相关产品推荐更多 >

phospho-14-3-3 theta (Ser232) Rabbit pAb, BF594 conjugated(bs-13774R-BF594)-100ul
¥2980
phospho-IKK alpha (Ser176) Rabbit pAb, Cy3 conjugated(bs-18127R-Cy3)-100ul
¥2980
ERO1L Rabbit pAb, HRP conjugated(bs-10551R-HRP)-100ul
¥2980
CXorf21 Rabbit pAb, PerCP-Cy7 conjugated(bs-9552R-PerCP-Cy7)-100ul
¥2980
PPP1R10 Rabbit pAb, HRP conjugated(bs-11666R-HRP)-100ul
¥2980
万千商家帮你免费找货
0 人在求购买到急需产品
- 详细信息
- 文献和实验
- 技术资料
- 应用范围:
产品信息以Bioss网站为准
- 规格:
50ul/100ul/200ul
| 规格: | 50ul | 产品价格: | ¥1180.0 |
|---|---|---|---|
| 规格: | 100ul | 产品价格: | ¥1980.0 |
| 规格: | 200ul | 产品价格: | ¥2800.0 |
| 产品编号 | bs-3437R |
| 英文名称 | phospho-Tyk2 (Tyr1054 + Tyr1055) Rabbit pAb |
| 中文名称 | 磷酸化非受体酪氨酸蛋白激酶2抗体 |
| 英文别名 | TYK2(phospho Y1054+Y1055); TYK2(phospho-Tyr1054/1055); Tyk2(phospho Y1054/1055); TYK2(phospho Tyr1054/1055); p-TYK2(Tyr1054/1055); JTK 1; JTK1; TYK 2; Non receptor tyrosine protein kinase 2; Non receptor tyrosine protein kinase TYK2; Protein Tyrosine Kinase 2; Tyrosine kinase 2; TYK2_HUMAN; Non-receptor tyrosine-protein kinase TYK2. |
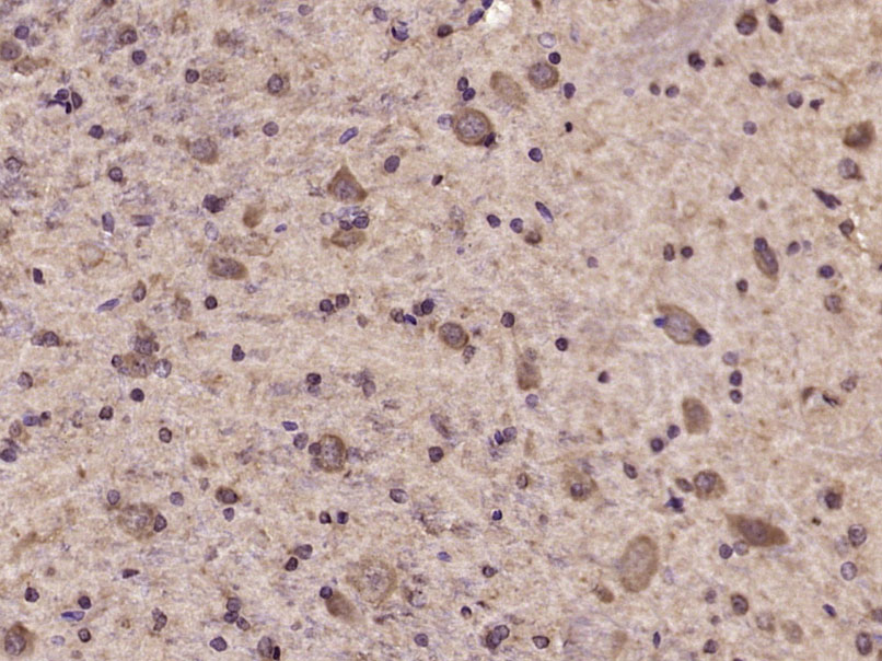
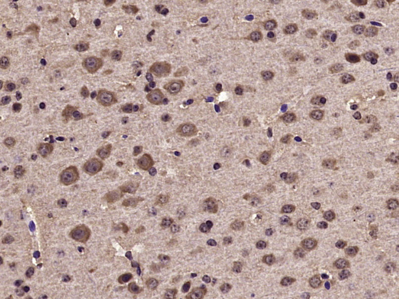
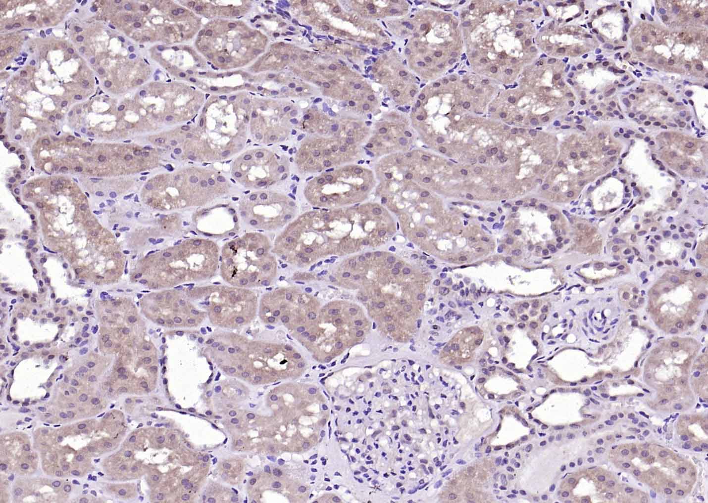
| 产品应用 | WB=1:500-2000, IHC-P=1:100-500, IHC-F=1:100-500, IF=1:100-500 Not yet tested in other applications. |
| 交叉反应 | Human, Mouse, Rat (Dog) |
| 抗体来源 | Rabbit |
| 免疫原 | KLH conjugated Synthesised phosphopeptide derived from human Tyk2 around the phosphorylation site of Tyr1054/1055 |
| 亚型 | IgG |
| 性状 | Liquid |
| 纯化方法 | affinity purified by Protein A |
| 克隆类型 | Polyclonal |
| 理论分子量 | 134 kDa |
| 浓度 | 1mg/ml |
| 储存液 | 0.01M TBS (pH7.4) with 1% BSA, 0.02% Proclin300 and 50% Glycerol. |
| 研究领域 | Microbiology > Organism > Virus > RNA Virus > ssRNA positive strand virus > SARS Coronavirus Signal Transduction > Protein Phosphorylation > Tyrosine Kinases |
| 亚基 | Interacts with JAKMIP1. |
| 组织特异性 | Observed in all cell lines analyzed. Expressed in a variety of lymphoid and non-lymphoid cell lines. |
| 相似性 | Belongs to the protein kinase superfamily. Tyr protein kinase family. JAK subfamily. Contains 1 FERM domain. Contains 2 protein kinase domains. Contains 1 SH2 domain. |
| 功能 | Probably involved in intracellular signal transduction by being involved in the initiation of type I IFN signaling. Phosphorylates the interferon-alpha/beta receptor alpha chain. |
| 保存条件 | Shipped at 4℃. Store at -20℃ for one year. Avoid repeated freeze/thaw cycles. |
| 注意事项 | This product as supplied is intended for research use only, not for use in human, therapeutic or diagnostic applications. |
| 背景资料 | This gene encodes a member of the tyrosine kinase and, more specifically, the Janus kinases (JAKs) protein families. This protein associates with the cytoplasmic domain of type I and type II cytokine receptors and promulgate cytokine signals by phosphorylating receptor subunits. It is also component of both the type I and type III interferon signaling pathways. As such, it may play a role in anti-viral immunity. A mutation in this gene has been associated with hyperimmunoglobulin E syndrome (HIES) - a primary immunodeficiency characterized by elevated serum immunoglobulin E. [provided by RefSeq]. |
| 应用 | 推荐稀释比例 |
| {WB} | {1:500-2000} |
| {IHC-P} | {1:100-500} |
| {IHC-F} | {1:100-500} |
| {IF} | {1:100-500} |

