {IHC-F} | {1:100-500} |
| {IF} | {1:100-500} |
| {Flow-Cyt} | {1ug/test} |
| {ELISA} | {1:5000-10000} |

phosphopeptide
non phosphopeptide

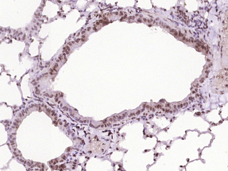
Paraformaldehyde-fixed, paraffin embedded (Mouse lung); Antigen retrieval by boiling in sodium citrate buffer (pH6.0) for 15min; Block endogenous peroxidase by 3% hydrogen peroxide for 20 minutes; Blocking buffer (normal goat serum) at 37°C for 30min; Antibody incubation with (Phospho-BTK (Tyr223)) Polyclonal Antibody, Unconjugated (bs-3069R) at 1:400 overnight at 4°C, followed by operating according to SP Kit(Rabbit) (sp-0023) instructions and DAB staining.

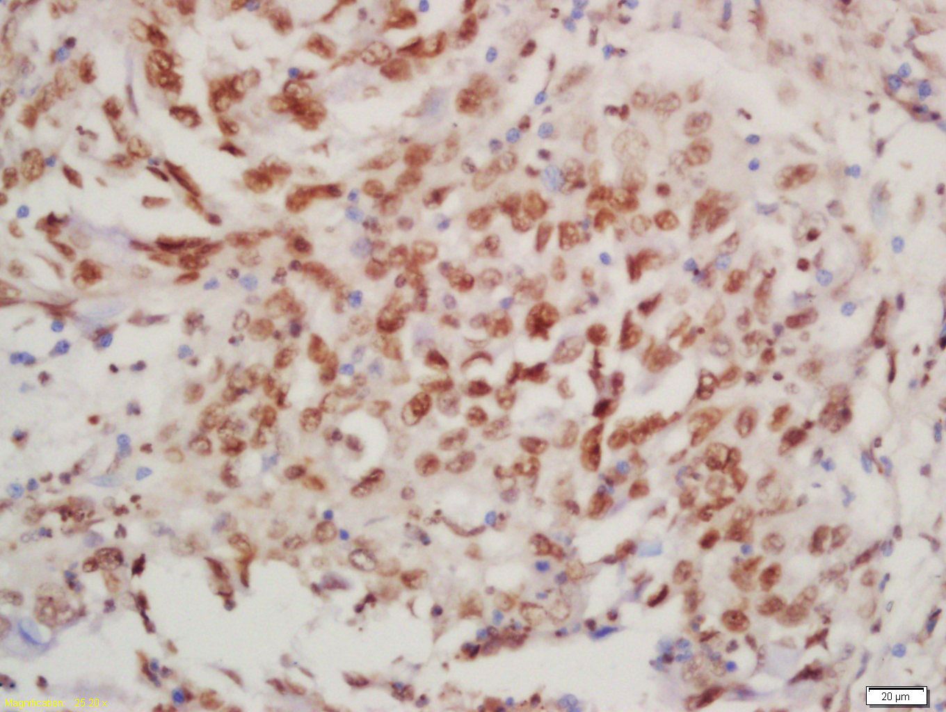
Tissue/cell: human lung carcinoma; 4% Paraformaldehyde-fixed and paraffin-embedded;
Antigen retrieval: citrate buffer ( 0.01M, pH 6.0 ), Boiling bathing for 15min; Block endogenous peroxidase by 3% Hydrogen peroxide for 30min; Blocking buffer (normal goat serum,C-0005) at 37℃ for 20 min;
Incubation: Anti-Phospho-BTK (Tyr223) Polyclonal Antibody, Unconjugated(bs-3069R) 1:200, overnight at 4°C, followed by conjugation to the secondary antibody(SP-0023) and DAB(C-0010) staining
Antigen retrieval: citrate buffer ( 0.01M, pH 6.0 ), Boiling bathing for 15min; Block endogenous peroxidase by 3% Hydrogen peroxide for 30min; Blocking buffer (normal goat serum,C-0005) at 37℃ for 20 min;
Incubation: Anti-Phospho-BTK (Tyr223) Polyclonal Antibody, Unconjugated(bs-3069R) 1:200, overnight at 4°C, followed by conjugation to the secondary antibody(SP-0023) and DAB(C-0010) staining

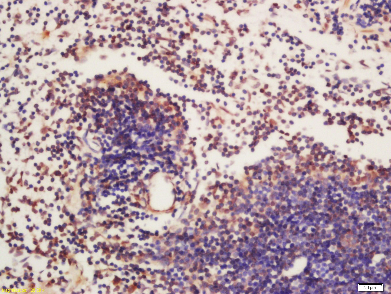
Tissue/cell: mouse spleen tissue; 4% Paraformaldehyde-fixed and paraffin-embedded;
Antigen retrieval: citrate buffer ( 0.01M, pH 6.0 ), Boiling bathing for 15min; Block endogenous peroxidase by 3% Hydrogen peroxide for 30min; Blocking buffer (normal goat serum,C-0005) at 37℃ for 20 min;
Incubation: Anti-Phospho-BTK (Tyr223) Polyclonal Antibody, Unconjugated(bs-3069R) 1:200, overnight at 4°C, followed by conjugation to the secondary antibody(SP-0023) and DAB(C-0010) staining
Antigen retrieval: citrate buffer ( 0.01M, pH 6.0 ), Boiling bathing for 15min; Block endogenous peroxidase by 3% Hydrogen peroxide for 30min; Blocking buffer (normal goat serum,C-0005) at 37℃ for 20 min;
Incubation: Anti-Phospho-BTK (Tyr223) Polyclonal Antibody, Unconjugated(bs-3069R) 1:200, overnight at 4°C, followed by conjugation to the secondary antibody(SP-0023) and DAB(C-0010) staining

