相关产品推荐更多 >
万千商家帮你免费找货
0 人在求购买到急需产品
- 详细信息
- 文献和实验
- 技术资料
- 应用范围:
产品信息以Bioss网站为准
- 规格:
50ul/100ul/200ul
| 规格: | 50ul | 产品价格: | ¥1180.0 |
|---|---|---|---|
| 规格: | 100ul | 产品价格: | ¥1980.0 |
| 规格: | 200ul | 产品价格: | ¥2800.0 |
| 产品编号 | bs-3680R |
| 英文名称 | APC Rabbit pAb |
| 中文名称 | 腺瘤样息肉抗体 |
| 英文别名 | Adenomatous Polyposis Coli; Adenomatous polyposis coli protein; APC_HUMAN; CC1; Deleted in polyposis 2.5; DP2; DP2.5; DP3; FAP; FPC; GS; Protein APC. |
| 中文别名 | 腺瘤性结肠息肉病蛋白; |
| 产品应用 | IHC-P=1:100-500, IHC-F=1:100-500, IF=1:100-500 Not yet tested in other applications. |
| 交叉反应 | Rat (Human, Mouse, Pig, Cow, Horse, Rabbit) |
| 抗体来源 | Rabbit |
| 免疫原 | KLH conjugated synthetic peptide derived from human APC |
| 亚型 | IgG |
| 性状 | Liquid |
| 纯化方法 | affinity purified by Protein A |
| 克隆类型 | Polyclonal |
| 理论分子量 | 312 kDa |
| 浓度 | 1mg/ml |
| 储存液 | 0.01M TBS (pH7.4) with 1% BSA, 0.02% Proclin300 and 50% Glycerol. |
| 研究领域 | Cancer > Cell cycle > Cell division Cancer > Oncoproteins/suppressors > Tumor suppressors > PTC & Wnt pathway Cardiovascular > Heart > Cardiogenesis > Transcription factors/regulators Cell Biology > Cell Cycle > Cell Division > Spindle Epigenetics and Nuclear Signaling > Transcription > Cancer susceptibility > Tumor Suppressors Neuroscience > Cell Type Marker > Glia marker > Oligodendrocyte marker Stem Cells > Signaling Pathways > Wnt > Cytoplasmic |
| 亚基 | Forms homooligomers and heterooligomers with APC2. Interacts with DIAPH1 and DIAPH2. Interacts withPDZ domains of DLG1 and DLG3. Associates with catenins. Binds axin. Interacts with ARHGEF4 (via N-terminus). Interacts with MAPRE1 (viaC-terminus); probably required for APC targeting to the growingmicrotubule plus ends. Interacts with MAPRE2 and MAPRE3 (viaC-terminus). Found in a complex consisting of ARHGEF4, APC andCTNNB1. Interacts with SCRIB; may mediate APC targeting to adherensjunctions of epithelial cells. Interacts with SPATA13 (viaN-terminus and SH3 domain). Interacts with ASAP1 (via SH3 domain). Found in a complex composed of MACF1, APC, AXIN1, CTNNB1 and GSK3B. Interacts at the cell membrane with FAM123A and FAM123B (via ARM repeats). |
| 亚细胞定位 | Cell junction, adherens junction. Cytoplasm, cytoskeleton. Cell projection, lamellipodium. Cell projection, ruffle membrane. Cytoplasm. Cell membrane. Note=Associated with the microtubule network at the growing distal tip of microtubules. Accumulates in the lamellipodium and ruffle membrane in response to hepatocyte growth factor (HGF) treatment. The MEMO1-RHOA-DIAPH1 signaling pathway controls localization of the phosophorylated form to the cell membrane. |
| 组织特异性 | Expressed in a variety of tissues. |
| 翻译后修饰 | Phosphorylated by GSK3B.
Ubiquitinated, leading to its degradation by the proteasome. Ubiquitination is facilitated by Axin. Deubiquitinated by ZRANB1/TRABID. |
| 相似性 | Belongs to the adenomatous polyposis coli (APC) family. Contains 7 ARM repeats. |