A549(Human) Cell Lysate at 30 ug
Primary: Anti-Phospho-Tyk2(Tyr1054 + Tyr1055) (bs-3437R) at 1/300 dilution
Secondary: IRDye800CW Goat Anti-Rabbit IgG at 1/20000 dilution
Predicted band size: 134 kD
Observed band size: 134 kD



风险提示:丁香通仅作为第三方平台,为商家信息发布提供平台空间。用户咨询产品时请注意保护个人信息及财产安全,合理判断,谨慎选购商品,商家和用户对交易行为负责。对于医疗器械类产品,请先查证核实企业经营资质和医疗器械产品注册证情况。
文献和实验[IF={{ 9.756 }}] {Xueshuo Sun. et al. HDAC4 mediated LHPP deacetylation enhances its destabilization and promotes the proliferation and metastasis of nasopharyngeal carcinoma. CANCER LETT. 2023 May;562:216158} {IHC} {Mouse,Human}
[IF={{ 6.304 }}] {Chen Y et al. Dendritic cells-derived interferon-λ1 ameliorated inflammatory bone destruction through inhibiting osteoclastogenesis. Cell Death Dis. 2020 Jun 2;11(6):414.} {WB} {Mouse}
[IF={{ 5.6 }}] {Wanze Zhang. et al. Novaferon gene modification promotes NK92 cell anti-tumor activity. INT IMMUNOPHARMACOL. 2023 Sep;122:110613} {WB} {Human}
[IF={{ 4.9 }}] {Yujie Wen. et al. SARS-CoV-2 ORF7a Protein Impedes Type I Interferon-Activated JAK/STAT Signaling by Interacting with HNRNPA2B1. INT J MOL SCI. 2025 Jan;26(12):5536} {WB} {Human}
[IF={{ 1.973 }}] {Liang Shao. et al. Betulonic acid regulates oviduct epithelial cell inflammation through the TLR4, MAPK, and JAK/STAT signalling pathways. REPROD FERT DEVELOP. 2023 May;35(8):480-491} {WB} {Rat}
。所以,我们建议使用微波炉或高压锅加热煮沸以达到最佳抗原修复效果。抗体:Phospho–Stat3 (Tyr705)(D3A7) XP. Rabbit mAb #9145样本:石蜡包埋人类肺部肿瘤样本煮沸设备:浴锅 (左),微波炉 (中),高压锅 (右)免疫染色—封闭在 IHC–P 中,我们建议在室温下在含有 Tween20 的 TBST 缓冲液和 5% 正常山羊血清 (NGS) 中封闭样品,时长 1 小时,以防止非特异性背景染色。在进行 IHC–F 时,在含有 0.3% Triton. X–100 的 1X
used in accordance withmanufacturer recommendationsSignalStain?DAB Substrate Kit #8059:IHC analysis of paraffin-embedded human breastcarcinoma using Phospho-Stat3 (Tyr705) (D3A7) XP? Rabbit mAb #9145. Chromogenicdetection was performed using #8059 (left
v468. chapter 4 WNT 细胞通路 检测细胞GSK3活性与表达水平
. Immunoblot using antibodies to phospho-Tyr279/216 can assess alterations in activity independent ofthe N-terminal phosphorylation, although phosphorylation atthis site is most likely to be constitutive (14) . 3. Immunoblot using antibodies to known
技术资料暂无技术资料 索取技术资料





