相关产品推荐更多 >

Stanolone Rabbit pAb(bs-39042R)-50ul/100ul/200ul
¥1180
PCDHA10/CNRN8 Rabbit pAb(bs-11123R)-50ul/100ul/200ul
¥1180
phospho-Fos B (Ser27) Rabbit pAb, BF555 conjugated(bs-13198R-BF555)-100ul
¥2980
Cyclin E1 Rabbit pAb, Biotin conjugated(bs-0573R-Bio)-100ul
¥2980
Cyclin E1 Rabbit pAb, BF647 conjugated(bs-0573R-BF647)-100ul
¥2980
万千商家帮你免费找货
0 人在求购买到急需产品
- 详细信息
- 文献和实验
- 技术资料
- 应用范围:
产品信息以Bioss网站为准
- 规格:
50ul/100ul/200ul
| 规格: | 50ul | 产品价格: | ¥1180.0 |
|---|---|---|---|
| 规格: | 100ul | 产品价格: | ¥1980.0 |
| 规格: | 200ul | 产品价格: | ¥2800.0 |
| 产品编号 | bs-2774R |
| 英文名称 | prox1 Rabbit pAb |
| 中文名称 | prox-1抗体 |
| 英文别名 | Homeobox prospero like protein; Homeobox prospero like protein PROX1; Prospero related homeobox 1; prox-1; PROX 1. |
| 产品应用 | IHC-P=1:100-500, IHC-F=1:100-500, IF=1:100-500 Not yet tested in other applications. |
| 交叉反应 | Rat (Human, Mouse, Dog, Pig, Cow, Horse, Rabbit) |
| 抗体来源 | Rabbit |
| 免疫原 | KLH conjugated synthetic peptide derived from human prox-1 |
| 亚型 | IgG |
| 性状 | Liquid |
| 纯化方法 | affinity purified by Protein A |
| 克隆类型 | Polyclonal |
| 理论分子量 | 81 kDa |
| 浓度 | 1mg/ml |
| 储存液 | 0.01M TBS (pH7.4) with 1% BSA, 0.02% Proclin300 and 50% Glycerol. |
| 研究领域 | Cardiovascular > Heart > Cardiogenesis > Transcription factors/regulators Epigenetics and Nuclear Signaling > Transcription > Domain Families > Developmental Families Neuroscience > Neurology process > Neural Signal Transduction |
| 亚细胞定位 | Nucleus. |
| 组织特异性 | Most actively expressed in the developing lens. Detected also in embryonic brain, lung, liver and kidney. In adult, it is more abundant in heart and liver than in brain, skeletal muscle, kidney and pancreas. |
| 保存条件 | Shipped at 4℃. Store at -20℃ for one year. Avoid repeated freeze/thaw cycles. |
| 注意事项 | This product as supplied is intended for research use only, not for use in human, therapeutic or diagnostic applications. |
| 背景资料 | Prox1 is a prospero-related homeobox gene. Its expression pattern suggests it has a role in a variety of embryonic tissues and may play a fundamental role in early development of the CNS. It may regulate gene expression and the development of postmitotic undifferentiated young neurons.Subcellular Location : Nucleus. |
| 应用 | 推荐稀释比例 |
| {IHC-P} | {1:100-500} |
| {IHC-F} | {1:100-500} |
| {IF} | {1:100-500} |

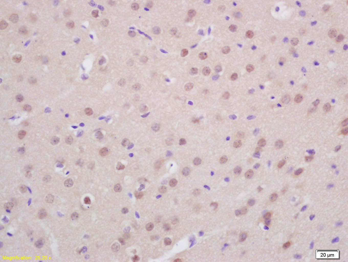
Antigen retrieval: citrate buffer ( 0.01M, pH 6.0 ), Boiling bathing for 15min; Block endogenous peroxidase by 3% Hydrogen peroxide for 30min; Blocking buffer (normal goat serum,C-0005) at 37℃ for 20 min;
Incubation: Anti-prox1 Polyclonal Antibody, Unconjugated(bs-2774R) 1:200, overnight at 4°C, followed by conjugation to the secondary antibody(SP-0023) and DAB(C-0010) staining
风险提示:丁香通仅作为第三方平台,为商家信息发布提供平台空间。用户咨询产品时请注意保护个人信息及财产安全,合理判断,谨慎选购商品,商家和用户对交易行为负责。对于医疗器械类产品,请先查证核实企业经营资质和医疗器械产品注册证情况。
文献和实验[IF={{ 12.5 }}] {Tie-Ning Zhang. et al. Endothelial CLEC5A drives barrier dysfunction and vascular leakage responsible for lung injury in bacterial pneumonia and sepsis. SCI ADV. 2025 Jun;11(24)} {IF} {Mouse}
[IF={{ 1.918 }}] {Gao,et al.High Expression of Prospero-Related Homeobox-1 (PROX1) Is Associated With Poor Prognosis in Patients With Salivary Adenoid Cystic Carcinoma.(2018) Journal of Oral and Maxillofacial Surgery. :.} {IHC} {Human}
[IF={{ 1.61 }}] {Usui, Tatsuya, et al. "Establishment of a novel three‐dimensional primary culture model for hippocampal neurogenesis." Physiological Reports 5.12 (2017): e13318.} {IF} {="Mouse"}
[IF={{ 1.347 }}] {Teng,et al.Anti-inflammatory effect of tranexamic acid against trauma-hemorrhagic shock-induced acute lung injury in rats.(2018) Experimental Animals. :.} {WB} {Rat}
= NAL), appears to form upon oxidative cyclization of the nonfluorescent 2:1 lysine-HNE Michael adduct-Schiff base cross-link (Scheme 1). Polyclonal antibody (PAb) to the NAL-HNE fluorophore was raised in rabbit and found to be highly specific
GE Healthcare Benzamidine Sepharose™ 6B is p-aminobenzamidine covalently attached to Sepharose 6B by the epoxy coupling method. p-Aminobenzamidine (PAB), is a synthetic inhibitor of trypsin-like serine protease. Trypsin and trypsin
Nucleic Acid Programmable Protein Arrays: Versatile Tools for Array‐Based Functional Protein Studies
.g., Sigma) 50 mg/ml bis‐sulfosuccinimdylsuberate (BS3 ;Pierce, cat. no. PI 21580) in dimethylsulfoxide (DMSO) 5 mg/ml
技术资料暂无技术资料 索取技术资料