| 功能 | Tumor suppressor. Promotes rapid degradation of CTNNB1 and participates in Wnt signaling as a negative regulator. APC activity is correlated with its phosphorylation state. Activates the GEF activity of SPATA13 and ARHGEF4. Plays a role in hepatocyte growth factor (HGF)-induced cell migration. Required for MMP9 up-regulation via the JNK signaling pathway in colorectal tumor cells. Acts as a mediator of ERBB2-dependent stabilization of microtubules at the cell cortex. It is required for the localization of MACF1 to the cell membrane and this localization of MACF1 is critical for its function in microtubule stabilization. |
| 保存条件 | Shipped at 4℃. Store at -20℃ for one year. Avoid repeated freeze/thaw cycles. |
| 注意事项 | This product as supplied is intended for research use only, not for use in human, therapeutic or diagnostic applications. |
| 背景资料 | This gene encodes a tumor suppressor protein that acts as an antagonist of the Wnt signaling pathway. It is also involved in other processes including cell migration and adhesion, transcriptional activation, and apoptosis. Defects in this gene cause familial adenomatous polyposis (FAP), an autosomal dominant pre-malignant disease that usually progresses to malignancy. Disease-associated mutations tend to be clustered in a small region designated the mutation cluster region (MCR) and result in a truncated protein product. [provided by RefSeq]. |
| 应用 | 推荐稀释比例 |
| {IHC-P} | {1:100-500} |
| {IHC-F} | {1:100-500} |
| {IF} | {1:100-500} |

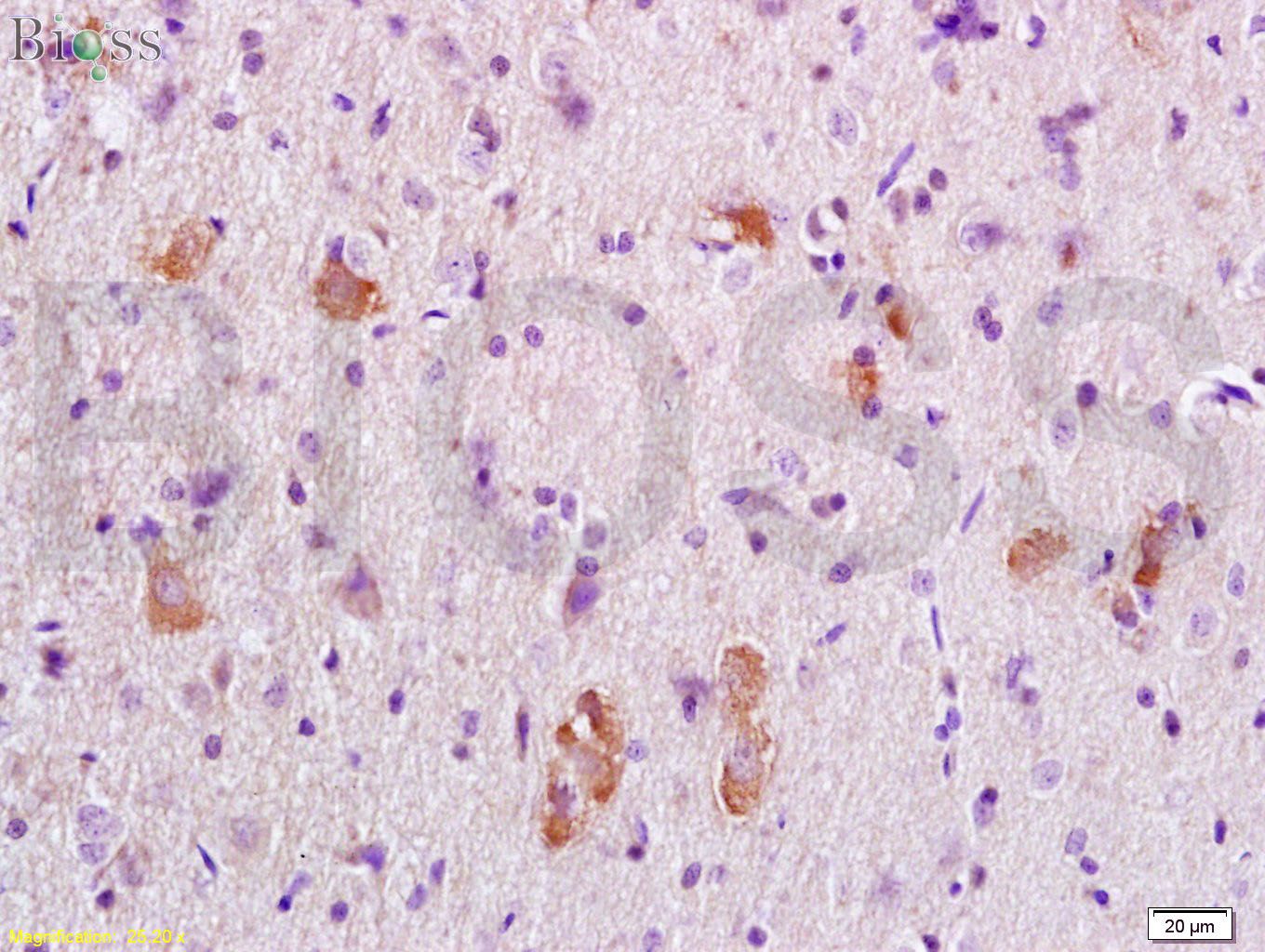
Antigen retrieval: citrate buffer ( 0.01M, pH 6.0 ), Boiling bathing for 15min; Block endogenous peroxidase by 3% Hydrogen peroxide for 30min; Blocking buffer (normal goat serum,C-0005) at 37℃ for 20 min;
Incubation: Anti-APC/Adenomatous Polyposis Coli Polyclonal Antibody, Unconjugated(bs-3680R) 1:200, overnight at 4°C, followed by conjugation to the secondary antibody(SP-0023) and DAB(C-0010) staining
风险提示:丁香通仅作为第三方平台,为商家信息发布提供平台空间。用户咨询产品时请注意保护个人信息及财产安全,合理判断,谨慎选购商品,商家和用户对交易行为负责。对于医疗器械类产品,请先查证核实企业经营资质和医疗器械产品注册证情况。
文献和实验[IF={{ 6.1 }}] {Hao Wu. et al. Nattokinase Promotes Post-stroke Neurogenesis and Cognition Recovery via Increasing Circulating Irisin. J AGR FOOD CHEM. 2023;XXXX(XXX):XXX-XXX} {IF} {Rat}
= NAL), appears to form upon oxidative cyclization of the nonfluorescent 2:1 lysine-HNE Michael adduct-Schiff base cross-link (Scheme 1). Polyclonal antibody (PAb) to the NAL-HNE fluorophore was raised in rabbit and found to be highly specific
Biotinylation of Antibody ( Contributed by Nanci Donacki ) Antibody labeling (House Ear Institute)Labeling protocols using affinity markers. Coupling Colloidal Gold to Protein (Walter Steffen)Gold labelling of rabbit IgGPreparation
) Gold labelling of rabbit IgG Preparation of enzyme gold complex Coupling of Nanogold to IgG Production of Colloidal Gold
技术资料暂无技术资料 索取技术资料









