相关产品推荐更多 >

Goose parvovirus VP3 Rabbit pAb, FITC conjugated(bs-4499R-FITC)-100ul
¥2980
GPR100 Rabbit pAb(bs-13510R)-50ul/100ul/200ul
¥1180
beta-Amyloid (1-28) Mouse mAb(bsm-10429M)-50ul/100ul/200ul/200ug
¥1180
AMD1/SAMDC Rabbit pAb, AP conjugated(bs-21352R-AP)-100ul
¥2980
EPH receptor A4 Rabbit pAb(bs-1764R)-50ul/100ul/200ul
¥1180
万千商家帮你免费找货
0 人在求购买到急需产品
- 详细信息
- 技术资料
- 应用范围:
产品信息以Bioss网站为准
- 规格:
50ul/100ul/200ul
| 规格: | 50ul | 产品价格: | ¥1180.0 |
|---|---|---|---|
| 规格: | 100ul | 产品价格: | ¥1980.0 |
| 规格: | 200ul | 产品价格: | ¥2800.0 |
| 产品编号 | bs-8809R |
| 英文名称 | HMG4/HMGB3 Rabbit pAb |
| 中文名称 | 高迁移率家族蛋白3抗体 |
| 英文别名 | High mobility group(nonhistone chromosomal) protein 4; High mobility group box 3; High mobility group protein 2a; High mobility group protein 4; High mobility group protein B3; High mobility group protein HMG4; HMG 4; HMG-2a; HMG-4; HMG2A; HMGB 3; HMGB3; HMGB3_HUMAN; MGC90319; Non histone chromosomal protein; Nonhistone chromosomal protein HMG4. |
| 产品应用 | IHC-P=1:100-500, IHC-F=1:100-500, IF=1:100-500 Not yet tested in other applications. |
| 交叉反应 | Mouse, Rat (Human, Chicken, Dog, Pig, Cow, Horse, Rabbit) |
| 抗体来源 | Rabbit |
| 免疫原 | KLH conjugated synthetic peptide derived from human HMG4/HMGB3 |
| 亚型 | IgG |
| 性状 | Liquid |
| 纯化方法 | affinity purified by Protein A |
| 克隆类型 | Polyclonal |
| 理论分子量 | 23 kDa |
| 浓度 | 1mg/ml |
| 储存液 | 0.01M TBS (pH7.4) with 1% BSA, 0.02% Proclin300 and 50% Glycerol. |
| 研究领域 | Epigenetics and Nuclear Signaling > Chromatin Binding Proteins > DNA / RNA binding Epigenetics and Nuclear Signaling > Chromosome Structure > Chromatin assembly |
| 亚细胞定位 | Nucleus. Chromosome. |
| 组织特异性 | Expressed predominantly in placenta. |
| 相似性 | Belongs to the HMGB family. Contains 2 HMG box DNA-binding domains. |
| 功能 | Binds preferentially single-stranded DNA and unwinds double stranded DNA. |
| 保存条件 | Shipped at 4℃. Store at -20℃ for one year. Avoid repeated freeze/thaw cycles. |
| 注意事项 | This product as supplied is intended for research use only, not for use in human, therapeutic or diagnostic applications. |
| 背景资料 | HMGB3 belongs to the high mobility group (HMG) protein superfamily. Like HMG1 (MIM 163905) and HMG2 (MIM 163906), HMGB3 contains DNA-binding HMG box domains and is classified into the HMG box subfamily. Members of the HMG box subfamily are thought to play a fundamental role in DNA replication, nucleosome assembly and transcription (Wilke et al., 1997 [PubMed 9370291]; Nemeth et al., 2006 [PubMed 16945912]).[supplied by OMIM, Mar 2008] |
| 应用 | 推荐稀释比例 |
| {IHC-P} | {1:100-500} |
| {IHC-F} | {1:100-500} |
| {IF} | {1:100-500} |

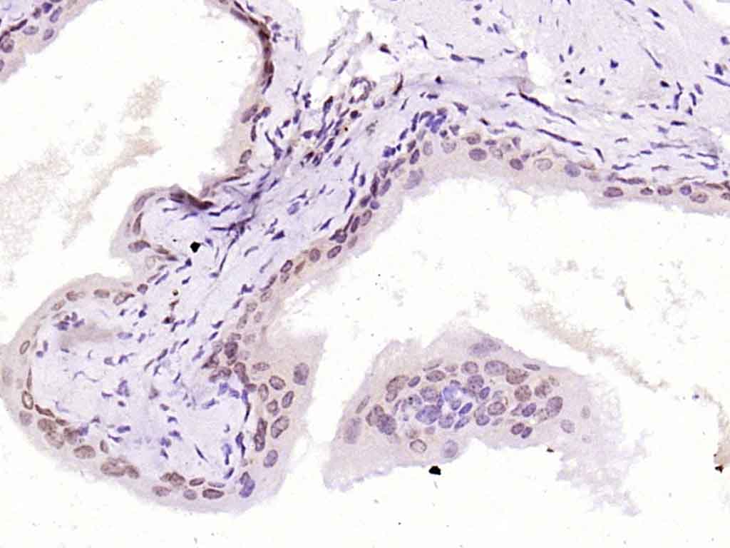
Paraformaldehyde-fixed, paraffin embedded (mouse bladder); Antigen retrieval by boiling in sodium citrate buffer (pH6.0) for 15min; Block endogenous peroxidase by 3% hydrogen peroxide for 20 minutes; Blocking buffer (normal goat serum) at 37°C for 30min; Antibody incubation with (HMG4) Polyclonal Antibody, Unconjugated (bs-8809R) at 1:200 overnight at 4°C, followed by operating according to SP Kit(Rabbit) (sp-0023) instructionsand DAB staining.

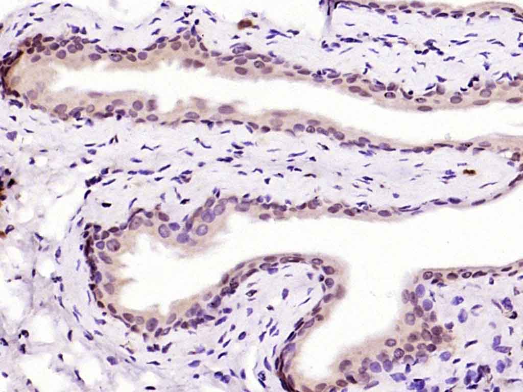
Paraformaldehyde-fixed, paraffin embedded (Rat bladder); Antigen retrieval by boiling in sodium citrate buffer (pH6.0) for 15min; Block endogenous peroxidase by 3% hydrogen peroxide for 20 minutes; Blocking buffer (normal goat serum) at 37°C for 30min; Antibody incubation with (HMG4) Polyclonal Antibody, Unconjugated (bs-8809R) at 1:200 overnight at 4°C, followed by operating according to SP Kit(Rabbit) (sp-0023) instructionsand DAB staining.
风险提示:丁香通仅作为第三方平台,为商家信息发布提供平台空间。用户咨询产品时请注意保护个人信息及财产安全,合理判断,谨慎选购商品,商家和用户对交易行为负责。对于医疗器械类产品,请先查证核实企业经营资质和医疗器械产品注册证情况。
技术资料暂无技术资料 索取技术资料
HMG4/HMGB3 Rabbit pAb(bs-8809R)-50ul/100ul/200ul
¥1180 - 2800





