相关产品推荐更多 >
万千商家帮你免费找货
0 人在求购买到急需产品
- 详细信息
- 询价记录
- 文献和实验
- 技术资料
- 应用范围:
产品信息以Bioss网站为准
- 规格:
50ul/100ul/200ul
| 规格: | 50ul | 产品价格: | ¥1180.0 |
|---|---|---|---|
| 规格: | 100ul | 产品价格: | ¥1980.0 |
| 规格: | 200ul | 产品价格: | ¥2800.0 |
| 产品编号 | bs-3581R |
| 英文名称 | TRIM28 Rabbit pAb |
| 中文名称 | 转录中介因子Tif1β抗体 |
| 英文别名 | TIF1B_HUMAN; Transcription intermediary factor 1-beta; KAP1; RNF96; TIF1B; TIF1-beta; TIF1 beta; E3 SUMO-protein ligase TRIM28; EC:2.3.2.27; KRAB-associated protein 1(KAP-1); KRAB-interacting protein 1(KRIP-1); Nuclear corepressor KAP-1; RING finger protein 96; RING-type E3 ubiquitin transferase TIF1-beta; Tripartite motif-containing protein 28; |
| 产品应用 | IHC-P=1:100-500, IHC-F=1:100-500, ICC/IF=1:100-500, IF=1:100-500 Not yet tested in other applications. |
| 交叉反应 | Human, Rat (Mouse, Dog, Cow, Rabbit) |
| 抗体来源 | Rabbit |
| 免疫原 | KLH conjugated synthetic peptide derived from human TRIM28 |
| 亚型 | IgG |
| 性状 | Liquid |
| 纯化方法 | affinity purified by Protein A |
| 克隆类型 | Polyclonal |
| 理论分子量 | 88 kDa |
| 浓度 | 1mg/ml |
| 储存液 | 0.01M TBS (pH7.4) with 1% BSA, 0.02% Proclin300 and 50% Glycerol. |
| 研究领域 | Cancer > Cell Death > Apoptosis Cancer > Invasion/microenvironment > Apoptosis Cell Biology > Proteolysis / Ubiquitin > Proteasome / Ubiquitin > Ubiquitin E3 Enzymes > RING Finger E3 Ligase Epigenetics and Nuclear Signaling > Bromodomains Epigenetics and Nuclear Signaling > Chromatin Binding Proteins > Methylated DNA Epigenetics and Nuclear Signaling > Transcription > Other factors Epigenetics and Nuclear Signaling > Transcription > Transcription Factors |
| 亚基 | Oligomer; the RBCC domain homotrimerizes and interacts with one molecule of KRAB to form the KRAB-KAP1 corepressor complex. Binding to a KRAB domain is an absolute requirement for silencing gene expression. Interacts with CEBPB and NR3C1 (By similarity). Interacts with a number of KRAB-ZFP proteins including ZNF10, ZFP53, ZFP68, ZNF382 and ZNF256. Interacts with NCOR1, NR3C1 and CHD3. Interacts with CEBPB (via the RING-type and PHD-type zinc fingers). Component of a ternary complex that includes TRIM28, a HP1 protein (CBX1, CBX3 OR CBX5), a KRAB domain-containing protein, and DNA. Interacts with CBX5 (via the PxVxL motif); the interaction occurs in interphase nuclei and competes for binding POGZ. Interacts with POGZ; the interaction competes for interaction with CBX5. Interacts with SETDB1; the interaction is enhanced by KAP1 sumoylation, stimulates SETB1 histone methyltransferase activity and gene silencing. Interacts (via the PHD-type zinc finger) with UBE2I; the interaction is required for sumoylation and repressor activity. Component of the TRIM28/KAP1-ERBB4-MDM2 complex involved in connecting growth factor and DNA damage responses. Interacts directly with ERBB4; the interaction represses ERBB4-mediated transcription activity. Interacts with