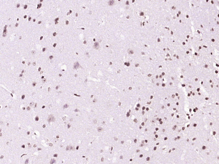
Paraformaldehyde-fixed, paraffin embedded (Mouse brain); Antigen retrieval by boiling in sodium citrate buffer (pH6.0) for 15min; Block endogenous peroxidase by 3% hydrogen peroxide for 20 minutes; Blocking buffer (normal goat serum) at 37°C for 30min; Antibody incubation with (Phospho-BTK (Tyr223)) Polyclonal Antibody, Unconjugated (bs-3069R) at 1:400 overnight at 4°C, followed by operating according to SP Kit(Rabbit) (sp-0023) instructions and DAB staining.

U-937 cells were fixed with 4% PFA for 10min at room temperature,permeabilized with 90% ice-cold methanol for 20 min at room temperature, and incubated in 5% BSA blocking buffer for 30 min at room temperature. Cells were then stained with Phospho-BTK (Tyr223) Antibody(bs-3069R)at 1:100 dilution in blocking buffer and incubated for 30 min at room temperature, washed twice with 2%BSA in PBS, followed by secondary antibody incubation for 40 min at room temperature. Acquisitions of 20,000 events were performed. Cells stained with primary antibody (green), and isotype control (orange).

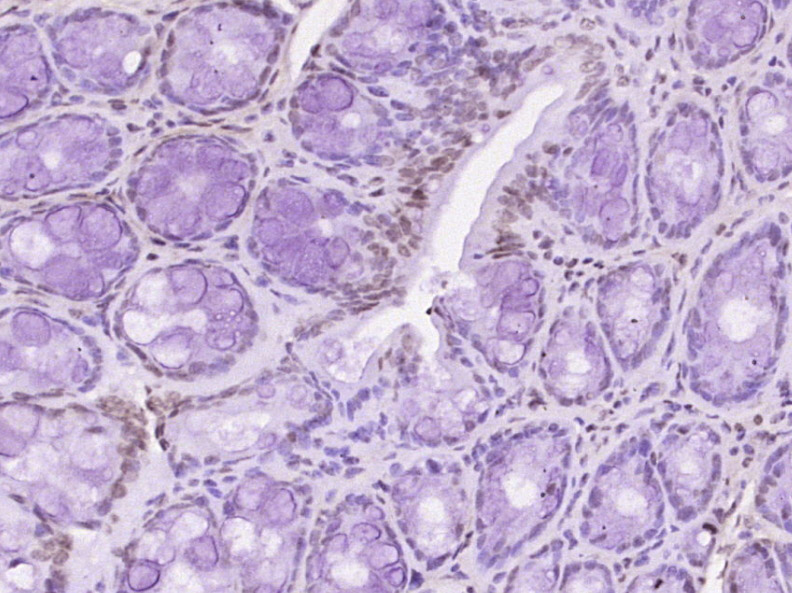
Paraformaldehyde-fixed, paraffin embedded (Mouse colon); Antigen retrieval by boiling in sodium citrate buffer (pH6.0) for 15min; Block endogenous peroxidase by 3% hydrogen peroxide for 20 minutes; Blocking buffer (normal goat serum) at 37°C for 30min; Antibody incubation with (Phospho-BTK (Tyr223)) Polyclonal Antibody, Unconjugated (bs-3069R) at 1:400 overnight at 4°C, followed by operating according to SP Kit(Rabbit) (sp-0023) instructions and DAB staining.
风险提示:丁香通仅作为第三方平台,为商家信息发布提供平台空间。用户咨询产品时请注意保护个人信息及财产安全,合理判断,谨慎选购商品,商家和用户对交易行为负责。对于医疗器械类产品,请先查证核实企业经营资质和医疗器械产品注册证情况。
文献和实验该产品被引用文献
[IF={{ 6.575 }}] {Gengguo Deng. et al. Ibrutinib Inhibits BTK Signaling in Tumor-Infiltrated B Cells and Amplifies Antitumor Immunity by PD-1 Checkpoint Blockade for Metastatic Prostate Cancer. CANCERS. 2023 Jan;15(8):2356} {IF,IHC} {Mouse,Human}
技术资料暂无技术资料 索取技术资料
文献支持
phospho-BTK (Tyr223) Rabbit pAb(bs-3069R)-50ul/100ul/200ul
¥1180 - 2800