MDM2; the interaction contributes to p53/TP53 inactivation. Component of the TRIM28/KAP1-MDM2-p53/TP53; involved in regulating p53/TP53 stabilization and activity. Interacts (via the leucine zipper alpha helical coiled-coil) with E2F1 (central region); the interaction inhibits E2F1 acetylation and transcriptional activity. Interacts with PPP1CA; the interaction dephosphorylates TRIM28 at Ser-824 and forms a complex at the p21 promoter site. Interacts with PPP1CB; the interaction is weak but is increased on dephophorylation at Ser-824. Interacts with FES/FPS. Interacts with SMARCAD1. Interacts with, and sumoylates IRF7. |
| 亚细胞定位 | Nucleus. Associated with centromeric heterochromatin during cell differentiation through CBX1. |
| 组织特异性 | Expressed in all tissues tested including spleen, thymus, prostate, testis, ovary, small intestine, colon and peripheral blood leukocytes. |
| 翻译后修饰 | Phosphorylated upon DNA damage, probably by ATM or ATR. ATM-induced phosphorylation on Ser-824 represses sumoylation leading to the de-repression of expression of a subset of genes involved in cell cycle control and apoptosis in response to genotoxic stress. Dephosphorylation by the phosphatases, PPP1CA and PP1CB forms, allows sumoylation and expression of TRIM28 target genes. Sumoylation/desumoylation events regulate TRIM28-mediated transcriptional repression. Sumoylation is required for interaction with CHD3 and SETDB1 and the corepressor activity. Represses and is repressed by Ser-824 phosphorylation. Enhances the TRIM28 corepressor activity, inhibiting transcriptional activity of a number of genes including GADD45A and CDKN1A/p21. Lys-554, Lys-779 and Lys-804 are the major sites of sumoylation. In response to Dox-induced DNA damage, enhanced phosphorylation on Ser-824 prevents sumoylation and allows de-repression of CDKN1A/p21. |
| 相似性 | Belongs to the TRIM/RBCC family. Contains 2 B box-type zinc fingers. Contains 1 bromo domain. Contains 1 PHD-type zinc finger. Contains 1 RING-type zinc finger. |
| 功能 | Nuclear corepressor for KRAB domain-containing zinc finger proteins (KRAB-ZFPs). Mediates gene silencing by recruiting CHD3, a subunit of the nucleosome remodeling and deacetylation (NuRD) complex, and SETDB1 (which specifically methylates histone H3 at 'Lys-9' (H3K9me)) to the promoter regions of KRAB target genes. Enhances transcriptional repression by coordinating the increase in H3K9me, the decrease in histone H3 'Lys-9 and 'Lys-14' acetylation (H3K9ac and H3K14ac, respectively) and the disposition of HP1 proteins to silence gene expression. Recruitment of SETDB1 induces heterochromatinization. May play a role as a coactivator for CEBPB and NR3C1 in the transcriptional activation of ORM1. Also corepressor for ERBB4. Inhibits E2F1 activity by stimulating E2F1-HDAC1 complex formation and inhibiting E2F1 acetylation. May serve as a partial backup to prevent E2F1-mediated apoptosis in the absence of RB1. Important regulator of CDKN1A/p21(CIP1). Has E3 SUMO-protein ligase activity toward itself via its PHD-type zinc finger. |
| 保存条件 | Shipped at 4℃. Store at -20℃ for one year. Avoid repeated freeze/thaw cycles. |
| 注意事项 | This product as supplied is intended for research use only, not for use in human, therapeutic or diagnostic applications. |
| 背景资料 | The protein encoded by this gene mediates transcriptional control by interaction with the Kruppel-associated box repression domain found in many transcription factors. The protein localizes to the nucleus and is thought to associate with specific chromatin regions. The protein is a member of the tripartite motif family. This tripartite motif includes three zinc-binding domains, a RING, a B-box type 1 and a B-box type 2, and a coiled-coil region. [provided by RefSeq, Jul 2008] |
| 应用 | 推荐稀释比例 |
| {IHC-P} | {1:100-500} |
| {IHC-F} | {1:100-500} |
| {ICC/IF} | {1:100-500} |
| {IF} | {1:100-500} |



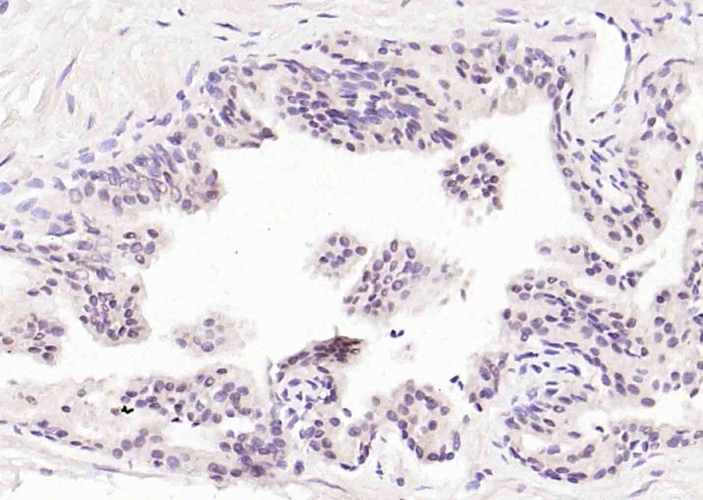
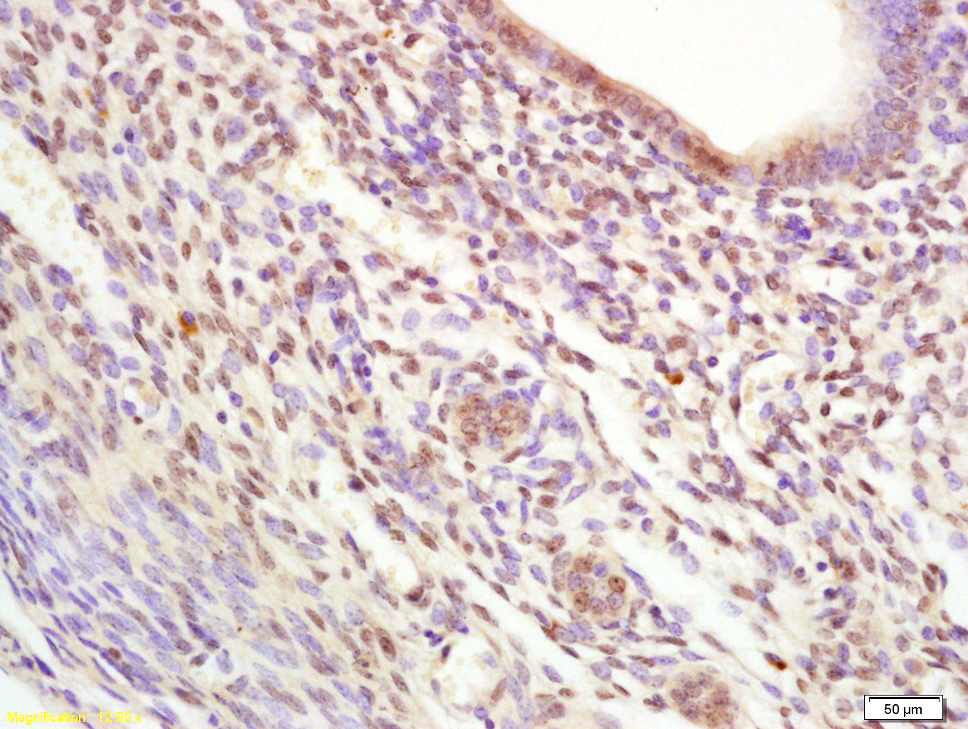
Antigen retrieval: citrate buffer ( 0.01M, pH 6.0 ), Boiling bathing for 15min; Block endogenous peroxidase by 3% Hydrogen peroxide for 30min; Blocking buffer (normal goat serum,C-0005) at 37℃ for 20 min;
Incubation: Anti-TIF1 beta/KAP1/TRIM28 Polyclonal Antibody, Unconjugated(bs-3581R) 1:200, overnight at 4°C, followed by conjugation to the secondary antibody(SP-0023) and DAB(C-0010) staining
风险提示:丁香通仅作为第三方平台,为商家信息发布提供平台空间。用户咨询产品时请注意保护个人信息及财产安全,合理判断,谨慎选购商品,商家和用户对交易行为负责。对于医疗器械类产品,请先查证核实企业经营资质和医疗器械产品注册证情况。
- 作者
- 内容
- 询问日期
文献和实验[IF={{ 7 }}] {Chong Zhou. et al. TRIM28-Mediated Excessive Oxidative Stress Induces Cellular Senescence in Granulosa Cells and Contributes to Premature Ovarian Insufficiency In Vitro and In Vivo. ANTIOXIDANTS-BASEL. 2024 Mar;13(3):308} {WB,IF} {Mouse,Human}
[IF={{ 4.7 }}] {Tao Xuefang. et al. Differential proteins from EVs identification based on tandem mass tags analysis and effect of Treg-derived EVs on T-lymphocytes in COPD patients. RESP RES. 2024 Dec;25(1):1-13} {WB} {Human}
= NAL), appears to form upon oxidative cyclization of the nonfluorescent 2:1 lysine-HNE Michael adduct-Schiff base cross-link (Scheme 1). Polyclonal antibody (PAb) to the NAL-HNE fluorophore was raised in rabbit and found to be highly specific
GE Healthcare Benzamidine Sepharose™ 6B is p-aminobenzamidine covalently attached to Sepharose 6B by the epoxy coupling method. p-Aminobenzamidine (PAB), is a synthetic inhibitor of trypsin-like serine protease. Trypsin and trypsin
Nucleic Acid Programmable Protein Arrays: Versatile Tools for Array‐Based Functional Protein Studies
.g., Sigma) 50 mg/ml bis‐sulfosuccinimdylsuberate (BS3 ;Pierce, cat. no. PI 21580) in dimethylsulfoxide (DMSO) 5 mg/ml
技术资料暂无技术资料 索取技术资料









